Implantologie 01.06.2011

Bewertung von Implantatversorgungen



Bewertung von Implantatversorgungen

Inzwischen stellt die prothetische Rehabilitation mittels dentaler Implantate eine etablierte Therapie dar. Dank technischer Weiterentwicklung und klinischer Langzeiterfahrung ist der Indikationsbereich für dentale Implantate stetig gewachsen. Da zur Bewertung eines therapeutischen Verfahrens die realistische Einschätzung von Erfolgssicherheit und Lebenserwartung gehört, ist man auch in der Implantologie bereits seit Jahrzehnten bemüht, valide Erfolgskriterien zu definieren.


Es ist allgemein anerkannt, dass die Osseointegration Grundvoraussetzung für den Implantationserfolg ist. Wobei „Osseointegration“ wie folgt definiert ist: Lebendes, organisiertes Knochengewebe steht ohne dazwischen liegendem Bindegewebe in direktem Kontakt mit einem funktionell belasteten Implantat (Brånemark 1985). Bereits aus dieser 26 Jahre alten Definition ergibt sich eine wichtige Fragestellung: Welche Bedeutung und Konsequenzen hat es, wenn ein Implantat nicht mehr in Gänze osseointegriert ist? Prävalenz, Ätiologie, Diagnostik und Therapie implantologischer Komplikationen und Misserfolge stehen im Fokus aktueller Forschung. Generell werden an dentalen Implantaten technische (mechanische) und biologische Komplikationen (Mukositis, Periimplantitis) unterschieden (Albrektsson und Isidor 1994, Berglundh et al. 2002, Lang et al. 2004). In klinischen Studien ermittelte Überlebens- und Erfolgsraten werden zur Bewertung von Implantatsystemen herangezogen. Ein Vergleich dieser Angaben ist allerdings nur bedingt sinnvoll, da die einzelnen Definitionen maßgeblich voneinander abweichen können. 

 

 

Überlebensrate 

Die Überlebensrate gibt den prozentualen Anteil der Implantate, die sich zu einem bestimmten Zeitpunkt noch in situ befinden, an. Daher wird alternativ auch die Bezeichnung „In-situ-Rate“ verwendet. Hierbei ist problematisch, dass verschiedene Behandler die Indikation zur Explantation unterschiedlich streng stellen. Des Weiteren wird nicht berücksichtigt, ob das Implantat funktionell genutzt wurde. Auch werden klinische und radiologische Parameter nicht mit einbezogen und ein langzeitbezogener Effekt fehlt. Als statistisches Verfahren zur Überlebenszeit- bzw. Verweildaueranalyse von Implantatsystemen wird häufig die Kaplan-Meier-Methode angewendet (Kaplan u. Meier 1958). Untersucht man mit dieser Methode die Überlebensrate dentaler Implantate, so wird protokolliert, wie viele Implantate nach welcher Zeit „ausgefallen“ sind, und es ergibt sich eine mittlere Überlebensdauer. Das Ergebnis dieser Analyse ist etwas aussagekräftiger, da die Wahrscheinlichkeit eines Implantatverlustes entsprechend seiner Liegezeit berechnet wird. Aber auch hierbei findet der Zustand der periimplantären Hart- und Weichgewebe keine Berücksichtigung. Zudem muss beachtet werden, ob das einzelne Implantat, der Patient oder die Suprakonstruktion Gegenstand der Erfolgsbeurteilung war (Neukam 2000). Somit sind Überlebensrate und mittlere Überlebensdauer rein quantitative Angaben, die – im Vergleich zur Erfolgsrate – keinerlei Rückschlüsse auf den qualitativen Zustand der Implantate zulassen. 


Erfolgsrate 

Die Bestimmung einer Erfolgsrate erfordert zunächst einmal die Definition von Erfolgskriterien. Viele der bisher angewandten klinischen und röntgenologischen Erfolgskriterien für Implantate sind Negativkriterien, deren Fehlen oder Ausbleiben für einen Erfolg spricht und deren Auftreten einen Misserfolg kennzeichnet (Neukam 2000). Die auf der National Institutes of Health Consensus Development Conference 1978 vorgestellten Erfolgskriterien be inhalteten folgende Anforderungen (Schnitman u. Shulman 1979): Die Implantatmobilität sollte weniger als 1mm und der Knochenabbau weniger als ein Drittel der Implantatlänge betragen. Des Weiteren wurden gute Okklusion sowie korrekte vertikale Dimension gefordert. Falls eine Weichgewebsentzündung vorliegt, so sollte diese auf Therapie ansprechen. Es sollten keine weiteren Anzeichen einer Infektion, keine Schädigung von Nachbarzähnen, keine Parästhesien oder Anästhesien, keine Verletzung des Canalis mandibularis, des Sinus maxillaris oder des Nasenbodens vorliegen. Das periimplantäre Bindegewebe sollte gesund und frei von polymorphkernigen Granulozyten sein. Im Zusammenhang mit den genannten Kriterien galten Erfolgsraten ab 75 Prozent nach einem fünfjährigen Beobachtungszeitraum als Erfolg. Diese Kriterien werden heute in dieser Kombination nicht mehr als Richtlinie angesehen. 

Albrektsson et al. (1986) schlugen die folgenden strengeren Kriterien vor:
– Ein unverblocktes Einzelzahnimplantat darf keine Mobilität aufweisen.
– Periimplantär darf es keine Anzeichen radiologischer Transluzenz geben.
– Der vertikale Knochenabbau sollte nach dem ersten Jahr unter Belastung weniger als 0,2 mm pro Jahr betragen.
– Das klinische Erscheinungsbild muss frei sein von Schmerz, Infektionen, Neuropathien,
   Parästhesien oder Verletzung des Canalis mandibularis. 

Im Zusammenhang mit diesen Kriterien galten Erfolgsraten ab 85 Prozent nach einem fünfjährigen Beobachtungs-zeitraum und ab 80 Prozent nach einer 10-Jahresperiode als Erfolg für implantologische Maßnahmen. Einige Jahre später modifizierten Smith und Zarb (1989) die von Albrektsson et al. (1986) vorgeschlagenen Erfolgskriterien dahingehend, dass das Implantat mit einer Suprakonstruktion versorgbar sein muss. 

Die Erfolgskriterien nach Buser et al. (1990) sind wenig konkret und lassen sich wie folgt zusammenfassen:
– Es liegt keine Mobilität des Implantats vor.
– Es findet sich keine kontinuierliche periimplantäre Radiotransluzenz.
– Abwesenheit persistierender Beschwerden wie Schmerz, Fremdkörpergefühl oder Dysästhesie.
– Es liegt keine rezidivierende periimplantäre Infektion mit putrider Sekretion vor. 

Anfang der 1990er-Jahre regten Jahn und d’Hoedt (1992) an, sich auf Standards zu einigen, die eine differenziertere statistische Analyse von Implantaten hinsichtlich deren Erfolgsbewertung erlauben:
– Die periimplantäre Sulkustiefe darf bei zwei aufeinanderfolgenden Untersuchungen nicht mehr als 4mm betragen.
– Die klinische Implantatbeweglichkeit darf den Lockerungsgrad 1 (Klassifikation der
   Deutschen Gesellschaft für Parodontologie 1987), was einer fühlbaren bis 1 mm
   horizontalen Beweglichkeit entspricht, nicht überschreiten.
– Das Implantat darf röntgenologisch keinen beidseitig durchgehenden Spalt mit einer
   Breite von mehr als 0,5mm aufweisen.
– Der anguläre Knochendefekt (Mittelwert der mesial und distal gemessenen Knochentasche
   am Röntgenbild) darf nicht mehr als 30 Prozent der konstruktiv enossalen Implantatlänge betragen.
– Die subjektive Bewertung des Implantats durch den Patienten nach dem deutschen
   Schulnotensystem darf nicht schlechter als „befriedigend“ ausfallen. 

Hierbei wurde die subjektive Beurteilung des Implantats durch den Patienten mit in die Erfolgskriterien einbezogen. Allerdings ist fraglich, ob ein Zusammenhang zwischen subjektivem Patientenurteil und objektiven Parametern besteht (Buch et al. 2003). Roos et al. (1997) unterschieden drei Erfolgsgrade: 

Grad 1
– Es liegt keine Mobilität des unverblockten Implantats vor. Beim Überprüfen der Implantatbeweglichkeit
   wird Mobilität oder Missempfindung bzw. Schmerz als Zeichen von Osseointegrationsverlust gewertet.
– Der marginale Knochenabbau beträgt röntgenologisch während des ersten Jahres nicht
   mehr als 1,0 mm und anschließend nicht mehr als 0,2 mm pro Jahr. Es liegen röntgenologisch
   keine Anzeichen periimplantärer Erkrankung, wie periimplantäre Radioluzenz, vor.
– Es liegen keine schweren Weichgewebsinfektionen, persistierende Schmerzen,
   Parästhesien, Beschwerden etc. vor.  

Grad 2
– Der marginale Knochenabbau beträgt röntgenologisch während des ersten Jahres nicht
   mehr als 1,0mm und anschließend nicht mehr als 0,2 mm pro Jahr. Es liegen röntgenologisch
   keine Anzeichen periimplantärer Erkrankung, wie periimplantäre Radioluzenz, vor.
– Es liegen keine schweren Weichgewebsinfektionen, persistierende Schmerzen,
   Parästhesien, Beschwerden etc. vor. 

Grad 3
– Röntgenologisch betrug der marginale Knochenabbau im letzten Jahr nicht mehr als 0,2 mm,
   jedoch fand zuvor mehr als 1,0 mm Knochenabbau statt. Es liegen röntgenologisch
   keine Anzeichen periimplantärer Erkrankung, wie periimplantäre Radioluzenz, vor.
– Es liegen keine schweren Weichgewebsinfektionen, persistierende Schmerzen,
   Parästhesien, Beschwerden etc. vor. 

Daneben gibt es noch die Kategorien „Unbekannt“ für Implantate, die nicht weiter verfolgt werden konnten (z.B. Patient verstorben oder andere Gründe für Dropout), und „Misserfolg“ für Implantate, die explantiert werden mussten. Die Einteilung in Implantaterfolg Grad 1–3 entstand unter anderem aus dem Grund, dass die Mobilität des unverblockten Implantats nicht bei jeder Kontrolle ohne Weiteres überprüfbar ist, da dies teilweise die Abnahme der Suprakonstruktion voraussetzen würde, was wiederum ein zeitaufwendiger und invasiver Eingriff ist und eine für den Patienten nicht ohne Weiteres routinemäßig zumutbare Belastung darstellt. Diese Klassifikation berücksichtigt weder die periimplantäre Sondierungstiefe noch bezieht sie sich auf klinischen Indizes zur Weichgewebsdiagnostik. Die Formulierung „Es liegen keine schweren Weichgewebsinfektionen, persistierende Schmerzen, Parästhesien, Beschwerden etc. vor“, ist ein wenig differenziertes Kriterium, das viel Spielraum lässt. Die Definition von „Erfolg Grad 3“ ist insofern interessant, da sie auch Implantate berücksichtigt, an denen es in der Vergangenheit zu einem größeren Knochenabbau kam, welcher jedoch im letzten Jahr nicht weiter vorangeschritten zu sein scheint (Knochenabbau ≤ 0,2 mm ist röntgenologisch kaum nachweisbar). In die Kategorie „Erfolg Grad 3“ würden demnach auch Implantate nach erfolgreicher Periimplantitistherapie fallen. 

Andere klinische Langzeitstudien bedienten sich folgender Erfolgskriterien (Naert et al. 1992, Snauwaert et al. 2000):
– Das Implantat darf keinerlei Mobilität aufweisen. Der Periotest-Wert liegt im Bereich von -5
   bis +5 bzw. muss kleiner +8 sein.
– Es findet sich keine periimplantäre Radiotransluzenz.
– Es gibt keine implantatinduzierten Schmerzen, Infektionen oder Parästhesien.
– Es liegt keine Implantatfraktur vor.
– Das Implantat muss zum prothetischen Zahnersatz herangezogen worden sein. 

Hierbei ist fraglich, welche zusätzliche Information Periotest-Messungen am Implantat liefern. Cranin et al. (1998) stellten fest, dass mittels Periotest zwar zuverlässig die Stabilität eines Implantats gemessen werden kann, Periotest-Werte jedoch keinen Schluss auf krestalen Knochenabbau beziehungsweise die Quantität der Osseointegration zulassen. Eine klinische Studie, welche verschiedene Erfolgskriterien hinsichtlich ihrer klinischen Wertigkeit und Praktikabilität verglich, berichtete, dass die Periotest-Messungen keinen zusätzlichen diagnostischen Nutzen in der Beurteilung „Implantat locker/nicht locker“ lieferten (Buch et al. 2003). 

Um aufzuzeigen, wie zahlreich und unterschiedlich die Erfolgsdefinitionen sind, sei auch folgende Einteilung erwähnt (Mau et al. 2003): 

Erfolgskategorie „Kein Osseointegrationsdefizit“:
– Implantat in situ
– maximal 3 mm Knochenabbau
– Periotest-Wert ≤ 10
– keine Mobilität auf manuelle Prüfung  

Erfolgskategorie „Kein funktionelles Defizit“: 
– Implantat in situ
– maximaler Knochenabbau ≤ ½ der Implantatlänge
– Mobilität auf manuelle Prüfung ≤ Grad 1 (schwache, gerade spürbare Beweglichkeit) 

In allen dargestellten Erfolgskriterien steht der periimplantäre Knochen im Vordergrund, und die diagnostischen Parameter dienen dazu, die Qualität und Quantität des Knochens festzustellen. Die Vermessung des radiologischen Knochenniveaus im Zehntelmillimeter- Bereich ist jedoch aufgrund der Zweidimensionalität konventioneller Röntgenbilder nur eingeschränkt aussagekräftig (Buch et al. 2003). Dreidimensionale Bildgebung kann die Beurteilung des periimplantären Knochens vestibulär und oral ermöglichen (Abb. 1a–e). 

Erst Anfang 2000 wurden von Karoussis et al. (2003) erstmals neben den bekannten Parametern zur Knochendiagnostik die aus der Parodontologie bekannten Parameter zur Diagnostik des Weichgewebes herangezogen. So wurde folgende Kombination von Erfolgskriterien angewandt:
– Fehlen von Mobilität (Buser et al. 1990)
– Abwesenheit persistierender subjektiver Beschwerden (Schmerz, Fremdkörpergefühl und/
   oder Dysästhesie) (Buser et al. 1990)
– keine ST > 5 mm (Mombelli u. Lang 1994, Brägger et al. 2001)
– keine ST = 5 mm und BNS-positiv (Mombelli und Lang 1994) – Abwesenheit kontinuierlicher
   periimplantärer Radioluzenz (Buser et al. 1990)
– Nach dem ersten Jahr unter Funktion sollte der jährliche vertikale Knochenabbau 0,2 mm nicht
   überschreiten (Albrektsson et al. 1986, Albrektsson und Isidor 1994). 

Binahmed et al. (2007) nutzten folgende Kombination von Erfolgskriterien:
– Das einzelne Implantat ist unbeweglich.
– Das unverzerrte Röntgenbild zeigt keine periimplantäre Radioluzenz.
– Der mittlere vertikale Knochenabbau beträgt weniger als 30 Prozent.
– Abwesenheit von persistierendem Schmerz, Beschwerden oder Infektion.
– Das Implantatdesign beziehungsweise die Implantatposition darf die Versorgung
   mit einer den Patienten und Zahnarzt ästhetisch zufriedenstellenden Suprakonstruktion nicht behindern. 

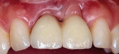
Gerade der Aspekt der „ästhetischen Versorgbarkeit“ sollte auch in zukünftigen Erfolgsdefinitionen nicht vernachlässigt werden (Abb. 2). Zwar haben Binahmed et al. (2007) im Rahmen ihrer Studie Weichgewebsdiagnostik durchgeführt (Sondierungstiefe, Gingival- Index), sind jedoch in den Erfolgskriterien nicht weiter darauf eingegangen. Weiterhin bleibt anzumerken, dass unklar ist, wie die Mobilität der einzelnen Implantate von Brücken zu überprüfen ist. 

Auf der „Pisa Consensus Conference 2007“ wurden folgende Kategorien zur Klassifikation für Implantate vorgeschlagen (Misch et al. 2008):  

1. Success (optimum health) 
– weder Schmerz noch Druckempfindlichkeit bei funktioneller Belastung
– keine Mobilität
– < 2 mm röntgenologischer Knochenabbau seit Implantation
– keine Exsudation  

2. Satisfactory survival
– kein Schmerz bei funktioneller Belastung
– keine Mobilität
– 2–4 mm röntgenologischer Knochenabbau
– keine Exsudation 

3. Compromised survival
– Empfindlichkeit bei funktioneller Belastung
– keine Mobilität – 4 mm röntgenologischer Knochenabbau, doch weniger als ½ der Implantatlänge
– ST > 7mm
– evtl. Exsudation 

4. Failure
– Schmerz bei funktioneller Belastung
– Mobilität
– röntgenologischer Knochenabbau weniger als ½ der Implantatlänge
– nicht therapierbare Exsudation
– Implantat nicht prothetisch versorgbar (Sleeper)
– Implantat nicht mehr in situ 

Hierbei wird berücksichtigt, dass es periimplantäre Gesundheitszustände zwischen den Stadien „Erfolg“ und „Misserfolg“ gibt. So fallen in die Kategorie „Satisfactory survival“ Implantate, die ehemals klinische Probleme aufwiesen bzw. potenziell gefährdet sind. Wohingegen zur Gruppe „Compromised survival“ Implantate zählen, welche von Periimplantitis betroffen sind. 


Fazit 

Zusammenfassend ist festzustellen, dass der Vergleich von Komplikations-, Überlebens- und Erfolgsraten von Implantaten schwierig ist, da es kein Übereinkommen hinsichtlich deren Definitionen gibt. Es zeigt sich, dass die Überlebensrate kaum zur Bewertung von Implantatsystemen geeignet ist. Zahlreiche Kombinationen von Erfolgskriterien wurden bereits vorgeschlagen, welche Kombination sich in Zukunft durchsetzten wird, ist schwer einzuschätzen. Insbesondere die Kriterien von Albrektsson et al. (1986) finden häufig Anwendung.

Mehrere Studien verdeutlichten die Abhängigkeit der Erfolgsrate von den angewandten Kriterien (Malmqvist u. Sennerby 1990, Buch et al. 2003, Karoussis et al. 2003, 2004, Binahmed et al. 2007). Es zeichnet sich ab, dass mit zunehmender chirurgischer sowie implantat-prothetischer Erfahrung die Erfolgskriterien strenger werden. Neben der röntgenologischen Bewertung des periimplantären Knochenniveaus sollte auch die klinische Diagnostik (z.B. Sondierungstiefe, gingivale Rezession, Bluten nach Sondieren, Gingival- Index) zur Erfolgsbewertung von Implantaten hinzugezogen werden. Noch ist nicht geklärt, ob und wann ein Implantat nach behandelter Mukositis oder Periimplantitis wieder in die Kategorie „Erfolg“ eingestuft werden kann (Abb. 3a–f). Auch sollte diskutiert werden, inwiefern ein Implantat – zusätzlich zu den gängigen Erfolgskriterien – nicht auch die Forderung nach ästhetischer Versorgbarkeit erfüllen sollte, um als Erfolg klassifiziert zu werden. Zur zuverlässigen Vergleichbarkeit von Erfolgsraten ist die Einigung auf einen praktikablen, möglichst wenig anwendersensitiven Bewertungskatalog erforderlich.  

Mehr Fachartikel aus Implantologie

ePaper