defaultContestImage

Leider kein Gewinn!

Suchen Sie weiter, die nächste Flasche könnte ein Gewinner sein.

rivetContestImage
Wissenschaft und Forschung 16.10.2020

Karies und Kreidezähne: Schlechte Zähne bei Kindern nehmen zu

Laut aktuellen Zahlen haben Kinder immer schlechtere Zähne. Eltern können dagegensteuern. Die Basis für gesunde Kinderzähne wird schon im Mutterbauch gelegt.

Um die Zahngesundheit der Kinder in Deutschland scheint es nicht gut bestellt: Der Zahnreport 2020 der Krankenkasse Barmer, der sich auf Daten aus dem Jahr 2018 beruft – schlägt Alarm und verweist auf große Defizite bei der Zahnpflege unserer Kleinsten. Demnach wurden 2018 33 Prozent der Zwölfjährigen, also rund 240.000 Kinder, wegen Karies behandelt. Vor allem im Milchgebiss sei Karies weit verbreitet – das hat Folgen. Den Zahnärzten an der MHH bereitet außerdem die Zunahme einer rätselhaften Krankheit Sorgen. Kinderzahnarzt Dr. Alexander Rahman von der MHH-Klinik für Zahnerhaltung, Parodontologie und Präventive Zahnheilkunde erklärt die Hintergründe.

Dr. Rahman, wir wollen über Zahngesundheit bei Kindern sprechen. Aber Sie treibt dabei ein ganz aktuelles Thema um.

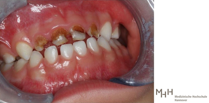
Ja, und zwar ist das die Molarenen-Inzisiven-Hypermineralisation (MIH), umgangssprachlich Kreidezähne genannt. Das ist eine Fehlfunktion, die den Zahnschmelz so sehr schädigt, dass er weich wird. Dadurch werden die Zähne porös und sehr empfindlich gegenüber Kälte und Hitze. Vor Kurzem hatte ich zum Beispiel einen Jungen, der kein kaltes Wasser trinken konnte. Die mangelhafte Schutzschicht macht den Zahn zudem anfälliger für Karies. Betroffen sind die bleibenden Backenzähne sowie die Frontzähne, die sich weiß-gelblich oder gelb-bräunlich verfärben. Es gibt aber auch schon vermehrt Fälle, bei denen es bereits an den Milchzähnen aufgetreten ist. Laut einer deutschlandweiten Studie sind bereits knapp 30 Prozent der Zwölfjährigen davon betroffen.

Wie kann es dazu kommen?

Dieses Phänomen wird zwar schon einige Jahre lang beobachtet, aber die Ursachen kennt man noch nicht. Es wird zum Beispiel viel diskutiert über Kunststoff-Weichmacher, die über die Nahrung oder mit Spielzeug aufgenommen werden. Wichtig ist, den Eltern keine Schuld zu geben. Die haben nichts falsch gemacht. Viele Eltern denken, sie haben die Zähne nicht ausreichend geputzt oder zu viele Süßigkeiten erlaubt. Aber das ist es mit Sicherheit nicht.

Gibt es an der MHH verstärkt solche Fälle?

Ja. Wir bekommen immer öfter Überweisungen, weil die niedergelassenen Ärzte selbst nicht ganz sicher sind bei der Diagnose. Die Fälle schauen wir uns dann an und empfehlen eine Therapieplanung. Diese Behandlung übernimmt dann in der Regel aber wieder der niedergelassene Arzt, der das auch gut umsetzen kann. Aber wir übernehmen gerne, wenn eine Zweitmeinung gefragt ist.

Wie sieht dann die Therapie aus?

Es gibt zum einen vorgefertigte Stahlkronen, die dem jeweiligen Zahn nur noch angepasst werden müssen. Dann ist eine Füllungstherapie möglich oder auch eine Versiegelung der betroffenen Zähne. Es ist also gut behandelbar. Wichtig ist nur, dass es so früh wie möglich gemacht wird. Daher sind regelmäßige Zahnarzt-Besuche schon bei Kleinkindern so entscheidend.

Für diesen Fall können Eltern also zumindest prophylaktisch nicht viel tun. Aber für die Zahngesundheit im Allgemeinen schon.

Genau. Professor Dr. Hüsamettin Günay aus unserer Klinik hat dafür ein umfassendes Konzept entwickelt, die Gesundheitsfrühförderung. In diesem Rahmen empfehlen wir, dass jede werdende Mutter mindestens einmal während der Schwangerschaft zum Zahnarzt geht. Dabei sollte ein Screening gemacht werden, wobei abgeklärt wird, ob es im Mund der Mutter irgendwo Karies, Zahnfleischentzündungen oder andere Probleme gibt. Hintergrund ist, dass die Mundhöhle der Mutter nach der Geburt für die Keimübertragung verantwortlich ist. Die Karieskeime werden sogar bis zu 70 Prozent von der Mutter übertragen. Problematisch wird das, wenn der erste Zahn da ist. Dann können sich die Keime nämlich an dessen Oberfläche anheften. Wenn keine Mundhygiene nach dem Essen vorgenommen wird, können sich die Bakterien langsam vermehren und eine frühkindliche Karies entsteht.

Wenn sich die Mutter also während der Schwangerschaft gleich behandeln lässt, gibt es nachher keine Probleme für das Kind.

Das Risiko für Karies ist auf jeden Fall geringer. Fast jeder hat diese Bakterien im Mund. Ob daraus Karies wird, ist eine Frage der Konzentration. Die Dosis macht auch hier das Gift. Ist die Karieskeime-Konzentration in der Mundhöhle der Mutter hoch, ist auch die Gefahr groß, dass sie Karies auf ihr Kind überträgt. Je geringer die Konzentration, desto kleiner das Risiko.

Aber während der Schwangerschaft können keine Keime übertragen werden?

Nein, das geht nicht. Auch nicht über die Plazenta. Häufig stellen sich Schwangere die Frage, ob sie mehr Fluorid zu sich nehmen sollten. Denn Fluorid stärkt ja allgemein die Zähne, es macht sie härter. Viele werdende Mütter denken daher, dass mehr Fluorid gut für das Kind sei. Das funktioniert aber leider so nicht, weil das Fluorid nicht durch die Plazenta zum Kind kommt.

Nun ist das Kind da. Was sollten die frisch gebackenen Eltern beachten?

Wir empfehlen beim ersten Zahn gleich zum Zahnarzt zu gehen. Dabei erfahren die Eltern dann auch, worauf bei der Ernährung zu achten ist. Zum Beispiel, dass die Babyflasche nur maximal zwölf Monate gegeben werden sollte. Danach sollte das Kind lernen, aus einem Glas zu trinken. Damit wird ein Dauernuckeln vermieden. Das Problem beim Dauernuckeln ist nämlich, dass die Mundflora ständig mit Flüssigkeiten durchgespült wird. Das ist das Signal für die Speichelrezeptoren im Mund, sie brauchen keinen Speichel produzieren. Es bleibt also trocken. Das ist schlecht, weil der Speichel Säuren von Bakterien im Mund neutralisiert und damit Karies vorbeugt.

Hat auch das Stillen Auswirkungen auf die Zahngesundheit des Kindes?

Erst mal ist die Muttermilch sehr kalorienhaltig. Das ist aber auch wichtig, denn das Kind braucht all diese Nährstoffe, um sein Immunsystem aufzubauen. Die Frage, die sich stellt ist, ob man über den sechsten Lebensmonat – wenn die ersten Zähne kommen – hinaus stillen sollte. Da gehen die Meinungen auseinander, selbst unter den Kinderärzten. Wir als Zahnärzte sprechen kein Verbot aus. Wer weiter stillen will, soll das tun. Wichtig ist aber, dass nach dem Stillen – sobald der erste Zahn da ist – geputzt wird. Denn es gibt auch eine sogenannte Still-Karies. Das heißt, dass Kinder, die an der Brust gestillt werden, teilweise ja nachts und alle paar Stunden, auch Karies bekommen können, wenn Mund und Zähne nicht immer gereinigt werden. Das passiert tatsächlich nicht selten. Bei Milchzähnen geht das übrigens besonders schnell, weil diese viel weicher sind als die bleibenden Zähne.

Zähne putzen ist nun bekanntermaßen nicht die Lieblingsbeschäftigung von Kindern. Wie bekommt man das als Eltern hin?

Wir empfehlen, dass etwa ab dem sechsten Monat - wenn der erste Zahn in der Regel kommt – angefangen wird, jeden Tag mit einem Fingerling, einem Waschlappen oder einer weichen Kinder-Zahnbürste das Zahnfleisch abzustreichen. In Form von einem Ritual, wenn das Kind zum Beispiel abends gewickelt wird. So merkt das Kind, dass da etwas in der Mundhöhle passiert – und dass das normal ist. Am besten wird dieses Ritual noch mit einem Lied oder einem Summen verbunden. Dann verinnerlicht das Kind das Ganze besser. Aus ganz persönlicher Erfahrung weiß ich, dass das gut funktioniert (lacht). Ich habe mit meinem Sohn danach keine Probleme mit dem Zähneputzen gehabt. Da gab es nie Gemecker.

Und zum Zahnarzt sollte das Kind dementsprechend auch möglichst früh, damit es sich daran gewöhnt?

Ja genau, das sollte auch gleich mit dem ersten Zahn passieren. So haben die Eltern all diese Daten auch besser im Kopf: Mit dem ersten Zahn das Putzen anfangen – auch gleich mit Zahnpasta übrigens – und zum Zahnarzt gehen. Ein Besuch pro Jahr reicht aber erst mal aus.

Ab wann sollten die Kinder selbstständig putzen?

Da muss man ihnen Zeit geben. Auf keinen Fall sollten die Kleinen allein damit im Badezimmer gelassen werden. Das funktioniert nicht. Denn sie sind nicht konzentriert und putzen – wenn überhaupt – dann nur an einer Stelle. Die manuellen Fähigkeiten zum richtigen Zähneputzen haben Kinder erst, wenn sie die Schreibschrift beherrschen, also etwa ab dem Alter von acht Jahren. Vorher müssen die Eltern immer nachputzen. Auch sollten die Kinder schon an Zahnseide für die Zahnzwischenräume gewöhnt werden. Also am besten zweimal die Woche anwenden. Gerade weil die Milchzähne sehr eng stehen, um dort Karies vorzubeugen.

Warum ist Karies an den Milchzähnen gefährlich - sie fallen doch irgendwann raus?

So einfach ist das nicht. Wenn Sie einmal Karies haben, dann bleiben die Bakterien da. Wenn Sie Karies an einem Milchzahn haben, kann sich das auf den darunter liegenden Zahn auswirken, sodass dieser auch von den Bakterien angegriffen wird. Auch wenn der Milchzahn so stark entzündet ist, dass sich ein Abszess bildet, kann sich das auf den Schmelz des folgenden Zahns negativ auswirken. Dieser wird dann bräunlich verfärbt und ist empfindlicher für Karies.

Was sollte bei der Ernährung beachtet werden?

Eltern sollten schon sehr auf den jeweiligen Zuckergehalt von Lebensmitteln achten. In der Werbung sieht man zum Beispiel oft diesen Fruchtbrei, den man aus kleinen Tüten quetscht. Der sollte eigentlich ganz gemieden werden, weil das Zucker pur ist. Da ist kein nennenswerter Fruchtanteil drin. Aber ich sehe, dass das an der Schule etwa sehr beliebt ist. Das ist ja auch nachvollziehbar: Der Brei ist süß, klebrig, schmeckt gut. Ich als Kind hätte das auch gerne gemocht. Aber Eltern sollten genau darauf achten und sich immer fragen, ob dieses Lebensmittel wirklich nötig ist. Oder ob nicht als Alternative auch mal ein Apfel oder eine Banane möglich ist. Das ist beides zwar auch süß, aber dieses Obst enthält zusätzlich noch wichtige Nährstoffe.

Warum sind Kinder eigentlich so scharf auf Süßes?

Da gibt es mehrere Gründe. Zum einen ist das evolutionsbedingt. Süßes liefert relativ schnell verfügbare Kalorien, die zum Überleben notwendig sind. Süß ist auch ein Sicherheitsgeschmack. Denn in der Natur gibt es keine Pflanze, die beides ist: süß und giftig. Zum anderen hat aber auch das Essverhalten der Mutter seinen Einfluss. Greift sie schon in der Schwangerschaft gerne zu Süßem, wird das Kind quasi ein stückweit darauf gepolt. Meine Mutter zum Beispiel hat mir erzählt, dass sie während der Schwangerschaft mit mir fast täglich beim Italiener ein Eis gegessen hat – und das habe ich gemerkt (lacht). Da habe ich auch eine kleine Sucht entwickelt.

Interview: Vanessa Meyer/MHH

Quelle: MHH

Foto Teaserbild: Dr. Alexander Rahman/Klinik für Zahnerhaltung/MHH

Mehr News aus Wissenschaft und Forschung

ePaper