Dr. Peiwang Zhu und Co-Autoren haben mithilfe von Experimenten untersucht, ob die Kompositharzkehlung des APC Flash-Free Adhäsivs beständig genug ist, um der abrasiven Einwirkung durch das Zähneputzen während einer typischen kieferorthopädischen Behandlung standzuhalten.
Kieferorthopäden wird mit Accusmile® ein auf ihre jeweiligen Bedürfnisse abgestimmter und entsprechend der Praxisausstattung maßgeschneiderter...
Kieferorthopäden wird mit Accusmile® ein auf ihre jeweiligen Bedürfnisse abgestimmter und...
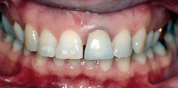
Während der KFO-Behandlung mit festsitzenden Apparaturen besteht ein erhöhtes Risiko von White-Spot-Läsionen. Der Grund: Die komplexen Multibrackets...
Während der KFO-Behandlung mit festsitzenden Apparaturen besteht ein erhöhtes Risiko von...
Dr. med. dent Wajeeh Khan befasst sich einerseits mit dem digitalen Workflow zur Bestellung von Friction Pads und erläutert die klinischen Aspekte...
Dr. med. dent Wajeeh Khan befasst sich einerseits mit dem digitalen Workflow zur Bestellung...
Im Interview mit der KN Kieferorthopädie Nachrichten aktuell gibt Prof. Dr. José Nelson Mucha zehn praktische Tipps für die Realisierung eines...
Im Interview mit der KN Kieferorthopädie Nachrichten aktuell gibt Prof. Dr. José Nelson Mucha...
Unter der Vielzahl an Anbietern nimmt das CA® CLEAR-ALIGNER System eine gesonderte Stellung ein und ist eines der erfolgreichsten Systeme im...
Unter der Vielzahl an Anbietern nimmt das CA® CLEAR-ALIGNER System eine gesonderte Stellung...
Im Rahmen einer zweitägigen Ormco-Kursreihe zeigte Dr. Ramón Perera Grau in München und Stuttgart, wie mithilfe der passiv selbstligierenden...
Im Rahmen einer zweitägigen Ormco-Kursreihe zeigte Dr. Ramón Perera Grau in München und...
Im Rahmen des diesjährigen AAO-Kongresses in New Orleans hielt Dr. Anthony M. Puntillo einen Vortrag zum Thema optische Scanner. KN traf ihn...
Im Rahmen des diesjährigen AAO-Kongresses in New Orleans hielt Dr. Anthony M. Puntillo einen...
Die neue Software SICAT Function ermöglicht die Diagnose und Behandlung von craniomandibulären Dysfunktionen anhand der Fusionierung von DVT-...
Die neue Software SICAT Function ermöglicht die Diagnose und Behandlung von craniomandibulären...
„Muss denn alles digital sein? Es ging doch bisher auch ohne!“ So denken manche Kieferorthopäden. Andere werden posten: „Cool, der erste...
„Muss denn alles digital sein? Es ging doch bisher auch ohne!“ So denken manche Kieferorthopäden....
Die Autoren erläutern anhand eines lingualen Patientenfallbeispiels die Vorteile der individuellen Einzelzahneinstellung in der Lingualtechnik....
Die Autoren erläutern anhand eines lingualen Patientenfallbeispiels die Vorteile der individuellen...
Der praxisgerechte und betriebswirtschaftliche Einsatz von Scannern in der KFO unterliegt spezifischen Anforderungen. Dr. Daniel Heekeren, FZÄ...
Der praxisgerechte und betriebswirtschaftliche Einsatz von Scannern in der KFO unterliegt spezifischen...
Im letzten Jahr wurde die WIN Apparatur der internationalen KFO-Welt vorgestellt. KN sprach beim AAO-Kongress mit Entwickler Prof. Dr. Dirk Wiechmann,...
Im letzten Jahr wurde die WIN Apparatur der internationalen KFO-Welt vorgestellt. KN sprach...
Die Möglichkeiten eines fast vollkommen digitalen Arbeitsablaufes – dargestellt von Dr. Norbert Artmann, Dr. Berno Langsch und Dr. Ute Bareis...
Die Möglichkeiten eines fast vollkommen digitalen Arbeitsablaufes – dargestellt von Dr....
Dass die Prophylaxe einen wichtigen Beitrag zur Zahn- und Mundgesundheit leistet, ist unumstritten. Ein spezielles Prophylaxekonzept für die...
Dass die Prophylaxe einen wichtigen Beitrag zur Zahn- und Mundgesundheit leistet, ist unumstritten....
Da Sie der Verwendung von Google Maps nicht zustimmten, kann leider keine Karte angezeigt werden.
Haben Sie schon unseren Newsletter abonniert?
Um bei unserer Anwendung Formulare zu verwenden, benötigen wir die Zustimmung um einen Token für das Absenden zu setzen.
Datenschutz und Nutzungserlebnis
Wir übermitteln Daten an Drittanbieter, die uns helfen, unser Webangebot zu verbessern und zu finanzieren. In diesem Zusammenhang werden auch Nutzungsprofile gebildet und angereichert, auch außerhalb des Europäischen Wirtschaftsraumes. Hierfür und um bestimmte Dienste zu nachfolgend aufgeführten Zwecken verwenden zu dürfen, benötigen wir Ihre Einwilligung.
Indem Sie "Alle Cookies akzeptieren" klicken, stimmen Sie diesen (jederzeit widerruflich) zu.
Unter "Manuell auswählen" können Sie die Datenverarbeitung individuell personalisieren.
Unter "Nur notwendige akzeptieren" können Sie die Datenverarbeitung ablehnen.
Indem Sie "Speichern" klicken, stimmen Sie diesen (jederzeit widerruflich) zu.
Um Kartendaten in unserer Anwendung darzustellen, nutzen wir den Kartendienst Google Maps. Willigen Sie der Nutzung von Google Maps ein, werden ggf. personenbezogene Daten (Ihre IP-Adresse) von Google erhoben.
Einbinden von Google Maps erlauben
Einige unserer Videoinhalte (bspw. Livestream) werden über die Videoplattform Vimeo bereitgestellt.
Inhalte von Vimeo erlauben
Einige Beiträge binden Inhalte von Instagram ein. Wenn Sie zustimmen, wird eine Verbindung zu Meta/Instagram aufgebaut und es können personenbezogene Daten wie Ihre IP-Adresse übertragen werden.
Inhalte von Instagram erlauben
Für ein besseres Benutzererlebnis können unsere Werbeanzeigen personalisiert werden. Um dies zu ermöglichen, wird das erstellen von Cookies vorausgesetzt. Sollten Sie diesem Dienst nicht zustimmen, werden Werbeanzeigen zufällig ausgeliefert.
Personalisierte Werbung erlauben
Um sich bei unserer Anwendung Formulare zu verwenden werden Tokens gesetzt die es uns ermöglichen Spam zu verhindern. Sollten Sie dies ausstellen, ist es Ihnen nicht mehr möglich sich bei uns anzumelden oder zu registrieren.
Anmeldeformulare absenden ermöglichen
Bei der Gestaltung unserer Anwendung benutzen wir Schriftarten von Adobe, diese werden über ein CDN geladen. Sollte Sie diesem Dienst nicht zustimmen wird die Standard Schrift des Systems benutzt. Außerdem könnte es zu Fehlern im allgemeinen Anwendungsdesign kommen.
Inhalte von Adobe erlauben
Sie können Ihre Auswahl jederzeit unter "Cookie-Einstellungen“ am Seitenende ändern.