Kieferorthopädie 25.10.2019

Do-it-yourself-Aligner für leichte Zahnbewegungen



Do-it-yourself-Aligner für leichte Zahnbewegungen

Gerade bei kleinen ästhetischen Korrekturen stellen In-Office-Aligner eine sinnvolle sowie preiswerte Möglichkeit einer kieferorthopädischen Behandlung dar. Ob leichte Rezidive nach erfolgter KFO-Therapie, Eng- oder Lückenstände aufgrund von Zahnwanderung oder aber ein einzeln rotierter Frontzahn – sie alle können die Attraktivität eines Lächelns negativ beeinflussen und sind mithilfe selbstgefertigter Aligner binnen kurzer Zeit korrigierbar. Der folgende Artikel zeigt zwei Fallbeispiele, bei denen praxisintern geplante sowie tiefgezogene Aligner zum Einsatz kamen.

Durch den steigenden ästhetischen Anspruch unserer Patienten gehört die Realisierung leichter Zahnbewegungen mittlerweile zum Behandlungsalltag kieferorthopädischer Praxen und Zahnkliniken. Die hauptsächlichen Gründe, weshalb Patienten diesbezüglich vorstellig werden, sind:

  • ein Rezidiv nach erfolgter kieferorthopädischer Behandlung
  • präprothetische Kieferorthopädie
  • Zahnwanderung (Lückenstand und Engstand)
  • sowie ein größeres dentales Bewusstsein

Kieferorthopädische Behandlungen sind dank der 3D-Technologie und dem über die letzten zehn Jahre gesammelten Wissen der künstlichen Intelligenz (KI) immer genauer und vorhersagbarer geworden.1–3 So ermöglichen intraorale 3D-Scanner es uns, die Zahnsituation unserer Patienten binnen weniger Minuten zu scannen und mithilfe der gewonnenen Scandaten verschiedene Behandlungsoptionen zu simulieren. Dabei versetzen kieferorthopädische 3D-Simulationssoftwarelösungen den Arzt nicht nur in die Lage, die Zähne virtuell zu bewegen. Er erhält darüber hinaus vollständige Daten bezüglich des Platzes, der für die Ausführung der simulierten Bewegung erforderlich ist (approximale Schmelzreduktion) oder hinsichtlich der Segmentierung der Zahnbewegung in mehrere Schritte unterschiedlichen Umfangs. Zudem kann er sämtliche Parameter der finalen Okklusion einschließlich okklusaler Kontaktpunkte, Inklination, Torque und Angulation überprüfen. Von großem Vorteil ist dabei auch die Tatsache, dass die vorliegende Simulation dann mit dem behandelnden Team (Prothetiker, Zahntechniker) und natürlich dem Patienten geteilt und entsprechend besprochen werden kann.

Der Workflow dieses Konzepts der minimalen Zahnbewegung umfasst diverse Punkte, die da wären:

  1. Klinische Untersuchung, Fotos und Röntgenbilder, Liste der Erwartungen des Patienten
  2. Behandlungsplan inklusive Aufklärung bzw. Diskussion hinsichtlich der Limitierungen minimaler Zahnbewegungen, der erforderlichen Patientenkooperation sowie des strengen Retentionsprotokolls
  3. Intraorales Scanning
  4. Export des Scans mittels STL-Dateien in die kieferorthopädische 3D-Software
  5. Segmentierung des 3D-Modells (um die Bewegung jedes einzelnen Zahnes zu ermöglichen)
  6. 3D-Simulation der Zahnbewegung
  7. Staging der Bewegung (einer oder mehrere Aligner)
  8. Export der Simulation in STL-Dateien
  9. 3D-Druck der Zahnkränze
  10. Tiefziehen der In-Office-Aligner in drei verschiedenen Materialien (weich, mittel, hart) über ein jedes Modell
  11. Approximale Schmelzreduktion (ASR) gemäß Simulationsplan

Klinisches Fallbeispiel 1

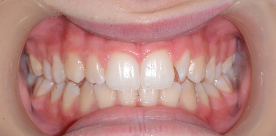
A. S., 26 Jahre alt, hatte nach einer erfolgten kieferorthopädischen Behandlung ohne Retention mittels festem oder herausnehmbarem Retainer ein leichtes Rezidiv in der oberen Front. Sie empfand ihr Lächeln als unästhetisch und äußerte daher den Wunsch, die Oberkieferfrontzähne wieder in jene Positionen zu bringen, wie sie nach ihrer kieferorthopädischen Behandlung erreicht worden waren (Abb. 1a bis c). Die Panoramaröntgenaufnahme zeigte die Parallelität der Wurzeln in beiden Zahnbögen, sodass das Fehlen eines Retainers im Oberkiefer offensichtlich der Grund für das Rezidiv der oberen Frontzähne war, während die unteren Schneidezähne aufgrund eines festen von 33 bis 43 geklebten Retainers in Position gehalten worden waren (Abb. 2).

Die Patientin lehnte eine erneute kieferorthopädische Behandlung mit einer festen Apparatur ab. Stattdessen wünschte sie eine relativ schnelle, unsichtbare und finanziell erschwingliche Lösung.

Zunächst wurden die Zähne der Patientin mithilfe des iTero Element 2 (Fa. Align Technology) intraoral gescannt und die Dateien entsprechend im STL-Format exportiert (Abb. 3). Für die Simulation und Planung der erforderlichen Bewegung von insgesamt drei Zähnen (Bukkalisierung von Zahn 12, Rotation von Zahn 11 und bukkale Bewegung von Zahn 22) kam die Planungssoftware SureSmile Ortho® (Fa. Dentsply Sirona) zum Einsatz (Abb. 4a bis c). Die Bewegung jedes einzelnen Zahnes ist dabei in einer Tabelle dargestellt, welche vollständige Angaben über Umfang und Richtung der Zahnbewegung enthält und es dem Arzt ermöglicht, die Bewegung bei Bedarf in mehreren Stufen (Staging) vorzunehmen, um die Effizienz jedes Aligners zu erhöhen. Des Weiteren kann die Auswirkung einer approximalen Schmelzreduktion auf die Platzverhältnisse visuell verdeutlicht werden und zwar entsprechend der Anzahl der Stufen, die zum Erreichen der simulierten Endposition jedes einzelnen Zahnes erforderlich sind (Abb. 5a bis c).

Nach Abschluss des Simulationsprozesses werden die dreidimensionalen Dateien in eine STLDatei exportiert und die Modelle (Zahnkränze) für das Tiefziehen der Korrekturschienen mithilfe eines In-Office-3D-Druckers gedruckt (Abb. 6a und b).

Das Druckformgerät MINISTAR® (Fa. Scheu-Dental) wird zur Herstellung der In-Office-Aligner eingesetzt (Abb. 7). In unserer Praxis verwenden wir drei verschiedene Arten von Essix®-Kunststoff (Fa. Dentslpy Sirona) für jeden Behandlungsschritt, und zwar in den Dimensionen .020", .030" und .040". Dadurch verfügen wir über drei verschiedene Aligner, die jeweils auf dem gleichen Modell/Zahnkranz gefertigt werden (Abb. 8). Diese Drei-Aligner-Technik ermöglicht es uns, größere Schritte für jeden Aligner mit einer Bewegung von ca. 0,5 mm zu planen (anstelle der üblichen 0,2 mm). Somit können wir zum einen die Anzahl der zu druckenden Modelle/Zahnkränze minimieren und zum anderen wertvolle Arbeitszeit und Kosten reduzieren. Die Technik ist zudem auch für die Patienten bequemer, da Kraft und Steifheit der Aligner schrittweise ansteigen.

Die Patientin wurde angewiesen, jeden Aligner mindestens 22 Stunden pro Tag für einen Zeitraum von jeweils zwei Wochen zu tragen. Mit SureSmile Ortho® können je nach Bedarf auch Attachments platziert werden, um die Retention des Aligners zu verbessern und die Zahnbewegung zu optimieren (Abb. 9).

Sechs Wochen nach Beginn der Alignerbehandlung waren die Ästhetik wiederhergestellt und alle Zähne in Richtung der simulierten Position bewegt (Abb. 10a bis d). Die Patientin war sehr glücklich und kooperativ.

Klinisches Fallbeispiel 2

Y. A., 17 Jahre alt, hatte sich noch nie einer kieferorthopädischen Behandlung unterzogen. Sie beklagte sich über die Position ihres Zahns 22, der um fast 90 Grad gedreht war. Der Rest ihrer Zähne war relativ gut ausgerichtet und die Okklusion entsprechend stabil. Die Patientin fragte nach einer auf „einen Zahn“ begrenzten kieferorthopädischen Behandlung (Abb. 11a bis c). Die Panoramaröntgenaufnahme zeigte keinerlei signifikante Anomalien der Zahn- und Wurzelpositionen (Abb. 12).

Nachdem wir die Patientin über die Notwendigkeit einer langen Retention für diese Bewegung informiert hatten, wiederholten wir das gleiche Verfahren wie im vorherigen Fall beschrieben. Die Abbildung 13 zeigt die Patientin mit In-Office-Aligner. Wir hatten die Zahnbewegung bei ihr in zwei Stufen unterteilt, indem wir bei Zahn 22 für jede Stufe die Hälfte der Bewegung durchführten. Für jede Stufe wurden auch hier jeweils drei Aligner verwendet (weich, mittel sowie hart).

Nach sechs Alignern und zwölf Wochen Behandlung war Zahn 12 fast vollständig derotiert, sodass wir beschlossen, ihn so zu belassen und nicht weiter zu bewegen. Die Patientin war sehr zufrieden mit der kreativen, schnellen und kostengünstigen Lösung, die wir für sie gefunden hatten (Abb. 14a bis e).

Fazit

Zusammenfassend lässt sich sagen, dass der Einsatz von In-Office-Alignern für leichte Zahnbewegungen eine angemessene Option darstellt, sofern die Behandlung richtig geplant und auf kleine Bewegungen beschränkt ist. Wichtig ist zudem, dass die Patienten genügend darüber aufgeklärt werden, dass diese Behandlung sehr spezifische Indikationen aufweist und wirklich nur für ausgewählte Fälle geeignet ist. Heutzutage, wo zahlreiche Praxen und Kliniken über intraorale Scanner, 3D-Drucker, Tiefziehgeräte und eine dreidimensionale Behandlungssimulationssoftware verfügen, sollte diese Therapiemethode mehr Patienten angeboten werden, die für diese Art der Behandlung geeignet sind.

Die Literaturliste gibt es hier.

Der Fachbeitrag ist in KN Kieferorthopädische Nachrichten erschienen.

Fotos: Autor

 

Mehr Fachartikel aus Kieferorthopädie

ePaper