Implantologie 10.11.2011

Periimplantitis – erfolgreich behandelbar?



Periimplantitis – erfolgreich behandelbar?

Implantate sind inzwischen fester Bestandteil des zahnärztlichen Behandlungsspektrums. Parallel dazu rückt der Zahnarzt weiter von den traditionellen, konservativ-prothetisch orientierten Konzepten ab, sodass auch künftig mehr Implantatversorgungen absehbar sind. Dies bedeutet aber auch, dass besonders im Hinblick auf eine längerfristige Gebrauchsperiode der Implantate zunehmend mit periimplantären Komplikationen zu rechnen ist.

Neben kariogenen Ursachen sind die häufigsten Gründe für einen Zahnverlust infektiöse, destruktive Entzündungsprozesse in den zahnumgebenden Geweben. Ein Implantat, welches einem aus parodontalen Gründen verloren gegangenen Zahn folgt, unterliegt einem vergleichbaren Risiko, ein ähnliches Schicksal zu erfahren. Hierbei kann in Abhängigkeit vom Ausmaß der entzündlichen Destruktionen zwischen einer periimplantären Mukositis, welche durch erhöhte Sondierungstiefen aufgrund einer Hyperplasie des Weichgewebes (Pseudotasche) gekennzeichnet ist, und einer Periimplantitis unterschieden werden, bei welcher zusätzlich der implantatumgebende Knochen vom Entzündungsprozess betroffen ist.

Die Datenlage zur Prävalenz der periimplantären Entzündungsprozesse ist eher bescheiden und sollte daher vorsichtig interpretiert werden. Die Prävalenz der periimplantären Mukositis wird heute mit bis zu 50%,1 die der Periimplantitis mit ca. 8 bis 10%2,3 aller Implantate angegeben. Die Plaqueakkumulation nimmt einen entscheidenden ätiologischen Stellenwert bei der Entstehung und Progression periimplantärer Infektionen ein. Hierbei ähnelt das überwiegend gramnegative, anaerobe Keimspektrum dem Keimspektrum marginaler Parodontopathien.4 Klinisch entwickeln sich Periimplantitiden am ehesten bei Personen mit schlechter Mundhygiene und/oder mit einer Parodontitisanamnese, bei Rauchern und bei Diabetikern. Um einer Progression der Erkrankung entgegenzuwirken und die Wiederherstellung einer Implantatoberfläche, die eine Reosseointegration zulässt, zu ermöglichen, müssen durch eine kausal gerichtete Therapie, ohne die Implantatoberfläche zu verändern, bakterielle Endotoxine, Konkremente, Biofilm und Granulationsgewebe vollständig entfernt werden.5 Die modernen Implantatsysteme weisen in der Regel eine komplexe, mikrostrukturierte Oberfläche auf, welche zum Teil eine erheblich schnellere Osseointegration und Stabilitätszunahme im Vergleich zu maschinierten Oberflächen ermöglichen. Werden andererseits solche Implantatoberflächen dem Mundmilieu zugänglich, entstehen ideale Schlupfwinkel für hochpathogene anaerobe Bakterien, sodass in der Folge eine vermehrte Plaqueakkumulation stattfindet.6 Darüber hinaus erschweren die vielfältigen Implantatoberflächenmodifikationen eine effektive, insbesondere subgingivale Biofilm- und Konkremententfernung erheblich.7 Deshalb sind solche parodontalen und periimplantären Infekte generell schwierig zu therapieren, da sich die hochvirulenten Biofilme nach ihrer (oft bestenfalls nur teilweisen) Entfernung innerhalb kürzester Zeit neu formieren und Pathogene sich hierbei in einer extrazellulären Matrix erfolgreich gegen Chemotherapeutika sowie Immunmechanismen abkapseln können.  Die verschiedenen Dekontaminationsverfahren (mechanisch, elektro-physikalisch, chemisch) reduzieren zwar das Infektionsrisiko, ermöglichen bzw. bedingen jedoch oftmals keine Knochenregeneration an der Implantatoberfläche. Dementsprechend konnte bislang kein zuverlässiges Behandlungskonzept gegen Periimplantitiden etabliert werden.

Therapiemöglichkeiten der Periimplantitis

Zur rein mechanischen Biofilmentfernung stehen derzeit Plastik- und Titanküretten, speziell modifizierte Arbeits­enden für Ultraschallsysteme, hochenergetische Laserlichtanwendungen, die antimikrobielle Photodynamische Therapie und Pulverstrahlverfahren zur Verfügung.  Mit Plastik- oder Titanküretten wird jedoch nur eine unzureichende Reinigung, geschweige denn Dekontamination der texturierten und durch die Schraubenwindungen stark verwinkelten Implantatoberflächen erreicht. Darüber hinaus besteht das Risiko, mit Titanküretten die Oberfläche der Implantate zu verändern bzw. zu zerkratzen. Allerdings ist bei der Anwendung von Handinstrumenten eine Überwärmung der Titanoberfläche nicht zu erwarten.8 Konventionelle Ultraschallsysteme haben neben der Hitzeentwicklung an der Arbeitsspitze bei unzureichender Kühlung9 den Nachteil der Aerosolbildung.10

In den letzten Jahren sind einige auf die Periimplantitis-Behandlung optimierte Ultraschallsysteme mit  modifizierten Ultraschallansätzen (z.B. das Vector-System; DÜRR DENTAL, Bietigheim-Bissingen, Deutschland, oder das Piezon Master/Implant Cleaning, EMS, Nyon, Schweiz) auf den Markt gebracht worden. In einer klinischen Untersuchung wurden bei der nichtchirurgischen Parodontaltherapie mit dem Vector-System nach sechs ­Monaten ähnliche Attachmentgewinne im Vergleich zu handinstrumentellem Scaling und Wurzelglätten ­erzielt.11 In Bezug auf die Entfernung bakterieller Biofilme von texturierten Implantatoberflächen zeigte das Vector-System signifikant bessere Ergebnisse verglichen mit Plastikküretten.8 Die Entwicklung spezieller Polykarbonat- und Polyetheretherketon-Faserspitzen sollte hierbei die Beschädigungen bzw. Veränderungen an der Implantatoberfläche verringern.

Zur Dekontamination von Implantatoberflächen wurden in den letzten Jahren vermehrt auch Laserlicht-Systeme eingesetzt. Hierbei steht insbesondere das bakterizide Potenzial des Lasers auf pathogene Mikroorganismen im Vordergrund.12,13
CO2-, Dioden- und Er:YAG-Laser scheinen für die klinische Anwendung am besten geeignet zu sein, da durch die Bestrahlung, in Abhängigkeit von der Behandlungsdauer sowie den Energieeinstellungen, eine schonende Instrumentierung der Implantatoberfläche erreicht werden kann.14–16 Bereits bei der Parodontitistherapie konnte gezeigt ­werden, dass vor allem mit dem Er:YAG-Laser ein schonender Abtrag subgingivaler Konkremente von der Wurzeloberfläche möglich ist17,18 und zu einem signifikanten Attachmentgewinn führt.19,20 Darüber hinaus entfernte der Er:YAG-Laser bakterielle Biofilme von texturierten Implantatoberflächen signifikant besser als solche, welche mit dem Vector-Ultraschall-System oder mit Handinstrumenten bearbeitet wurden.8 Diese Ergebnisse sind jedoch klinisch weniger relevant, als vermutet werden könnte. Die besseren Dekontaminationsleistungen des Vector-Ultraschall-Systems und des Er:YAG-Lasers führten in prospektiven Untersuchungen nach drei bzw. sechs Monaten zwar zu einer Reduktion des Sondierungsblutens (BOP) und zu einem geringen klinischen Attachmentgewinn. Allerdings wurden mit Plastik- und Karbonküretten vergleichbare Ergebnisse erzielt.21,22

Der CO2-Laser konnte klinisch ebenfalls zu einer offenbar ausreichend wirksamen Dekontamination der Implantatoberfläche beitragen.23,24 Bei der antimikrobiellen Photodynamischen Therapie (aPDT) wird eine lichtaktive Farbstofflösung als Photosensibilisator in die periimplantäre Tasche eingebracht. Während der Einwirkzeit von mindestens 60 Sekunden diffundiert der Farbstoff in den Biofilm und lagert sich an die Bakterienmembran an. Im Anschluss erfolgt die Aktivierung des Photosensibilisators mithilfe einer niedrig­energetischen Laserlichtquelle. Dabei entstehen sogenannte Singulettsauerstoffmoleküle, welche eine starke oxidative Wirkung haben. Sie reagieren mit der Bakterienmembran und schädigen diese dabei irreversibel.25–27 Hierdurch wird unmittelbar eine Abtötung der im periimplantären Gewebe und auf der Implantatoberfläche befindlichen Keime erreicht. Da die überschüssige Farbstofflösung (nach der Einwirkzeit) lediglich mit sterilem Wasser abgespült wird und nach der Laserlichtaktivierung kein weiterer Reinigungs- bzw. Auswaschvorgang stattfindet, verbleiben (zwar) abgestorbene, jedoch toxische Bakterienbestandteile auf der Implantatoberfläche sowie im periimplantären Gewebe. Eine Dekontamination findet somit nur bedingt statt.

Offensichtlich wirkt sich dieser Nachteil klinisch kaum aus, da auch die weiter oben beschriebenen Behandlungsverfahren im Vergleich zur Anwendung konventioneller Kunststoffküretten hinsichtlich der kurz- und mittelfristigen Behandlungsergebnisse am Patienten keine erheblichen Verbesserungen bewirken, obwohl davon ausgegangen werden kann, dass die konventionellen Handinstrumente eine nur unzureichende Dekontamination ermöglichen. Neben der rein physikalisch-mechanischen Bearbeitung der Implantatoberflächen werden auch chemische Verfahren (z.B. die Applikation von Chlorhexidinspüllösungen, Zitronensäure, Wasserstoffperoxid, Natriumhypochlorit, Listerine u.a.) zur Desinfektion der biofilmbesiedelten Implantatoberflächen eingesetzt.

In einer aktuellen klinischen Untersuchung wurden die Desinfektionswirkungen von Natriumhypochlorit (1%), Wasserstoffperoxid (3%), Chlorhexidinglukonat (0,2%), Plax (Triclosan 0,3%), Listerine coolmint und Zitronensäure (40%) untersucht.28 Alle getesteten Antiseptika waren in der Lage, die Keimbelastung an Titanoberflächen zu reduzieren. Darüber hinaus zeigten Listerine, Chlorhexidinglukonat, Natriumhypochlorit und Wasserstoffperoxid eine bakterizide Wirkung gegenüber ­adhärenten Bakterien. Chemische Verfahren allein haben aufgrund der zum Teil nur geringen Durchdringungstiefe des Biofilms und der nur kurzen Effektdauer eine klinisch nicht ausreichende desinfizierende Wirkung. Darüber hinaus würde der partiell letale Biofilm von der Implantatoberfläche nicht entfernt werden, da der Reinigungseffekt fehlt. An einer derartig, mit zum Teil „bakteriellem Totmaterial“ benetzten Implantatoberfläche kann keine Wiederanheftung von parodontalem Gewebe erwartet werden.

In der Regel werden deshalb die rein mechanischen Dekontaminationsverfahren in Kombination mit einer chemischen Komponente angewendet (z. B. Chlorhexidinspüllösungen und die Anwendung von Lasern oder Kürettage). Darüber hinaus besteht die Möglichkeit, nach mechanisch/chemischer Dekontamination der Implantatoberfläche ein 1,5%iges Chlorhexidingel (0,5% Chlorhexidindigluconat und 1% Chlorhexidindihydrochlorid) auf Xanthan-Basis (ChloSite, Ghimas, Italien) direkt in den Defekt bzw. die Zahnfleischtasche zu applizieren. Die klinische Verweildauer in der behandelten Zahnfleischtasche soll zwei bis drei Wochen betragen. Über diesen Zeitraum wird parallel zum Abbau des Gels stetig Chlorhexidin freigesetzt, wodurch während der gesamten Phase Bakterien bekämpft werden können. Dies könnte sich vorteilhaft auf das Heilungsverhalten auswirken, da die unmittelbar nach der dekonterminierenden Periimplantitistherapie einsetzende Biofilmneubildung an der Implantatoberfläche erschwert wird. Andererseits konnten neuere Untersuchungen zeigen, dass Chlorhexidin einen negativen Einfluss auf die Fibroblastenproliferation ausübt und somit womöglich die Bildung von Reattachment behindert wird.29 Hier sind kontrollierte, prospektive klinische Untersuchungen notwendig, um die klinische Wirksamkeit überhaupt beurteilen zu können.

Neben den bereits beschriebenen Dekontaminationsverfahren sollte eine jüngst überarbeitete bzw. weiterentwickelte Methode zur Biofilmentfernung, nämlich die nied­rigabrasive Pulverstrahltechnik, nicht unerwähnt bleiben. Pulverstrahlgeräte sind bereits seit Jahren im Rahmen der supragingivalen Anwendung insbesondere bei der professionellen Zahnreinigung erfolgreich im Einsatz. Die Indikationserweiterung auf subgingivale mit Biofilm belastete Oberflächen war seinerzeit mit erheblichen Nachteilen assoziiert, da geeignete Instrumentenansätze nicht verfügbar waren und als Strahlgut ausschließlich Natriumbikarbonat-Pulver benutzt werden konnte. Hieraus resultierte eine unzureichende Reinigungsmöglichkeit der texturierten Implantatoberflächen und darüber hinaus bestand die Gefahr einer Emphysembildung.30–32

Diese Probleme wurden mittlerweile weitestgehend gelöst. Das unlösliche Natriumbikarbonat-Pulver wurde durch lösliches, weniger abrasiv wirkendes Glyzin-Pulver (z. B. Air-Flow powder Perio, EMS, Nyon, Schweiz) ersetzt. Die Reinigungs- bzw. Dekontaminationswirkung an Implantatoberflächen dieser (ca. 25µm großen) aus der Aminosäure Glyzin bestehenden Kristalle ist signifikant besser im Vergleich zu konventionellen Handinstrumenten und Ultraschallscalern.33–35 Darüber hinaus konnte in einer klinischen Untersuchung gezeigt werden, dass das Glyzin-Pulver im Rahmen des Strahlverfahrens keine negativen Effekte auf das umgebende Weichgewebe ausübte. Im Vergleich hierzu bewirkten konventionelle Handinstrumente eine erhebliche Traumatisierung der angrenzenden Weichgewebe.36

Die Entwicklung neuer Instrumentenansätze insbesondere für die geschlossene Parodontitis- und Periimplantitistherapie (Perio-Flow Handstück für Air-Flow Master, EMS) ermöglicht nunmehr eine effiziente Reinigung der Implantatoberfläche bei einer weitestgehend atraumatischen, geschlossenen Vorgehensweise.37 Das spezielle Design der Instrumentenspitze führt zu einer horizontalen Umlenkung des Pulverstrahls und zu einer erheblichen Druckreduktion, sodass die Gefahr der Emphysementstehung äußerst gering sein dürfte. Bisher wurde mit diesen Instrumentenansätzen noch keine Emphysembildung beobachtet.37 Tatsächlich ermöglicht diese Therapiemethode eine drei- bis fünfmal kürzere Behandlungsdauer mit signifikant weniger Schmerzen für den Patienten verglichen mit konventionellen Handinstrumenten.37 Allerdings kann auch mit der niedrigabrasiven Pulverstrahltechnik selbst kurzfristig betrachtet keine verbesserte Keimreduktion erreicht werden, da der erneute mikrobiologische Befund (sieben Tage nach Therapie) eine vergleichbare Keimbelastung bei den mit Handinstrumenten oder Pulverstrahltechnik behandelten Patienten zeigte.37
In der nachfolgenden Falldarstellung werden Behandlungskonzepte zur Dekontamination biofilmbesiedelter Implantatoberflächen mit niedrigabrasiver Pulverstrahltechnik vorgestellt.

Therapie der periimplantären Mukositis und Periimplantitis

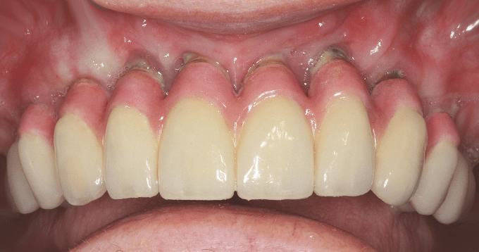
Bei dem vorgestellten Fall handelte es sich um eine 84-jährige Patientin, welche neben einer vor Kurzem diagnostizierten Parkinson-Erkrankung eine unauffällige Allgemeinanamnese zeigte. Die Patientin wurde neun Jahre zuvor in Ober- und Unterkiefer mit zahlreichen ­Implantaten und festsitzendem Zahnersatz versorgt (Abb. 1). Im Oberkiefer wurde seinerzeit eine vollständig verblockte Brückenkonstruktion mit Extensionsgliedern im Molarenbereich eingesetzt. Im Unterkiefer waren hingegen eine Frontzahnbrücke auf noch vorhandenen Restzähnen sowie bilateral verblockte Implantatkronen in den Seitenzahnbereichen vorhanden.  Die Patientin zeigte eine den Reinigungsmöglichkeiten der festsitzenden prothetischen Versorgungen entsprechende sowie altersbedingt akzeptable Mundhygiene. Im Bereich der Verblockungen, der Übergänge Krone/ Abut­ment sowie Abutment/Implantatschulter und insbesondere der Extensionsglieder im Oberkiefer konnte jedoch offensichtlich keine ausreichende Biofilmentfernung durch die Patientin sichergestellt werden (Abb. 2). Interessanterweise zeigte das periimplantäre Weichgewebe trotz alledem eine nur gering ausgeprägte Entzündungsreaktion. Offenbar verfügte die Patientin über eine hervorragende immunologische Kompetenz, da es bereits über eine Zeitspanne von neun Jahren zu keinen größeren Hart- und Weichgewebeverlusten gekommen war. Lediglich an den beiden in der Prämolarenregion befindlichen, vergleichsweise kurzen Implantaten im Oberkiefer konnte ein Knochenabbau bis zur Hälfte der Implantatlänge ermittelt werden (Abb. 1).

Im Hinblick auf das Alter der Patientin sowie ihrer physischen Belastbarkeit und der bisher gezeigten immunologischen Leistungsfähigkeit der Weich- und Hartgewebe wurde der geschlossenen Therapie der Vorzug gegeben. Hierbei wurden mithilfe eines niedrigabrasiven Glyzin-Pulvers (Air-Flow Pulver Perio, EMS) im Pulverstrahlverfahren (Air-Flow Master, EMS) alle sichtbar mit Plaque und Zahnstein kontaminierten implantatnahen Oberflächen gereinigt (Abb. 3). Der Pulverstrahl musste hierbei für nur einige Sekunden, in schrägem Winkel auf die zu dekonterminierende Oberfläche gerichtet werden, sodass die gesamte Behandlung nur wenig Zeit erforderte. Darüber hinaus ist in der Regel keine lokale Anästhesie erforderlich, da das Pulverstrahlverfahren nur selten Schmerzen verursacht. Die Blutungsneigung der angrenzenden Gingiva war in Abhängigkeit vom Entzündungszustand relativ gering (Abb. 4). Abschließend erfolgte eine antiseptische Spülung (im vorliegenden Fall mit Chlorhexidindigluconatlösung 0,2%) der gereinigten Oberflächen und Zahnfleischtaschen.

Die Periimplantitisbehandlung an den beiden endständigen, in der Prämolarenregion befindlichen Implantaten erfolgte mithilfe eines speziell hierfür optimierten Handstücks und Instrumentenansatzes (Perio-Flow Handstück und Düse, EMS; Abb. 5). Die Instrumentenspitze besteht aus einem dünnen, konisch-pyramidal geformten Hohlkörper, welcher kurz vor dem (für das Glyzin-Pulver) verschlossenen Ende drei kleine Austrittsperforationen im Winkel von jeweils 120° zueinander besitzt. Der Pulverstrahl wird somit vollständig in horizontale Richtungen umgelenkt und gleichzeitig der Austrittsdruck erheblich vermindert. Am Ende der Instrumentenspitze tritt hingegen Wasser aus, sodass ein wirksames Herausspülen des dekontaminierten Glyzin-Pulvers vom Fundus der Zahnfleischtasche ausgehend gewährleistet wird. Die Pulverapplikation sollte pro Zahnfleischtasche eine Dauer von fünf Sekunden nicht überschreiten (Abb. 6). Während des gesamten Pulverstrahlvorgangs muss eine effiziente Absaugung sichergestellt werden. Abschließend wurden die Taschen mit einer antiseptischen Mundspüllösung (Chlorhexidindigluconat 0,2%) gespült, um die dekontaminierende Wirkung zu steigern und in den Zahnfleischtaschen verbliebene Pulverreste herauszuspülen. In der Zahnfleischtasche zurückbleibende Pulverreste auf Glyzin-Basis sind jedoch unkritisch, da sie innerhalb kurzer Zeit abgebaut werden.

Fazit

Die Behandlung der periimplantären Mukositis und der Periimplantitis beschränkt sich heutzutage immer noch hauptsächlich auf die Reinigung bzw. Dekontamination der freiliegenden mit pathogenen Mikroorganismen besiedelten Implantatoberflächen. Die biofilmzerstörende Wirkung beschränkt sich bei allen verfügbaren Verfahren auf den Zeitpunkt der Anwendung. Der nachfolgende und begleitende Einsatz von Antiseptika ermöglicht leider keine nennenswerte Verlängerung der Kontaminationsfreiheit. Die Tatsache, dass einige Methoden eine initial bessere Dekontamination ermöglichen (insbesondere niedrigabrasive Pulverstrahl- und Laserlichtverfahren), darf nicht darüber hinwegtäuschen, dass bereits unmittelbar nach der Therapie eine Neubesiedelung der gereinigten Implantatoberflächen beginnt und ein Reattachment der periimplantären Gewebe nur in sehr eingeschränktem Maße wahrscheinlich bzw. primär von der Leistungsfähigkeit des patienteneigenen Immunsystems abhängig ist.

Praktisch nicht wirksam behandelbar sind diejenigen Patienten, welche trotz einer guten Mundhygiene eine Parodontitis aufgrund eines partiell kompromittierten Immunsystems entwickeln. Gerade diese Patienten werden jedoch langfristig betrachtet ihre Zähne verlieren und dann den Wunsch nach festsitzendem Zahnersatz äußern. Im Rahmen der sich immer stärker präventiv ausrichtenden Zahnheilkunde und der damit in der Bevölkerung stetig verbessernden Mundhygiene, ist es zukünftig zu erwarten, dass vor allem diese immunologisch beeinträchtigten Patienten für Implantatversorgungen übrig bleiben.  Die fundamentale Problemstellung, nämlich die Optimierung der wirtseigenen Immunantwort auf die parodontalpathogenen Keime, wurde bisher leider nicht einmal ansatzweise gelöst. Deshalb sind sowohl Parodontitis- als auch Periimplantitisbehandlungen für solche Patienten insbesondere langfristig betrachtet oftmals nur wenig hilfreich bzw. können den Zahn- bzw. Implantatverlust nicht verhindern. Die parodontalpathogenen Keime spielen eine Schlüsselrolle im Ursachenkomplex der Parodontitis-/Periimplantitisentstehung. Die effiziente Eliminierung dieser Erreger wird daher allgemeinhin als besonders wichtig angesehen. Tatsächlich wird jedoch nur eine partielle Keimreduktion für eine kurze Zeitspanne auf wenigen ausgewählten Oberflächen innerhalb der Mundhöhle erzielt bzw. erzielbar sein. Die hierfür verfügbaren Verfahren unterscheiden sich erheblich in Bezug auf die Einfachheit und die Zeiteffizienz der Anwendung, den mitunter schmerzvollen Nebenwirkungen für den Patienten und dem erreichbaren, initialen Dekontaminationsgrad. Handinstrumente (beispielsweise Plastikküretten) sind zwar günstig in der Anschaffung, jedoch sehr zeitintensiv in der Anwendung, bei initial geringer biofilmentfernender Wirksamkeit und vergleichsweise traumatisierenden Effekten auf die angrenzenden Weichgewebe, was für den Patienten sehr unangenehm werden kann. Mit einigem apparativen Aufwand kann beispielsweise mithilfe des niedrigabrasiven Pulverstrahlverfahrens immerhin eine kaum schmerzhafte und zeitlich erheblich verkürzte Behandlung bei einer besseren initialen Dekontaminationsleistung erreicht werden.

Wird der Patient aus der Praxis entlassen, kann dieser in der Regel die betroffenen Oberflächen nicht einmal ansatzweise im Rahmen der täglichen Mundhygiene weiterführend reinigen, sodass in den meisten Fällen eine Neubesiedelung innerhalb kurzer Zeit stattfindet und oft die Ausgangswerte der Keimbelastung vor Therapiebeginn erreicht werden.37–39
Möglicherweise könnte jedoch in naher Zukunft eine latente Keimreduktion und damit Entzündungsvermeidung insbesondere bei den immunologisch partiell kompromittierten Patienten durch die Modifikation der Implantatoberfläche mit Nanosilberpartikeln erreicht werden. Erste wissenschaftliche Ergebnisse konnten eine antibakterielle Wirkung bzw. erheblich verminderte Biofilmbildung auf diesen Nanosilberpartikel-optimierten Implantatoberflächen bei gleichzeitig uneingeschränkter Biokompatibilität und Osseointegration zeigen.40–42

Eine ausführliche Literaturliste finden Sie hier.

Mehr Fachartikel aus Implantologie

ePaper