Endodontologie 25.04.2014
Die orthograde Revision nach Wurzelspitzenresektion
share
Diese Therapieoption kann Zähne retten, die bereits erfolglos chirurgisch behandelt worden sind und als extraktionswürdig gelten, da durch die Revision die eigentliche Entzündungsursache – die mikrobielle Kontamination des Wurzelkanalsystems – angegangen wird.
Bei einer nicht erfolgreichen Wurzelkanalbehandlung mit persistierender oder neu aufgetretener periradikulärer Entzündung wird oftmals eine Wurzelspitzenresektion (WSR) durchgeführt. Ursache solcher Entzündungen sind jedoch meist Bakterien, die sich innerhalb weiter Teile oder gar des gesamten Kanalsystems ausgebreitet haben. Daher können das bei einer WSR vorgenommene Abtrennen des Apex und ggf. die retrograde Füllung nur zu unbefriedigenden Erfolgsquoten führen.1 Aus diesem Grund wird seit vielen Jahren empfohlen, bei einem endodontischen Misserfolg zunächst eine orthograde Revision durchzuführen und deren Resultat abzuwarten, bevor ein apikalchirurgischer Eingriff in Erwägung gezogen wird.2, 3 Scheitert auch die WSR, wurde der Zahn bisher entweder als austherapiert angesehen und extrahiert oder einer nochmaligen Resektion unterzogen, deren Erfolgsrate mit 35,7 Prozent allerdings sehr niedrig ist.4
Falldarstellung
Anamnese
Die 51-jährige Patientin stellte sich aufgrund einer Zahnfleischschwellung am ersten großen Backenzahn im rechten Unterkiefer zur Behandlung vor. Der Zahn 46 war einige Jahre zuvor wurzelkanalbehandelt, mit einer Vollkeramikkrone versorgt und anschließend aufgrund persistierender Schmerzen wurzelspitzenreseziert worden. Sie berichtete von einer zeitweise auftretenden, leichten Aufbissempfindlichkeit an Zahn 46 seit mehreren Wochen. Seit etwa zwei Wochen bemerkte sie eine Schwellung, die beim Abtasten schmerzte. Es kam zu einer temporären Linderung nach Eiterentleerung durch die Massage des Zahnfleischs. Der Zahn erschien ihr zu hoch und gelockert. Bei der allgemeinen Anamnese gab die Patientin eine genetisch bedingte leicht erhöhte Thromboseneigung sowie Allergien gegenüber Amoxicillin und Kobaltchlorid an.
Befund
- Vollkeramikkrone an Zahn 46 mit Sekundärkaries distal und lingual
- lokal begrenzte Schwellung bukkal in Regio 46 und zirkuläre Gingivitis
- Fistelmaul bukkal mit spontanem Pusaustritt nach Sondierung, Fistelgang nach interradikulär
- Perkussion leicht positiv4 Sensibilität negativ
- Sondierungstiefen bis 3 mm
- Lockerungsgrad III (Intrusion möglich)
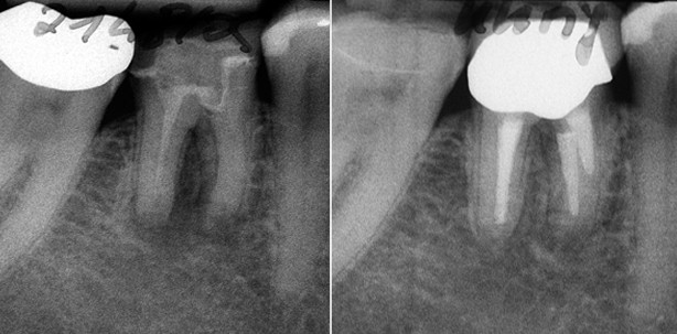
- Röntgeneinzelbild: apikale Aufhellungen mesial und distal sowie ausgedehnte interradikuläre Aufhellung, insuffiziente Wurzelkanalfüllung distal, ungefüllte Wurzelkanäle mesial, deutlich kürzere Wurzeln im Vergleich zu den Nachbarzähnen (Abb. 1)
Diagnose und Therapieplanung
Es war von einem periradikulären Abszess mit Fistelung nach Exazerbation einer chronischen apikalen Parodontitis auszugehen. Nach Absprache mit der Patientin sollten eine orthograde Revision der Wurzelkanalbehandlung und eine Neuanfertigung der koronalen Restauration vorgenommen werden.
Erster Behandlungstermin
- Leitungsanästhesie
- Vorabformung für PV
- Entfernung der Vollkeramikkrone
- Kofferdamapplikation
- Kariesexkavation
- Gingivektomie lingual (Elektrotom) aufgrund ausgedehnter Karies
- erneute Kofferdamapplikation
- adhäsive Aufbaufüllung odli (CLEAR-FIL CORE; Kuraray, Frankfurt/Main)
- Trepanation und Darstellung der Kanaleingänge
- Entfernung der distalen Wurzelkanalfüllung sowie der Sealerreste aus den beiden mesialen Kanälen mithilfe von Gates-Glidden-Bohrern, Reamern und Hedströmfeilen (VDW, München) unter wiederholter endometrischer Kontrolle (Raypex 4; VDW); leichter Pusaustritt über distalen Kanal
- vierter Kanal (distobukkal) aufgefunden und mit EDTA-Gel (Glyde; DENTS-PLY Maillefer, Ballaigues, Schweiz), Ultraschall und Reamern der ISO-Größen 8, 10 und 15 dargestellt bzw. instrumentiert; ebenfalls Pusaustritt
- endometrische (Raypex 4) und röntgenologische Längenbestimmung (Abb. 2)
- manuelle Aufbereitung des distobukkalen Kanals in Form der standardisierten Technik mit Reamern und Hedströmfeilen bis zur ISO-Größe 35; mechanische Reinigung der anderen drei Kanäle mit Hedströmfeilen durch Bearbeitung der Wände
- Spülung mit NaOCl (1 Prozent) und abschließend mit CHX (2 Prozent); jeweils mehrfach Aktivierung mit Ultraschall
- erneuter Pusaustritt konnte nach ausgiebiger Spülung auch durch Druck auf Gingiva nicht mehr beobachtet werden
- medikamentöse Einlage von Ca(OH)2 und Verschluss der Zugangskavität (Ketac Fil; 3M ESPE, Seefeld)
Zweiter Behandlungstermin
- Patientin ist beschwerdefrei; Schwellung und Fistel sind nicht mehr vorhanden
- Leitungsanästhesie
- Kofferdamapplikation
- maschinelle Wurzelkanalaufbereitung aller vier Kanäle mithilfe von Gates-Glidden-Bohrern und des Flexmaster-Systems (VDW) mit EDTA-Gel (Glyde)
- Spülung mit NaOCl (1 Prozent) und abschließend mit CHX (2 Prozent); jeweils mehrfach Aktivierung mit Ultraschall
- Wurzelkanalfüllungen (Guttapercha und AH-Plus; DENTSPLY, Konstanz)
- adhäsiver Verschluss der Zugangskavität (CLEARFIL CORE)
- Röntgeneinzelbild: Kontrolle der Wurzel kanalfüllungen (Abb. 3)
Weitere Behandlungstermine
Hohlkehlpräparation für VMK-Krone (hochgoldhaltige Legierung), Abformung, provisorische Krone, Eingliederung der VMK-Krone (mit Zinkoxid-Phosphatzement)
Kontrolluntersuchung
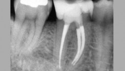
Die letzte Kontrolle fand knapp zwei Jahre nach Abschluss der endodontischen Behandlung statt. Klinisch zeigten sich gesunde parodontale Verhältnisse, die Sondierungstiefen waren unverändert, der Zahn wies eine physiologische Beweglichkeit auf, es lag keine Furkationsbeteiligung vor. Die Patientin war beschwerdefrei. Röntgenologisch erschienen die periapikalen und interradikulären Läsionen knöchern regeneriert. Ein durchgängig verfolgbarer Desmodontalspalt konnte beobachtet werden (Abb. 4).

Abb. 1: Diese Therapieoption kann Zähne retten, die bereits erfolglos chirurgisch behandelt worden sind und als extraktionswürdig gelten, da durch die Revision die eigentliche Entzündungsursache – die mikrobielle Kontamination des Wurzelkanalsystems – angegangen wird. – Abb. 2: Leider war es nicht gelungen, wie gewünscht einen ausreichend mesioexzentrischenStrahlengang zu erzielen. Da die Silberstifte gerade noch getrennt beurteilbar waren, wurde jedochauf eine erneute Röntgenmessaufnahme verzichtet. Der Kofferdam war zur Erleichterungwährend des Röntgens entfernt und die Zugangskavität speicheldicht verschlossen worden. – Abb. 3: Röntgenkontrollaufnahme nach Füllung der vier Wurzelkanäle und adhäsivemVerschluss mit Komposit. Durch die schräg resezierten Wurzeln erscheinen die Wurzelkanalfüllungen meist zu kurz. – Abb. 4: Röntgenkontrollaufnahme nach etwa zwei Jahren mit stärker exzentrischem Strahlengang (im Vgl. zu Abb. 2 und 3). Hier ist eine bessere Beurteilung der beiden mesialen Wurzelkanalfüllungen möglich. Da der Abstand der distalen Kanäle sehr klein war, ist deren separate Beurteilung weiterhin schwer. Der periapikale und interradikuläre Bereich scheint knöchern ausgeheilt zu sein; ein kontinuierlicher Parodontalspalt ist erkennbar.
Diskussion
Die Hauptursache für die vermutlich bereits seit Langem bestehende chronische apikale Parodontitis ist in den unzureichend aufbereiteten und gefüllten Wurzelkanälen zu suchen; zudem schien der distobukkale Wurzelkanal bei der ursprünglichen Behandlung gar nicht instrumentiert worden zu sein. Nicht selten können solche chronisch entzündlichen Zustände teilweise über Jahre hinweg von den Patienten unbemerkt bleiben und auch bei Kaubelastung keine größeren Beschwerden verursachen. Dennoch kommt es früher oder später meist zu akuten Exazerbationen – so auch in diesem Fall. Bei der Patientin konnte während der Erstuntersuchung am Zahn 46 eine lokal begrenzte Schwellung vor allem im Bereich der vestibulären Gingiva sowie ein Fistelmaul etwa 5 mm apikal des Gingivarandes beobachtet werden. Bei der vorsichtigen Sondierung des Fistelganges mit einem Guttaperchapoint mittlerer Größe kam es zu einer spontanen Pusentleerung. Der Fistelgang verlief eindeutig in Richtung des Zahnes 46, sodass bei der folgenden präoperativen Röntgenaufnahme auf den üblicherweise eingeführten Guttaperchapoint verzichtet werden konnte. Das Röntgenbild zeigte am Zahn 46 eine verhältnismäßig ausgedehnte Aufhellung, die die beiden Wurzelspitzen und den interradikulären Bereich umfasste. Zugleich waren die deutlich (vermutlich um 6 bis 8 mm) verkürzten Wurzeln auffällig (Abb. 1). Die Patientin hatte bei der Anamnese eine WSR angeführt, die an diesem Zahn vor einigen Jahren aufgrund persistierender Schmerzen vorgenommen worden war. Es ist schwer einzuschätzen, ob zusätzlich Resorptionsprozesse für die nunmehr stark verkürzten Wurzeln mitverantwortlich sind. Nachvollziehbar ist, dass eine WSR aufgrund der insuffizienten orthograden Behandlung nicht zum Erfolg führen konnte. Die mittlere Erfolgsquote eines rein chirurgischen Vorgehens beträgt lediglich 58,9 Prozent; bei vorherig er orthograder Revision steigt der Wert auf 79,6 Prozent.5 Ein Grund für die damalige Entscheidung war sicherlich die Schonung der kurz zuvor eingegliederten Keramikkrone. Dennoch hätte zunächst eine orthograde Revision durchgeführt werden müssen (und eine WSR unterbleiben sollen), da nur auf diesem Wege die in den Kanälen vorhandenen Mikroorganismen und deren Toxine entfernbar sind. Die Reinigung, Aufbereitung und Füllung eines kompletten Wurzelkanals ist über einen chirurgischen Eingriff von retrograd in der Regel nicht möglich. Bei der nun notwendig gewordenen Revision musste mit großer Sorgfalt vorgegangen werden, da nach der WSR keine physiologischen Foramina mehr vorhanden waren. Somit bestand ein erhöhtes Risiko der Extrusion von altem, infizierten Wurzelkanalfüllmaterial und Debris sowie des Überpressens von Spülflüssigkeit, wodurch das periapikale Gewebe zusätzlich geschädigt werden kann.6, 7
Regelmäßiges Absaugen aller gelösten Bestandteile direkt aus den Kanälen reduziert das Extrusionsrisiko. Dazu kann eine Spülkanüle verwendet werden, die in den Speichelzieheransatz der Behandlungseinheit angebracht wird. Auch der Einsatz von Lösungsmitteln (z.B. Eukalyptusöl) sollte sehr zurückhaltend erfolgen, um eine Diffusion von erweichter Guttapercha in den periradikulären Bereich zu vermeiden. Andererseits war es von Vorteil, dass keine zusätzlichen retrograden Füllungen appliziert worden waren, da diese nur schwer von orthograd entfernbar sind. Werden diese jedoch belassen, so ist von einer reduzierten Wirkung der Spüllösungen und der medikamentösen Einlage in der periradikulären Region auszugehen.8 Ein weiteres Problem stellt die Bestimmung der endodontischen Arbeitslänge dar. Bei klassisch schräg resezierten Wurzeln lassen Röntgenmessaufnahmen nur eine eingeschränkte Beurteilung der Kanallängen zu. Dennoch sind sie als zusätzliche Kontrolle auch im Hinblick auf die Vollständigkeit der Füllmaterialentfernung zu empfehlen. Dahingegen scheinen elektrische Längenmessgeräte auch bei resezierten Zähnen eine gute Annäherung an den Kanalendpunkt zu gewährleisten.9 Sehr hilfreich (nicht nur zur Längenbestimmung) ist zudem die Verwendung eines Operationsmikroskops, da damit in vielen Fällen eine direkte Sicht auf die Apikalregion möglich wird. Die großen apikalen Öffnungen erfordern wegen der Extrusionsgefahr auch bei der anschließenden Wurzelkanalfüllung erhöhte Sorgfalt. Im vorliegenden Fall wurde auf eine exakte apikale Passung der Masterpoints geachtet. Alternativ wäre hier die Verwendung von Mineralischem Trioxidaggregat (MTA, z.B. ProRoot MTA; DENTSPLY Maillefer) in Betracht gekommen, um einen apikalen Stopp zu erzielen und den restlichen Kanalanteil mit warmer Guttapercha (Backfill) zu füllen.10, 11 Diese Variante ist insbesondere bei sehr großen apikalen Öffnungen zu bevorzugen. Wäre nach dieser Revision aufgrund fehlender Ausheilung eine zusätzliche chirurgische Intervention nötig gewesen, so hätte diese lediglich eine Säuberung der periapikalen Region, retrograde Kavitätenpräparation mit Füllung (MTA) und Wurzelstumpfglättung umfassen können. Eine erneute Resektion von Wurzelanteilen hätte angesichts der ohnehin schon kurzen Wurzeln die parodontale Stabilität des Zahnes gefährdet. Darüber hinaus sind Resektionen nur bei nicht aufbereit- und abfüllbaren Kanalbereichen, wie z.B. in Form von sehr starken Krümmungen oder zahlreichen Seitenkanälen (apikales Delta), indiziert. Diese lagen hier nicht (mehr) vor. Eine neue koronale Versorgung war vor allem wegen der Sekundärkaries lingual und distal notwendig. Da die stark subgingival ausgedehnte Karies eine entsprechend tiefe Präparationsgrenze nach sich zog und somit keine optimale Trockenlegung möglich war, wurde eine klassische VMK-Krone mit konventioneller Zementierung favorisiert.
Zusammenfassung
Der dargestellte Fall zeigt, dass eine orthograde Revision einer Wurzelkanalbehandlung bei Vorliegen einer periapikalen Parodontitis nach Wurzelspitzenresektion erfolgreich sein kann, selbst wenn erschwerende Umstände wie Schwellung, Pus, Fistelung oder eine interradikuläre Knochenläsion hinzukommen. Eine weitere chirurgische Intervention konnte somit – zumindest bislang – vermieden werden. Dieses Verfahren wird mittlerweile nahezu routinemäßig von endodontisch versierten Zahn ärztinnen und Zahnärzten angewandt. Umfangreiche klinische Studien fehlen jedoch nach wie vor, sodass die Erfolgsaussichten nicht quantifizierbar sind. Daher kann es noch nicht als Standardtherapie allgemein empfohlen werden. Bei einem möglichen Misserfolg des hier vorgestellten Verfahrens ist allerdings kaum mit einer Verschlechterung der Ausgangssituation für nachfolgende (chirurgische) Therapien zu rechnen.
Hier geht's zur Literaturliste.