Oralchirurgie 03.11.2015
Ultraschalluntersuchungen bei Kieferzysten
share
Zystische Veränderungen im Kieferbereich lassen sich, durch die osteolytische Wirkung der Kieferzysten und die dadurch resultierende verminderte akustische Impedanz des Knochens, sonografisch relativ gut abbilden. Besonders geeignet ist der Oberkiefer durch seine embryologisch bedingte desmale Ossifikation.
Der Unterkiefer ist für Ultraschallbilder weniger günstig, da er durch die äußere starke Compakta nur sehr bedingt Schallwellen durchlässt. Trotzdem gibt es auch für den Unterkiefer Indikationen zur Sonografie. In den vorliegenden Fallbeispielen wurden aus Gründen des besseren Verständnisses Kieferzysten, sowohl im Bereich des Ober- wie auch des Unterkiefers, dargestellt. Die Aufnahmen wurden mit einer Nahfeldsonde (14MHz), einer sogenann-ten Hockeysticksonde, generiert. Als Ultraschallgerät diente das Aplio 300 der Firma Toshiba. Die Sonde wurde direkt im Mundraum auf die betreffende Region aufgesetzt.
Fallbeispiel 1
Der erste klinische Fall zeigt einen 26-jährigen männlichen Patienten, der sich mit leichten Schmerzen im Bereich des linken Oberkiefers in Regio 21-22 bei seinem behandelnden Zahnarzt vorstellte. Im klinischen Bild zeigte sich im Bereich der Gingiva in Höhe des Zahnes 21 eine deutliche Vorwölbung. Der Zahn 21 war endodontisch vorbehandelt und zeigte keinerlei Lockerungstendenzen. Die Nachbarzähne 11 und 22 waren ebenfalls gut knöchern verankert und reagierten auf einen entsprechenden Kälteimpuls vital.
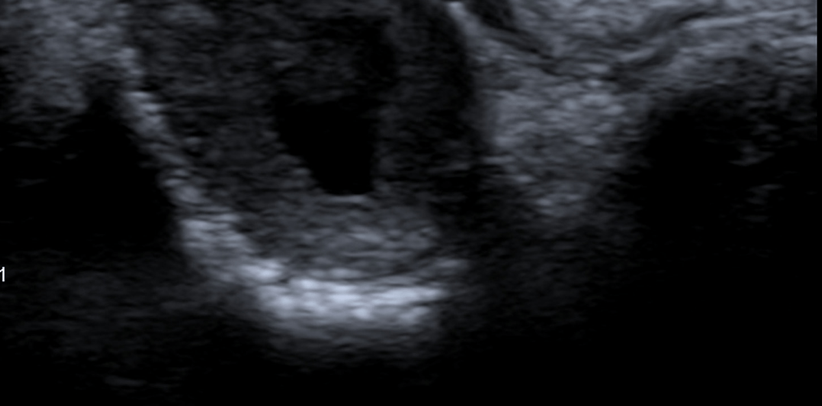
Im OPG (Abb. 1) sieht man einen osteolytischen Prozess im Bereich der Zahnwurzel des Zahnes 21, die als relativ große apikale Parodontitis bezeichnet wurde. Die Aufhellung hat einen Durchmesser von circa 1cm, und im Röntgenbild scheint es so, als ob die Wurzel des Zahnes 22 ebenfalls betroffen ist. Zum besseren Verständ-nis der sonografischen Untersuchung wurde auf einem Schädelmodell die Ultraschallsonde entsprechend dem Patientensitus appliziert. Zur einfa-cheren Orientierung wurde im Modell der Zahn 22 entfernt, sodass die Al-veole gut sichtbar ist (Abb. 2). Die sonografische Aufnahme zeigt einen relativ gut begrenzten Bereich, der in der Peripherie von einem homogenen reflexreicheren Gewebe gebildet wird. Zentral zeigt sich eine echoarme Struktur. Nach dorsal ist eine deutliche Schallverstärkung sichtbar. Es handelt sich um ein typisches sonografisches Bild einer Kieferzyste mit Flüssigkeitsansammlung (Abb. 3). In der Abbildung 4 sieht man den gleichen Situs, mit einer etwas andere Angulation der Ultraschallsonde. Dadurch erscheint zentral in der Kieferzyste eine weißliche, reflexreiche Struktur. Hierbei handelt es sich um Anteile der Zahnwurzel des Zahnes 21. Nach Auswertung der Bilder wurde eine Zystektomie mit gleichzeitiger Wurzelspitzenresektion und Wurzelfüllung vorgenommen. Im Operationssitus zeigte sich eine Ausdehnung der Zyste nach kranial und palatinal. Da der Zahn 21 ausreichend stabil im Knochen stand, konnte auf eine zusätzliche Schienung des Zahnes verzichtet werden.
Fallbeispiel 2
Der zweite Patientenfall betrifft einen 76-jährigen männlichen Patienten, der seit längerer Zeit Beschwerden am Zahn 36 hatte. Der Zahn war endodontisch aufbereitet, aber noch nicht wurzelgefüllt, und wurde für eine Wurzelspitzenresektion überwiesen. Der Patient erzählte mir, dass bereits eine Abszedierung vorgelegen hatte, er aber zum jetzigen Zeitpunkt schmerzfrei war. Klinisch war der Zahn leicht gelockert.
Auf dem Zahnfilm (Abb. 5) sieht man eine kleinere apikale Parodontitis, die primär die mesiale Wurzel betrifft. In Abbildung 6 wird ebenfalls zur Vereinfachung das Schädelmodell gezeigt, wo die Ultraschallsonde entsprechend des intraoralen Situs aufgesetzt wurde. Im Ultraschallbild zeigte sich, dass der Knochen durchbrochen war. Es sind nur noch vereinzelt insuläre Knochenanteile vestibulär nachweisbar. Im Zahnfach selbst sind zwei gut sichtbare reflexreichere Zonen zu erkennen. Es handelt sich hierbei um die mesiale und distale Wurzel des Zahnes 36. Die echoärmeren Strukturen, die die Wurzeln umgeben, entsprechen dem zystischen Befund. Wie sich im Ultraschallbild (Abb. 7) nachweisen ließ, war der Befund nicht nur apikal, sondern be-reits koronal fortgeschritten. Hier ist gut sichtbar, wie sinnvoll eine ergänzende sonografische Kontrolluntersuchung sein kann, denn im Zahnfilm lässt sich aufgrund des Röntgenschattens die echte Ausdehnung der Zyste nicht vollständig abbilden. Da bereits große knöcherne Bereiche fehlten, war eine Indikation für eine Wurzelspitzenresektion nicht mehr gegeben. Deshalb wurde dem Patienten empfohlen, sich den Zahn entfernen zu lassen.
Fazit
Die intraorale Sonografie kann für den Behandler von großer klinischer Relevanz sein. Die beiden klinischen Fallbeispiele sollen zeigen, wie einfach und nützlich die Sonografie auch in der Zahnmedizin sein kann.
Seethrough
Synea Power Edition
Sprayschlauchsysteme
NovaBone
BaLUPO 3 HD
CS 2100
CS 1500
CS 1200
Striate+™
Xylonor Spray N 15 %