Kinderzahnheilkunde 24.07.2023

Für die MIH gibt es kein "One fits all"-Konzept!



Für die MIH gibt es kein "One fits all"-Konzept!

Foto: © Prof. Dr. Katrin Bekes

Die Molaren-Inzisiven-Hypomineralisation (MIH) ist seit einigen Jahren ein viel diskutiertes Thema innerhalb der Kinderzahnmedizin. Dabei steigen die Fallzahlen, während zugleich die Forschung noch überschaubar ist. Im folgenden Beitrag geht Prof. Dr. Katrin Bekes, Präsidentin der Deutschen Gesellschaft für Kinderzahnmedizin, Vizepräsidentin der Österreichischen Gesellschaft für Kinderzahnmedizin und Leiterin des Fachbereichs Kinderzahnheilkunde der Universitätszahnklinik Wien, auf wesentliche Aspekte der MIH ein.

Die MIH – auch als „Kreidezähne“ bekannt – stellt heute neben der Karies eine zunehmend häufige Erkrankung der Zähne im Kindes- und Jugendalter dar und kommt weltweit vor. Derzeit wird von einer durchschnittlichen Prävalenz von 13 bis 14 Prozent ausgegangen. Die aktuelle Fünfte Deutsche Mundgesundheitsstudie für Deutschland zeigt, dass sogar knapp 30 Prozent der Zwölfjährigen betroffen sind. Das bedeutet, dass mehr als jedes vierte Kind dieser Altersgruppe in Deutschland mindestens einen von einer MIH-befallenen Zahn aufweist.

Diagnostik

Eine MIH kann klinisch erst mit Eruption der betroffenen Zähne diagnostiziert werden. Dies ist in der Regel ab dem sechsten Lebensjahr der Fall. Die Schädigung selbst findet allerdings früher statt: in der Zahnentwicklung der betroffenen Zähne. Dies umfasst für die ersten bleibenden Molaren und die Inzisiven die Zeit kurz vor der Geburt bis zu den ersten Lebensjahren.

Ursachenforschung

Die Ursache für das Auftreten der MIH ist bis jetzt noch nicht abschließend geklärt. Vermutet wird ein Zusammentreffen mehrerer Faktoren, die während des Zeitraums der Zahnentwicklung auf diese Zähne einwirken und zu einer Störung der Prozesse führt, die den Zahnschmelz bilden. Diskutiert werden ganz unterschiedliche Faktoren. Hierzu zählen: Probleme im letzten Monat der Schwangerschaft, Frühgeburt, häufige Erkrankungen in den ersten vier Lebensjahren, Durchfallerkrankungen, Fieberzustände und respiratorische oder bläschenbildende Erkrankungen. Jüngst wurden Bisphenol A sowie ein Vitamin-D-Mangel als weitere mögliche Auslöser genannt.1–4

Auftreten

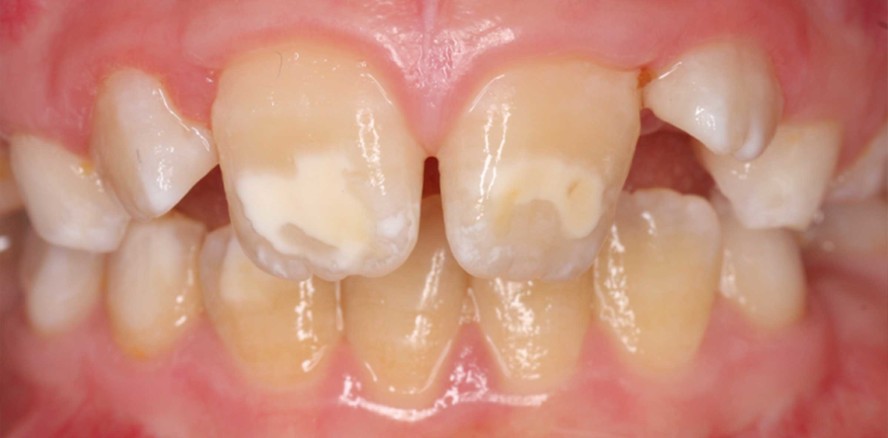
Die MIH tritt klassischerweise an einem bis zu vier ersten bleibenden Molaren mit oder ohne Einbezug der bleibenden Inzisiven auf. Charakteristisch für die Erkrankung sind umschriebene Opazitäten von weißer, gelblicher oder brauner Farbe im Zahnschmelz und ggf. fortschreitende posteruptive Schmelzeinbrüche sowie möglicherweise das Auftreten von Überempfindlichkeiten an den Zähnen.

Therapieoptionen

Für die MIH gibt es kein „One fits all“-Konzept. Therapieoptionen müssen in Abhängigkeit vom vorliegenden Schweregrad einer MIH betrachtet werden. Generell umfassen die Behandlungsoptionen bei betroffenen Molaren die Intensivprophylaxe, Versiegelungen, restaurative Maßnahmen oder sogar die Extraktion. Unabhängig von der Schwere des Defektes sollten jedoch alle betroffenen Kinder in einem Intensivprophylaxeprogramm betreut werden. Weisen MIH-betroffene Molaren bereits posteruptive Schmelzeinbrüche auf, stehen für deren Restauration verschiedene Möglichkeiten zur Auswahl, die von unterschiedlichen Faktoren abhängig sind: Patientenalter, Compliance, Ausdehnung und Qualität (Härte) der Zahnhartsubstanz sowie Schweregrad der MIH. Das Spektrum reicht von Glasionomerzementen, die ideal zur initialen und provisorischen Versorgung von frisch eruptierenden MIH-Molaren sind, über Stahlkronen als Langzeitprovisorium bis zu Kompositfüllungen oder indirekten Restaurationstechniken als definitive Versorgungsvariante.

(Sekundär-)Prävention

Präventionsansätze für die MIH müssen differenzierter betrachtet werden. Eine Vermeidung der Entstehung der Erkrankung ist nicht möglich, da die ätiologischen Faktoren nicht hinreichend geklärt sind. Der Fokus liegt deshalb auf der Sekundärprävention, die das frühzeitige Erkennen der Krankheit umfasst. Sie hat zum Ziel, zumindest ansatzweise die Progression der MIH durch gezielte Behandlungen zu verhindern.

Fluorideinsatz

Auch bei der MIH kommt das Thema Fluoride zur Remineralisierung des Zahnschmelzes ins Spiel. Das Haupteinsatzgebiet der Fluoride bei MIH liegt unzweifelhaft im Rahmen der Kariesprophylaxe. Zudem wird gemutmaßt, dass Fluoride auch in der Behandlung von Hypersensibilitäten bei MIH helfen könnten. Die Studienlage diesbezüglich ist jedoch immer noch nicht ausreichend und muss erst noch ausgebaut werden, bevor sich hier verbindliche Aussagen treffen lassen.

Nichttherapie von MIH

Wie schwer sich eine Nichttherapie auch auf das bleibende Gebiss auswirken kann, hängt vom vorliegenden Schweregrad der MIH und dem Vorliegen einer Therapienotwendigkeit ab. So werden beispielsweise betroffene nicht hypersensible Molaren mit kleinen weißlichen Opazitäten lediglich in ein Prophylaxekonzept entsprechend des Kariesrisikos eingebunden. Weitere Therapiemaßnahmen sind vorerst nicht erforderlich. Stark destruierte überempfindliche Molaren hingegen bedürfen einer schnellen Versorgung, um die Kaufunktion wiederherzustellen und das Kind schmerzfrei zu bekommen.

Milchmolaren-Hypomineralisation (MMH)

Neben der „klassischen“ MIH findet sich die MMH – wie der Name bereits vermuten lässt – als Strukturanomalie im Milchgebiss an den Molaren. In der Regel sind dies die zweiten Milchmolaren. Jüngst konnte in einer Metaanalyse gezeigt werden, dass Kinder mit einer MMH ein fünfmal höheres Risiko haben, auch eine MIH zu bekommen.5 Eine Erklärung dafür könnte in den sich teilweise überschneidenden Entwicklungs- und Mineralisierungsphasen der beiden Zahnarten liegen. Wenn ein Risikofaktor genau während dieser Periode auftritt, kann sich die Hypomineralisation gleichzeitig im primären und permanenten Gebiss manifestieren.

MIH und Kariesrisiko

Generell gelten frühere Karieserfahrungen als ein wichtiger Prädiktor für das Entstehen neuer kariöser Läsionen. Interessanterweise zeigt sich bei der MIH jedoch, dass betroffene Kinder auch mit wenig Karieserfahrung früher von Karies betroffen zu sein scheinen als Patienten ohne MIH. Insbesondere die ersten bleibenden Molaren sind vermeintlich früh involviert. Allerdings sollte der vorliegende Schweregrad nicht außer Acht gelassen werden. Mild betroffene Molaren ohne Hypersensibilitäten weisen ein geringeres Risiko auf als stärker fehlstrukturierte Molaren mit Überempfindlichkeiten, die nicht gut geputzt werden können.

Dieser Beitrag ist in der ZWP Zahnarzt Wirtschaft Praxis erschienen.

Mehr Fachartikel aus Kinderzahnheilkunde

ePaper