defaultContestImage

Leider kein Gewinn!

Suchen Sie weiter, die nächste Flasche könnte ein Gewinner sein.

rivetContestImage
Wissenschaft und Forschung 11.03.2020

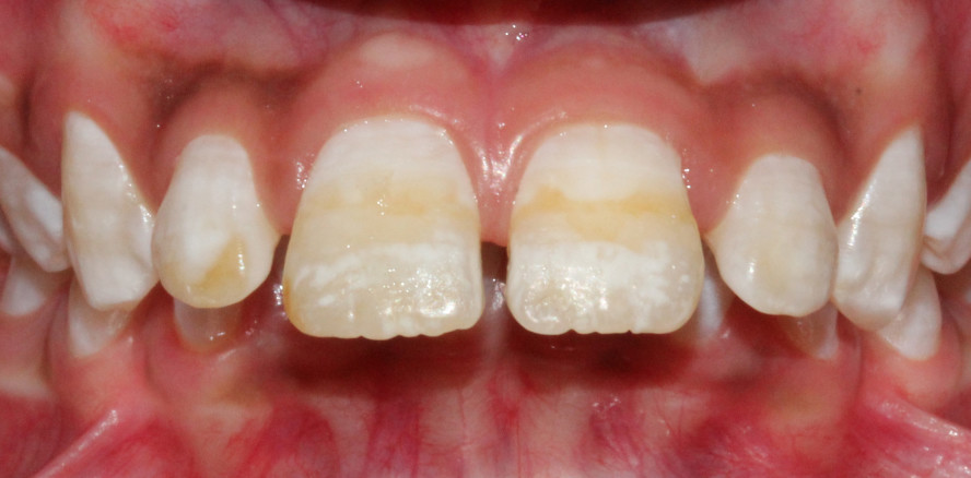
Fluorid in der Kritik: Verantwortlich für Zahnschmelzdefekte?



Fluorid in der Kritik: Verantwortlich für Zahnschmelzdefekte?

Viel hilft viel? Nicht umsonst nur eine Binsenweisheit, die auch im Fall der Dosierung von Fluorid nicht zutrifft. Im Gegenteil: Zu viel des Guten schadet der Zahnschmelzentwicklung und damit Kinderzähnen langfristig, wie eine aktuelle Studie dokumentiert.

Dass Fluorid die Zähne stärkt und vor Karies schützt, daran besteht kein Zweifel. Allerdings entscheidet tatsächlich die Menge darüber, ob eine Stärkung oder Schwächung des Zahnschmelzes (Fluorose) stattfindet. Letztgenanntes kann sich durch Verfärbung der Zähne, undurchsichtige weiße Flecken oder Linien äußern – ein weltweit verbreitetes Problem im Kindesalter.

Forscher des NYU College of Dentistry, USA, haben anhand einer Untersuchung molekularer Mechanismen herausgefunden, wie dies konkret zustande kommt. Sie erkannten, dass eine Überdosierung mit Fluorid zu einer fehlerhaften Mineralisierung des Zahnschmelzes führt. Grund hierfür ist eine Störung des Kalziumhaushalts der Ameloblasten (schmelzbildende Zellen), die infolgedessen weniger Kalziumeinlagerungen vornehmen. Auf diese Weise wird die Funktion der Mitochondrien, der Stromerzeuger der Zellen, ebenfalls beeinflusst. Die Zellen geraten schlussendlich unter dem „Fluoridbeschuss“ in Stress, der eine adäquate Kalziumverarbeitung verhindert. Die Mineralisierung des Zahnschmelzes entwickelt sich damit fehlerhaft und es entstehen die typischen Verfärbungen im Zahnschmelz.

Interessanterweise scheinen schmelzbildende Zellen eine Ausnahme darzustellen. So führte die Wiederholung des Experiments mit Nierenzellen zu keinerlei Veränderung.

Die Studie ist im Science Signaling erschienen.

Foto: kyursm9 – stock.adobe.com

Mehr News aus Wissenschaft und Forschung

ePaper