Implantologie 28.11.2013

Vorteile, Risiken und Grenzen der digitalen Implantologie



Vorteile, Risiken und Grenzen der digitalen Implantologie

Die dreidimensionale Bildgebung in Form von digitaler Volumentomografie war der Innovationsschub der dentalen Implantologie der letzten Jahre. Sowohl die Anzahl als auch die Präzision der am Markt befindlichen Systeme ist kontinuierlich gestiegen. Schon aus forensischen Gründen wird die dreidimensionale Röntgentechnik immer häufiger genutzt. Auch der Anspruch an die Behandlungskonzepte und die Präzision der Ergebnisse sind gestiegen. Der folgende Beitrag zeigt die Behandlung mit navigierter Implantation als eine sichere Vorgehensweise bei schwieriger Knochensituation.

Der Wunsch nach verkürzter Operations- und Behandlungsdauer, minimalinvasiven Eingriffen, Sofortversorgungen und sicherer dentaler Implantologie steigt. Die dreidimensionale Diagnostik bietet dem Behandler die Möglichkeit, knöcherne Ausgangssituationen des Patienten realistisch in allen drei Dimensionen visuell darzustellen und wiederzugeben. Unpräzise Hilfsmittel zur Darstellung der transversalen Dimension (wie z.B. Sägeschnittmodelle mit Schleimhautdickenmessung) sind nicht mehr nötig. Dies bringt im Vergleich zur zweidimensionalen Diagnostik eine deutlich präzisere Darstellung zur Befundung und somit auch mehr Sicherheit hinsichtlich der Therapie- und Fallplanung. Implantologisch können sehr komplexe Fälle präoperativ, bezogen auf die Anzahl der Implantate, deren bestmögliche Position und des Bedarfs an augmentativen Maßnahmen mittels der 3-D-Diagnostik im Sinne eines „Backward Plannings“, besser eingeschätzt und dadurch optimierter behandelt werden. „Backward Planning“ bedeutet, im Vorfeld mittels digitaler Technik die bestmögliche prothetische Position des Implantates zu detektieren. Die Implantatposition richtet sich hauptsächlich nach prothetischen Aspekten und nicht die prothetische Versorgung im Nachhinein nach der nicht mehr zu ändernden Implantatposition. Nur so sind die heute geforderten optimalen ästhetischen Ergebnisse erreichbar.

Vor der Implantation kann anhand des durch die dreidimensionale Aufnahme exakt dargestellten Knochenangebots sowie der Knochenqualität oft eine Abschätzung hinsichtlich eventueller Sofortversorgungen von Implantaten getroffen werden. Dies geschieht natürlich nur unter Vorbehalt und muss letztendlich intraoperativ von Fall zu Fall entschieden werden. Die navigierte Implantation kann mittels zweier Verfahren angewendet werden: Die dynamische und die statische navigierte Implantation. Bei der dynamischen Navigation werden Marker an der Bohrschablone wie auch am Winkelstück über zum Beispiel Infrarotstereokameras gefilmt, so wird eine kontinuierliche „Echtzeitkontrolle“ der Position des Bohrers ermöglicht (RoboDent® u.a.). Bei statischer, wie dynamischer Navigation wird vorab ein dreidimensionaler Scan des Patienten benötigt, je nach System und Schablonenart (zahn-, schleimhaut- oder knochengestützt) oft auch mit Scanprothesen. Scanprothesen müssen je nach Hersteller Scankörper oder Referenzmarker (z.B. Guttapercha, röntgen opake Kugeln oder Legosteine [med3D®]) enthalten. Diese werden später im Computer zur Positionsübertragung vom Hersteller oder Chirurgen (je nach System) gematcht. Dann wird nach der virtuellen Planung die Bohrschablone aus der Scanschablone im Labor oder zentral beim Hersteller mittels Stereolitografie hergestellt. Mit Abweichungen von <0,7mm von der ursprünglich geplanten Position an der Implantatschulter ist nach aktueller Literatur auszugehen (Dreiseidler 2009, Chen 2004, Sarment 2005, Horwitz 2009). Die Literatur gibt für die statische Navigation eine hohe Präzision an, jedoch existieren auch hier vielschichtige Fehlerquellen (Widmann 2009).

So einfach und präzise das Verfahren der navigierten Implantation erscheint, kann es jedoch ungewollt zu Fehlern und ungeplanten Komplikationen im Verlauf der Planung und somit der späteren Behandlung und Therapie kommen. Teilweise bedarf es schon im Vorfeld einer ausreichenden Erfahrung mit der Planungssoftware, um die geplante Situation auf den Operationssitus genau umzusetzen. Schon die erste Orientierung innerhalb der drei Schnittebenen nach erfolgter 3-D-Rekonstruktion kann für den Implantologen eine Herausforderung darstellen. Das Auffinden und Detektieren anatomischer Strukturen ist im dreidimensionalen Datensatz nicht mit der Befundung eines zweidimensionalen Röntgenbildes zu vergleichen. Legt man zum Beispiel die Panoramakurve vor der Implantatplanung in der Software nicht korrekt oder gar nicht an, können Messstrecken deutlich verlängert erscheinen und ein vermeintlich höheres Knochenangebot suggerieren, welches nicht mit der Realität übereinstimmt. Auch systembedingte Ungenauigkeiten können durch limitierte Auflösungen der jeweiligen DVT-Geräte, aber auch durch Fertigungstoleranzen bei der Herstellung der stereolithografischen Modelle und Schablonen entstehen. Bisher ist nach Literatur mit Abweichung der Implantatspitze von > 2,5 mm und Abweichungen der Implantatachse von ca. 7,9° zu rechnen (Ruppin 2008). Der korrekte Sitz der Scanschablone ist deswegen von immenser Bedeutung. Liegt die Schablone alleine auf der Schleimhaut auf, kann es durch die verschiedenen Schleimhautresilienzen oder durch einen Schlotterkamm schon zu Abweichungen in der Genauigkeit von mehreren Millimetern kommen (Di Giacomo, Cury et al. 2005). Genauer sind hier zahn- oder knochengetragene Bohrschablonen. Aber auch bei zahngetragenen Bohrschablonen können ein geringer Restzahnbestand oder stark gelockerte Zähne die Präzision der Schablone verschlechtern. Der Behandler sollte in jedem Fall die geplante Schablone am Patienten anprobieren, um den einwandfreien Sitz vorab zu kontrollieren. Gegebenenfalls empfiehlt es sich, auch intraoperativ ein kleines Fenster, in Regio der zahngetragenen Bereiche, in die Bohrschablone zu fräsen, um den korrekten Sitz der Schablone auf den Zähnen zu überprüfen. Die Bohrschablone kann auch nach Belieben durch vorab navigiert geplante Osteosyntheseschrauben oder auch Pins als Fixierung im Kieferknochen fest verankert werden. Hierbei ist darauf zu achten, dass die Richtung der vorab geplanten Schrauben so zu wählen ist, dass sie mit dem Schraubendreher am Patienten einzubringen sind. Teilweise können hier Planungsfehler das Einbringen stark erschweren oder ein Einbringen unmöglich machen (Abb. 1). Komplikationen, wie das technische Versagen der Schablone, Ungenauigkeiten bei der Passung und dem Sitz, können im schlimmsten Fall zu falsch gesetzten Implantatpositionen mit schwerwiegenden Folgeschäden führen. Im Vorfeld sollte die Mundöffnung des Patienten überprüft werden. Eine Mundöffnungseinschränkung kann eine Kontraindikation für die navigierte Implantation darstellen (Leitlinie). Durch die Bauhöhe der Bohrschablonen und die Überlänge der Bohrer (die in der Regel einen Tiefenanschlag auf der Schablone haben) ist hier mehr Platz notwendig als in der konventionellen Implantologie. Ist die Mundöffnung nur leicht eingeschränkt, können in manchen Systemen seitlich offene Hülsen geplant werden. Diese ermöglicht das Einführen der Bohrinstrumente von lateral auf Schleimhautniveau. Ferner sollte es immer zu einer Absprache mit dem Labor kommen. Der Techniker kann Schablonen z.B. distal einkürzen oder die Extension der gesamten Schablone verkleinern, um gegebenenfalls einem Würgereiz durch die Schablone vorzubeugen. Ist die Bohrschablone erst einmal erstellt, sind oft nur noch minimale Änderungen möglich. Somit wird an  die Schablone eine hohe Anforderung gestellt. Bei mangelhaftem Schablonensitz könnten Nervstrukturen verletzt oder gar Kontinuitätsunterbrechungen der Nerven provoziert werden. Ferner könnten Implantate durch starke Positionsabweichungen nicht mehr prothetisch zu versorgen sein. Intention der navigierten Planung hat aber gerade hier einen Vorteil gegenüber der konventionellen Implantation zu bieten. Eine Herausforderung in der navigierten Planung ist auch der Unterkiefer-Frontzahnbereich bzw. der seitliche Schneidezahn im Oberkiefer. Hier ist es häufig schwierig, aufgrund des geringen interdentalen Platzangebotes, eine Implantattherapie zu realisieren. Eine Genauigkeit von < 1,2mm am Apex des Implantates ist hier nicht ausreichend. Ferner haben die Bohrhülsen in den Schablonen einen Außendurchmesser von mindestens 7mm. In solchen Fällen ist die Verwendung einer Schablone nicht möglich. Auch wenn die Implantatposition wesentlich tiefer liegt als eine benachbarte Knochenkante, so können Einbringinstrumente, die einen größeren Durchmesser als die Bohrer haben, auf dieser aufsitzen und die geführte Implantatinsertion unmöglich machen. Es muss dann der letzte Schritt ohne Schablone durchgeführt werden.

 

Fallbeispiel

Ein 61-jähriger Patient mit Lippen-Kiefer-Gaumen-Spalte und einer inadäquaten herausnehmbaren Totalprothese im Oberkiefer stellte sich mit dem Wunsch nach einer implantatgestützten, gaumenfreien Versorgung vor. Der Unterkiefer war voll bezahnt. Der Patient kam bereits mit einer durch einen Kollegen hergestellten med 3D®-Schablone und einer erfolgten DVT-Aufnahme.

Diagnostik und Therapieplanung

Während der Befundung stellte sich heraus, dass hier die Durchführung der navigierten Implantation mittels der bereits vorhandenen rein schleimhautgetragenen Bohrschablone nicht adäquat durchführbar war, da diese aufgrund einer starken Schleimhautresilienz, in Kombination mit der Lippen-Kiefer-Gaumen-Spalte nicht positionsstabil platziert werden konnte. Die unkomprimierten DICOM-Daten der vorhandenen DVT-Aufnahme wurden in die Planungssoftware Expert-Ease™ (DENTSPLY Implants) eingelesen. Es zeigte sich in einzelnen Regionen ein ausreichendes Knochenangebot mit einer ausreichenden Knochenqualität, welches voraussichtlich eine Sofortbelastung zuließ. Es wurden sechs Implantate (ANKYLOS®, DENTSPLY Implants) in den Regionen 16 (11mm/3,5 Ø), 15 (11mm/3,5 Ø), 14 (8mm/3,5 Ø), 25 (8mm/3,5 Ø), 26 (8mm/4,5 Ø), 27 (11mm/3,5 Ø) navigiert geplant (statische Navigation) (Abb. 2). Diese wurden im 3-D-Ansichtsmodus möglichst parallel ausgerichtet und in allen drei Ebenen überprüft (Abb. 3). Direkt nach Implantation sollte der Patient eine Sofortversorgung mit präfabrizierten SynCone® Aufbauten erhalten. Auch diese können virtuell unter funktionellen als auch unter ästhetischen Gesichtspunkten geplant werden. Die Planung mittels der ExpertEase™ Software, welche auf der SimPlant® Software Materialise (Leuwen, Belgien) basiert, wurde via Datenübertragung online versendet. Es wurde eine knochengetragene Bohrschablone gewählt, welche aufgrund der noch vorhandenen Lippen-Kiefer-Gaumen-Spalte im anterioren Bereich zweiteilig hergestellt wurde. Stereolithografisch wurden durch die Fa. Materialise Dental (Leuven, Belgien) zwei Modelle hergestellt, ein Knochen-Modell (Abb. 4) und ein Immediate Smile®-Modell mit Laboranalogen (Abb. 5). Das Knochen-Modell ist ein analog zum Oberkieferknochen, das Immediate Smile®-Modell ist ein anatomisches Duplikat der Knochensituation im Oberkiefer, in welchem bereits die Laboranaloge der geplanten Implantate integriert sind. Es wird also ein prothetisches Meistermodell bereits vor Implantation aus den virtuellen Daten erstellt.

Operatives Vorgehen

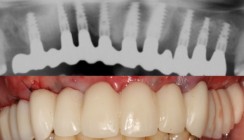
Es wurde eine präoperative Antibiotikaprophylaxe (1 g Amoxicyllin 1-1-1) sowie eine intraorale präoperative Desinfektion mit CHX-Lsg (0,2 %) durchgeführt. Der chirurgische Eingriff erfolgte in Lokalanästhesie (Infiltrationsanästhesie palatinal und vestibulär). Nach beidseitiger krestaler Schnittführung und Darstellung des Alveolarfortsatzes ließen sich die Bohrschablonen eindeutig ohne Fixationsschrauben positionieren. Dies ist allerdings nur im gut konturierten Knochenlager möglich, andernfalls kann die Schablone auch mit Fixationsschrauben befestigt werden. Die Bohrhülsen können offen oder geschlossen gewählt werden. In diesem Fall wurde eine geschlossene Führung gewählt. Das geschlossene System ermöglicht dem Behandler eine sichere Führung der Spiralbohrer. Die Bohrhülsen geben die Richtung für die Spiralbohrer exakt vor („sleeve on drill“) und dienen gleichzeitig als Tiefenstopp, welcher dafür sorgt, dass die virtuell geplante Bohrtiefe nicht überschritten werden kann. Die Aufbereitung des Implantatbettes erfolgt nach Operationsprotokoll des Implantatsystems. Danach wurden die Implantate unter Führung der Operationsschablone eingebracht und nacheinander mittels Fixierungsabutments versehen. Die Fixierungsabutments dienen der zusätzlichen Befestigung und Sicherung der Bohrschablone an ihrer vorab geplanten Position (Abb. 6). Eine reine externe Kühlung, wie bei vielen konventionellen Implantatsystemen üblich, ist bei hartem Knochen und navigiertem Vorgehen nicht ausreichend. Die Kühlflüssigkeit erreicht bei extralangen Bohrern und Verwendung einer Schablone die Bohrerspitze im Knochen nur unzureichend. Dies kann zu Überhitzungsnekrosen führen. Fast alle Bohrschablonensysteme haben hierfür vorgefertigte Löcher, durch welche manuell eine Kühlung, durch die Assistenz mit Kochsalzlösung vorgenommen werden sollte. Die Möglichkeit einer zusätzlichen Innenkühlung ist nur bei bestimmten Systemen möglich und nicht unumstritten (Hygiene/Verbolzung durch Knochenspäne). In dem oben beschriebenen Fall ließen sich die Implantate komplikationslos setzen, und auch beim Einbringen zeigten alle Implantate Insertionsdrehmomente zwischen 35 und 50 Ncm, womit eine Sofortversorgung möglich war (Abb. 7 und 8).

Sofortversorgung

Mittels des Immediate Smile-Modells® konnten die SynCone® Pfosten bereits präoperativ im Labor durch den Techniker parallel zueinander ausgerichtet werden, um die Pfosten dann mit einem ebenfalls im Labor hergestellten Übertragungsschlüssel zu positionieren (Abb. 9). Die SynCone® Pfosten wurden dann intraoperativ mittels des Übertragungsschlüssels eingesetzt und die präfabrizierten Sekundärteile in die vorhandene Prothese definitiv einpolymerisiert (Abb. 10–16). Der Wundverschluss erfolgte mittels Einzelknopfnähten. Abbildung 17 zeigt das postoperative Röntgenbild. Der Gaumenbereich der vorhandenen Prothese konnte direkt postoperativ freigeschliffen werden. Der Patient wurde angewiesen, die Prothese vier Wochen lang nicht selbst zu entfernen, ferner wurde eine weiche Diät verordnet. Lokal wurde der Patient angewiesen, dreimal täglich mindestens eine Minute mit einer 0,2-prozentigen Chlorhexidinlösung zu spülen.

Zusammenfassung

Der beispielhaft beschriebene Prozess weist eine hohe Präzision und Zuverlässigkeit auf, welches bei diesem operativen Vorgehen notwendig ist. Die navigierte Implantation kann definiert geplant das chirurgische Risiko bei Implantationen minimieren. Während schwieriger anatomischer Verhältnisse bietet es zudem die Möglichkeit einer planbaren prothetischen Versorgung im Sinne eines „Backward Plannings“. Augmentative Maßnahmen können in bestimmten Fällen durch navigierte Planungen vermieden werden. Die Kombination aus navigierter Implantation (Guided Surgery) und der Sofortbelastung und prothetischen Versorgung mit SynCone® ist eine sichere Vorgehensweise bei schwieriger Knochensituation. Die navigierte Implantation erfordert generell einen hohen technischen Anspruch. Komplikationen können vorab durch präzise Planung und detaillierte Absprache mit dem Labor minimiert werden. Auch aus forensischen Gründen spricht vieles für die navigierte Implantation. Trotz der prinzipiell einfachen Handhabung ist eine chirurgische Erfahrung mit dem System und der Technik die Voraussetzung für ein gutes Gelingen.

Mehr Fachartikel aus Implantologie

ePaper