Kieferorthopädie 14.04.2026

Miniimplantate als temporärer Zahnersatz – Tipps und klinische Erfahrungen aus 20 Jahren



Im Rahmen der Therapieplanung bei fehlenden Zähnen stellt sich die grundsätzliche Frage der langfristigen Versorgung dieser Lücken.1, 2 Eine Option besteht darin, die Lücke mit einer prothetischen Versorgung mittels eines dentalen Implantates bzw. einer Brücke anzustreben.3–5 Ein Vorteil des Lückenschlusses ist, dass durch die Zahnbewegung neuer Knochen im Bereich der Lücke generiert werden kann. So können knöcherne Atrophien, die in zahnlosen Alveolarfortsatzregionen entstanden sind, korrigiert werden.6–12

Miniimplantate als temporärer Zahnersatz – Tipps und klinische Erfahrungen aus 20 Jahren

Foto: Prof. Dr. Benedict Wilmes

Weiterhin können vorhandene Weisheitszähne nach Mesialisierung der Molaren aufgrund der interdentalen Fasern mit nach mesial driften und auf diese Weise ausreichend Platz im Zahnbogen finden. Aufgrund der langfristig wohl besseren Prognose aus ästhetischer und funktioneller Sicht erscheint der Lückenschluss insbesondere bei jungen Patienten ratsam.13–15 Nichtsdestoweniger gibt es Patienten, bei denen nicht der Lückenschluss, sondern der Erhalt der Lücke beziehungsweise eine Lückenöffnung für ein dentales Implantat durchgeführt werden soll. Dentale Implantate werden jedoch erst nach Wachstumsabschluss inseriert, also nicht vor dem 18. Lebensjahr. Viele Autoren empfehlen sogar eine noch spätere Insertion, insbesondere bei Implantation im ästhetisch relevanten Bereich.16

Implantate nehmen nicht am normalen Alveolarfortsatzwachstum teil und würden somit nach ein paar Jahren in Infraposition stehen, falls sie beim wachsenden Patienten eingesetzt würden.16

Eine kieferorthopädische Behandlung mit Lückenöffnung ist in der Regel im zwölften bis 15. Lebensjahr beendet. Somit stellt sich die Frage, welche Versorgung vom Ende der kieferorthopädischen Behandlung bis zum Zeitpunkt der dentalen Implantation erfolgen kann. Zur Überbrückung dieser Zeitspanne stehen Klebebrücken oder herausnehmbare Prothesen zur Verfügung.16,17 Beide Möglichkeiten sind jedoch mit einer Atrophie des ortsständigen Knochens und somit der Notwendigkeit einer späteren Hart- und Weichgewebsaugmentation assoziiert.16 Wird eine Klebebrücke verwendet, besteht zudem die Gefahr einer Lockerung. Herausnehmbare Prothesen sind bei Jugendlichen eher unbeliebt und unkomfortabel.

Melsen et. al konnten im Tierversuch nachweisen, dass eine Atrophie des zahnlosen Alveolarfortsatzes durch lokal inserierte Miniimplantate verhindert werden kann.18 Als zweiter Vorteil wurde sogar eine höhere Knochendichte an den Orten festgestellt, an denen sich Miniimplantate befanden. Es erscheint also sehr interessant, diese Erkenntnis auch im klinischen Einsatz nutzbar zu machen, falls die Alveolarfortsatz-Atrophie noch nicht weit fortgeschritten ist.19 In diesem Artikel wird daher als Alternative zu Klebebrücke und Prothese die Verwendung der sogenannten „Kinderimplantate“ vorgestellt, ein Miniimplantat-getragener temporärer Zahnersatz im Oberkieferfrontzahnbereich. Dabei werden durchmesserreduzierte Implantate verwendet, um den Impakt der Hemmung des Alveolarfortsatzwachstums durch Implantate möglichst gering zu halten.

Bei diesem Therapieansatz sollen zwei verschiedene Ziele erreicht werden:

  1. Eine für den Patienten akzeptable ästhetische temporäre Versorgung der Lücke.20
  2. Ein möglichst hoher Grad an Knochenerhalt.21

Die Miniimplantate werden ohne Weichgewebslappenspräparation transmukosal nach Anästhesie inseriert. Eine ca. 2 mm tiefe Ankörnung des Knochens kann bei sehr spitzem Alveolarfortsatz hilfreich sein, um ein Abrutschen bei Insertion zu verhindern. Nach einem Abdruck bzw. Scan werden Kronen im Labor auf Peek-Abutments angefertigt, welche dann entweder verschraubt oder geklebt werden können. Die Kronen können sofort eingesetzt werden, eine Einheilzeit ist also nicht erforderlich. Klinisch sollte darauf geachtet werden, dass die Kronen weder in statischer noch dynamischer Okklusion sind, um die Überbelastung der Miniimplantate zu vermeiden.

Klinische Beispiele je nach Insertionsregion

Temporärer Ersatz Oberkiefer Regio 2er (Klassische Situation)

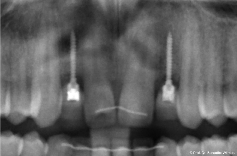
Ein 14-jähriger Patient wurde bei Aplasie der beiden oberen seitlichen Schneidezähne mit dem Ziel der beidseitigen Lückenöffnung kieferorthopädisch therapiert (Abb. 1a+b). Zum Ende der kieferorthopädischen Behandlung wurden zwei Miniimplantate in Regio 2er als temporärer Zahnersatz inseriert (Benefit System, PSM, 2 x 13 mm, Abb. 2a+b). Nach Abdrucknahme wurden Kronen auf den Peek-Abutments modelliert und diese mit Kunststoff auf die Abutments geklebt (Abb. 3a–d). In den Abbildungen 3 und 4 sind die klinischen und röntgenologischen Nachkontrollen innerhalb der nächsten achteinhalb Jahre dokumentiert. Man erkennt einen sowohl in der Höhe als auch in bukkopalatinalen Breite verbleibenden gesunden Knochen ohne Anzeichen einer Atrophie. Im Alter von 23 Jahren wurden die definitiven Implantate ohne die Notwendigkeit einer Augmentation eingesetzt (Abb. 5) und nach Einheilung prothetisch versorgt (Abb. 6a–e und Abb. 7a–c).

Bild von einem Quotenzeichen
„Als zweiter Vorteil wurde sogar eine höhere Knochendichte an den Orten festgestellt, an denen sich Miniimplantate befanden.“

Temporärer Ersatz Oberkiefer Regio 1er

Bei einer elfjährigen Patientin fehlten bei Zustand nach Frontzahntrauma im Alter von neun Jahren beide oberen mittleren Schneidezähne (Abb. 8a+b). Als temporärer Ersatz wurden Miniimplantate (Abb. 9, 2 x 13 mm) eingesetzt und Kronen im Labor angefertigt, welche auf den Miniimplantaten verschraubt wurden (Abb. 10a+b). Die Miniimplantate wurden im Alter von 19 Jahren, also nach achtjähriger Nutzung (Abb. 11a+b), durch dentale Implantate ersetzt.

Temporärer Ersatz Oberkiefer Regio 3er

Bei einer 13-jährigen Patientin lag eine Aplasie multipler Zähne, unter anderem auch der oberen seitlichen Seitenzähne vor. Die Eckzähne brachen bei dieser Patientin direkt neben den mittleren Schneidezähnen durch (Abb. 12).

Nach Abschluss der kieferorthopädischen Pfeilerverteilung wurden zwei Miniimplantate in Regio 3er inseriert (2 x 13 mm). Nach Herstellung im Labor wurden Kronen auf den Miniimplantaten aufgeschraubt (Abb. 13+16a–d). Auch hier wurde darauf geachtet, dass die Kronen aus der Okklusion geschliffen wurden (Abb. 14). Bei den Nachkontrollen zeigten sich ebenfalls stabile Miniimplantate und ein entzündungsfreies Implantatlager ohne erkennbare Atrophie des Knochens (Abb. 15 und 16a–d).

Zusammenfassung und Diskussion

Die temporäre Versorgung eines fehlenden Oberkieferfrontzahnes beim Jugendlichen mit einem Miniimplantat stellt sich als eine sehr empfehlenswerte Therapiealternative zu Klebebrücke und Prothese dar. Die Ziele einer ästhetisch ansprechenden Interimsversorgung sowie eines Knochenerhalts können sehr gut mit dieser Methode erreicht werden. Dank neuer CAD/CAM-Techniken können die „Kinderimplantate“ heutzutage auch mit einem Insertionsguide nach dreidimensionaler Planung eingesetzt werden (Abb. 17–19).

In einer Pilotstudie wurden die Erfolgsraten der innerhalb eines Zeitraums von 20 Jahren eingesetzten „Kinderimplantate“ retrospektiv analysiert:

  • In der in der Regel inserierten Region im Oberkieferfrontzahnbereich (Schneidezähne und Eckzahn) waren 93,5 Prozent (29 von 31) der Miniimplantate nach mindestens fünf Jahren fest und klinisch entzündungsfrei.
  • Zwei von zwei Miniimplantaten, die in der Unterkieferfront inseriert wurden, blieben über mindestens fünf Jahre fest und klinisch entzündungsfrei.
  • Im Ober- und Unterkieferseitenzahnbereich wurde mit nur 61,5 Prozent (8 von 13) eine weitaus geringere Erfolgsrate erzielt, der temporäre Ersatz von Prämolaren und Molaren mit Miniimplantaten erscheint also prima vista nicht ratsam.

Auch nach mehrjähriger Nutzung lassen sich die Miniimplantate einfach ohne Anästhesie herausdrehen. Es kommt zwar auch bei den Miniimplantaten zu einer Osseointegration,22,23 aufgrund der glatten Oberfläche spielt diese aber bei der Entfernung keine große Rolle. Das Risiko der Schraubenfaktur ist sowohl beim Einsetzen als auch bei der Entfernung als vernachlässigbar gering zu betrachten.24 Eine Implantatfraktur wurde in unserer klinischen Nutzung nicht beobachtet.

Eine lokale Hemmung des alveolären Wachstums wurde klinisch nur in einem geringen Ausmaß beobachtet, was wahrscheinlich an dem verglichen mit den dentalen Implantaten geringeren Durchmesser liegt. Weitere Studien mit dreidimensionaler Evaluation der knöchernen Situation über den Zeitraum der Nutzung sind nun ratsam, um die Entwicklung des ortständigen Knochens auch quantitativ zu evaluieren.

zur Literaturliste

KN Kieferorthopädie Nachrichten 04/26

KN Kieferorthopädie Nachrichten


Dieser Beitrag ist in der KN Kieferorthopädie Nachrichten erschienen.

Die KN Kieferorthopädie Nachrichten sind das monatliche Fachmedium für Kieferorthopäden. Im Fokus stehen standespolitische Themen, wissenschaftliche Fachinformationen und internationale Fortbildungen. Beiträge von Experten aus aller Welt vermitteln praxisnah aktuelle Trends, Innovationen und gesundheitspolitische Entwicklungen. Nach dem Prinzip „vom Spezialisten für den Spezialisten“ unterstützen die KN den Wissensaustausch, sichern Qualität und tragen maßgeblich zum Erfolg der Branche bei.

Jetzt das ePaper lesen.

Mehr Fachartikel aus Kieferorthopädie

ePaper