Die Sofortimplantation mit sofortiger prothetischer Versorgung stellt heute ein etabliertes und klinisch gut dokumentiertes Behandlungskonzept dar. Therapiekonzepte wie das Chamber-Konzept, das Stable Tissue Concept sowie das Zero Bone Loss-Konzept zeigen bei korrekter Indikationsstellung reproduzierbar stabile Hart- und Weichgewebsverhältnisse.
Die Versorgung von Extraktionsalveolen durch Sofortimplantation im ästhetisch hochrelevanten Frontzahnbereich erfordert eine multidisziplinäre...
Die Versorgung von Extraktionsalveolen durch Sofortimplantation im ästhetisch hochrelevanten...
Die moderne Implantologie vereint heute funktionelle Stabilität mit höchsten ästhetischen Ansprüchen. Gerade im Frontzahnbereich hängt der...
Die moderne Implantologie vereint heute funktionelle Stabilität mit höchsten ästhetischen...
Die Daten der DMS V zeigen, dass in der Patientenaltersgruppe der 65- bis 74-Jährigen im Durchschnitt 12,5 Prozent völlig zahnlos sind. Die...
Die Daten der DMS V zeigen, dass in der Patientenaltersgruppe der 65- bis 74-Jährigen im Durchschnitt...
Trotz erhöhten Risikos für die Ästhetik ist die Sofortimplantation mit Sofortversorgung zum wesentlichen Bestandteil im implantologischen...
Trotz erhöhten Risikos für die Ästhetik ist die Sofortimplantation mit Sofortversorgung...
Für den Erfolg einer Sofortimplantation kommt es auf ausreichend vorhandenes apikales und vestibuläres Knochengewebe und vor allem auf ein...
Für den Erfolg einer Sofortimplantation kommt es auf ausreichend vorhandenes apikales und...
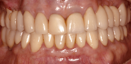
Der vorliegende Fallbericht beschreibt detailliert die Vorgehensweise bei einer Sofortimplantation im Oberkieferfrontzahnbereich, gefolgt von...
Der vorliegende Fallbericht beschreibt detailliert die Vorgehensweise bei einer Sofortimplantation...
Der zunehmende Anteil an älteren Patienten stellt uns im Praxisalltag vor besondere Aufgaben. So liegen im Zusammenhang mit dem gehobenen Alter...
Der zunehmende Anteil an älteren Patienten stellt uns im Praxisalltag vor besondere Aufgaben....
Unschöne Frontzähne sind eine ernste Einschränkung der Lebensqualität im Alltag. Bei einem Frontzahn mit infauster Prognose stellt sich die...
Unschöne Frontzähne sind eine ernste Einschränkung der Lebensqualität im Alltag. Bei einem...
Die konventionelle Implantologie mit aufwendigem Knochenaufbau führt oft zu langen Behandlungszeiten und mittelmäßigen Ergebnissen. Die Vorteile...
Die konventionelle Implantologie mit aufwendigem Knochenaufbau führt oft zu langen Behandlungszeiten...
Eine Metaanalyse zeigte, dass keine Unterschiede im Einheilverhalten von Spät- und Sofortimplantationen bestehen, beim Konzept der Sofortimplantation...
Eine Metaanalyse zeigte, dass keine Unterschiede im Einheilverhalten von Spät- und Sofortimplantationen...
Im nachfolgenden Patientenfall wurden ein interner Sinuslift im Sinne eines Intralifts und eine Augmentation mit autogenem Eigenknochen durchgeführt....
Im nachfolgenden Patientenfall wurden ein interner Sinuslift im Sinne eines Intralifts und...
Die Wünsche der Patienten gehen in eine Richtung: kürzere Behandlungszeiten und weniger chirurgische Eingriffe. Mit den Konzepten der Sofortimplantation...
Die Wünsche der Patienten gehen in eine Richtung: kürzere Behandlungszeiten und weniger chirurgische...
Die Verbreitung von IOS und eine vielversprechende Entwicklung eines digitalen Workflows, von der Abformung bis hin zur Abutment-, und Gerüstherstellung,...
Die Verbreitung von IOS und eine vielversprechende Entwicklung eines digitalen Workflows, von...
Immediacy-Konzepte sind heute in aller Munde. Die Bandbreite reicht von der Sofortimplantation über die Sofortversorgung bis hin zur Sofortbelastung....
Immediacy-Konzepte sind heute in aller Munde. Die Bandbreite reicht von der Sofortimplantation...
Da Sie der Verwendung von Google Maps nicht zustimmten, kann leider keine Karte angezeigt werden.
Haben Sie schon unseren Newsletter abonniert?
Um bei unserer Anwendung Formulare zu verwenden, benötigen wir die Zustimmung um einen Token für das Absenden zu setzen.
Datenschutz und Nutzungserlebnis
Wir übermitteln Daten an Drittanbieter, die uns helfen, unser Webangebot zu verbessern und zu finanzieren. In diesem Zusammenhang werden auch Nutzungsprofile gebildet und angereichert, auch außerhalb des Europäischen Wirtschaftsraumes. Hierfür und um bestimmte Dienste zu nachfolgend aufgeführten Zwecken verwenden zu dürfen, benötigen wir Ihre Einwilligung.
Indem Sie "Alle Cookies akzeptieren" klicken, stimmen Sie diesen (jederzeit widerruflich) zu.
Unter "Manuell auswählen" können Sie die Datenverarbeitung individuell personalisieren.
Unter "Nur notwendige akzeptieren" können Sie die Datenverarbeitung ablehnen.
Indem Sie "Speichern" klicken, stimmen Sie diesen (jederzeit widerruflich) zu.
Um Kartendaten in unserer Anwendung darzustellen, nutzen wir den Kartendienst Google Maps. Willigen Sie der Nutzung von Google Maps ein, werden ggf. personenbezogene Daten (Ihre IP-Adresse) von Google erhoben.
Einbinden von Google Maps erlauben
Einige unserer Videoinhalte (bspw. Livestream) werden über die Videoplattform Vimeo bereitgestellt.
Inhalte von Vimeo erlauben
Einige Beiträge binden Inhalte von Instagram ein. Wenn Sie zustimmen, wird eine Verbindung zu Meta/Instagram aufgebaut und es können personenbezogene Daten wie Ihre IP-Adresse übertragen werden.
Inhalte von Instagram erlauben
Für ein besseres Benutzererlebnis können unsere Werbeanzeigen personalisiert werden. Um dies zu ermöglichen, wird das erstellen von Cookies vorausgesetzt. Sollten Sie diesem Dienst nicht zustimmen, werden Werbeanzeigen zufällig ausgeliefert.
Personalisierte Werbung erlauben
Um sich bei unserer Anwendung Formulare zu verwenden werden Tokens gesetzt die es uns ermöglichen Spam zu verhindern. Sollten Sie dies ausstellen, ist es Ihnen nicht mehr möglich sich bei uns anzumelden oder zu registrieren.
Anmeldeformulare absenden ermöglichen
Bei der Gestaltung unserer Anwendung benutzen wir Schriftarten von Adobe, diese werden über ein CDN geladen. Sollte Sie diesem Dienst nicht zustimmen wird die Standard Schrift des Systems benutzt. Außerdem könnte es zu Fehlern im allgemeinen Anwendungsdesign kommen.
Inhalte von Adobe erlauben
Sie können Ihre Auswahl jederzeit unter "Cookie-Einstellungen“ am Seitenende ändern.