Zahntechnik 04.09.2014
Anleitung zur Farbnahme und Kommunikation mit dem Labor
Im ersten Teil dieses Artikels befassten wir uns mit der fotografischen Ausrüstung sowie den grundlegenden Aspekten der fotografischen Dokumentation von zahnmedizinischen Behandlungen. Im zweitenTeil soll nun eine Vorgehensweise präsentiert werden, die dem Autor bei der fotografischen Dokumentation von klinischen Fällen stets gute Dienste geleistet hat, speziell wenn es um die Farb- bzw. Helligkeitsbestimmung ging.
Farbnahme
Durch die Fortschritte in der digitalen Fotografie sowie der Möglichkeit, Fotos sofort nach ihrer Aufnahme zu beurteilen und diese unmittelbar auch Personen, die sich nicht am selben Ort bzw. im selben Land befinden, zugänglich zu machen, eröffnen sich neue Möglichkeiten im Hinblick auf die Farbnahme bei indirekten Restaurationen. Standardisierte, qualitativ hochwertige Fotografien sind ebenfalls ein großer Vorteil, wenn die Farbe von direkten Restaurationen wie beispielsweise direkte Veneers oder Klasse IV-Füllungen bestimmt wird.
Ein Bild kann helfen, opaleszente Bereiche und den Halo-Effekt des Nachbarzahnes zu identifizieren, bevor eine Restauration hergestellt wird (Abb. 1). Die Farbbestimmung im Dentallabor oder in der Zahnarztpraxis kann frustrierend sein. Ein Großteil der Zahnärzte weiß nach Beendigung des Grundstudiums nicht, wie man einen Farbschlüssel einsetzt. Dies gestaltet sich besonders schwierig, wenn Restaurationen ersetzt werden müssen und der Zahnarzt nicht weiß, welcher Fehler ursprünglich gemacht wurde bzw. wie die richtige Farbe eruiert werden kann. Mithilfe von Farbschlüsseln bestimmen Zahnärzte, Zahnarzthelferinnen und Zahntechniker Farbe, Transluzenz und Helligkeit des Zahnes und geben diese Information entsprechend weiter.
Unabhängig vom verwendeten Farbsystem spielen dabei jedoch viele Faktoren eine Rolle. Bevor überhaupt mit der Farbbestimmung begonnen werden kann, gilt es, eine einfache, aber grundlegende Frage zu klären: Verwendet man dasselbe Farbsystem wie das Labor? Es gibt viele verschiedene Systeme zur Farbbestimmung, deren Farben je nach Hersteller variieren, obwohl sie vielleicht auf demselben Konzept basieren. Farbschlüssel sind oft aus unterschiedlichen Materialien gefertigt, die verschiedene optische Eigenschaften aufweisen. Manche Labors sind zum Beispiel mit dem Chromascop-Farbschlüssel vertraut, während die meisten Zahnärzte den A-D-Farbschlüssel anwenden. Die jüngere Generation von Zahnärzten hat die Farbnahme jedoch meist anhand des 3D Master-Farbschlüssels (Abb. 2) erlernt. Der Farbschlüssel dient der standardisierten Wahrnehmung von Farben und soll die Kommunikation vereinfachen. Das Ziel ist, die Farbe der zu erstellenden Restauration so einzustellen, dass sie der natürlichen Bezahnung entspricht.
Farbmuster geben nicht die exakte Farbe der fertigen Restauration wieder, kommen aber der natürlichen Zahnfarbe nahe genug, um einen Farbbereich identifizieren zu können. Die Augen sind immer noch das beste Instrument, um die richtige Farbe zu bestimmen und zu kommunizieren. Wenn es darum geht, die Farbe des Zahnes zu bestimmen, der dem zu versorgenden am nächsten ist, kann man sie als „A1“ oder „A2“ beschreiben oder „zwischen B2 und B3 liegend“. Es ist immer am besten, den Patienten ins Labor zu bestellen und dort eine individuelle Farbbestimmung vorzunehmen, speziell bei schwierigeren Fällen. Meistens ist das jedoch nicht möglich, weil der Patient oft nicht bereit ist, die dafür nötige Zeit aufzuwenden, oder weil das Labor sich nicht in der Nähe befindet.
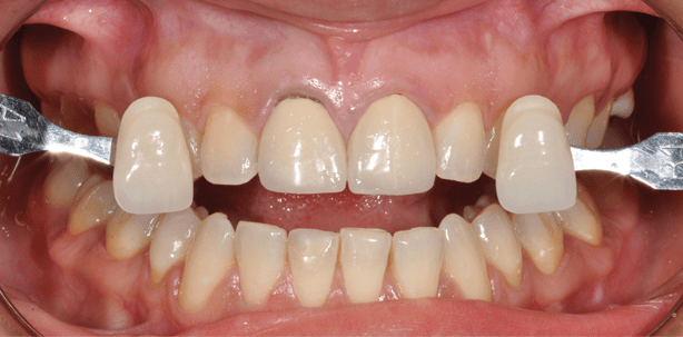
Der Farbschlüssel sollte in Kombination mit digitalen Fotografien zum Einsatz kommen. Wird kein Licht auf den Mund und die Farbmuster gerichtet, so ist die Hauptlichtquelle das Blitzlicht der Kamera, das immer dieselbe Farbtemperatur aufweist (zwischen 5.500 und 6.000 K). Diese Temperatur kann sowohl vom Zahnarzt in der Klinik als auch vom Techniker im Labor reproduziert werden. Werden die Aufnahmen unter unterschiedlichen Lichtbedingungen gemacht, können dieselben Farben beträchtliche Unterschiede aufweisen (Abb. 3–5). Ein gutes Foto, das sich sowohl für den Zahnarzt als auch für den Zahntechniker eignet, kann per E-Mail verschickt werden, sodass beide eine Aufnahme der Farbe unter denselben Bedingungen sehen können. Wenn der Zahntechniker die Farbe der Restauration mit dem Farbschlüssel vergleicht, kann er ebenfalls eine Aufnahme machen und diese dann für einen Vergleich mit der Aufnahme heranziehen, die der Zahnarzt unter eben diesen Bedingungen von der natürlichen Bezahnung gemacht hat (Abb. 6).
Da in beiden Situationen nur mit dem Blitzlicht der Kamera beleuchtet wurde, kann der Zahntechniker erkennen, ob die Restauration die gleiche Farbe aufweist wie das vom Zahnarzt übersandte Farbmuster (Abb. 6, Veneers von ZTM Jürgen Seger, Liechtenstein).
Grundlegendes zur Zahnfarbe
Farbe hat zwei grundlegende Eigenschaften: Farbton und Chroma. Auch natürliche Zahnfarben weisen diese Charakteristiken auf. Der Farbton kann als die eigentliche Farbe definiert werden, z. B. gelb oder grau. Als Chroma bezeichnet man die Intensität der Farbe, oft auch Farbsättigung genannt. Bei der Farbwahl mit dem Farbschlüssel wird gemessen, welches Farbmuster in Hinblick auf Farbton und Chroma dem natürlichen Zahn am nächsten kommt. So enthalten Farbschlüssel meist die Farben A1 bis A4 oder B1 bis B4, plus C und D (Abb. 17c).
Mit „Value“ wird die Helligkeit eines Zahnes angegeben. Dies ist eine separate Eigenschaft, die neben der Farbe kommuniziert werden muss. Zähne haben einen bestimmten Transluzenzgrad, der die Lichtdurchlässigkeit der verschiedenen Anteile beschreibt. Probleme entstehen meistens dadurch, dass die Farben der meisten natürlichen Zähne nicht den Farben des Farbschlüssels entsprechen. Ebenso geben die Farbmuster die Transluzenz bzw. das „Value“ natürlicher Zahnsubstanz nicht exakt wieder. In den meisten Fällen werden Farbton und Chroma kommuniziert, nicht aber das „Value“ oder die Farbhelligkeit. Allgemein ist jedoch festzuhalten, dass nur wenige Kronen, deren „Value“ nicht korrekt ist, akzeptiert werden, während kleinere Ungenauigkeiten im Hinblick auf Chroma oder Farbton oft unbemerkt bleiben. Daher ist es wichtig, dem Labor auch möglichst genaue Informationen in Bezug auf Helligkeit und Transluzenz zukommen zu lassen.
Bevor die Zahnfarbe auf konventionelle Art und Weise bestimmt oder eine Aufnahme gemacht wird, müssen mehrere Faktoren beachtet werden:
- 1. Wenn der Patient sehr helle, leuchtende Farben trägt, sollte er mit einem farblich neutralen Tuch abgedeckt werden sowie
- 2. Lippenstift, Make-up, Brillen und Kontaktlinsen sollten entfernt werden.
- 3. Die Zähne sollten geputzt sein.
- 4. Die Farbnahme sollte am Beginn der Sitzung erfolgen, um sicherzustellen, dass die Zähne feucht sind (der Patient sollte sie ständig ablecken, um sie feucht zu halten) und die Augen des Behandlers noch frisch.
- 5. Das Operationslicht sollte ausgeschaltet sein oder in eine andere Richtung zeigen. Es sollte nicht auf den Patienten gerichtet sein.
- 6. Das Raumlicht sollte eine Farbtemperatur von 5.500–6.500 K haben (werden Aufnahmen gemacht, sind diese Parameter nicht mehr relevant, da das Blitzlicht im Vordergrund steht).
- 7. Helligkeitsgrad durch Zusammenkneifen der Augen bestimmen.
- 8. Da Frauen seltener an Farbenblindheit leiden als Männer, ist es keine schlechte Idee, die Assistentin bei der Farbwahl um Unterstützung zu bitten (Voraussetzung ist natürlich, dass sie nicht farbenblind ist).
Im ersten Teil dieses Artikels gingen wir auf die notwendige fotografische Ausrüstung und das geeignete Zubehör für die Aufnahme von intraoralen Bildern ein. Im Hinblick auf die Beschaffung von entsprechendem Equipment verweisen wir daher auf diesen Teil. Ist der Patient bereit, sollten die Farbmuster vor die Frontzähne gehalten werden, bevor mit dem Verfahren begonnen wird. Dasselbe gilt für Lippenbilder. Es ist wichtig, die gleiche Vorgehensweise intra- und extraoral anzuwenden, da rote Farben die Farbwahrnehmung stark beeinflussen (Abb. 7–8).
Zusätzlich zu den oben genannten Punkten sollten folgende Aspekte beachtet werden, wenn Aufnahmen gemacht werden (Abb. 9–13):
- 1. Reflektionen durch Metallteile des Farbschlüssels vermeiden, da dies die Detailtreue des Bildes beeinträchtigt.
- 2. Bilder mit zwei verschiedenen Farbmustern machen.
- 3. Das Farbmuster exakt auf der Höhe der Bukkalfläche des Zahnes platzieren, da sogar geringe Diskrepanzen dazu führen können, dass der Zahn im Blitzlicht dunkler oder heller wirkt.
- 4. Die Inzisalkante der Farbmuster sollte etwa 1 mm vom natürlichen Zahn entfernt sein (so nahe wie möglich, ohne aber den Zahn zu berühren).
- 5. Bilder mit und ohne Kontrastoren machen. Das gilt speziell bei jungen Zähnen mit opaleszenten Bereichen und einem klaren Halo-Effekt.
- 6. In Fällen, in denen eine Keramikrestauration geplant ist, sollte dem Labor auch die Stumpffarbe mitgeteilt werden, für die spezielle Farbschlüssel wie z. B. der Natural Die Material Shade Guide des IPS e.max Systems (Ivoclar Vivadent, Liechtenstein) zur Verfügung stehen.
- 7. Die Möglichkeit, Schwarz-Weiß-Bilder zu machen, sollte ebenfalls in Betracht gezogen werden. Eine Schwarz- Weiß-Aufnahme kann helfen, den Value-Grad des Farbmusters im Verhältnis zum Zahn des Patienten zu bestimmen (Abb. 14).
Klinischer Fall
Eine 27-jährige Patientin kam in unsere Praxis, da sie mit dem Aussehen ihrer zwei Metallkeramikkronen im Frontzahnbereich unzufrieden war (Abb. 15). Die Transluzenz der beiden Kronen entsprach nicht der Transluzenz der natürlichen Zähne, und wenn sie lächelte, war der verfärbte zervikale Anteil von Zahn 11 zu sehen (Abb. 16). Basierend auf einem Referenzmuster wurde eine Aufnahme zur Bestimmung der Stumpffarbe gemacht (Abb. 17a). Dieses Referenzmuster sollte idealerweise der Natural Die Material-Farbschlüssel sein (Abb. 17d). Beide Farbschlüssel, der Natural Die Material-Farbschlüssel und der A-D-Farbschlüssel, haben gewisse Gemeinsamkeiten. So sieht z. B. die Farbe ND2 der Farbe A2 ähnlich (Abb. 17b). Zusätzlich umfasst der Natural Die Material-Farbschlüssel auch dunkle Farben, da er für die Bestimmung der Farbe von verfärbten Zahnstümpfen zum Einsatz kommt und nicht wie der A-D-Farbschlüssel für die Bestimmung der finalen Farbe von Restaurationen (Abb. 17c und 17d). Für das innere Bleichen des Zahnstumpfes wurde 35%iges Wasserstoffperoxid (Abb. 18) verwendet, das in zwei Sitzungen während jeweils 20 Minuten lang appliziert wurde. Abbildung 19 zeigt das Endergebnis nach Stumpfaufbau mit Excite DSC und Multicore Flow (IvoclarVivadent, Liechtenstein).
Anschließend wurde eine Abformung vorgenommen und ans Labor gesandt. Nach dem Ausgießen wurde das Modell gescannt. Die Herstellung erfolgte mit CAD/CAM-Technologie unter Verwendung von IPS e.max CAD LT (Abb. 20). Die Farbe der Kronen wurde durchgehend auf Stümpfen aus Natural Die Material überprüft, um Transluzenz und Chroma richtig einzustellen (Abb. 21 und 22). Am Schluss wurden die approximalen Kontakte und die Passung der Kronen auf dem Gipsmodell überprüft (Abb. 23, Laborarbeiten von ZTM Volker Brosch, Deutschland).
Vor der adhäsiven Eingliederung wurde ein Retraktionsfaden gelegt (Abb. 24). Die Stümpfe wurden mit Phosphorsäure geätzt (Abb. 25), dann wurde der Haftvermittler Excite DSC appliziert (Abb. 26). Anschließend wurde der Zement Variolink N Base und Katalysator (Farbe: Transluzent) angemischt und in die Kronen appliziert (Abb. 27 und 28). Abbildung 29 zeigt die natürliche Eingliederung der Kronen nach vier Wochen. Die Kronen weisen den richtigen Farbton, das richtige Value, Chroma und entsprechende natürlich wirkende Effekte auf.
Danksagung
Der Autor möchte ZTM Jürgen Seger und Volker Brosch für ihre ausgezeichnete zahntechnische Arbeit danken, die in diesem Artikel abgebildet ist.
Dr. Eduardo Mahn
Director of Clinical Research and from the Esthetic Dentistry Program
Universidad de los Andes
Monseñor Álvaro del Portillo 12455
Santiago, Chile
emahn@miuandes.cl
Pola For Aligners
TRIOS 6
CYTECpro + CONTECpro
BeautiLink SA
mμILLUSION Color Malfarben und -pasten
breCAM.multiCOM+
PALA Mill&Cast
Luxatemp MaxProtect
breCAM.base
Leaf Expander® Hybrid