Implantologie 02.04.2024

Minimalinvasives Vorgehen bei geriatrischen Patienten



Minimalinvasives Vorgehen bei geriatrischen Patienten

Foto: Dr. Arndt Christian Höhne

Die Versorgung geriatrischer Patienten stellt die Praxis oft vor größere Herausforderungen bezüglich der Sicherstellung oder Wiederherstellung der Kaufähigkeit. Ein minimalinvasives Vorgehen durch die Einbeziehung von Implantaten, genauer Mini-Implantaten, kann ein adäquates Mittel zur dauerhaften Prothesenstabilisierung sein. Da geriatrische Patienten immer öfter in Alten- und Pflegeheimen leben und in der Mobilität deutlich eingeschränkt sind, muss die Praxis mit zusätzlichen logistischen Herausforderungen umgehen können.

Die primäre Aufgabe im Umgang mit geriatrischen Patienten ist es, den Bedarf der Verbesserung der Kaufähigkeit zu ermitteln. Dies kann durch eine spezifische Anamnese nach Ernährungs- und Kaugewohnheiten des die Zahnarztpraxis aufsuchenden Patienten geschehen. Für die Patienten, denen ein Praxisbesuch durch eingeschränkte Mobilität erschwert ist, bietet die Reihenuntersuchung durch den Zahnarzt im Alten- und Pflegeheim große Vorteile. Die Inspektion der Mundhöhle, Erhebung des Zahn- und Zahnersatzstatus sowie individuelle Pflegeempfehlungen stellen die Grundlage der Sicherstellung der zahnärztlichen Versorgung der dort lebenden Patienten dar. Die Früherkennung von oralen Erkrankungen wie Karies, gingivalen Erkrankungen oder Parodontitis helfen dabei, zahnmedizinische Notfälle und den damit verbundenen hohen Aufwand für das Pflegepersonal zu vermeiden. So können Patienten frühzeitig und präventiv der zahnärztlichen Grundversorgung wieder zugeführt werden. Wichtige Hinweise sind auch die in der Einrichtung hinterlegten Dokumentationen über die Ernährungsgewohnheiten, nicht zuletzt sollte selbstverständlich immer auf die Äußerungen der Patienten hinsichtlich Schmerz oder Diskomfort geachtet werden.

Unliebsam: Tragen von Zahnersatz

Auch wenn durch die Fortschritte der Zahnmedizin der letz-ten Jahrzehnte der Anteil an Patienten mit noch vorhandener Voll- oder Teilbezahnung steigt, ist immer noch ein mindestens ebenso großer Anteil an Teil- und vor allem Vollprothesenträgern vorhanden. Oft gelten Vollprothesenträger als austherapiert und erleiden einen über die Jahre schleichenden, athrophiebedingten abnehmenden Prothesenhalt. Der Gewöhnungsprozess, aber auch die Anpassung der Ernährungsgewohnheiten und der Speisenauswahl, kompensieren dies teilweise. Zunehmend können Sprechprobleme durch mangelnden Prothesenhalt dazukommen. Nicht selten kommt es daher vor, dass das Tragen von Zahnersatz dann vermieden wird.

Minimalinvasive Versorgung mit Mini-Implantaten

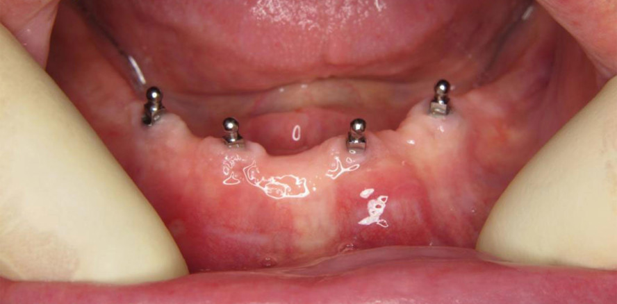
Zur Stabilisierung von Totalprothesen kann der Einsatz von Implantaten hilfreich sein. Zur Auswahl stehen neben herkömmlichen zweiteiligen Implantaten auch einteilige Mini-Implantate, zum Beispiel das MDI-System von Condent. Ein großer Vorteil von Mini-Implantaten ist die sehr einfache Pflegbarkeit der Kugelköpfe der Implantate. Im Vergleich zu Retentionselementen wie Locator, Teleskopen oder Steg verbessert die einfache Pflegbarkeit der intraoralen Mini-Implantat-Anteile die Prognose. Bei Locatorversorgungen kann beim Hausbesuch im Alten- oder Pflegeheim immer wieder beobachtet werden, dass ein empfundener schlechter Halt oft nur darauf zurückzuführen ist, dass sich in die okklusale Mulde des Locatoraufbaus Speisereste impaktierten, die ein Einrasten der im Zahnersatz vorhandenen Retentionselemente in die Endposition erschweren oder unmöglich machen. Manchmal fällt es geriatrischen Patienten zunehmend schwerer, die für das Einsetzen erforderliche Anpresskraft der Retentionselemente zu überwinden, und so kommt es beim Kauen dazu, dass sich Speisereste unter die Prothese in die Retentionselemente einlagern. Diese sind für das Pflegepersonal nicht nur schwer zu erkennen, sondern auch oft nur durch Anwendung einer Sonde entfernbar.

Bei implantatgetragenem Stegzahnersatz begünstigen Vakatwucherungen unter dem Steg – mangels der durch eingeschränkte Fingerfertigkeit oder Sehkraft ausreichenden Pflege – die Verschiebung des Keimspektrums des oralen Mikrobioms hin zu anaeroben Keimen und die Entstehung von Gingivitis und Periimplantitis.

Einfach zu entnehmende und zu pflegende Implantatverankerungen

Bei Teleskopversorgungen kann es durch Bildung eines klebrigen Plaquefilms im Sekundärteleskop zu erschwerter Abnehmbarkeit des Zahnersatzes oder auch Gingivitis im Bereich der Primärteleskope kommen. Die Pflege der Sekundärteleskopinnenräume wird ebenfalls oft durch eingeschränkte Fingerfertigkeit oder Sehkraft erschwert. Zweifelsfrei stellen die drei zuvor genannten Retentionsformen eine hochwertige und für einen großen Teil der Gesamtpatientenschaft eine sehr gute Versorgung dar, jedoch sollte bei der primären Versorgung geriatrischer Patienten über die Vorteile und Zukunftsfähigkeit einfach zu pflegender Retentionsteile bei der Planung nachgedacht werden. Auch für das Pflegepersonal sind die einfach zu entnehmenden und zu pflegenden Implantverankerungen von großem Vorteil, um in der zur Mundpflege zur Verfügung stehenden Zeit die effektivste Pflege zu gewährleisten.

Minimalinvasiv und kostengünstig

Bei Mini-Implantat-Versorgungen, wie beispielsweise mit dem schon erwähnten Condent MDI-System, bestehen die auswechselbaren Retentionselemente aus einfach zu wechselnden Gummiringen, die auch im Vergleich zu anderen, herkömmlichen Retentionselementen die Folgekosten gering halten.

Auch die finanziellen Möglichkeiten der Patienten können einer Verbesserung des Prothesenhalts durch Implantate entgegensprechen. In den meisten Fällen kann durch den Einsatz von Mini-Implantaten die Gesamtversorgung mit vier Mini-Implantaten im Unterkiefer zu den Kosten, die nur einem herkömmlichen Implantat entsprechen, realisiert werden. Die Weiterverwendung von vorhandenem Zahnersatz durch Einarbeiten der Retentionselemente trägt ebenfalls zur Kostenreduktion für die Gesamtversorgung bei.

Transgingivale Insertion

Mini-Implantate können meist minimalinvasiv transgingival inseriert werden und eignen sich gerade für Patienten mit eingeschränktem gesundheitlichem Allgemeinzustand aufgrund der geringen Belastung durch den operativen Vorgang. Die Kontraindikationen bezüglich der Allgemeinanamnese entsprechen denen der herkömmlichen Implantologie, jedoch lassen sich mit Mini-Implantaten auch Fälle mit durch Kieferkammresorption eingetretenem geringerem Knochenangebot ohne Kieferkammaugmentation versorgen.

Nicht zu vernachlässigen ist die Indikation zur Stabilisierung vorhandener Teilprothesen durch Mini-Implantate bei ungünstiger Restpfeilerverteilung, zum Beispiel nach Verlust strategisch wichtiger Pfeilerzähne oder ungünstigem Unterstützungspolygon. Nach Verlust von Pfeilerzähnen bei Teilzahnersatz kommt es häufig zur Erhöhung der Mobilität des Zahnersatzes mit dadurch bedingter Mehrbelastung oder Ausübung ungünstiger Kraftvektoren auf die restlichen Pfeilerzähne, was zu deren vorzeitigem Verlust führen kann. Durch eine Pfeilervermehrung mit Mini-Implantaten ist es oft möglich, den vorhandenen Teilzahnersatz zu stabilisieren, zu erhalten und das Entstehen ungünstiger Krafteinwirkungen auf die restlichen Pfeilerzähne zu vermeiden und so zur Verbesserung der Prognose des Erhalts der Gesamtversorgung beizutragen.

Fazit

Für den Behandler stellen das einfach zu erlernende chirurgische und prothetische Protokoll und die Chance, Patienten zu besserem Kauvermögen zu verhelfen, die sonst ggf. aus allgemeinmedizinischen oder finanziellen Gründen nicht versorgbar wären, einen großen Gewinn für die Patientenzufriedenheit dar. Zusammenfassend ist die Prothesensta-bilisierung mit Mini-Implantaten durch die Vorteile des mi-nimalinvasiven chirurgischen Protokolls, geringerer Kosten, Erhalt und Weiterverwendung des vorhandenen, gewohnten und muskulär adaptierten Zahnersatzes sowie der guten Pflegbarkeit und geringer Folgekosten gerade für die Versorgung geriatrischer Patienten ein großer Vorteil.

Dieser Beitrag ist im IJ implantologie Journal erschienen.

Mehr Fachartikel aus Implantologie

ePaper