Zahntechnik 06.09.2016
Sind betagte Patienten besondere Patienten?
share
Die demografische Entwicklung im Blick: gerontoprothetische Therapieempfehlungen für eine zahnärztlich-prothetische Behandlung
Der wachsende Anteil betagter
Patienten in unserer Bevölkerung wird in Zukunft auch die Zahnmedizin in erheblichem Maße fordern, da insbesondere die zahnärztlich-prothetische Behandlung älterer Patienten vergleichsweise sehr zeitaufwendig ist. Schon heute wird der für die gesamte gerostomatologische Betreuung und Versorgung Älterer notwendige Behandlungsaufwand auf eine Größenordnung von 30 bis 40 Prozent des durchschnittlichen Zeitaufwandes in einer zahnärztlichen Praxis geschätzt.
Einleitung
Aktuell ist in unserer Bevölkerung eine Zunahme des Anteils betagter Menschen bzw. Patienten zu beobachten. In etwa zehn Jahren ist davon auszugehen, dass knapp 25 Prozent der Menschen älter als 60 Jahre sein werden. Parallel dazu steigt in der Zahnmedizin aufgrund der Summation der durch Karies, Traumata und Parodontopathien verloren gegangenen Zähne der prothetische Behandlungsbedarf mit zunehmendem Lebensalter weiterhin an.3 Dabei ist sicherlich durch die momentan stattfindende Zuwanderung noch eine Veränderung der Daten in Zukunft zu erwarten, welche derzeit aber nicht voraussehbar ist. Trotzdem wird die Gerostomatologie somit zunehmend an Bedeutung gewinnen.
Allgemein erstreckt sich das Feld der Alterszahnheilkunde von der minimalinvasiven Kariestherapie bis hin zur totalprothetischen Versorgung und oralhygienischer Betreuung solcher Patienten, die zu einer eigenen, adäquaten Mund- und Prothesenhygiene nicht mehr in der Lage sind (Abb. 1). Hinzu kommt die Auffassung mancher betagter Patienten, dass „sich das für sie ja nicht mehr lohnt“. Auch dieser fatalistischen Haltung entgegenzutreten und dem Patienten den Nutzen einer sachgerechten zahnärztlichen Behandlung und den durch sie zu erzielenden Gewinn an Lebensqualität aufzuzeigen, wird zunehmend zur Herausforderung in der zahnärztlichen Praxis. Dabei stellt sich dann die Frage, ob diese betagten Patienten besondere Patienten sind.
Bei der Antwort darauf muss bedacht werden, dass sich der Allgemeinzustand des älteren Patienten im Laufe der Zeit wahrscheinlich eher nachteilig entwickeln und seine Belastbarkeit abnehmen wird. Darüber hinaus ist auch das Nachlassen motorischer und sensorischer Fähigkeiten eine typische Begleiterscheinung des höheren Lebensalters, was nicht selten eine reduzierte Mund- und Prothesenhygiene nach sich zieht. Somit ist der betagte Patient durchaus ein sehr besonderer Patient, welcher allerdings nicht anderer Therapieformen und Behandlungsmittel bedarf. Das Besondere der Alterszahnheilkunde ist vielmehr die Behandlungsstrategie.
Die folgenden Empfehlungen9 für die zahnärztlich-prothetische Behandlung betagter Patienten mögen dazu eine Hilfestellung geben:
Notwendige Neuversorgungen nicht unnötig aufschieben!
Sofern bei einem Patienten eine zahnärztliche Behandlung – insbesondere eine prothetische Neuversorgung – erkennbar notwendig wird, sollte diese nicht unnötig lange aufgeschoben werden. Die Neuversorgung ist nämlich nicht aufgehoben, sondern nur aufgeschoben, und gerade im höheren Lebensalter muss mit plötzlichen Erkrankungen gerechnet werden, die praktisch „über Nacht“ die Behandlungsfähigkeit eines Patienten erheblich einschränken können.
Heute schon an morgen denken!
Gerade in zunehmendem Alter stehen für viele Patienten andere Erkrankungen im Vordergrund, wodurch der regelmäßige Zahnarztbesuch an Priorität verliert. Hinzu kommt die leider immer noch weitverbreitete Überzeugung, dass nach erfolgter Neuanfertigung von Zahnersatz dieser in den nächsten Jahren keiner Nachsorge bedarf. Wird Zahnersatz aber nicht engmaschig kontrolliert und nachgesorgt, dann ist die Gefahr gegeben, dass sowohl größere biologische als auch technische Defekte auftreten können. Diese sind dann nicht mehr einfach zu beseitigen, sondern erfordern häufig vielmehr eine komplette Neuanfertigung des Ersatzes. Wenn dann von zahnärztlicher Seite primär die Pflege- und Erweiterungsfähigkeit des Ersatzes zu wenig bedacht wurde, sind erhebliche Behandlungserschwernisse vorprogrammiert. Die Planung von Zahnersatz sollte daher bei Patienten im höheren Alter so ausgerichtet sein, dass Nachbehandlungen möglichst einfach sind.
Zahnersatz sollte pflegefähig und einfach handhabbar sein!
Prothetische Versorgungen für ältere Menschen sollten leicht handhabbar, pflegefähig und robust sein. Es ist zu bedenken, dass sowohl der betagte Patient mit den möglicherweise ihm eigenen Limitationen seiner Feinmotorik als auch ggf. die ihn Pflegenden in der Lage sein müssen, mit dem Zahnersatz zurechtzukommen. Bei herausnehmbarem Teilersatz haben z.B. Doppelkronen zweifellos Vorteile. Sie können effizient und einfach gereinigt werden (Abb. 2). Auf komplizierte Verankerungsformen sollte eher verzichtet werden, da sie oft nur schwer pfleg- und handhabbar und oftmals auch nur eingeschränkt erweiterungsfähig sind.
Besser reduziert festsitzend versorgen als komplettierend herausnehmbar!
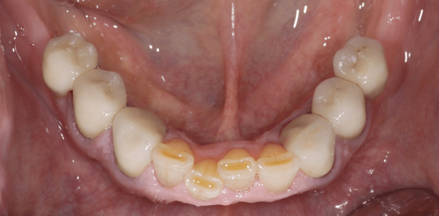
Festsitzender Zahnersatz wird von den meisten Patienten gegenüber dem herausnehmbaren Ersatz nicht nur als angenehmer empfunden, sondern er gewährleistet auch in der Regel eine höhere Kaueffizienz. Zusätzlich liegt die Haltbarkeit von festsitzendem Ersatz höher als die von Einstückgussprothesen oder auch komplizierten Kombinationsarbeiten.5, 6, 8 Wann immer möglich, empfiehlt es sich daher, festsitzenden Zahnersatz zu wählen, auch wenn so eine Komplettierung der Zahnreihe nicht immer erreicht wird (Abb. 3).
Im Allgemeinen wird heute eine Anzahl von zehn Antagonistenpaaren sowohl kau- als auch organfunktionell als ausreichend angesehen, wenn der Patient keine Dysfunktionen erkennen lässt. Nach Untersuchungen von Käyser4 wird von den Patienten selbst erst ab einer Verkürzung auf weniger als sechs Antagonistenpaare eine deutliche Reduktion der Kaufunktion angegeben.
Veränderungen möglichst in kleinen Schritten vornehmen!
Notwendige Veränderungen am Zahnersatz oder gar Neuversorgungen sollten – wenn möglich – immer in kleinsten Schritten erfolgen, um dem Patienten die Adaptation an die neue Situation zu erleichtern, was bei älteren Menschen in der Regel mehr Zeit beansprucht als bei jüngeren. Gerade weil der Adaptation in der Gerostomatologie eine so große Bedeutung zukommt, sei der ihr zugrunde liegende Mechanismus kurz näher erläutert: Die Adaptation von Zahnersatz ist ein sehr komplexer Vorgang. Adaptation bzw. Gewöhnung bedeutet in diesem Zusammenhang die stetige Verminderung der Reaktion des Organismus auf einen kontinuierlichen oder sich stetig wiederholenden Stimulus.2 Der Prozess der Gewöhnung ist ein fundamentaler biologischer Mechanismus, der ein Individuum davor beschützt, stets von neuem auf sich ständig wiederholende und biologisch letztlich irrelevante Reize reagieren zu müssen. Aus neurophysiologischer Sicht ist es dabei für den Prozess der Gewöhnung von großer Bedeutung, dass die Stimuli stets gleich sind und der jeweils vorhergehende Reiz noch im Kurzzeitgedächtnis gespeichert ist.1
So wird auch unmittelbar verständlich, dass die Gewöhnung mit zunehmendem Alter infolge des nachlassenden Kurzzeitgedächtnisses immer mehr Zeit in Anspruch nimmt. In Hinblick auf die Adaptation des Zahnersatzes durch den betagten Patienten kann dann oftmals beispielsweise eine Aufbauprothese eine geeignete Therapieoption darstellen. In Fällen, in denen man des Befundes wegen durchaus eine totale Sofortprothese diskutieren könnte, hat eine Aufbauprothese Vorteile, da sie den Patienten schrittweise an die neue Versorgungssituation heranführt. Bezüglich der noch vorhandenen Zähne ist es allerdings erforderlich, dass diese ihrem Zustand nach einerseits keine aufwendigere Konstruktion mehr erfordern, dass andererseits ihre sofortige Extraktion aber nicht zwingend notwendig ist. In diesen Fällen wird eine nicht abgestützte Kunststoffprothese mit einfachen Halteelementen angefertigt (Abb. 4). Muss später dann ein Zahn entfernt werden, wird die Prothese entsprechend erweitert. Auf diese Art und Weise muss sich der Patient immer nur an ein neues Teilstück derselben Prothese gewöhnen. Die Prothese „wächst“ quasi in Etappen auf die Ausdehnung einer totalen Prothese an, ohne dass jeweils große Umstellungen notwendig werden.7
Fazit
Nur wenn heute bei möglichst vielen Patienten sinnvolle und zukunftsweisende Therapieentscheidungen getroffen werden, lassen sich die Weichen richtig stellen. Für einen Weg nämlich, der es erlaubt, auch dem betagten Patienten ein funktionstüchtiges Kauorgan zu erhalten. So bleibt zu hoffen, dass die Rahmenbedingungen auch in der Zukunft eine an den Anforderun-gen und Bedürfnissen des alten Menschen ausgerichtete Zahnmedizin erlauben.
Literatur
1 Fish S F: Adaptation and habituation to full dentures. Br Dent J 127, 19–26 (1969).
2 Glaser E M: The Physiological Basis of Habituation. Oxford University Press, London 1966.
3 I & G Gesundheitsforschung München: Bedarfsermittlung für prothetische Leistungen in der Zahnheilkunde bis zum Jahr 2020. München 2001.
4 Käyser A F: Shortened dental arches and oral function. J Oral Rehabil 8, 457–462 (1981).
5 Kerschbaum T.: Überlebenszeiten von Kronen- und Brückenzahnersatz heute. Zahnärztl Mitt 76, 231–235 (1986).
6 Kerschbaum T: Langzeitüberlebensdauer von Zahnersatz. Quintessenz 55, 1113–1126 (2004).
7 Marxkors R.: Gerontoprothetik. In: Markors R. (Hrsg.): Lehrbuch der zahnärztlichen Prothetik. Deutscher Zahnärzte
Verlag, Köln 2007, 301–309.
8 Wöstmann B: Provisorischer Ersatz oder definitive Soforteinstückgussprothese? Dtsch Zahnärztl Z 49, 249–252 (1994).
9 Wöstmann B., Rehmann P.: Gerostomatologie und Prothetik. Zahnmedizin
Co-Autoren: Dr. Ghezal Asef und Prof. Dr. Bernd Wöstmann, Gießen, Deutschland
Pola For Aligners
TRIOS 6
CYTECpro + CONTECpro
BeautiLink SA
mμILLUSION Color Malfarben und -pasten
breCAM.multiCOM+
PALA Mill&Cast
Luxatemp MaxProtect
breCAM.base
Leaf Expander® Hybrid