Der Artikel stellt eine Patientin mit ästhetischer Beeinträchtigung des Lächelns vor, die sowohl kieferorthopädisch behandelt als auch mithilfe von Implantaten sowie prothetischem Aufbau nach Zahnverlust versorgt wurde. Die Planung der Therapie erfolgte gemäß des Digital Smile Design-Workflows.
Die korrekte Kondylenposition bei maximaler Okklusion ist bei der Behandlung von CMD-Patienten der Schlüssel zum Erfolg. Der Weg, dieses Ziel...
Die korrekte Kondylenposition bei maximaler Okklusion ist bei der Behandlung von CMD-Patienten...
Die Verlagerung und/oder Retention bleibender Zähne stellt ein häufiges klinisches Problem dar. Die Behandlung erfordert in Abhängigkeit des...
Die Verlagerung und/oder Retention bleibender Zähne stellt ein häufiges klinisches Problem...
Anhand eines Patientenbeispiels, bei dem die ersten OK-Molaren und ersten UK-Prämolaren extrahiert wurden, zeigt Dr. Gianluigi Fiorillo den...
Anhand eines Patientenbeispiels, bei dem die ersten OK-Molaren und ersten UK-Prämolaren extrahiert...
Die Autoren Dr. rer. pol. Bernard J.M. Braun, und Dr. med. dent. Alexander Spassov sprechen über die Notwendigkeit und Spannbreite weiterer...
Die Autoren Dr. rer. pol. Bernard J.M. Braun, und Dr. med. dent. Alexander Spassov sprechen...
Aligner gelten als gut für kleinere ästhetische bis mittlere Korrekturen einsetzbar, stellen bei der Behandlung schwerer Fehlstellungen aber...
Aligner gelten als gut für kleinere ästhetische bis mittlere Korrekturen einsetzbar, stellen...
Die digitale Umsetzung des indirekten Klebens unter Nutzung von Intraoral- und Modellscannern, 3D-Druckern und geeigneter Bildverarbeitungs-...
Die digitale Umsetzung des indirekten Klebens unter Nutzung von Intraoral- und Modellscannern,...
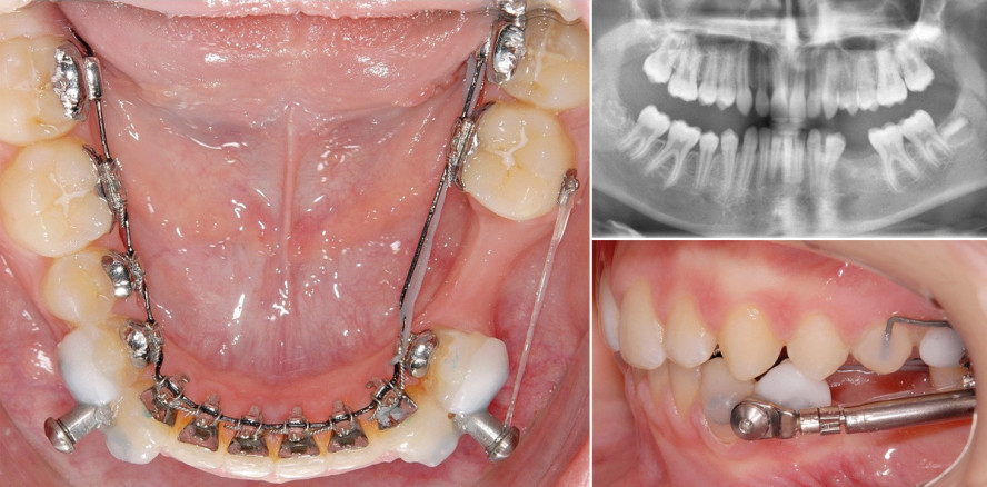
Über die Möglichkeit einer adjunktiv zur kieferorthopädischen Behandlung erfolgenden Beschleunigung der Zahnbewegung wurde in den letzten...
Über die Möglichkeit einer adjunktiv zur kieferorthopädischen Behandlung erfolgenden Beschleunigung...
Der Einsatz von Aligner-Systemen in der Erwachsenen-KFO hat sich für die Korrektur von leichten Zahnfehlstellungen bewährt. Auch Stellungskorrekturen...
Der Einsatz von Aligner-Systemen in der Erwachsenen-KFO hat sich für die Korrektur von leichten...
Die Gaumennahterweiterung gilt als optimales kieferorthopädisches Verfahren, wenn eine signifikante Expansion der Maxilla gewünscht ist. Prof....
Die Gaumennahterweiterung gilt als optimales kieferorthopädisches Verfahren, wenn eine signifikante...
Was kann der Zahnarzt bei Tourette-Erkrankten oder Epilepsie-Patienten unternehmen? In einzelnen Fällen können Zahn-Mund-Kiefer-Fehlstellungen...
Was kann der Zahnarzt bei Tourette-Erkrankten oder Epilepsie-Patienten unternehmen? In einzelnen...
Der Fachbeitrag stellt die Ergebnisse einer Studie vor, die die Qualität des Behandlungsergebnisses bei nicht angelegten Unterkieferprämolaren...
Der Fachbeitrag stellt die Ergebnisse einer Studie vor, die die Qualität des Behandlungsergebnisses...
Ungeachtet der Wahl der Behandlungsapparatur stellen Korrekturen frontal offener Bisse eine der größten Herausforderungen innerhalb der Kieferorthopädie...
Ungeachtet der Wahl der Behandlungsapparatur stellen Korrekturen frontal offener Bisse eine...
Mit moderner Technik neue Möglichkeiten bei der Herstellung von Alignern eröffnen. Eine Investition, die sich sehr schnell bezahlt macht. Ein...
Mit moderner Technik neue Möglichkeiten bei der Herstellung von Alignern eröffnen. Eine Investition,...
Ziel der vorliegenden In-vitro-Studie war es, die Torquekapazität einer VILA in Verbindung mit verschiedenen Bogendimensionen, wie sie routinemäßig...
Ziel der vorliegenden In-vitro-Studie war es, die Torquekapazität einer VILA in Verbindung...
Da Sie der Verwendung von Google Maps nicht zustimmten, kann leider keine Karte angezeigt werden.
Haben Sie schon unseren Newsletter abonniert?
Um bei unserer Anwendung Formulare zu verwenden, benötigen wir die Zustimmung um einen Token für das Absenden zu setzen.
Datenschutz und Nutzungserlebnis
Wir übermitteln Daten an Drittanbieter, die uns helfen, unser Webangebot zu verbessern und zu finanzieren. In diesem Zusammenhang werden auch Nutzungsprofile gebildet und angereichert, auch außerhalb des Europäischen Wirtschaftsraumes. Hierfür und um bestimmte Dienste zu nachfolgend aufgeführten Zwecken verwenden zu dürfen, benötigen wir Ihre Einwilligung.
Indem Sie "Alle Cookies akzeptieren" klicken, stimmen Sie diesen (jederzeit widerruflich) zu.
Unter "Manuell auswählen" können Sie die Datenverarbeitung individuell personalisieren.
Unter "Nur notwendige akzeptieren" können Sie die Datenverarbeitung ablehnen.
Indem Sie "Speichern" klicken, stimmen Sie diesen (jederzeit widerruflich) zu.
Um Kartendaten in unserer Anwendung darzustellen, nutzen wir den Kartendienst Google Maps. Willigen Sie der Nutzung von Google Maps ein, werden ggf. personenbezogene Daten (Ihre IP-Adresse) von Google erhoben.
Einbinden von Google Maps erlauben
Einige unserer Videoinhalte (bspw. Livestream) werden über die Videoplattform Vimeo bereitgestellt.
Inhalte von Vimeo erlauben
Einige Beiträge binden Inhalte von Instagram ein. Wenn Sie zustimmen, wird eine Verbindung zu Meta/Instagram aufgebaut und es können personenbezogene Daten wie Ihre IP-Adresse übertragen werden.
Inhalte von Instagram erlauben
Für ein besseres Benutzererlebnis können unsere Werbeanzeigen personalisiert werden. Um dies zu ermöglichen, wird das erstellen von Cookies vorausgesetzt. Sollten Sie diesem Dienst nicht zustimmen, werden Werbeanzeigen zufällig ausgeliefert.
Personalisierte Werbung erlauben
Um sich bei unserer Anwendung Formulare zu verwenden werden Tokens gesetzt die es uns ermöglichen Spam zu verhindern. Sollten Sie dies ausstellen, ist es Ihnen nicht mehr möglich sich bei uns anzumelden oder zu registrieren.
Anmeldeformulare absenden ermöglichen
Bei der Gestaltung unserer Anwendung benutzen wir Schriftarten von Adobe, diese werden über ein CDN geladen. Sollte Sie diesem Dienst nicht zustimmen wird die Standard Schrift des Systems benutzt. Außerdem könnte es zu Fehlern im allgemeinen Anwendungsdesign kommen.
Inhalte von Adobe erlauben
Sie können Ihre Auswahl jederzeit unter "Cookie-Einstellungen“ am Seitenende ändern.