Das im Folgenden vorgestellte klinische Fallbeispiel zeigt die erfolgreiche Behandlung einer Klasse II-Malokklusion mit überschussfreiem Bonding von Keramikbrackets nach digitaler Planung.
Der folgende Artikel zeigt das klinische Beispiel eines komplexen Falls mit skelettal offenem Biss, welcher mithilfe digitaler Analyse- und Herstellungsverfahren...
Der folgende Artikel zeigt das klinische Beispiel eines komplexen Falls mit skelettal offenem...
Die Lingualtechnik gilt als anspruchsvolle Behandlungstechnik, deren erfolgreiche Anwendung fundierte Vorkenntnisse erfordert.
Die Lingualtechnik gilt als anspruchsvolle Behandlungstechnik, deren erfolgreiche Anwendung...
Die neue Behandlungsapparatur SARA® zur mitarbeitsunabhängigen Klasse II-Korrektur verbindet die Starrheit des Herbst-Scharniers mit der Flexibilität...
Die neue Behandlungsapparatur SARA® zur mitarbeitsunabhängigen Klasse II-Korrektur verbindet...
Eine zuverlässige Verankerung und deren adäquate Kontrolle sind das A und O einer erfolgreichen kieferorthopädischen Behandlung. Im Patientenfall...
Eine zuverlässige Verankerung und deren adäquate Kontrolle sind das A und O einer erfolgreichen...
Die Therapie eines Distalbisses ist eine häufige Aufgabe in der kieferorthopädischen Praxis. Der folgende Artikel stellt die Mechanik der En-masse-Distalisation...
Die Therapie eines Distalbisses ist eine häufige Aufgabe in der kieferorthopädischen Praxis....
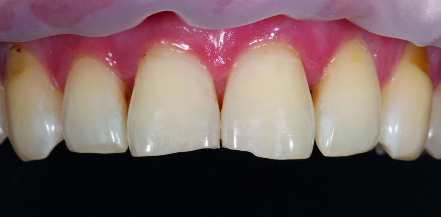
Eine ästhetische, solide und langfristige zahnärztliche Versorgung bei fehlenden seitlichen Schneidezähnen im Oberkiefer bedarf sowohl bei...
Eine ästhetische, solide und langfristige zahnärztliche Versorgung bei fehlenden seitlichen...
Am Beispiel des OnyxCeph³™-Planungsmoduls Ortho Apps wird gezeigt, wie mit einfach zu bedienenden Designwerkzeugen komplexe kieferorthopädische...
Am Beispiel des OnyxCeph³™-Planungsmoduls Ortho Apps wird gezeigt, wie mit einfach zu bedienenden...
Die Verwendung eines digitalen Systems wie Insignia® (Ormco) ermöglicht es, jeden Teil einer kieferorthopädischen Therapie von der Planungsphase...
Die Verwendung eines digitalen Systems wie Insignia® (Ormco) ermöglicht es, jeden Teil einer...
Der Fallbericht zeigt einen leichten Engstand, der mit einer innovativen neuen festsitzenden KFO-Technik behandelt wurde, die eine individuelle...
Der Fallbericht zeigt einen leichten Engstand, der mit einer innovativen neuen festsitzenden...
Der folgende Beitrag zeigt einen klinischen Fall mit Klasse II/1-Malokklusion, der mithilfe der Carriere® Motion 3D™ Apparatur sowie selbstligierenden...
Der folgende Beitrag zeigt einen klinischen Fall mit Klasse II/1-Malokklusion, der mithilfe...
Welche Insertionsregionen eignen sich für das Einbringen kieferorthopädischer Miniimplantate am besten und bieten ein vorhersagbar hohes Maß...
Welche Insertionsregionen eignen sich für das Einbringen kieferorthopädischer Miniimplantate...
Miniimplantate haben aufgrund ihrer vielseitigen Einsatzmöglichkeiten, ihrer geringen chirurgischen Invasivität und der relativ geringen Kosten...
Miniimplantate haben aufgrund ihrer vielseitigen Einsatzmöglichkeiten, ihrer geringen chirurgischen...
Kieferorthopäde Dr. Marc Geserick stellt die mit den Dres. Stefano Troiani und Turi Bassarelli entwickelte Behandlungsphilosophie GET-Prescription...
Kieferorthopäde Dr. Marc Geserick stellt die mit den Dres. Stefano Troiani und Turi Bassarelli...
Die Anwendung orthodontischer Minitubes stellt bei selektiver Indikationsstellung eine Behandlungsalternative zu den bekannten festsitzenden...
Die Anwendung orthodontischer Minitubes stellt bei selektiver Indikationsstellung eine Behandlungsalternative...
Da Sie der Verwendung von Google Maps nicht zustimmten, kann leider keine Karte angezeigt werden.
Haben Sie schon unseren Newsletter abonniert?
Um bei unserer Anwendung Formulare zu verwenden, benötigen wir die Zustimmung um einen Token für das Absenden zu setzen.
Datenschutz und Nutzungserlebnis
Wir übermitteln Daten an Drittanbieter, die uns helfen, unser Webangebot zu verbessern und zu finanzieren. In diesem Zusammenhang werden auch Nutzungsprofile gebildet und angereichert, auch außerhalb des Europäischen Wirtschaftsraumes. Hierfür und um bestimmte Dienste zu nachfolgend aufgeführten Zwecken verwenden zu dürfen, benötigen wir Ihre Einwilligung.
Indem Sie "Alle Cookies akzeptieren" klicken, stimmen Sie diesen (jederzeit widerruflich) zu.
Unter "Manuell auswählen" können Sie die Datenverarbeitung individuell personalisieren.
Unter "Nur notwendige akzeptieren" können Sie die Datenverarbeitung ablehnen.
Indem Sie "Speichern" klicken, stimmen Sie diesen (jederzeit widerruflich) zu.
Um Kartendaten in unserer Anwendung darzustellen, nutzen wir den Kartendienst Google Maps. Willigen Sie der Nutzung von Google Maps ein, werden ggf. personenbezogene Daten (Ihre IP-Adresse) von Google erhoben.
Einbinden von Google Maps erlauben
Einige unserer Videoinhalte (bspw. Livestream) werden über die Videoplattform Vimeo bereitgestellt.
Inhalte von Vimeo erlauben
Einige Beiträge binden Inhalte von Instagram ein. Wenn Sie zustimmen, wird eine Verbindung zu Meta/Instagram aufgebaut und es können personenbezogene Daten wie Ihre IP-Adresse übertragen werden.
Inhalte von Instagram erlauben
Für ein besseres Benutzererlebnis können unsere Werbeanzeigen personalisiert werden. Um dies zu ermöglichen, wird das erstellen von Cookies vorausgesetzt. Sollten Sie diesem Dienst nicht zustimmen, werden Werbeanzeigen zufällig ausgeliefert.
Personalisierte Werbung erlauben
Um sich bei unserer Anwendung Formulare zu verwenden werden Tokens gesetzt die es uns ermöglichen Spam zu verhindern. Sollten Sie dies ausstellen, ist es Ihnen nicht mehr möglich sich bei uns anzumelden oder zu registrieren.
Anmeldeformulare absenden ermöglichen
Bei der Gestaltung unserer Anwendung benutzen wir Schriftarten von Adobe, diese werden über ein CDN geladen. Sollte Sie diesem Dienst nicht zustimmen wird die Standard Schrift des Systems benutzt. Außerdem könnte es zu Fehlern im allgemeinen Anwendungsdesign kommen.
Inhalte von Adobe erlauben
Sie können Ihre Auswahl jederzeit unter "Cookie-Einstellungen“ am Seitenende ändern.