Branchenmeldungen 21.11.2014

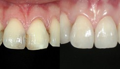
Das macht Lust auf pure Zahntechnik

Das macht Lust auf pure Zahntechnik

Foto: © Kuraray

Rückblick auf den 1. „Keramik“ Day von Kuraray Noritake und Goldquadrat

Vier leidenschaftliche Referenten, vier bewährte Vorgehensweisen, ausgebuchtes Auditorium und ein Material, das sie alle begeistert. Der 1. „Keramik“ Day von Kuraray Noritake kann als Beginn einer leidenschaftlichen Liebesbeziehung bezeichnet werden. Aufregung vor dem ersten Date, Kribbeln während der Anfangsminuten und ein Feuer, das am Ende alle entflammte.

„Lassen Sie sich von unseren Referenten inspirieren!“ Mit dieser Aufforderung eröffneten Dr. Ernst Wühr (Kuraray Europe GmbH) sowie Rüdiger Bach und Wilhelm Mühlenberg (Goldquadrat GmbH) Mitte November 2014 einen Kongress, der mit positiven Energien gefüllt war, mit Emotionen, Konzepten und vor allem mit Menschen. Ob Referenten, Zuhörer oder Veranstalter – der 1. „Keramik“ Day galt der Zahntechnik, der Inspiration und dem Miteinander.

Impressionen vom 1. Keramik Day

Kennenlernen

In seinen einleitenden Worten stellte Dr. Wühr das global agierende, japanische Unternehmen Kuraray Noritake Dental kurz vor. „Wenn Sie morgen mit Ihren Adidas-Schuhen laufen gehen, denken Sie an uns. Die Kunstfasern in den Schuhen sind vermutlich von Kuraray“, unterstrich er die Produktvielfalt des Unternehmens. Im zahnärztlichen Bereich ist Kuraray für Bonding, Komposit und Zement bekannt. Im Jahr 2012 wurde eine „japanische Hochzeit“ gefeiert. Die Dentalsparte von Kuraray und die ebenfalls japanische Firma Noritake Dental fusionierten. Bis dato galt das Noritake-Keramiksystem als Geheimtipp unter Zahntechnikern. „Geheim“ ist es nicht mehr, aber als „Tipp“ wird die Keramik mehr denn je gehandelt. Heute ist diese Keramik auf Erfolgskurs und in das Rampenlicht der Zahntechnik getreten. Ein guter Grund, um den zahntechnischen Kunstfertigkeiten mit Noritake-Materialien einen Kongress zu widmen und engagierte Referenten, Anwender und Interessenten einzuladen. Die Aufregung vor dem „Keramik“ Day war groß, denn es war das erste Treffen in dieser Konstellation. Für dieses erste Date hatte sich die Europa-Zentrale von Kuraray herausgeputzt und sich von einer sehr charmanten Seite gezeigt.

Menschen, Meinungen und Emotionen

Jeder der vier Referenten brachte etwas ganz Besonderes mit: Leidenschaft, Inspiration und erstklassige ausgefeilte Präsentationen. Spannende Themen gab es zur Genüge und so konnte nach einem unverfänglichen Näherkommen auf einfachen Small Talk verzichtet werden.

Mit Emotionen und aussagekräftigen Informationen inspirierte ZTM Alexander Fink (München) seine Zuhörer. „Geniale Dinge sind grundsätzlich einfach“, leitete er sein Thema ein: KATANA Zirconia Multilayer (Kuraray Noritake). Die Theorie hinter dem polychromatischen Zirkonoxid-Blank ist bekannt; die ungeahnten Möglichkeiten, die sich dahinter verbergen, rückte ZTM Fink eindrucksvoll ins Bewusstsein. „Wir können damit Dentin fräsen!“, schwärmte er und präsentierte eine einfache Technik zur naturnahen Initiation von Zahnsubstanz. Neben monolithischen Restaurationen können mit KATANA ML Gerüste für die individuelle Verblendung gefertigt werden. ZTM Fink stellte eine „Box voller Möglichkeiten“ vor: Das CZR-Kit (Kuraray Noritake) für die Verblendung der Gerüste. Sein Vorgehen: Er fräst aus dem KATANA ML-Blank ein Gerüst, das in der Ausdehnung dem Dentin des natürlichen Zahnes entspricht: „Mit KATANA spielt das Licht bereits im Gerüst. Daher bin ich so geizig mit dem Platz, dass ich keine Dentin-Schichtmasse mehr auftragen muss“. Er schichtet nur eine dünne Schmelzschicht, wobei ihm die Luster-Massen der CZR-Keramik wertvolle Dienste leisten. Die lichtoptischen Eigenschaften, die aus diesem einfachen Vorgehen resultieren, seien außergewöhnlich.

ZTM Andreas Piorreck (Leipzig) stellte sich der „Herausforderung Frontzahnästhetik“ und begann das erste Date ganz „Gentleman’s Like“ mit einem Kompliment: „An der Ausrichtung dieser Veranstaltung merkt man, dass Kuraray Noritake den Fokus auf Qualität und Nachhaltigkeit legt.“ Dann widmete sich ZTM Piorreck der Wirklichkeit des Laboralltags und sprach über eine Studie von Malcom Gladwell, deren Fazit sich in eine gute und eine schlechte Nachricht teilt. Die gute: Wer stetig an seinen Fähigkeiten übt und feilt, wird Erfolg haben. Der Haken: Selbstdisziplin! Man muss hart an sich arbeiten – jeden Tag, jede Woche, jedes Jahr! Bei der Herstellung von Frontzahnrestaurationen bevorzugt ZTM Piorreck die individuelle Schichttechnik, wobei die Luster-Massen des CZR-Systems etwas ganz besonderes seien, denn „sie geben meiner keramischen Schichtung Dreidimensionalität und Lebendigkeit“. Mit seinem Vortrag baute er eine wunderbare Brücke zur japanischen Lebensweise, denn der Referent zelebrierte den Weg zum Ergebnis. Er zeigte, wie eine gelungene Zusammenarbeit mit dem Zahnarzt aussehen kann, von der Analyse der Ausgangssituation, der Behandlungsplanung bis zum Mock-up und der fertigen Restauration. Grundlage seiner Arbeit sind digitale Fotos. Im System Smile Capture (Goldquadrat) für das iPhone sieht er eine einfache Möglichkeit, das Potential der digitalen Fotografie mit wenig Aufwand in den Alltag zu integrieren.

Bestens vorbereitet war auch ZTM Christian Lang (Köln), der unter der Überschrift „Erfolgsrezepte aus 100% Noritake“ authentisch und souverän über seinen Laboralltag sprach. ZTM Lang beschäftigte sich mit den vier Dimensionen der Farbe und analysierte das Schnittbild eines natürlichen Zahnes. Das Dentin im Zahnkern wird von einer dünnen transluzenten Schicht (Lichtleiter) überzogen; die äußere Hülle besteht aus einer opaleszierenden  Schicht. Aus seinen intensiven Beobachtungen heraus resultiert auch sein Schichtschema: Etwas Fluoreszenz auf das Gerüst, dann Opakdentin und Dentin, um Chroma aus der Tiefe entstehen zu lassen, transluzente Massen als Lichtleiterschicht und eine opaleszierende Masse zum Abschluss. „Das System ist ziemlich gut ausgetüftelt von Noritake“, so der sympathische Zahntechniker. Fluoreszenz, Chroma, Transluzenz und Opaleszenz – alle diese Parameter können mit dem Materialportfolio von Noritake analog dem natürlichen Vorbild in eine keramische Restauration übertragen werden. ZTM Lang zeigte, wie es ihm mit einem fast spielerischen, aber wohl überlegten Vorgehen gelingt, lebendig wirkende keramische Restaurationen zu erarbeiten. In einem ausgeglichenen Zusammenspiel aus Form, Farbe und Funktion entsteht die Illusion von Natürlichkeit.

Einen bildgewaltigen Vortrag brachte Nondas Vlachopoulus (Athen) mit. Sein Vortrag zeigte einmal mehr, dass sich Zahntechnik nicht auf Daten reduzieren lässt. Wie seine Vorredner verwies er darauf, dass es eine Pflicht des Zahntechnikers sei, den natürlichen Zahn in Struktur und Aufbau zu kennen. Die Herausforderung liege darin, künstliche Materialien so anzuwenden, dass die lichtoptischen Eigenschaften eines Zahnes nachgebildet werden können. Mehrfach verwies er darauf, von stereotypem Zahnersatz Abstand zu nehmen. Im menschlichen Gebiss gibt es keine „Symmetrie“; vielmehr solle nach Harmonie gestrebt werden. Er zeigte seinen Weg bei der individuellen keramischen Schichtung, der einem  virtuosen Spiel mit Keramikmassen gleicht. Das Publikum lies sich vom Temperament des leidenschaftlichen Zahntechnikers mitreißen. Im Auditorium waren während des Vortrags mehrmals Raunen und Worte wie „krass“ oder „unglaublich“ zu hören. Diese Brillianz ist kein Zufall, sondern beruht auf einem konsequenten Konzept. Nondas Vlachopoulus ist begeisterter Anwender des Noritake-Keramiksystems. Sein Vortrag bildete einen wunderbaren Abschluss und war ein Plädoyer an die Zahntechnik.

„Never mind I'll find someone like you“, so das Lied des Videos, mit dem Vlachopoulus seinen Vortrag beendete. „Schon gut, ich werde jemanden wie dich finden“, kann als Fazit des Tages gezogen werden. Es wird niemals gelingen, den natürlichen Zahn exakt zu kopieren, aber mit geeigneten Materialien, Motivation und Inspiration kann es gelingen, eine optische Illusion des Zahnes zu kreieren.

Ein zweites Date?

„Ich habe mich lange auf den Kongress gefreut und meine Erwartungen wurden mehr als erfüllt. Seit Jahren arbeite ich mit dem Noritake-Keramiksystem und es war toll, dass die Referenten die Vielfältigkeit des Materials dargelegt haben! Viele Facetten, viele Meinungen und ein Material“, sagte der Teilnehmer ZTM Giuliano Moustakis (Berlin/Falkensee) beim Get-Together. Für das gute Gelingen des Kongresses sorgte auch der Moderator ZTM Siegbert Witkowski (Freiburg), der in gewohnt charmanter Weise durch den Tag führte und mit scharfsinnigen Fragen beeindruckte. Einen ganzen Tag lang motivierten und inspirierten vier Referenten zu keramischen Höchstleistungen. Bereits zwei Monate vor dem „Keramik“ Day 2014 musste ein Anmeldestopp vergeben werden – Ausverkauft! Schade, denn ein solcher Kongress sei viel mehr Zahntechnikern vergönnt. Es war wohltuend, nicht von Worten wie Wirtschaftlichkeit oder Effizienz und berufspolitischen Parolen eingefangen zu werden, sondern pure, enthusiastische Zahntechnik zu erleben. Nicht nur Auditorium und Referenten haben sich entflammen lassen, auch die Veranstalter konnten sich der prickelnden Stimmung nicht entziehen. Ein erstes Date ist dafür gedacht, zu entscheiden, ob es ein zweites geben wird. Um nicht sehnsüchtig auf eine neue Verabredung warten zu müssen, wurde noch an diesem Tag eine Entscheidung getroffen: Ja, es gibt ein zweites Treffen! Der 2. „Keramik“ Day wird am 14. November 2015 stattfinden. Informationen gibt es beim deutschen Distributor von Kuraray Noritake Dental der Goldquadrat GmbH (Hannover) oder bei Kuraray Europe GmbH (Hattersheim bei Frankfurt).

Autor: Annett Kieschnick

Mehr News aus Branchenmeldungen

ePaper