Folgendes Beispiel von Prof. Dr. Thomas Weischer, Prof. Dr. Dr. Christopher Mohr einer 62-jährigen Patientin zeigt, dass trotz diverser Beschwerden, u.a. reduziertes Knochenangebot und apikale Osteolyse, eine Sofortinsertion zweier Implantate im Oberkiefer möglich war.
Straumann® Narrow Neck CrossFit® Implantate stellen eine weitere Bereicherung des umfassenden Straumann® Produkteportfolios dar und erweitern...
Straumann® Narrow Neck CrossFit® Implantate stellen eine weitere Bereicherung des umfassenden...
Einmal in situ sind Implantate enormen Belastungen ausgesetzt. Im vorliegenden Fallbericht von Dr. med. dent. Christoph Blum werden eine Implantatexplantation...
Einmal in situ sind Implantate enormen Belastungen ausgesetzt. Im vorliegenden Fallbericht...
Endodontische und parodontale Probleme sowie endodontische Komplikationen stellen den Behandler oft vor die schwierige Entscheidung „Zahnerhalt...
Endodontische und parodontale Probleme sowie endodontische Komplikationen stellen den Behandler...
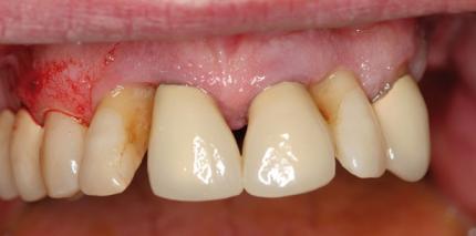
Parodontalerkrankungen stellen neben Habits, Systemerkrankungen und Bruxismus die schwierigsten Ausgangssituationen in der oralen Implantologie...
Parodontalerkrankungen stellen neben Habits, Systemerkrankungen und Bruxismus die schwierigsten...
20 Jahre lang konnte eine kontinuierliche Aufzeichnung relevanter Daten bei Implantatpatienten zu den Zeitpunkten Insertion, prothetische Versorgung...
20 Jahre lang konnte eine kontinuierliche Aufzeichnung relevanter Daten bei Implantatpatienten...
Die Lehrmeinung, wie ein ästhetisch ansprechendes Ergebnis in der Implantologie zu erreichen ist, ist unbestritten. Der Autor Dr. Georg Taffet...
Die Lehrmeinung, wie ein ästhetisch ansprechendes Ergebnis in der Implantologie zu erreichen...
Versorgungskonzepte mit Sofortbelastung zielen auf eine Vereinfachung der Verfahren und Verkürzung der Einheilzeit ab. Dr. Carolina Lenzi...
Versorgungskonzepte mit Sofortbelastung zielen auf eine Vereinfachung der Verfahren und Verkürzung...
Die Frage nach der optimalen Einheilzeit ist immer von großem Interesse. Der folgende Beitrag von Dr. med. et Dr. med. dent. Ulrike Kuchler...
Die Frage nach der optimalen Einheilzeit ist immer von großem Interesse. Der folgende Beitrag...
Der Patient stellt bei Frontzahnrestaurationen hohe ästhetische Ansprüche an den Zahnarzt. Sowohl Stabilität und Funktion als auch eine optimale...
Der Patient stellt bei Frontzahnrestaurationen hohe ästhetische Ansprüche an den Zahnarzt....
Im vorliegenden Fallbericht wird – anhand eines Beispiels – die Technik der Implantatinsertion mit einer Neigung von 35° im Seitenzahnbereich...
Im vorliegenden Fallbericht wird – anhand eines Beispiels – die Technik der Implantatinsertion...
Der Vorteil dieses Behandlungskonzeptes liegt zum einen in der Verkürzung der Behandlungsdauer, zum anderen liegen direkt nach der OP keine...
Der Vorteil dieses Behandlungskonzeptes liegt zum einen in der Verkürzung der Behandlungsdauer,...
Eine minimalinvasive Behandlung in allen Bereichen der Medizin ist stets Patientenwunsch. In der Implantologie ist dieses heute bei Anwendung...
Eine minimalinvasive Behandlung in allen Bereichen der Medizin ist stets Patientenwunsch. In...
Die Implantation im parodontal vorgeschädigten Gebiss empfiehlt sich bisher als zweizeitiges Vorgehen.
Die Implantation im parodontal vorgeschädigten Gebiss empfiehlt sich bisher als zweizeitiges...
Der Ersatz verloren gegangener Zähne durch Implantate kann für den Patienten sehr zeitintensiv sein.
Der Ersatz verloren gegangener Zähne durch Implantate kann für den Patienten sehr zeitintensiv...
Da Sie der Verwendung von Google Maps nicht zustimmten, kann leider keine Karte angezeigt werden.
Haben Sie schon unseren Newsletter abonniert?
Um bei unserer Anwendung Formulare zu verwenden, benötigen wir die Zustimmung um einen Token für das Absenden zu setzen.
Datenschutz und Nutzungserlebnis
Wir übermitteln Daten an Drittanbieter, die uns helfen, unser Webangebot zu verbessern und zu finanzieren. In diesem Zusammenhang werden auch Nutzungsprofile gebildet und angereichert, auch außerhalb des Europäischen Wirtschaftsraumes. Hierfür und um bestimmte Dienste zu nachfolgend aufgeführten Zwecken verwenden zu dürfen, benötigen wir Ihre Einwilligung.
Indem Sie "Alle Cookies akzeptieren" klicken, stimmen Sie diesen (jederzeit widerruflich) zu.
Unter "Manuell auswählen" können Sie die Datenverarbeitung individuell personalisieren.
Unter "Nur notwendige akzeptieren" können Sie die Datenverarbeitung ablehnen.
Indem Sie "Speichern" klicken, stimmen Sie diesen (jederzeit widerruflich) zu.
Um Kartendaten in unserer Anwendung darzustellen, nutzen wir den Kartendienst Google Maps. Willigen Sie der Nutzung von Google Maps ein, werden ggf. personenbezogene Daten (Ihre IP-Adresse) von Google erhoben.
Einbinden von Google Maps erlauben
Einige unserer Videoinhalte (bspw. Livestream) werden über die Videoplattform Vimeo bereitgestellt.
Inhalte von Vimeo erlauben
Einige Beiträge binden Inhalte von Instagram ein. Wenn Sie zustimmen, wird eine Verbindung zu Meta/Instagram aufgebaut und es können personenbezogene Daten wie Ihre IP-Adresse übertragen werden.
Inhalte von Instagram erlauben
Für ein besseres Benutzererlebnis können unsere Werbeanzeigen personalisiert werden. Um dies zu ermöglichen, wird das erstellen von Cookies vorausgesetzt. Sollten Sie diesem Dienst nicht zustimmen, werden Werbeanzeigen zufällig ausgeliefert.
Personalisierte Werbung erlauben
Um sich bei unserer Anwendung Formulare zu verwenden werden Tokens gesetzt die es uns ermöglichen Spam zu verhindern. Sollten Sie dies ausstellen, ist es Ihnen nicht mehr möglich sich bei uns anzumelden oder zu registrieren.
Anmeldeformulare absenden ermöglichen
Bei der Gestaltung unserer Anwendung benutzen wir Schriftarten von Adobe, diese werden über ein CDN geladen. Sollte Sie diesem Dienst nicht zustimmen wird die Standard Schrift des Systems benutzt. Außerdem könnte es zu Fehlern im allgemeinen Anwendungsdesign kommen.
Inhalte von Adobe erlauben
Sie können Ihre Auswahl jederzeit unter "Cookie-Einstellungen“ am Seitenende ändern.