defaultContestImage

Leider kein Gewinn!

Suchen Sie weiter, die nächste Flasche könnte ein Gewinner sein.

rivetContestImage
Branchenmeldungen 11.11.2014

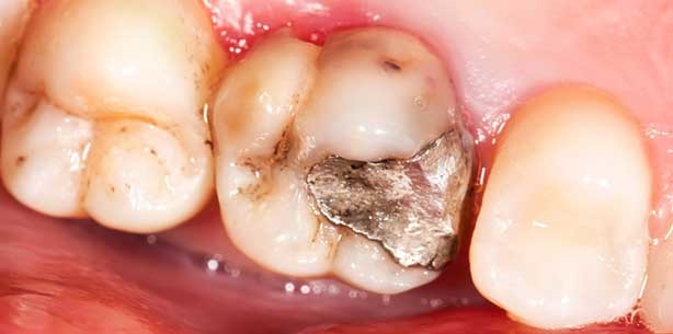
Wann ist eine Amalgam-Füllung auszutauschen?

Wann ist eine Amalgam-Füllung auszutauschen?

Foto: © Zsolt Bota Finna - Fotolia

Eine Amalgam-Zahnfüllung sollte nur ausgetauscht werden, wenn sich am Rand neue Karies-Spuren zeigen oder sie defekt ist. „Das kann der Fall sein, wenn durch Abnutzung Bestandteile der Füllung abgeplatzt sind oder sie sogar durchgebrochen ist“, erläutert Prof. Dietmar Oesterreich, Vizepräsident der Bundeszahnärztekammer (BZÄK).

Meist hielten diese Füllungen aber zehn Jahre und länger. „Das kommt unter anderem auf die Größe der Füllung an.“ Für einen prophylaktischen Austausch sieht Oesterreich keinen Grund. „Für eine mögliche Schädlichkeit des Materials gibt es keine wissenschaftlich belastbaren Belege“, sagt der Zahnmediziner. Ausnahme sei lediglich eine nachgewiesene Amalgam-Allergie, die aber sehr selten vorkomme.

Quelle: dpa

Mehr News aus Branchenmeldungen

ePaper