Das Sjögren-Syndrom ist eine chronisch-entzündliche, systemische Autoimmunerkrankung, die immunpathologisch durch eine lymphozytär vermittelte Infiltration exokriner Drüsen charakterisiert ist.
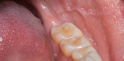
Wie lässt sich ein Zahn erhalten, der nach konventionellen prognostischen Kriterien als extraktionswürdig eingestuft worden ist? Der vorliegende...
Wie lässt sich ein Zahn erhalten, der nach konventionellen prognostischen Kriterien als extraktionswürdig...
Die Distraktionsosteogenese ist eine Alternative im Spektrum präimplantologischer Verfahren zur Verbesserung des Implantatlagers, insbesondere...
Die Distraktionsosteogenese ist eine Alternative im Spektrum präimplantologischer Verfahren...
Die dentale Gemination ist eine seltene Entwicklungsstörung, bei der es infolge unvollständiger Teilung des Zahnkeims zur Ausbildung einer...
Die dentale Gemination ist eine seltene Entwicklungsstörung, bei der es infolge unvollständiger...
Der orale Lichen planus ist eine chronisch-entzündliche Erkrankung der Mundschleimhaut, die von der Weltgesundheitsorganisation als potenziell...
Der orale Lichen planus ist eine chronisch-entzündliche Erkrankung der Mundschleimhaut, die...
Die Implantologie hat in den letzten Jahren bedeutende Fortschritte gemacht, insbesondere bei der Versorgung von Patienten mit besonderen medizinischen...
Die Implantologie hat in den letzten Jahren bedeutende Fortschritte gemacht, insbesondere bei...
Die Einzelzahnimplantation im posterioren Unterkiefer ist ein etablierter Standard in der Zahnmedizin. Fortschritte in Augmentationstechniken...
Die Einzelzahnimplantation im posterioren Unterkiefer ist ein etablierter Standard in der Zahnmedizin....
Die Angst vor Spritzen (Trypanophobie) ist weitverbreitet und kann zu einer ernsthaften medizinischen Problematik werden, wenn notwendige Behandlungen...
Die Angst vor Spritzen (Trypanophobie) ist weitverbreitet und kann zu einer ernsthaften medizinischen...
Kieferorthopädische Miniimplantate sind temporäre Implantate, die zur skelettalen Verankerung in den Kieferknochen eingesetzt und nach ihrem...
Kieferorthopädische Miniimplantate sind temporäre Implantate, die zur skelettalen Verankerung...
Durch die Verwendung von piezoelektrischen Technologien können Ärzte präzisere und weniger invasive Eingriffe durchführen, was zu einer Reduzierung...
Durch die Verwendung von piezoelektrischen Technologien können Ärzte präzisere und weniger...
Der Beitrag gibt einen Überblick über den therapeutischen Stellenwert von Vitamin D in der Zahnheilkunde und analysiert anhand der vorhandenen...
Der Beitrag gibt einen Überblick über den therapeutischen Stellenwert von Vitamin D in der...
Was macht einen guten Zahnarzt aus? Überraschenderweise beantworten viele Patienten diese Frage nicht mit der Qualifikation des Behandlers;...
Was macht einen guten Zahnarzt aus? Überraschenderweise beantworten viele Patienten diese...
Speichel wird von den drei paarigen großen und den zahlreichen in der Mukosa lokalisierten kleinen Glandulae salivariae in Abhängigkeit vom...
Speichel wird von den drei paarigen großen und den zahlreichen in der Mukosa lokalisierten...
Der nachfolgende Beitrag beleuchtet die enge Zusammenarbeit zwischen Kieferchirurgie und Hals-Nasen-Ohren-Heilkunde bei der Behandlung chronischer...
Der nachfolgende Beitrag beleuchtet die enge Zusammenarbeit zwischen Kieferchirurgie und Hals-Nasen-Ohren-Heilkunde...
Das Fehlen von bleibenden Zähnen, vor allem im sichtbaren Bereich, kann zu psychosozialen Problemen führen, insbesondere während der Pubertät....
Das Fehlen von bleibenden Zähnen, vor allem im sichtbaren Bereich, kann zu psychosozialen...
Da Sie der Verwendung von Google Maps nicht zustimmten, kann leider keine Karte angezeigt werden.
Haben Sie schon unseren Newsletter abonniert?
Um bei unserer Anwendung Formulare zu verwenden, benötigen wir die Zustimmung um einen Token für das Absenden zu setzen.
Datenschutz und Nutzungserlebnis
Wir übermitteln Daten an Drittanbieter, die uns helfen, unser Webangebot zu verbessern und zu finanzieren. In diesem Zusammenhang werden auch Nutzungsprofile gebildet und angereichert, auch außerhalb des Europäischen Wirtschaftsraumes. Hierfür und um bestimmte Dienste zu nachfolgend aufgeführten Zwecken verwenden zu dürfen, benötigen wir Ihre Einwilligung.
Indem Sie "Alle Cookies akzeptieren" klicken, stimmen Sie diesen (jederzeit widerruflich) zu.
Unter "Manuell auswählen" können Sie die Datenverarbeitung individuell personalisieren.
Unter "Nur notwendige akzeptieren" können Sie die Datenverarbeitung ablehnen.
Indem Sie "Speichern" klicken, stimmen Sie diesen (jederzeit widerruflich) zu.
Um Kartendaten in unserer Anwendung darzustellen, nutzen wir den Kartendienst Google Maps. Willigen Sie der Nutzung von Google Maps ein, werden ggf. personenbezogene Daten (Ihre IP-Adresse) von Google erhoben.
Einbinden von Google Maps erlauben
Einige unserer Videoinhalte (bspw. Livestream) werden über die Videoplattform Vimeo bereitgestellt.
Inhalte von Vimeo erlauben
Einige Beiträge binden Inhalte von Instagram ein. Wenn Sie zustimmen, wird eine Verbindung zu Meta/Instagram aufgebaut und es können personenbezogene Daten wie Ihre IP-Adresse übertragen werden.
Inhalte von Instagram erlauben
Für ein besseres Benutzererlebnis können unsere Werbeanzeigen personalisiert werden. Um dies zu ermöglichen, wird das erstellen von Cookies vorausgesetzt. Sollten Sie diesem Dienst nicht zustimmen, werden Werbeanzeigen zufällig ausgeliefert.
Personalisierte Werbung erlauben
Um sich bei unserer Anwendung Formulare zu verwenden werden Tokens gesetzt die es uns ermöglichen Spam zu verhindern. Sollten Sie dies ausstellen, ist es Ihnen nicht mehr möglich sich bei uns anzumelden oder zu registrieren.
Anmeldeformulare absenden ermöglichen
Bei der Gestaltung unserer Anwendung benutzen wir Schriftarten von Adobe, diese werden über ein CDN geladen. Sollte Sie diesem Dienst nicht zustimmen wird die Standard Schrift des Systems benutzt. Außerdem könnte es zu Fehlern im allgemeinen Anwendungsdesign kommen.
Inhalte von Adobe erlauben
Sie können Ihre Auswahl jederzeit unter "Cookie-Einstellungen“ am Seitenende ändern.