Aus den verschiedensten Gründen sind unsere Patienten häufig auf ihr aktuelles medizinisches Problem fixiert und suchen die Lösung dieses - und zwar nur dieses - Problems. Sie erwarten dennoch in der Regel, dass der Arzt darüber hinaus durch sein Fachwissen Zusammenhänge erkennt und geplante Therapien auf deren Prognose hin beurteilt. Ähnliches gilt für zielgerichtete Überweisungen, nur dass die Ansprüche der Kollegen fachlich entsprechend höher sind. Dieser Problematik kann man nur mit
Die zahnärztlich-chirurgische Behandlung von Patienten mit erhöhtem Blutungsrisiko stellt für den Zahnarzt eine besondere Herausforderung...
Die zahnärztlich-chirurgische Behandlung von Patienten mit erhöhtem Blutungsrisiko stellt...
Störungen der Blutgerinnung können bereits bei einfachen Zahnentfernungen oder der Insertion von Implantaten zu schweren Komplikationen führen.
Störungen der Blutgerinnung können bereits bei einfachen Zahnentfernungen oder der Insertion...
Eine neuartige Trepan-Hohlfräse ermöglicht die einfache und effiziente Gewinnung von Eigenknochen, um mittels der „Guided-Bone-Regeneration“...
Eine neuartige Trepan-Hohlfräse ermöglicht die einfache und effiziente Gewinnung von Eigenknochen,...
Durch die minimalinvasive Rekonstruktion der Alveole mithilfe der minimalinvasiven Tunneltechnik ist die vertikale Inzisionen sowie Inzision...
Durch die minimalinvasive Rekonstruktion der Alveole mithilfe der minimalinvasiven Tunneltechnik...
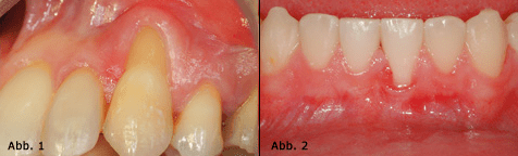
Rezessionen können sowohl bei guter als auch bei schlechter Mundhygiene entstehen. Sie stellen häufig für die Patienten ein ästhetisches...
Rezessionen können sowohl bei guter als auch bei schlechter Mundhygiene entstehen. Sie stellen...
Zur Schmerzreduktion werden heute vorwiegend lokalanästhesiologische Verfahren angewendet.
Zur Schmerzreduktion werden heute vorwiegend lokalanästhesiologische Verfahren angewendet.
Mit einer Naht soll nach einem operativen Eingriff ein stabiler Verschluss der Weichgewebswunde erzielt werden. Das Nahtmaterial bestimmt den...
Mit einer Naht soll nach einem operativen Eingriff ein stabiler Verschluss der Weichgewebswunde...
Die digitale Bildgebung liefert bei sehr guter Bildqualität nun die Grundlage für eine bequeme Datenverwaltung, einen sicheren Datentransport...
Die digitale Bildgebung liefert bei sehr guter Bildqualität nun die Grundlage für eine bequeme...
Ist der laterale Sinuslift eine effektive und gefahrlose Methode? Betrachtung und Vergleich mit anderen Methoden nach tausend durchgeführten...
Ist der laterale Sinuslift eine effektive und gefahrlose Methode? Betrachtung und Vergleich...
Unterteilung der Ersatzmaterialien nach ihrer Herkunft in autogene, allogene und xenogene Knochentransplantate.
Unterteilung der Ersatzmaterialien nach ihrer Herkunft in autogene, allogene und xenogene Knochentransplantate.
Um den Halt einer Totalprothese im Oberkiefer zu verbessern, wurde bei einer Patientin mit schmalem Kieferkamm mithilfe der Bone Splitting-Technik...
Um den Halt einer Totalprothese im Oberkiefer zu verbessern, wurde bei einer Patientin mit...
Die Sinusbodenelevation hat sich mittlerweile als praxisbewährte und wissenschaftlich anerkannte OP-Methode bei atrophiertem Knochenangebot...
Die Sinusbodenelevation hat sich mittlerweile als praxisbewährte und wissenschaftlich anerkannte...
Implantatgetragener Zahnersatz setzt sich immer mehr als Therapie der ersten Wahl durch. Mit ihm ist es möglich, in vielen Fällen eine Restitutio...
Implantatgetragener Zahnersatz setzt sich immer mehr als Therapie der ersten Wahl durch. Mit...
Oft sind in der Fachliteratur Beiträge zu finden, die sich mit den „Sahnestückchen“ verschiedener Operationstechniken befassen. Im...
Oft sind in der Fachliteratur Beiträge zu finden, die sich mit den „Sahnestückchen“ verschiedener...
Da Sie der Verwendung von Google Maps nicht zustimmten, kann leider keine Karte angezeigt werden.
Haben Sie schon unseren Newsletter abonniert?
Um bei unserer Anwendung Formulare zu verwenden, benötigen wir die Zustimmung um einen Token für das Absenden zu setzen.
Datenschutz und Nutzungserlebnis
Wir übermitteln Daten an Drittanbieter, die uns helfen, unser Webangebot zu verbessern und zu finanzieren. In diesem Zusammenhang werden auch Nutzungsprofile gebildet und angereichert, auch außerhalb des Europäischen Wirtschaftsraumes. Hierfür und um bestimmte Dienste zu nachfolgend aufgeführten Zwecken verwenden zu dürfen, benötigen wir Ihre Einwilligung.
Indem Sie "Alle Cookies akzeptieren" klicken, stimmen Sie diesen (jederzeit widerruflich) zu.
Unter "Manuell auswählen" können Sie die Datenverarbeitung individuell personalisieren.
Unter "Nur notwendige akzeptieren" können Sie die Datenverarbeitung ablehnen.
Indem Sie "Speichern" klicken, stimmen Sie diesen (jederzeit widerruflich) zu.
Um Kartendaten in unserer Anwendung darzustellen, nutzen wir den Kartendienst Google Maps. Willigen Sie der Nutzung von Google Maps ein, werden ggf. personenbezogene Daten (Ihre IP-Adresse) von Google erhoben.
Einbinden von Google Maps erlauben
Einige unserer Videoinhalte (bspw. Livestream) werden über die Videoplattform Vimeo bereitgestellt.
Inhalte von Vimeo erlauben
Einige Beiträge binden Inhalte von Instagram ein. Wenn Sie zustimmen, wird eine Verbindung zu Meta/Instagram aufgebaut und es können personenbezogene Daten wie Ihre IP-Adresse übertragen werden.
Inhalte von Instagram erlauben
Für ein besseres Benutzererlebnis können unsere Werbeanzeigen personalisiert werden. Um dies zu ermöglichen, wird das erstellen von Cookies vorausgesetzt. Sollten Sie diesem Dienst nicht zustimmen, werden Werbeanzeigen zufällig ausgeliefert.
Personalisierte Werbung erlauben
Um sich bei unserer Anwendung Formulare zu verwenden werden Tokens gesetzt die es uns ermöglichen Spam zu verhindern. Sollten Sie dies ausstellen, ist es Ihnen nicht mehr möglich sich bei uns anzumelden oder zu registrieren.
Anmeldeformulare absenden ermöglichen
Bei der Gestaltung unserer Anwendung benutzen wir Schriftarten von Adobe, diese werden über ein CDN geladen. Sollte Sie diesem Dienst nicht zustimmen wird die Standard Schrift des Systems benutzt. Außerdem könnte es zu Fehlern im allgemeinen Anwendungsdesign kommen.
Inhalte von Adobe erlauben
Sie können Ihre Auswahl jederzeit unter "Cookie-Einstellungen“ am Seitenende ändern.