Kinderzahnheilkunde 20.10.2023

Molaren-Inzisiven-­ Hypomineralisation im Fokus



Molaren-Inzisiven-­ Hypomineralisation im Fokus

Foto: Sabrina Dogan

Molaren-Inzisiven-Hypomineralisation (MIH) ist eine Entwicklungsstörung der Zähne, die sich in Form
von weißen Flecken, Rissen oder bräunlichen Verfärbungen auf den Molaren (Backenzähnen) und Inzisiven (Schneide­zähnen) äußert. MIH kann zu erhöhter Empfindlichkeit und Kariesanfälligkeit führen. Frühzeitige Diagnose und zahnärztliche Betreuung sind wichtig, um Komplikationen zu vermeiden. Dentalhygienikerin Sabrina Dogan berichtet von einem Patientenfall aus der Praxis.

Die Molaren-Inzisiven-Hypomineralisation (MIH) wurde bereits 1987 wissenschaftlich beschrieben.1, 2 Die große klinische Relevanz dieser Mineralisationsstörung steht inzwischen außer Frage. Auch die Wissenschaft beschäftigt sich daher seit vielen Jahren intensiv mit der MIH.3–6 Im Praxisalltag werden wir – beispielsweise durch den zunehmenden Informationsfluss und die Einwirkung digitaler Medien – immer häufiger mit gezielten (Rück-)Fragen zu „Kreidezähnen“ konfrontiert. Für besorgte Eltern, die Betroffenen selbst sowie Kinder und Jugendliche, die sich aus ästhetischen Gründen an den „weißen kreidigen Flecken“ auf ihren Zähnen stören, sind wir Präventionsfachkräfte sehr oft als Ansprechpartner, Seelentröster oder in betreuender Funktion im Praxisalltag eingebunden. Wir stellen häufig fest, dass sowohl die auffällige Optik als auch die ausgeprägte Sensibilität, die ­MIH-Zähne aufweisen können, spezielle Fragen aufwerfen und Ängste schüren. Auch eine negative Beeinflussung der Lebensqualität kann getriggert werden. Als praktisch tätige Dentalhygienikerin möchte ich Ihnen einen Patienten aus unserer Zahnarztpraxis vorstellen, welchen ich seit einigen Jahren regelmäßig präventiv betreue.

Ich hoffe, damit positive Impressionen, kreative Impulse und praxisnahe Strategien weitergeben zu können, die sich auf einfache Weise im Praxisalltag implementieren lassen. Der Patient wurde erstmalig am 20. April 2015 im Alter von zwei Jahren und in Begleitung seiner Mutter zur Kontrolluntersuchung in unserer Zahnarztpraxis vorstellig. Die allgemeine Anamnese stellte sich als unauffällig dar. Die spezielle Anamnese war gerade zu Beginn, in den Jahren 2015 bis 2020, von einem starken Würgereiz gezeichnet. Ebenso waren zwischendurch, in Abhängigkeit von Alter und Motivation, auch häufiger mangelnde Adhärenz, eine geringe Mundöffnung oder eine sehr intensive Geschmackswahrnehmung Faktoren, die sich in der präventiven Betreuung als besondere Hürden darstellten. Die Fluoridanamnese war bereits seit dem zweiten Lebensjahr geprägt durch die häusliche Verwendung einer altersentsprechenden Kinderzahnpasta. Auch unser spezieller Ernährungsfragebogen erwies sich nach detaillierter Auswertung als unauffällig.

Seit 2015 bis heute erhält unser Patient mindestens alle vier bis sechs Monate eine regelmäßige dentale Kontrolle. Bereits 2016 wurden eine kontinuierliche, nachhaltige Mundhygieneinstruktion („Tell – Show – Do“) unter aktiver Einbindung beider Elternteile etabliert sowie Maßnahmen der professionellen Politur und/oder Intensivfluoridierung durchgeführt.

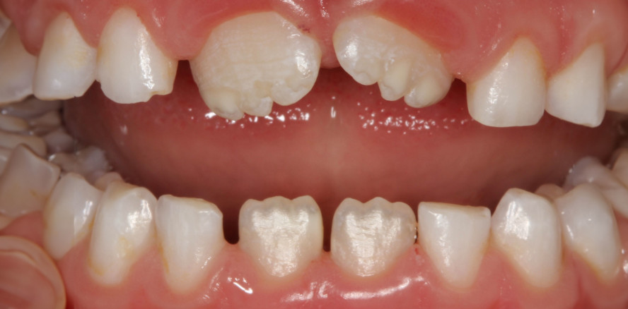
Mit Vollendung des sechsten Lebensjahres im Jahr 2019 folgte die Durchführung der professionellen Kinderindividualprophylaxe in Abhängigkeit der intraoralen Situation alle vier bis sechs Monate (als Kassen- und/oder Privatleistung). Bereits in diesem Jahr begann die Wechselgebissphase. Unsere Zahnärzte stellten an den Zähnen 11, 21, 31 und 41, welche sich im Durchbruch befanden, erstmalig eine MIH fest (Abb. 1–3). Neben dem sichtbaren klinischen Bild rief die noch stark eingeschränkte Feinmotorik unseres Patienten zusätzliche Rückfragen auf. Die Mutter berichtete nach sensibel gestellten Rückfragen zudem von Konzentrationsschwäche und Ängsten im Schulalltag.

Während der Präventionssitzungen musste ich teilweise tief in meine „Prophylaxe-Trickkiste“ greifen, denn der kleine Patient ließ sich nicht immer ganz leicht überzeugen. So kamen zum Beispiel kleine Ablenkungsmanöver in Form von Spielzeug und Kuscheltieren zum Einsatz, um den Würgereflex nicht stetig zu fokussieren (Abb. 4). Auch aktives Zuhören zur Gewährleistung einer zielführenden Betreuung war selbstverständlich.

Die Therapie basierte auf zwei Ansätzen: zum einen auf dem gezielten Einsatz von Plaquerelevatoren und einer guten Mischung aus Lob und Bestätigung, aber natürlich auch aus Verbesserungsvorschlägen. Zum anderen zeigte sich bei den folgenden Reinigungs- und Politurmaßnahmen die fluoridhaltige Prophylaxepaste CleanJoy von VOCO als perfekte Unterstützung. Generell setzen wir den Fokus immer auf „Mundhygiene als Teamwork“ und geben den Patienten so das Gefühl, immer jemanden an der Seite zu haben.

Die Zahnreinigungs- und Politurpaste CleanJoy gibt es in drei verschiedenen Ausführungen. Die perfekt aufeinander abgestimmten Pasten mit unterschiedlichen Abrasionsstufen sind bestens geeignet für den Einsatz in der Kinderindividualprophylaxe. Die Ampelkodierung gestaltet die Anwendung in der korrekten Reihenfolge dabei sehr leicht und unverwechselbar. In diesem Fall musste nur die feine Paste zum Einsatz kommen. Durch die Wahlmöglichkeit zwischen den drei Geschmacksrichtungen Minze, Kirsche und Karamell kann die Mitarbeit des Patienten positiv beeinflusst werden. (Profi-Tipp von Dentalhygienikerin Sabrina Dogan: Kinder den Geschmack der Prophylaxepaste selbst auswählen lassen, aber nur zwei Auswahlmöglichkeiten anbieten. Damit die Wahl nicht zur Qual und die Entscheidung nicht zum zusätzlichen Zeitfresser für unseren Workflow wird.)

Ein kurzer Geschmacks- oder Dufttest vorab, der durch die Entnahme einer sehr kleinen Portion Prophylaxepaste (beispielsweise mittels Q-Tip) und das Schmecken oder daran Riechen einfach sowie schnell umsetzbar ist, wirkt manchmal wahre Wunder! Patienten jeden Alters werden gerne in unsere Behandlungsabläufe einbezogen und nach ihrer Meinung gefragt, so kann es uns leichter gelingen, sie zum „Fan“ zu machen! Um bei den Eltern und bei unserem jungen Patienten Ängste zu minimieren und das Bewusstsein für eine gezielte Pflege der „Kreidezähne“ zu schaffen, setzten wir eine Intensivmotivation ein: Wir lenkten den Blick ganz gezielt auf das nötige Maß an Pflege und auf den häuslichen Einsatz spezieller Hilfsmittel. „Tell – Show – Do“ erwies sich auch hierbei als eine hilfreiche Lehr-Methode mit großem Benefit für alle Beteiligten.

Welche zusätzlichen professionellen Maßnahmen wurden seit 2019 ergriffen?

Wir implementierten eine Intensivfluoridierung: Mindestens alle vier bis sechs Monate behandeln wir die MIH-Zähne gezielt und punktuell in unserer Zahnarztpraxis mit VOCO Profluorid Varnish.
Es handelt sich dabei um einen Lack mit einem Natriumfluoridgehalt von fünf Prozent, was 22.600 ppm Fluorid entspricht. Da VOCO Profluorid Varnish auch auf Zähnen mit einer gewissen Restfeuchtigkeit aufgetragen werden kann und der Patient zwischen sieben verschiedenen Geschmacksrichtungen wählen kann, ist das Produkt gerade bei jungen Patienten zur Fluoridierung bestens geeignet.

Was wurde fortan für die häusliche Zahnpflege empfohlen?

Die punktuelle und einmal tägliche häusliche Anwendung von Remin Pro (VOCO) an den Zähnen 11, 21, 31, 41 mittels Einbündelzahnbürste nach der mechanischen Zahnpflege am Abend wurde als tägliches Ritual empfohlen und in der Zahnarztpraxis demonstriert. Beide Elternteile wurden um Unterstützung gebeten und bei der Instruktion miteinbezogen. Die Eltern sowie unser Patient selbst sind aufgrund der individuell gewählten Maßnahmen, Helferlein und Tools zur häuslichen Mundhygiene nun auch „Fan“ unseres Präventionskonzeptes. Das speichelflussfördernde Remin Pro (VOCO) kombiniert die drei Komponenten Hydroxylapatit, Fluorid und Xylitol zu einem effektiven Schutz vor Demineralisation und fördert somit die natürliche Remineralisation. Gerade bei von MIH betroffenen Zähnen stellt Remin Pro eine perfekte Ergänzung der häuslichen Mundhygiene dar. Auch hier hat der Patient die Möglichkeit, aus den drei Geschmacksrichtungen Melone, Minze und Erdbeere zu wählen.

Fazit

Unser MIH-Konzept hat sich nun schon vielfach erfolgreich bewährt. Besonders wichtig ist uns dabei, individuell auf die jeweiligen Anforderungen und Bedürfnisse unserer Patienten einzugehen: Was bei dem einen funktioniert, muss nicht auch beim zweiten passen. Wir legen großen Wert auf eine vertrauensvolle Basis mit den Patienten und auf eine offene, transparente Kommunikation. Feedback und Rückmeldungen jeder Art nehmen wir stets sehr ernst und gleichen bei Bedarf den Therapieplan gerne an – immer mit dem Ziel vor Augen, ein optimales Ergebnis zu erlangen. Um eine möglichst hohe Akzeptanz und somit auch eine bestmögliche Effektivität in der häuslichen Anwendung der Pflegeprodukte zu erreichen, empfehlen wir auf jeden Fall immer den Einsatz von leckeren und fruchtigen Geschmacksrichtungen. Mit positiven Sinneseindrücken bleiben wir im Gedächtnis und fördern Adhärenz, Motivation sowie den Spaßfaktor bei der Prävention.

Die Literaturliste können Sie sich hier herunterladen.

Dieser Fachartikel ist im PJ Prophylaxe Journal erschienen.

Mehr Fachartikel aus Kinderzahnheilkunde

ePaper