Prophylaxe 20.02.2015

Die Kinderindividualprophylaxe



Die Kinderindividualprophylaxe

Eine regelmäßige Zahnprophylaxe schützt unsere Patienten vor Erkrankungen der Zahnhartsubstanz und der Weichgewebe. Die Entstehung einer Karies, Gingivitis oder Parodontitis kann auf diese Weise vermieden werden. Daher sollte bereits im Kindesalter eine regelmäßige Kinderindividualprophylaxe stattfinden.

In der Kinderindividualprophylaxe kann gemäß dem Motto „Früh übt sich, wer ein Meister werden will“ bereits ab dem sechsten Lebensjahr, zumeist auch schon früher, spielerisch mit der Durchführung begonnen werden. Das Behandlerteam wird bei dieser Art der Prophylaxesitzung vor ganz besondere Herausforderungen gestellt. Beispielweise können eine geringe Mundöffnung des Patienten, intensive Geschmackswahrnehmung oder die lange Einwirkzeit einiger Fluoridierungspräparate die Behandlung erschweren. In der nachfolgenden Dokumentation des Patientenfalls möchte ich Ihnen hilfreiche Anwendungsformen von Prophylaxematerialien zur Umsetzung im Praxisalltag vorstellen.

Der Patient im Alter von zehn Jahren stellt sich zur halbjährlichen Kontrolle und Prophylaxe in unserer Zahnarztpraxis vor (Abb. 1). Die allgemeine Anamnese ist unauffällig. Der Zahnstatus befindet sich in der Wechselgebissphase, wobei alle bleibenden Molaren vorhanden sind. Der intraorale Befund weist einen kariesfreien Zahnstatus auf und die Molaren sind mit intakten Fissurenversiegelungen versorgt. Es liegt eine lokalisierte, plaqueinduzierte Gingivitis vor. Die Plaque befindet sich an den Zervikalbereichen der Zähne 12 bis 22, an welchen zusätzlich extrinsische Verfärbungen (Orange Stain) auffallen. Der Zahn 12 sowie die Molaren im Oberkiefer sind mit White Spots behaftet und an den Zähnen 32 bis 42 befinden sich leichte Braunverfärbungen. Es ist kein Zahnstein vorhanden und keine Abrasion feststellbar.

Mithilfe der Mutter des Patienten ist es uns möglich, etwas genauer auf die Ernährungs- und Trinkgewohnheiten des Kindes einzugehen. Zusätzlich kann eine Speicheltestanalyse durchgeführt werden. Die tägliche Flüssigkeitszufuhr stellt sich leicht vermindert (weniger als 1.170 ml pro Tag) dar. Zucker sowie Säure impulse sind drei- bis fünfmal täglich aufgeführt. Die häusliche Fluoridierung erfolgt über fluoridiertes Speisesalz, Mineralwasser und Erwachsenenzahnpasta. Die Speicheltestparameter, Fließrate, Pufferkapazität sowie Bakterienauswertung befinden sich im Normbereich.

Ablauf der Prophylaxesitzung

Nach eingehender Beratung der Mutter und Inspektion der Mundhöhle kann mit der Prophylaxebehandlung begonnen werden. Altersentsprechend wird ein PSI Code von 0–1 aufgenommen und der Plaquetest mit 41 % ausgewertet. Hierbei sind hauptsächlich der Ober- und Unterkieferfrontzahnbereich sowie die zervikalen Zahnflächen betroffen. Zur häuslichen Mundhygiene kommt bisher eine elektrische Zahnbürste von Oral-B (Triumph 5000) und teilweise die Handzahnbürste zur Zahnpflege am Morgen zum Einsatz. Zusätzlich wird eine Zahnpasta für Erwachsene verwendet. Zur Pflege der Interdentalräume kommt sporadisch Zahnseide zum Einsatz. Aufgrund der vorhandenen strukturierten Plaque im Oberkieferfrontzahnbereich, dargestellt durch Mira-2-Ton, und der extrinsischen Verfärbungen im Unterkieferfrontzahnbereich (Abb. 2), führe ich eine Vorpolitur durch. Hierbei wird die DMG Flairesse Prophylaxepaste grün in Geschmacksrichtung Minze mit einem Prophylaxebürstchen kombiniert (Abb. 3). Die Reinigungspaste wird in zwei Applikationsformen angeboten (Tube/Cups). Es erfolgt die Verwendung der Paste aus der Tube, da nur eine geringe Menge zur Politur der Zähne benötigt wird. Cups sind unter Berücksichtigung der Hygiene einwandfrei, für die Anwendung im Kindermund ist die eingefüllte Menge sehr großzügig bemessen. Altersgemäß kann der frische Minzgeschmack punkten. Jungen mögen offensichtlich immer noch Pfefferminzkaugummi, somit stellt das milde Minzaroma in dieser Altersklasse kein Problem dar.

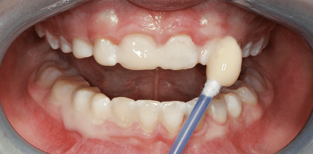
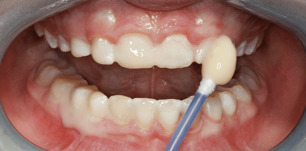
Aufgrund einer sichtbaren Grünfärbung der Prophylaxepaste lassen sich bereits behandelte Areale von noch unbehandelten gut unterscheiden. Die Reinigungspaste lässt sich sehr gut auftragen und verteilen, sie klebt und spritzt nicht. Auch ihre Homogenität ist sehr gut und nach kurzer Zeit wird ein gutes Reinigungsergebnis erzielt. Nach dem Ausspülen sind alle Pastenreste verschwunden und es gibt keine klebrigen Rückstände am Zahnfleischsaum oder auf den Weichgeweben (z. B. Zunge, Lippen). Zur interdentalen Nachreinigung und Mundhygienedemonstration wird in diesem Fall ein Dental Flosser der Firma TePe mit Prophylaxepaste beschickt und angewandt (Abb. 4). Es ist darauf zu achten, das fixierte Zahnseidenband möglichst dünn auszuwählen, um die Anwendung zu erleichtern. Die Feinpolitur erfolgt mit DMG Flairesse Prophylaxepaste (Melone) sowie einem feinen Prophylaxekelch (Abb. 5). So lassen sich die Zervikalbereiche optimal nachbehandeln und polieren. Die Paste adaptiert sich sehr gut im Kelch. Trotz des Fruchtaromas wird der Speichelfluss nicht vermehrt angeregt und die Politur lässt sich gut durchführen. Der Melonengeschmack gefällt den kleinen Patienten und die Zahnflächen erscheinen nach der Endpolitur glatt und ebenmäßig. Bei der abschließenden Fluoridierung fällt die Entscheidung in diesem Fall sehr leicht. Aufgrund des Geschmacks entscheide ich mich für die Anwendung des Flairesse Prophylaxegels Melone (Abb. 6). Bei Kindern ist es möglich, die Geschmacksrichtung „selbstständig“ auswählen zu lassen. Das Gel mit Fluorid/Xylit ist in Erdbeer-, Melonen- und Minzgeschmack erhältlich. Es ist leicht mittels Q-Tip einzutuschieren, tropft nicht, bildet keinen Schaum oder Film im Mund und schmeckt angenehm. Durch die geringe Einwirkzeit von 60 Sekunden stellt es eine Fluoridierungsmaßnahme dar, die gerade im Kindermund schnell und sauber durchführbar ist, so endet die Behandlung mit einem positiven frisch-fruchtigen Geschmackserlebnis (Abb. 7).

Mehr Fachartikel aus Prophylaxe

ePaper