defaultContestImage

Leider kein Gewinn!

Suchen Sie weiter, die nächste Flasche könnte ein Gewinner sein.

rivetContestImage
Wissenschaft und Forschung 15.01.2018

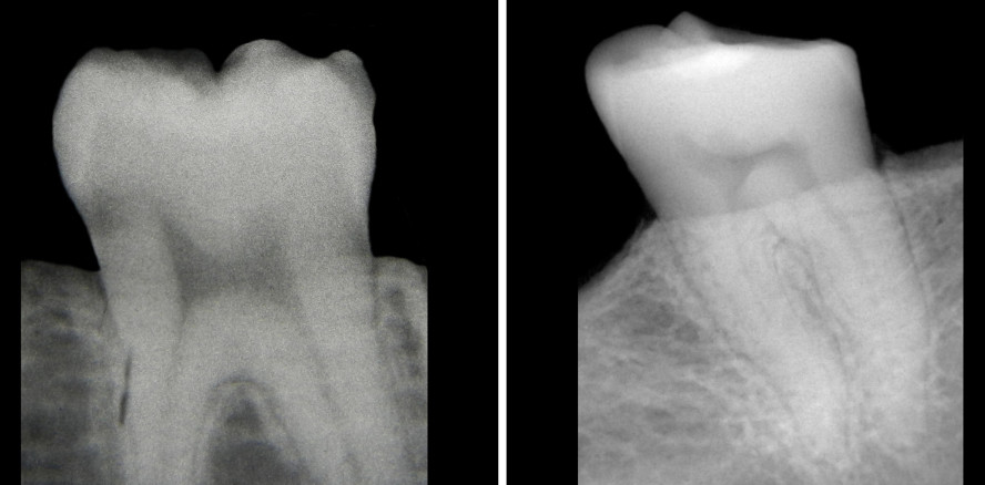
Röntgen beim Zahnarzt enthüllt Vitamin-D-Mangel



Röntgen beim Zahnarzt enthüllt Vitamin-D-Mangel

Foto: McMaster University

Wie es um die eigene Vitamin-D-Versorgung bestellt ist, lässt sich anhand von Zahnröntgenaufnahmen ablesen, wie kanadische Forscher herausfanden.

Dass Vitamin D einen Einfluss auf die Zahnstruktur hat, ist seit Längerem bekannt. In der Anthropologie wird das Wissen genutzt, um Kenntnisse über das Leben unserer Vorfahren zu erlangen. Allerdings waren bisher aufwendige Aufspaltungsprozesse der Zähne notwendig. Kein Wunder also, dass diese Form der Untersuchung bisher nur an Toten angewendet wurde.

Nun haben Forscher der McMaster University jedoch einen Weg gefunden, einen Mangel an Vitamin D anhand der Zähne abzulesen – ohne sie dabei aufspalten zu müssen. Möglich wird dies, weil ein eindeutiger Zusammenhang zwischen dem Vorhandensein des Vitamins und der Pulpaform ausgemacht wurde. Der Vorteil: Ein unkompliziertes Ablesen mithilfe von Röntgenaufnahmen wird realisierbar.

Zeigt die Zahnpulpa eine gerade Form, die einem Stuhl ähnelt, kann man von einem starken Vitamin-Mangel ausgehen. Ein geschwungener Verlauf mit „Hörnern“ sagt hingegen, dass alles in Ordnung ist.

Die Studie ist im International Journal of Paleopathology erschienen.

Mehr News aus Wissenschaft und Forschung

ePaper