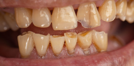
Noch immer gilt die Parodontitis als eine der häufigsten globalen Volkskrankheiten. Internationale Fachorganisationen weisen regelmäßig auf die hohe Prävalenz dieser Erkrankung hin. So verzeichnet die aktuelle sechste Deutsche Mundgesundheitsstudie allein in Deutschland ca. 14 Millionen schwere Parodontitis-Fälle*.
Im Frühling 2025 fand eine Umfrage zur Nutzung von künstlicher Intelligenz an der Universität und den Fachhochschulen Westschweiz statt.
Im Frühling 2025 fand eine Umfrage zur Nutzung von künstlicher Intelligenz an der Universität...
Am 8./9. Mai 2026 findet in München der Präventionskongress der Deutschen Gesellschaft für Präventivzahnmedizin e.V. (DGPZM) statt. Unter...
Am 8./9. Mai 2026 findet in München der Präventionskongress der Deutschen Gesellschaft für...
Zähne sind Verbundstrukturen aus Mineralien und Proteinen, dabei besteht der Großteil des Zahns aus Dentin, einem knochenartigen, hochporösen...
Zähne sind Verbundstrukturen aus Mineralien und Proteinen, dabei besteht der Großteil des...
Für wichtige Gesundheitsdaten wie Befunde und Laborwerte haben Millionen Versicherte inzwischen auch einen digitalen Speicher. Bisher schauen...
Für wichtige Gesundheitsdaten wie Befunde und Laborwerte haben Millionen Versicherte inzwischen...
Trockene, brennende Augen, verschwommenes Sehen oder Kopfschmerzen, sogenannte “digitale Augenbeschwerden“ kennt der ein oder andere vielleicht...
Trockene, brennende Augen, verschwommenes Sehen oder Kopfschmerzen, sogenannte “digitale...
Eine breite Partner-Allianz aus Medizin, Wissenschaft und Gesellschaft hat aktuell ein gemeinsames Forderungspapier zur Stärkung von Prävention...
Eine breite Partner-Allianz aus Medizin, Wissenschaft und Gesellschaft hat aktuell ein gemeinsames...
Mit dem Invisalign® Palatal Expander System erweitert Align Technology sein Portfolio um eine im 3D-Druck hergestellte kieferorthopädische...
Mit dem Invisalign® Palatal Expander System erweitert Align Technology sein Portfolio um eine...
Das Leben junger Menschen ist von Sorgen geprägt: Mehr als drei Viertel der Mädchen hat Angst, in der Zukunft nicht genug Geld zum Lebenzu...
Das Leben junger Menschen ist von Sorgen geprägt: Mehr als drei Viertel der Mädchen hat Angst,...
Die Firma Dentaurum GmbH & Co. KG aus Ispringen spricht Dr. med. dent. Wolfgang Grüner und Dr. med. dent. Oliver Bacher ihren Dank für die...
Die Firma Dentaurum GmbH & Co. KG aus Ispringen spricht Dr. med. dent. Wolfgang Grüner und...
Im Interview spricht Dr. Hiba Sino offen über Disziplin, Förderung, die Realität der Selbstständigkeit und darüber, warum Verantwortung...
Im Interview spricht Dr. Hiba Sino offen über Disziplin, Förderung, die Realität der Selbstständigkeit...
TOKUYAMA DENTAL startet erfolgreich ins Jahr 2026: OMNICHROMA und OMNICHROMA FLOW wurden erneut mit den renommierten Top Product Awards des unabhängigen...
TOKUYAMA DENTAL startet erfolgreich ins Jahr 2026: OMNICHROMA und OMNICHROMA FLOW wurden erneut...
Fachlich, sportlich und kollegial: So startet der Freie Verband Deutscher Zahnärzte (FVDZ) am 13. und 14. März 2026 als offizieller Partner...
Fachlich, sportlich und kollegial: So startet der Freie Verband Deutscher Zahnärzte (FVDZ)...
Die infotage FACHDENTAL München, die am 13. und 14. März 2026 im MOC – Event Center Messe München stattfinden, setzen auf intensive Kooperationen...
Die infotage FACHDENTAL München, die am 13. und 14. März 2026 im MOC – Event Center Messe...
Die Straumann Group erzielte im Gesamtjahr 2025 einen Umsatz von CHF 2.6 Mrd., was einem organischen Wachstum von 8.9% bzw. einem Wachstum von...
Die Straumann Group erzielte im Gesamtjahr 2025 einen Umsatz von CHF 2.6 Mrd., was einem organischen...
Da Sie der Verwendung von Google Maps nicht zustimmten, kann leider keine Karte angezeigt werden.
Haben Sie schon unseren Newsletter abonniert?
Um bei unserer Anwendung Formulare zu verwenden, benötigen wir die Zustimmung um einen Token für das Absenden zu setzen.
Datenschutz und Nutzungserlebnis
Wir übermitteln Daten an Drittanbieter, die uns helfen, unser Webangebot zu verbessern und zu finanzieren. In diesem Zusammenhang werden auch Nutzungsprofile gebildet und angereichert, auch außerhalb des Europäischen Wirtschaftsraumes. Hierfür und um bestimmte Dienste zu nachfolgend aufgeführten Zwecken verwenden zu dürfen, benötigen wir Ihre Einwilligung.
Indem Sie "Alle Cookies akzeptieren" klicken, stimmen Sie diesen (jederzeit widerruflich) zu.
Unter "Manuell auswählen" können Sie die Datenverarbeitung individuell personalisieren.
Unter "Nur notwendige akzeptieren" können Sie die Datenverarbeitung ablehnen.
Indem Sie "Speichern" klicken, stimmen Sie diesen (jederzeit widerruflich) zu.
Um Kartendaten in unserer Anwendung darzustellen, nutzen wir den Kartendienst Google Maps. Willigen Sie der Nutzung von Google Maps ein, werden ggf. personenbezogene Daten (Ihre IP-Adresse) von Google erhoben.
Einbinden von Google Maps erlauben
Einige unserer Videoinhalte (bspw. Livestream) werden über die Videoplattform Vimeo bereitgestellt.
Inhalte von Vimeo erlauben
Für ein besseres Benutzererlebnis können unsere Werbeanzeigen personalisiert werden. Um dies zu ermöglichen, wird das erstellen von Cookies vorausgesetzt. Sollten Sie diesem Dienst nicht zustimmen, werden Werbeanzeigen zufällig ausgeliefert.
Personalisierte Werbung erlauben
Um sich bei unserer Anwendung Formulare zu verwenden werden Tokens gesetzt die es uns ermöglichen Spam zu verhindern. Sollten Sie dies ausstellen, ist es Ihnen nicht mehr möglich sich bei uns anzumelden oder zu registrieren.
Anmeldeformulare absenden ermöglichen
Bei der Gestaltung unserer Anwendung benutzen wir Schriftarten von Adobe, diese werden über ein CDN geladen. Sollte Sie diesem Dienst nicht zustimmen wird die Standard Schrift des Systems benutzt. Außerdem könnte es zu Fehlern im allgemeinen Anwendungsdesign kommen.
Inhalte von Adobe erlauben
Sie können Ihre Auswahl jederzeit unter "Cookie-Einstellungen“ am Seitenende ändern.