Kinderzahnheilkunde 18.06.2024

Ein konservativer Ansatz für die Restauration von Kinderzähnen

Ein konservativer Ansatz für die Restauration von Kinderzähnen

Foto: Dr. Desigar Moodley

Die Behandlung von Karies bei Kindern beruht auf der Tatsache, dass Karies eine fortschrei­tende Krankheit ist, die den Zahn letztendlich schädigt und sich nachteilig auf den bleibenden Zahn oder das allgemeine Wohlbefinden des Kindes auswirken kann. Das Hauptziel der restaurativen Behandlung bei Kindern besteht darin, die kariesbedingten Schäden zu beheben oder zu begrenzen, die Zahnstruktur zu schützen und zu erhalten sowie die Vitalität des Zahnmarks so weit wie möglich zu bewahren.

Obwohl sich Kronen aus rostfreiem Stahl klinisch als erfolgreich erwiesen haben, gehen die Meinungen der Zahnärzte über die Verwendung dieser Kronen auseinander. Die Mehrheit der Allgemeinzahnärzte ist der Ansicht, dass diese Kronen für die meisten Kinder ungeeignet sind und eine unpraktische Restaurationstechnik in einer vielbeschäftigten täglichen Praxis darstellen.1 Die von der British Society of Pediatric Dentists (Britische Gesellschaft der Kinderzahnärzte) herausgegebenen Leitlinien für die Verwendung von Kronen aus rostfreiem Stahl wurden weitgehend ignoriert, da sie nicht die Meinung der Mehrheit der Allgemeinzahnärzte widerspiegeln.1 In den letzten Jahren haben vorgefertigte Kronen aus Zirkoniumdioxid aufgrund der gestiegenen Nachfrage nach Ästhetik an Beliebtheit gewonnen. Kinderkronen aus Zirkoniumdioxid erfordern jedoch einen aggressiveren Ansatz mit subgingivalen Präparationsrändern, um Milchzähne zu restaurieren, was aufgrund der großen Pulpakammern und der hohen Pulpahörner häufig zu einer Freilegung der Pulpa führen kann. Da Zirkoniumdioxidkronen nicht gecrimpt werden können, muss der Zahnarzt die Zähne präparieren, damit die Zirkoniumdioxidkronen passen. Daher ist eine längere Präparations- und Anpassungszeit erforderlich. Außerdem ist ein subgingivaler Rand von mindestens 1 bis 2 mm erforderlich, was nach der subgingivalen Präparation zu Gingivablutungen führt, die die Retention von Zirkon­oxidkronen beeinträchtigen können.2

Um die Unzulänglichkeiten der oben genannten Behandlungsmöglichkeiten zu überwinden, wurde vor Kurzem eine minimalinvasive, hochästhetische Kinderkrone, die Ceramir Pediatric Crown, auf den Markt ­gebracht, bei der ein einzigartiges Herstellungsverfahren durch Lasersintern und Verglasung zum Einsatz kommt.3 Dadurch wurde die Biegefestigkeit der Krone auf 550 MPa verbessert und eine hochästhetische, glänzende Oberfläche erzeugt.3 Ceramir Pediatric Crowns sind vorgefertigte Kronen aus Hybridglas, die der Anatomie des Milchzahns nachempfunden sind und in verschiedenen Größen für Front- und Seitenzähne für unterschiedliche klinische Situationen angeboten werden.

Klinischer Fallbericht

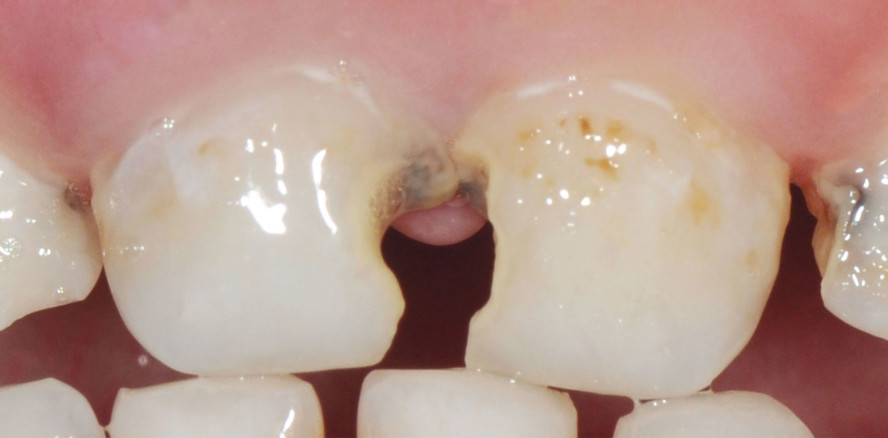
Ein 4-jähriges Mädchen wurde mit Beschwerden über schmerzende Zähne beim Essen und unansehnliche Frontzähne in die pädiatrische Klinik von Dr. Kunal Gupta in Neu-Delhi, Indien, überwiesen. Die klinische Untersuchung zeigte große kariöse Läsionen an den obe­ren Frontzähnen (Abb. 1). Die Röntgenuntersuchung zeigte eine Freilegung der Pulpa an den Zähnen 51 und 61 mit weit geöffneten Wurzelspitzen. Die Ziele des Behandlungsplans waren zunächst die Linderung der Schmerzen und die Beseitigung der Pathologie und dann die Wiederherstellung von Funktion und Ästhetik. Nach dem Einsetzen des Kofferdams wurde an 51 und 61 eine routinemäßige endodontische Behandlung durchgeführt und die Kanäle mit Guttapercha gefüllt und mit AH Plus™ (Dentsply Sirona) versiegelt. Da die Ästhetik im Vordergrund stand, wurden die vier Frontzähne mit Ceramir Pediatric Crowns versorgt. Zur Bestimmung der geeigneten Größe wurde eine (vom Hersteller mitgelieferte) Messlehre verwendet, mit der die Kronen in der richtigen Größe ausgewählt wurden (Abb. 2). Die gesamte Karies wurde mit einem runden Diamantschleifer entfernt, und die mesiale und distale Reduktion erfolgte mit einem feinen konischen Dia­mantschleifer, um die interproximalen Kontakte zu öffnen und die zirkumferenzielle Reduktion einzuleiten. Die bukkale und linguale Reduktion erfolgte mit einem konischen Runddiamanten. Alle Ränder und das Ausmaß der Reduktion wurden von der Karies diktiert und auf ein Minimum beschränkt, um so viel Zahnsubstanz wie möglich zu erhalten, wobei die Ränder supragingival gehalten wurden (Abb. 3).

Anschließend wurden die Kronen auf ihren Sitz geprüft und für das Klebeverfahren vorbereitet. Die Innenseite der ­Kronen wurde mit einem diamantenen „Football Bur“ (379.FG.023, Komet Dental) leicht aufgeraut, abgespült und an der Luft getrocknet. edelweiss Veneer Bond wurde auf die Innenseite der Krone aufgetragen (Abb. 4) und 20 Sekun­den lichtgehärtet. Die präparierte Zahnoberfläche wurde für zehn Sekunden mit 37%iger Phosphorsäure geätzt, Haftvermittler aufgetragen und 20 Sekunden lang lichtgehärtet (Abb. 5 und 6).

edelweiss Nano-Hybrid Composite, Farbe A0, wurde auf die Innenseite der Krone aufgetragen und auf den präparierten Zahn gesetzt, vorsichtig eingesetzt und überschüssiges Komposit von den Rändern entfernt. Die Okklusion wurde kontrolliert und die endgültige Aushärtung erfolgte mit 20 Sekunden Lichthärtung (Abb. 7).

Die Nachuntersuchung nach vier Monaten ergab keine Verfärbung der Kronen und eine gute Gesundheit des Zahnfleisches (Abb. 8).

Diskussion

Die Zahnästhetik und die Bedeutung des Erhalts der Frontzähne für die richtige psychologische Entwicklung in der Kindheit können in immer jüngeren Jahren und durch die Interaktion mit anderen Kindern beeinflusst werden.4 Die Nachfrage nach ästhetischen und nicht nach funktionellen Restaurationen von Milchzähnen scheint zuzunehmen.5 Um diese Nachfrage zu befriedigen, hat sich der Markt in letzter Zeit von Kronen aus rostfreiem Stahl wegbewegt. Vorgefertigte Zirkoniumdioxidkronen wie NuSmile, Cheng Crowns und Kinder Krowns bestehen aus Yttrium-stabilisiertem Zirkonium und werden entweder gefräst oder im Spritzgussverfahren hergestellt. Kronen aus Zirkoniumdioxid bieten im Vergleich zu Kronen aus Edelstahl eine überlegene Ästhetik. In-vitro-Bruchbelastungsstudien von Townsend et al.6 zeigten jedoch Unterschiede in der Kronenstärke und Bruchfestigkeit von Zirkonoxidkronen. Es wurden statistisch signifikante Unterschiede zwischen den Kräften festgestellt, die erforderlich sind, um Zirkoniumdioxidkronen der drei verschiedenen Her­steller zu zerbrechen. Die Zunahme der Kraft korrelierte mit der Kronenstärke. Die Kräfte, die erforderlich waren, um die vorverblendeten Edelstahlkronen zu zerbrechen, waren größer ­
als die Kräfte, die erforderlich waren, um die Zirkoniumdioxidkronen aller Hersteller zuzerbrechen.6 Ceramir Pediatric Crowns verhalten sich ähnlich wie die natürliche Zahnstruktur mit einem Biegemodul von 20 GPa.3 Dies ermöglicht einen „Stoßdämpfer“-Effekt, der sich für den Kinderpatienten beim Kauen sanfter anfühlt.

Die Ceramir Pediatric Crowns imitieren die Form der natürlichen Milchzähne perfekt, indem sie die Anatomie des Milchzahns nachahmen. Die mesialen und distalen Ränder der Ceramir Pediatric Crowns folgen der natürlichen Gingivalinie der Milchzähne, wodurch eine übermäßige Zahnreduktion minimiert wird, und es besteht keine Notwendigkeit, die Ränder unter die Gingiva zu bringen, es sei denn, die Karies erfordert eine Erweiterung. Außerdem besteht aufgrund der minimalen Präparation kein Risiko einer iatrogenen Schädigung des Pulpagewebes des Milchzahns. Diese vorgefertigten Kronen ermöglichen eine schnelle und sichere Behandlung mit maximalen ästhetischen Ergebnissen. Sollte eine Nachbehandlung erforderlich sein, bieten Ceramir Pedia­tric Crowns den Vorteil, dass sie leicht entfernt werden können, da sie sich ähnlich wie Dentin schneiden lassen, oder dass sie durchbohrt werden können, wenn eine Zugangskavität erforderlich ist.

Die Morphologie der Ceramir Pediatric Crown ähnelt der des Milchzahns, sodass nur sehr wenige okklusale Anpassungen erforderlich sind. Wenn sie erforderlich ist, kann sie an der Kinderkrone selbst und nicht am Gegenzahn vorgenommen werden, sodass die natürliche Zahnstruktur erhalten bleibt. Im Gegensatz zu Kronen aus Zirkoniumdioxid muss jede okklusale Anpassung am Gegenzahn vorgenommen werden, wodurch dieser unnötig beschädigt wird. Der natürliche Abrieb von Ceramir Pediatric Crowns und der der Zahnsubstanz ähnliche Biegemodul3 machen diese Kronen im Mund des Kindes verträglicher und schonender für die Kiefergelenke.

Fazit

Die Ceramir Pediatric Crown ist eine einfache und effektive ästhetische und funktionelle Behandlungsoption für die Rehabilitation kariöser Milchzähne und eine überlegene Alternative zu Kronen aus Edelstahl und Zirkoniumdioxid.

Dieser Fachbeitrag ist unter dem Originaltitel „Minimalinvasive Kinderkrone: Ein konservativer Ansatz für die Restauration von Kinderzähnen“ in der ZWP Zahnarzt Wirtschaft Praxis erschienen.

Dies Literaturliste können sie sich hier herunterladen.

Autor: Dr. Desigar Moodley

Mehr Fachartikel aus Kinderzahnheilkunde

ePaper