Fehler bei der primären Zugangskavität resultieren schnell in einer Perforation des Pulpabodens. Insbesondere Zähne mit prothetischen Versorgungen sind gefährdet, da die Anatomie der Krone und der Umriss des Zahns auf Höhe der Schmelz-Zement-Grenze oftmals durch den Zahnersatz verändert werden.
Der endodontologische Behandlungserfolg hängt maßgeblich von den genauen anatomischen Kenntnissen des zu behandelnden Zahns ab. Wie geht man...
Der endodontologische Behandlungserfolg hängt maßgeblich von den genauen anatomischen Kenntnissen...
Die Entfernung insuffizienter Zirkonkronen ist ein klinisch anspruchsvoller Eingriff, der diagnostische Präzision und geeignete Instrumente...
Die Entfernung insuffizienter Zirkonkronen ist ein klinisch anspruchsvoller Eingriff, der diagnostische...
Mikroleakages, die aus einem unzureichenden Verschluss resultieren, stellen eine der Hauptursachen für endodontische Misserfolge dar. Eine...
Mikroleakages, die aus einem unzureichenden Verschluss resultieren, stellen eine der Hauptursachen...
Tiefe kariöse Läsionen zählen zu den wesentlichen Ursachen für Wurzelkanalbehandlungen oder Zahnverlust. Die Entscheidung zwischen vitalerhaltenden...
Tiefe kariöse Läsionen zählen zu den wesentlichen Ursachen für Wurzelkanalbehandlungen...
Eine 40-jährige Patientin wurde von ihrem HNO-Arzt in unsere Praxis für Mund-, Kiefer- und Gesichtschirurgie überwiesen. Die Überweisung...
Eine 40-jährige Patientin wurde von ihrem HNO-Arzt in unsere Praxis für Mund-, Kiefer- und...
Endodontische Behandlungen zählen zu den anspruchsvollsten Behandlungen der Zahnmedizin. Das Ziel: eine vollständige Desinfektion des gesamten...
Endodontische Behandlungen zählen zu den anspruchsvollsten Behandlungen der Zahnmedizin. Das...
Apikale Läsionen mit ausgeprägter Ausdehnung stellen in der endodontischen Behandlung eine besondere Herausforderung dar. Radiologisch sichtbare...
Apikale Läsionen mit ausgeprägter Ausdehnung stellen in der endodontischen Behandlung eine...
Das dentale Trauma stellt Zahnärztinnen und Zahnärzte in der Praxis immer wieder vor mehr oder weniger große Herausforderungen. Dies liegt...
Das dentale Trauma stellt Zahnärztinnen und Zahnärzte in der Praxis immer wieder vor mehr...
Musikveranstaltungen sind nicht nur ein Ort der Unterhaltung, sie bergen auch ein nicht unerhebliches Verletzungsrisiko. Dentoalveoläre und...
Musikveranstaltungen sind nicht nur ein Ort der Unterhaltung, sie bergen auch ein nicht unerhebliches...
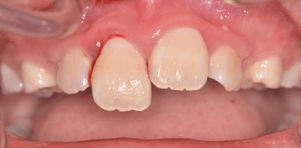
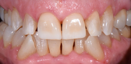
Direkte Frontzahnrestaurationen sind zeitaufwendig und ihr Ergebnis hängt in hohem Maße von der Erfahrung und Geschicklichkeit des Zahnarztes...
Direkte Frontzahnrestaurationen sind zeitaufwendig und ihr Ergebnis hängt in hohem Maße von...
Die Aufbereitung sklerosierter Wurzelkanäle stellt in der Endodontie eine besondere Herausforderung dar. Dieser Fallbericht zeigt, wie durch...
Die Aufbereitung sklerosierter Wurzelkanäle stellt in der Endodontie eine besondere Herausforderung...
Im Bereich der Zahnheilkunde resultieren Traumata häufig in Verletzungen der Frontzähne. Aber nicht nur die Soforttherapie, auch Spätfolgen...
Im Bereich der Zahnheilkunde resultieren Traumata häufig in Verletzungen der Frontzähne....
Zuverlässig auf die Arbeitslänge zu kommen und enge, gekrümmte oder sehr lange Wurzelkanäle sicher aufbereiten zu können. Der folgende Artikel...
Zuverlässig auf die Arbeitslänge zu kommen und enge, gekrümmte oder sehr lange Wurzelkanäle...
Die externe invasive zervikale Resorption (engl. external cervical resorption, ECR) ist mit einer Prävalenz von 0,02 bis 2,3 Prozent eine seltene...
Die externe invasive zervikale Resorption (engl. external cervical resorption, ECR) ist mit...
Da Sie der Verwendung von Google Maps nicht zustimmten, kann leider keine Karte angezeigt werden.
Haben Sie schon unseren Newsletter abonniert?
Um bei unserer Anwendung Formulare zu verwenden, benötigen wir die Zustimmung um einen Token für das Absenden zu setzen.
Datenschutz und Nutzungserlebnis
Wir übermitteln Daten an Drittanbieter, die uns helfen, unser Webangebot zu verbessern und zu finanzieren. In diesem Zusammenhang werden auch Nutzungsprofile gebildet und angereichert, auch außerhalb des Europäischen Wirtschaftsraumes. Hierfür und um bestimmte Dienste zu nachfolgend aufgeführten Zwecken verwenden zu dürfen, benötigen wir Ihre Einwilligung.
Indem Sie "Alle Cookies akzeptieren" klicken, stimmen Sie diesen (jederzeit widerruflich) zu.
Unter "Manuell auswählen" können Sie die Datenverarbeitung individuell personalisieren.
Unter "Nur notwendige akzeptieren" können Sie die Datenverarbeitung ablehnen.
Indem Sie "Speichern" klicken, stimmen Sie diesen (jederzeit widerruflich) zu.
Um Kartendaten in unserer Anwendung darzustellen, nutzen wir den Kartendienst Google Maps. Willigen Sie der Nutzung von Google Maps ein, werden ggf. personenbezogene Daten (Ihre IP-Adresse) von Google erhoben.
Einbinden von Google Maps erlauben
Einige unserer Videoinhalte (bspw. Livestream) werden über die Videoplattform Vimeo bereitgestellt.
Inhalte von Vimeo erlauben
Einige Beiträge binden Inhalte von Instagram ein. Wenn Sie zustimmen, wird eine Verbindung zu Meta/Instagram aufgebaut und es können personenbezogene Daten wie Ihre IP-Adresse übertragen werden.
Inhalte von Instagram erlauben
Für ein besseres Benutzererlebnis können unsere Werbeanzeigen personalisiert werden. Um dies zu ermöglichen, wird das erstellen von Cookies vorausgesetzt. Sollten Sie diesem Dienst nicht zustimmen, werden Werbeanzeigen zufällig ausgeliefert.
Personalisierte Werbung erlauben
Um sich bei unserer Anwendung Formulare zu verwenden werden Tokens gesetzt die es uns ermöglichen Spam zu verhindern. Sollten Sie dies ausstellen, ist es Ihnen nicht mehr möglich sich bei uns anzumelden oder zu registrieren.
Anmeldeformulare absenden ermöglichen
Bei der Gestaltung unserer Anwendung benutzen wir Schriftarten von Adobe, diese werden über ein CDN geladen. Sollte Sie diesem Dienst nicht zustimmen wird die Standard Schrift des Systems benutzt. Außerdem könnte es zu Fehlern im allgemeinen Anwendungsdesign kommen.
Inhalte von Adobe erlauben
Sie können Ihre Auswahl jederzeit unter "Cookie-Einstellungen“ am Seitenende ändern.