Vier Jahre nachdem der Clear Distalizer® aufgrund von Materialbrüchen wieder vom Markt genommen werden musste, wurde beim AAO-Kongress in Orlando mit Motion™ Clear nun eine komplett überarbeitete Apparatur vorgestellt. KN sprach mit dessen Entwickler, Dr. Luis Carrière.
Digitale Scanner haben in den letzten Jahren vermehrt ihre Einsatzbereiche in der Zahnmedizin gefunden. Nur die KFO hinkte bislang ein wenig...
Digitale Scanner haben in den letzten Jahren vermehrt ihre Einsatzbereiche in der Zahnmedizin...
Eine Frühbehandlung mit GNE und Protraktion ist bei Klasse III-Befunden besonders wertvoll, da mit einer günstigen Reaktion der Suturen und...
Eine Frühbehandlung mit GNE und Protraktion ist bei Klasse III-Befunden besonders wertvoll,...
Eine hinreichend stabile und belastbare Verankerung ist eine wichtige Voraussetzung für die erfolgreiche KFO-Therapie. Unter den verschiedenen...
Eine hinreichend stabile und belastbare Verankerung ist eine wichtige Voraussetzung für die...
Für einen lebenslangen Erhalt der natürlichen Zahnhartsubstanz werden die Weichen schon im frühen Kindesalter gestellt. Wer von Beginn an...
Für einen lebenslangen Erhalt der natürlichen Zahnhartsubstanz werden die Weichen schon im...
Die DGKFO benennt in ihrer Stellungnahme vom Januar 2010 Indikationslagen für die Behandlung mit Alignern, bei denen zusätzliche Hilfsmittel...
Die DGKFO benennt in ihrer Stellungnahme vom Januar 2010 Indikationslagen für die Behandlung...
Die Therapie einer dentoskelettalen Klasse III-Malokklusion bei Erwachsenen kann entweder mittels Camouflage-Behandlung oder chirurgisch erfolgen....
Die Therapie einer dentoskelettalen Klasse III-Malokklusion bei Erwachsenen kann entweder mittels...
Laser sind nicht nur in der Dermatologie, Ophthalmologie und Ästhetischen Medizin unverzichtbar, sondern auch in der modernen Zahnheilkunde....
Laser sind nicht nur in der Dermatologie, Ophthalmologie und Ästhetischen Medizin unverzichtbar,...
Unsere Welt ist zunehmend digital vernetzt. Dies verändert in starkem Maße sowohl unseren Alltag als auch unser Arbeitsleben. Dieser Anwenderbericht...
Unsere Welt ist zunehmend digital vernetzt. Dies verändert in starkem Maße sowohl unseren...
Heranwachsende Patienten mit einer Klasse III-Dysgnathie und einer Rücklage des Oberkiefers werden je nach Alter und Indikation mit einer Gesichtsmaske...
Heranwachsende Patienten mit einer Klasse III-Dysgnathie und einer Rücklage des Oberkiefers...
Im Rahmen des AAO-Kongresses in San Francisco hielt Dr. Sanjivan Kandasamy, außerordentlicher klinischer Professor der Abteilung Kieferorthopädie...
Im Rahmen des AAO-Kongresses in San Francisco hielt Dr. Sanjivan Kandasamy, außerordentlicher...
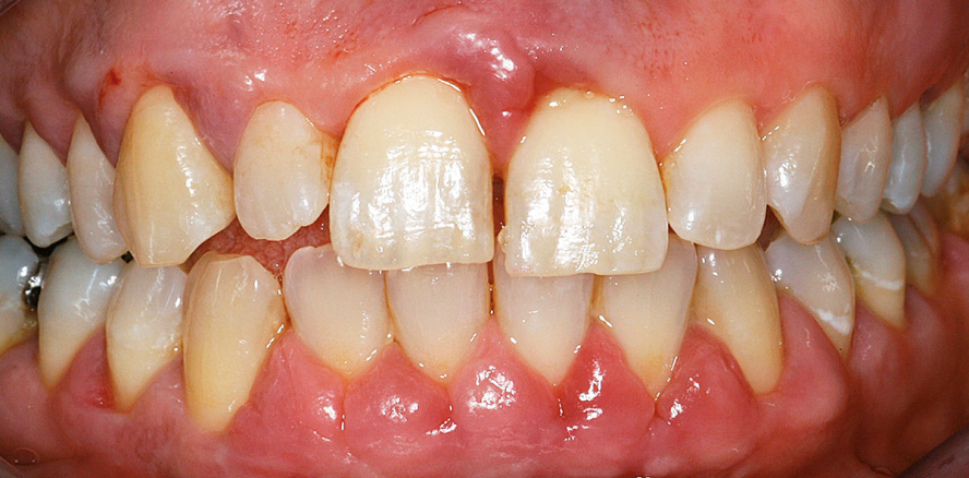
Die kieferorthopädische Erwachsenenbehandlung erfordert eine besondere Berücksichtigung des parodontalen Zustandes. Die präkieferorthopädische...
Die kieferorthopädische Erwachsenenbehandlung erfordert eine besondere Berücksichtigung ...
Die Klasse III-Dysgnathie stellt eine skelettale Abweichung der Lagebeziehung zwischen Ober- und Unterkiefer in der Sagittalebene dar. Häufig...
Die Klasse III-Dysgnathie stellt eine skelettale Abweichung der Lagebeziehung zwischen Ober-...
In der Behandlung von Milchzahn- und Wechselgebissen muss die Therapie und Stabilität eines frontal offenen Bisses anders angegangen werden...
In der Behandlung von Milchzahn- und Wechselgebissen muss die Therapie und Stabilität eines...
Neben Karies und Parodontopathien zählen auch craniomandibuläre Dysfunktionen zu den Erkrankungen, die in Zahnarztpraxen regelhaft vorkommen....
Neben Karies und Parodontopathien zählen auch craniomandibuläre Dysfunktionen zu den Erkrankungen,...
Da Sie der Verwendung von Google Maps nicht zustimmten, kann leider keine Karte angezeigt werden.
Haben Sie schon unseren Newsletter abonniert?
Um bei unserer Anwendung Formulare zu verwenden, benötigen wir die Zustimmung um einen Token für das Absenden zu setzen.
Datenschutz und Nutzungserlebnis
Wir übermitteln Daten an Drittanbieter, die uns helfen, unser Webangebot zu verbessern und zu finanzieren. In diesem Zusammenhang werden auch Nutzungsprofile gebildet und angereichert, auch außerhalb des Europäischen Wirtschaftsraumes. Hierfür und um bestimmte Dienste zu nachfolgend aufgeführten Zwecken verwenden zu dürfen, benötigen wir Ihre Einwilligung.
Indem Sie "Alle Cookies akzeptieren" klicken, stimmen Sie diesen (jederzeit widerruflich) zu.
Unter "Manuell auswählen" können Sie die Datenverarbeitung individuell personalisieren.
Unter "Nur notwendige akzeptieren" können Sie die Datenverarbeitung ablehnen.
Indem Sie "Speichern" klicken, stimmen Sie diesen (jederzeit widerruflich) zu.
Um Kartendaten in unserer Anwendung darzustellen, nutzen wir den Kartendienst Google Maps. Willigen Sie der Nutzung von Google Maps ein, werden ggf. personenbezogene Daten (Ihre IP-Adresse) von Google erhoben.
Einbinden von Google Maps erlauben
Einige unserer Videoinhalte (bspw. Livestream) werden über die Videoplattform Vimeo bereitgestellt.
Inhalte von Vimeo erlauben
Einige Beiträge binden Inhalte von Instagram ein. Wenn Sie zustimmen, wird eine Verbindung zu Meta/Instagram aufgebaut und es können personenbezogene Daten wie Ihre IP-Adresse übertragen werden.
Inhalte von Instagram erlauben
Für ein besseres Benutzererlebnis können unsere Werbeanzeigen personalisiert werden. Um dies zu ermöglichen, wird das erstellen von Cookies vorausgesetzt. Sollten Sie diesem Dienst nicht zustimmen, werden Werbeanzeigen zufällig ausgeliefert.
Personalisierte Werbung erlauben
Um sich bei unserer Anwendung Formulare zu verwenden werden Tokens gesetzt die es uns ermöglichen Spam zu verhindern. Sollten Sie dies ausstellen, ist es Ihnen nicht mehr möglich sich bei uns anzumelden oder zu registrieren.
Anmeldeformulare absenden ermöglichen
Bei der Gestaltung unserer Anwendung benutzen wir Schriftarten von Adobe, diese werden über ein CDN geladen. Sollte Sie diesem Dienst nicht zustimmen wird die Standard Schrift des Systems benutzt. Außerdem könnte es zu Fehlern im allgemeinen Anwendungsdesign kommen.
Inhalte von Adobe erlauben
Sie können Ihre Auswahl jederzeit unter "Cookie-Einstellungen“ am Seitenende ändern.