Implantologie 01.07.2014

Präimplantologische Magnetextrusion



Präimplantologische Magnetextrusion

Foto: © Autor

Zur Optimierung des Hart- und Weichgewebes kann im Vorfeld einer Implantation eine Magnetextrusion vorgenommen werden. Das Team ZÄ Sabrina Gaitzsch und Dr. med Thomas Barth stellt anhand eines Patientenfalles das Vorgehen bei dieser Methode dar.

Die Extrusion von Wurzeln nicht mehr erhaltungswürdiger Zähne gilt als eine elegante und vor allem nichtinvasive Methode, Knochen zu gewinnen. Der Ursprung der kieferorthopädischen Extrusionstherapie wurde schon 1974 von Ingber beschrieben. Ziel war es, vertikale Knocheneinbrüche auszugleichen. Das Parodont sollte aus diesen vertikalen Einbrüchen „langsam herauswachsen“. Auch B. Zachrisson hat sich mit dieser Thematik beschäftigt. Seine Arbeitshypothese besagt, dass die orthodontische Zahnbewegung die beste und vorhersagbarste Möglichkeit ist, Knochen und Weichgewebe zu regenerieren. Sowohl in horizontaler als auch in vertikaler Richtung.

Mit der Extrusion der Wurzel bewegt man den Alveolarknochen und das parodontale Gewebe in koronale Richtung. Das Weichgewebe folgt dem Hartgewebe dabei nur zu ca. 80 Prozent (Kajiyama et al. 1993). Es handelt sich hierbei um eine biologische Variante der Knochengewinnung. Auf dieser natürlichen Grundlage lassen sich gute Hart- und Weichgewebsresultate erzielen, die sowohl funktionell als auch ästhetisch gute Voraussetzungen für ein Implantat und die spätere prothetische Versorgung darstellen.

Eine größere Resorption der bukkalen Knochenlamelle wird weitgehend verhindert und alveoläre Strukturen und der Faserapparat bleiben erhalten. Wichtig dabei ist, mit geringen Kräften zu arbeiten und eine ausreichende Retentionszeit einzuplanen. Es kommt zu einem langsamen Zug auf das Parodont, das möglichst noch bis zu 50 Prozent vorhanden sein sollte. Der aktiven Extrusionsphase von vier bis sechs Wochen schließt sich eine sechswöchige Retentionsphase an (Salama et al. 1993). H. Wachtel spricht sogar von einer Retentionszeit von sechs bis acht Monaten, um einen ausgereiften Knochen zu erhalten.

Die Ausheilung des Weichgewebes ist meist nach drei Monaten abgeschlossen, danach kann man von einem langfristig stabilen Ergebnis ausgehen – Voraussetzung dabei ist immer ein stabiles Hartgewebe.

Klinisches Vorgehen

In unserer Praxis wurden bei fünf Patienten Implantationen nach Magnetextrusion erfolgreich durchgeführt. Einen klinischen Fall möchten wir an dieser Stelle vorstellen. Der Patient stellte sich im Dezember 2011 zu einem Implantatgespräch in unserer Praxis vor. Die Zähne 11 und 21 waren überkront und nach Aussage des Patienten „locker“. Im OPG war fortgeschrittener horizontaler und vertikaler Knochenabbau an den Zähnen 11 und 21 sichtbar, vor allem aber am Zahn 11 (Abb.1 und 2). Klinisch wies der Zahn 11 eine Lockerung auf (LG II) und es imponierte vestibulär ein submuköser Abszess, aus dem sich nach der Inzision Pus (++) entleerte (Abb. 3).

Die Auswertung der klinischen und röntgenologischen Befunde ergab, dass beide Zähne nicht mehr erhaltungswürdig waren.

Für den Lückenschluss gab es drei Optionen. Erstens, eine konventionelle Brückenversorgung von 12 nach 22, zweitens Augmentation mit Knochenblock oder Knochenersatzmaterial bzw. Kombination von Knochenblock oder Knochenersatzmaterial und anschließender Implantation in Regio 11 und 12, einzeitig oder zweizeitig. Und zum Dritten, nach Abklingen der akuten Entzündung über eine Magnetextrusion den eigenen Knochen mitzunehmen mit anschließender Implantation in Regio 11 und 21. Der Patient wurde ausführlich über Vor- und Nachteile sowie die Risiken aufgeklärt – auch darüber, dass 12 und 22 die strategisch besseren Implantatregionen darstellen. Danach hat sich der Patient für die Magnetextrusion und eine Marylandbrücke als therapeutisches Provisorium entschieden. Im März 2012 wurden die Zahnkronen dekapitiert (Abb. 4) und die Kavitäten für die Magnete präpariert. Die Marylandbrücke kürzte man basal ein, um die Gegenstücke zu den Magneten einzuarbeiten. Danach folgte die adhäsive Befestigung (Abb. 5). Als Abstand der Magnete haben wir 2 mm als Ausgangswert vorgegeben. Bereits zwei Wochen später waren die Zahnwurzeln an die Brücke „herangewachsen“. Nach weiteren vier Wochen ist im Zahnfilm bereits eine beginnende Knochenregeneration sichtbar (Abb. 6).

Anfang Mai 2012 erfolgte eine weitere Röntgenkontrolle, wobei die Knochenregeneration noch deutlicher sichtbar war. Die Magnete wurden aus den Zahnwurzeln entfernt, diese wieder bis auf Gingivaniveau gekürzt und die Magnete erneut mit einem Abstand von 2 mm eingesetzt.

Im Juli 2012 extrahierte man die extrudierten Wurzeln und die Sofortimplantation in Regio 11 und 21 schloss sich an. Ein deutlicher Knochengewinn ist im Zahnfilm vor der Operation erkennbar (Abb. 7). Es wurden zwei CAMLOG Promote plus Implantate 3,8 x 16 mm mit dazugehörigen PS Gingivaformern verwendet (Abb. 8). Zusätzlich entschied man sich für eine vestibuläre Augmentation mit Bio-Oss (Fa. Geistlich) und Abdeckung mit einer Geistlich Bio-Gide Membran (Fa. Geistlich) als Resorptionsschutz. Um das Weichgewebe zu verdicken, wurde ein Bindegewebstransplantat vom Gaumen in Regio 23–25 entnommen und über der Membran ein - gebracht (Abb. 9). Nach sorgfältigem speicheldichten Wundverschluss (Abb. 10) erfolgte die adhäsive Eingliederung des Langzeitprovisoriums.

Nach einer Einheilphase von drei Monaten schließt sich die Abformung für ein Langzeittherapeutikum zur optimalen Ausformung der Weichgewebe an, welches noch am selben Tag eingegliedert wurde.

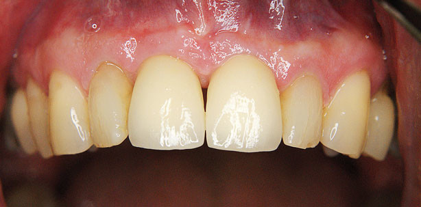
Nach weiteren zwei Monaten konnte nach Ausformung der Weichgewebe die Abformung für die definitiven Kronen stattfinden. Im Dezember 2012 wurden die Frontzahnimplantate definitiv mit Zirkonkronen versorgt (Abb. 11 und 12). Die Kontrolluntersuchung nach einem Jahr zeigt ein stabiles Ergebnis (Abb. 13).

Fazit

In unserer Praxis wurden 2011 bis 2012 fünf Patienten nach Magnetextrusion implantiert. Die Nachkontrollen nach der Versorgung mit definitivem Zahnersatz ergaben ein halbes und ein Jahr später stabile Hart- und Weichgewebssituationen. Als biologische Variante, Knochen zu gewinnen, stellt die Magnetextrusion eine sehr gute alternative Behandlungsmethode, um größere augmentative Verfahren zu vermeiden, dar. Sie ist wie eingangs erwähnt eine elegante, minimal invasive Möglichkeit, Knochen „mitzunehmen“ und zu stabilisieren.

Die Extrusionstherapie hat positiven Einfluss auf die Neubildung von Hart- und Weichgewebe. Alveoläre Strukturen und der Faserapparat bleiben stabil. Die Resorption der Alveole und des umgebenden Weichgewebes wird deutlich vermindert. Zudem reduziert man die Anzahl der operativen Eingriffe oder umgeht unter Umständen einen Knochentransfer. Das bringt auch für den Patienten eine Ersparnis an Zeit und körperlicher Belastung, aber auch wirtschaftliche Vorteile.

Eine Reihe von Kollegen beschäftigt sich mit dieser Thematik (u. a. M. Schlee, O. Zuhr, S. Neumeyer). Dennoch fehlen bisher Langzeitstudien. Langfristig stabile funktionelle und ästhetische Ergebnisse klinischer Fälle in den einzelnen Praxen zeigen jedoch die Ebenbürtigkeit dieses Behandlungssverfahrens.

Hier finden Sie die Literaturliste.

Autoren: ZÄ Sabrina Gaitzsch, Dr. med. Thomas Barth

Mehr Fachartikel aus Implantologie

ePaper