Eine Studie hat ergeben, dass eine Präsenz der Zahnarztpraxis im World Wide Web unerlässlich im Hinblick auf die Neupatientenakquisition ist. Dabei wurde auch untersucht, welche Seiten des Internetauftritts besonders häufig besucht werden. Im Vergleich zur Befragung der Patienten gab es ein überraschendes Ergebnis.
Unter dem Begriff „Website“ versteht man die Gesamtheit der hinter einer Adresse stehenden Seiten im World Wide Web. Die Homepage ist die Frontpage (Startseite) einer Website. Die
Studie zur effizienten Neupatientenakquisition, Teil 5
Im Rahmen der Studie der Autoren in 2009 wurde unter anderem untersucht, wie verschiedene...
Studie zur effizienten Neupatientenakquisition, Teil 5
Im Rahmen der Studie der Autoren...
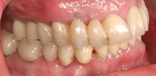
Die professionelle Zahnreinigung sollte in jeder Praxis ein wichtiger Leistungsbereich sein, der maßgeblich zum Praxisgewinn beitragen kann.
Die professionelle Zahnreinigung sollte in jeder Praxis ein wichtiger Leistungsbereich sein,...
Die ersten Suchmaschinenplätze sind das Ziel von jedem Zahnarzt, der seine Praxis im Internet vorstellt.
Die ersten Suchmaschinenplätze sind das Ziel von jedem Zahnarzt, der seine Praxis im Internet...
Im Rahmen einer Studie mit Blick auf die Neupatientenakquisition wurde unter anderem untersucht, welche Bedeutung die Emotionsbildung im Zusammenhang...
Im Rahmen einer Studie mit Blick auf die Neupatientenakquisition wurde unter anderem untersucht,...
Mit der Marktentwicklung ist der allgemeine Einstieg in das bewusste Marketing – also das strategische Bemühen der Praxen, den Umsatz bzw....
Mit der Marktentwicklung ist der allgemeine Einstieg in das bewusste Marketing – also das...
Eine frühzeitige und professionelle Planung der kommunikativen, rechtlichen, steuerlichen und betriebswirtschaftlichen Faktoren minimiert die...
Eine frühzeitige und professionelle Planung der kommunikativen, rechtlichen, steuerlichen...
Marketing umfasst alle Maßnahmen, den Umsatz bzw. den Gewinn zu steigern bzw. zu stabilisieren. Doch wie hoch kann die Steigerung sein? Ist...
Marketing umfasst alle Maßnahmen, den Umsatz bzw. den Gewinn zu steigern bzw. zu stabilisieren....
Bei der Patientengewinnung geht es immer auch darum, Kompetenz zu zeigen und Vertrauen aufzubauen. Eine Möglichkeit ist beispielsweise die Einbindung...
Bei der Patientengewinnung geht es immer auch darum, Kompetenz zu zeigen und Vertrauen aufzubauen....
Wie sollen der Arzt und seine Mitarbeiter reagieren, wenn sie es mit Patienten zu tun haben, die sich – aus ihrer subjektiven Sichtweise heraus...
Wie sollen der Arzt und seine Mitarbeiter reagieren, wenn sie es mit Patienten zu tun haben,...
Laut Analysen des Institutes der Deutschen Zahnärzte IDZ ist die Übernahme einer Zahnarztpraxis derzeit so günstig wie nie vorher. Doch warum...
Laut Analysen des Institutes der Deutschen Zahnärzte IDZ ist die Übernahme einer Zahnarztpraxis...
Viele Zahnarztpraxen wünschen sich größeren wirtschaftlichen Erfolg, sind aber überzeugt, dass beispielsweise die Erhöhung des Privatanteils...
Viele Zahnarztpraxen wünschen sich größeren wirtschaftlichen Erfolg, sind aber überzeugt,...
Praxis- und Laborplanung ist eine differenzierte Dienstleistung der Dentaldepots in Deutschland. Norbert Hahn erläutert im Gespräch die damit...
Praxis- und Laborplanung ist eine differenzierte Dienstleistung der Dentaldepots in Deutschland....
Ein oft unterschätzter Faktor für die Zufriedenheit von Patienten und Mitarbeitern ist die Praxisgestaltung. Eine moderne und funktional eingerichtete...
Ein oft unterschätzter Faktor für die Zufriedenheit von Patienten und Mitarbeitern ist die...
Als wir 2003 mit der Praxisplanung begannen, waren wir uns sehr schnell einig: unsere Praxis soll Patienten nicht primär an eine Zahnarztpraxis...
Als wir 2003 mit der Praxisplanung begannen, waren wir uns sehr schnell einig: unsere Praxis...
Da Sie der Verwendung von Google Maps nicht zustimmten, kann leider keine Karte angezeigt werden.
Haben Sie schon unseren Newsletter abonniert?
Um bei unserer Anwendung Formulare zu verwenden, benötigen wir die Zustimmung um einen Token für das Absenden zu setzen.
Datenschutz und Nutzungserlebnis
Wir übermitteln Daten an Drittanbieter, die uns helfen, unser Webangebot zu verbessern und zu finanzieren. In diesem Zusammenhang werden auch Nutzungsprofile gebildet und angereichert, auch außerhalb des Europäischen Wirtschaftsraumes. Hierfür und um bestimmte Dienste zu nachfolgend aufgeführten Zwecken verwenden zu dürfen, benötigen wir Ihre Einwilligung.
Indem Sie "Alle Cookies akzeptieren" klicken, stimmen Sie diesen (jederzeit widerruflich) zu.
Unter "Manuell auswählen" können Sie die Datenverarbeitung individuell personalisieren.
Unter "Nur notwendige akzeptieren" können Sie die Datenverarbeitung ablehnen.
Indem Sie "Speichern" klicken, stimmen Sie diesen (jederzeit widerruflich) zu.
Um Kartendaten in unserer Anwendung darzustellen, nutzen wir den Kartendienst Google Maps. Willigen Sie der Nutzung von Google Maps ein, werden ggf. personenbezogene Daten (Ihre IP-Adresse) von Google erhoben.
Einbinden von Google Maps erlauben
Einige unserer Videoinhalte (bspw. Livestream) werden über die Videoplattform Vimeo bereitgestellt.
Inhalte von Vimeo erlauben
Einige Beiträge binden Inhalte von Instagram ein. Wenn Sie zustimmen, wird eine Verbindung zu Meta/Instagram aufgebaut und es können personenbezogene Daten wie Ihre IP-Adresse übertragen werden.
Inhalte von Instagram erlauben
Für ein besseres Benutzererlebnis können unsere Werbeanzeigen personalisiert werden. Um dies zu ermöglichen, wird das erstellen von Cookies vorausgesetzt. Sollten Sie diesem Dienst nicht zustimmen, werden Werbeanzeigen zufällig ausgeliefert.
Personalisierte Werbung erlauben
Um sich bei unserer Anwendung Formulare zu verwenden werden Tokens gesetzt die es uns ermöglichen Spam zu verhindern. Sollten Sie dies ausstellen, ist es Ihnen nicht mehr möglich sich bei uns anzumelden oder zu registrieren.
Anmeldeformulare absenden ermöglichen
Bei der Gestaltung unserer Anwendung benutzen wir Schriftarten von Adobe, diese werden über ein CDN geladen. Sollte Sie diesem Dienst nicht zustimmen wird die Standard Schrift des Systems benutzt. Außerdem könnte es zu Fehlern im allgemeinen Anwendungsdesign kommen.
Inhalte von Adobe erlauben
Sie können Ihre Auswahl jederzeit unter "Cookie-Einstellungen“ am Seitenende ändern.