Zähne mit ausgedehnten periapikalen Parodontitiden fallen heute noch immer viel zu schnell der Extraktionszange anheim. Dieser Fall zeigt, dass eine Zahnrettung auch bei auf den ersten Blick infauster Ausgangslage gelingen kann.
Abweichungen von der Norm kommen im Bereich der Wurzelkanäle gar nicht einmal so selten vor. Im ersten Teil des Artikels werden Wurzelkanalanomalien...
Abweichungen von der Norm kommen im Bereich der Wurzelkanäle gar nicht einmal so selten vor....
Frontzahntraumata im Kindes- und Jugendalter sind keine Seltenheit: Bis zu ein Drittel dieser Altersgruppe erleidet früher oder später traumatische...
Frontzahntraumata im Kindes- und Jugendalter sind keine Seltenheit: Bis zu ein Drittel dieser...
Sandra Guggenberger ist Endodontie-Spezialistin und in ihrer Praxis in München mit Instrumenten diverser Anbieter breit aufgestellt. Sie hat...
Sandra Guggenberger ist Endodontie-Spezialistin und in ihrer Praxis in München mit Instrumenten...
Die Entfernung insuffizienter Seitenzahnfüllungen kann für den Kliniker eine Herausforderung darstellen. Denn zur Wiederherstellung einer Restauration...
Die Entfernung insuffizienter Seitenzahnfüllungen kann für den Kliniker eine Herausforderung...
Die Endodontie hat in erster Linie den Erhalt des Zahns und seiner Funktion im Blick. Dabei steht die Ästhetik oftmals zurück. Sie ist jedoch...
Die Endodontie hat in erster Linie den Erhalt des Zahns und seiner Funktion im Blick. Dabei...
In den hier erläuterten Fallbeispielen wurde eine Exazerbation von Parodontitis apicalis chronica (Fall 1) sowie eine irreversible Pulpitis...
In den hier erläuterten Fallbeispielen wurde eine Exazerbation von Parodontitis apicalis chronica...
Dr. Jörg Weiler arbeitet seit über zwölf Jahren mit glasfaserverstärkten Materialien und kombiniert dabei Verstärkungsfasern der Linie everStick...
Dr. Jörg Weiler arbeitet seit über zwölf Jahren mit glasfaserverstärkten Materialien und...
Komet Dental stellt, wie die beiden Anwendungsbeispiele zeigen, mit den beiden Wurzelstiften DentinPost X Coated und TitanPost X Coated eine...
Komet Dental stellt, wie die beiden Anwendungsbeispiele zeigen, mit den beiden Wurzelstiften...
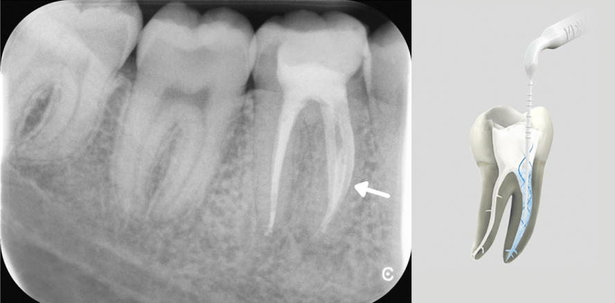
Um den Erfolg einer endodontischen Maßnahme langfristig gewährleisten zu können, muss eine vollständige chemomechanische Desinfektion des...
Um den Erfolg einer endodontischen Maßnahme langfristig gewährleisten zu können, muss eine...
Klassisch lassen sich zahnerhaltende Möglichkeiten nach einer nicht erfolgreichen Wurzelkanalbehandlung in die konservative (also orthograde),...
Klassisch lassen sich zahnerhaltende Möglichkeiten nach einer nicht erfolgreichen Wurzelkanalbehandlung...
Ein Verklemmen vollrotierender Feilen im Kanal führt innerhalb weniger Sekunden zum Instrumentenbruch. Der vorliegende Beitrag zeigt potenzielle...
Ein Verklemmen vollrotierender Feilen im Kanal führt innerhalb weniger Sekunden zum Instrumentenbruch....
Da die Extraktion eines infizierten oder stark zerstörten Zahns für erfahrene Implantologen mit deutlich weniger Risiken verbunden sein kann...
Da die Extraktion eines infizierten oder stark zerstörten Zahns für erfahrene Implantologen...
In einer Umfrage der SSO 2015 hat nur einer von vier Zahnärzten angegeben, dass er während einer Wurzelkanalbehandlung die Spüllösung aktiviert....
In einer Umfrage der SSO 2015 hat nur einer von vier Zahnärzten angegeben, dass er während...
Bevor eine Wurzelkanalbehandlung durchgeführt wird, muss entschieden werden, ob der Zahn mit sinnvollem Aufwand restauriert und erhalten werden...
Bevor eine Wurzelkanalbehandlung durchgeführt wird, muss entschieden werden, ob der Zahn mit...
Da Sie der Verwendung von Google Maps nicht zustimmten, kann leider keine Karte angezeigt werden.
Haben Sie schon unseren Newsletter abonniert?
Um bei unserer Anwendung Formulare zu verwenden, benötigen wir die Zustimmung um einen Token für das Absenden zu setzen.
Datenschutz und Nutzungserlebnis
Wir übermitteln Daten an Drittanbieter, die uns helfen, unser Webangebot zu verbessern und zu finanzieren. In diesem Zusammenhang werden auch Nutzungsprofile gebildet und angereichert, auch außerhalb des Europäischen Wirtschaftsraumes. Hierfür und um bestimmte Dienste zu nachfolgend aufgeführten Zwecken verwenden zu dürfen, benötigen wir Ihre Einwilligung.
Indem Sie "Alle Cookies akzeptieren" klicken, stimmen Sie diesen (jederzeit widerruflich) zu.
Unter "Manuell auswählen" können Sie die Datenverarbeitung individuell personalisieren.
Unter "Nur notwendige akzeptieren" können Sie die Datenverarbeitung ablehnen.
Indem Sie "Speichern" klicken, stimmen Sie diesen (jederzeit widerruflich) zu.
Um Kartendaten in unserer Anwendung darzustellen, nutzen wir den Kartendienst Google Maps. Willigen Sie der Nutzung von Google Maps ein, werden ggf. personenbezogene Daten (Ihre IP-Adresse) von Google erhoben.
Einbinden von Google Maps erlauben
Einige unserer Videoinhalte (bspw. Livestream) werden über die Videoplattform Vimeo bereitgestellt.
Inhalte von Vimeo erlauben
Einige Beiträge binden Inhalte von Instagram ein. Wenn Sie zustimmen, wird eine Verbindung zu Meta/Instagram aufgebaut und es können personenbezogene Daten wie Ihre IP-Adresse übertragen werden.
Inhalte von Instagram erlauben
Für ein besseres Benutzererlebnis können unsere Werbeanzeigen personalisiert werden. Um dies zu ermöglichen, wird das erstellen von Cookies vorausgesetzt. Sollten Sie diesem Dienst nicht zustimmen, werden Werbeanzeigen zufällig ausgeliefert.
Personalisierte Werbung erlauben
Um sich bei unserer Anwendung Formulare zu verwenden werden Tokens gesetzt die es uns ermöglichen Spam zu verhindern. Sollten Sie dies ausstellen, ist es Ihnen nicht mehr möglich sich bei uns anzumelden oder zu registrieren.
Anmeldeformulare absenden ermöglichen
Bei der Gestaltung unserer Anwendung benutzen wir Schriftarten von Adobe, diese werden über ein CDN geladen. Sollte Sie diesem Dienst nicht zustimmen wird die Standard Schrift des Systems benutzt. Außerdem könnte es zu Fehlern im allgemeinen Anwendungsdesign kommen.
Inhalte von Adobe erlauben
Sie können Ihre Auswahl jederzeit unter "Cookie-Einstellungen“ am Seitenende ändern.