Laserzahnmedizin 25.03.2014
Keimreduktion mit einem 970-nm-Laser
share
Offline auf Wunsch von Sirona – Info G. I. im April 2014
Der vorliegende Fall beschreibt die endodontische Behandlung eines Zwillingszahns 12 bei apikaler Parodontitis und partieller Pulpanekrose. Eine mikrobiologische Keimanalyse zeigt die adjunktive antimikrobielle Wirkung des 970-nm-Lasers. Durch die zusätzliche Keimreduktion kann von einer verbesserten Prognose zum Erhalt des Zahns ausgegangen werden. Ein im Rahmen der Therapieplanung angedachter chirurgischer Eingriff zur Verbesserung der morphologischen Ausgangssituation für die Ausheilung könnte damit möglicherweise umgangen werden.
Eine effektive Keimabtötung im Rahmen der endodontischen Therapie ist unabdingbar,1,2 da Misserfolge bei der Behandlung oftmals auf eine nicht ausreichende Keimreduktion zurückgeführt werden können. Die Bakterienflora im infizierten Endodont steht dabei in Zusammenhang mit der Flora der Mundhöhle und weist zwischen 102 und 107 Bakterien pro infiziertem Wurzelkanal auf.3 Da die alleinige mechanische Aufbereitung der Wurzelkanäle in der Regel nicht zu einer ausreichenden Keimelimination führt, ist die zusätzliche chemische Wurzelkanaldesinfektion ein essenzieller Bestandteil des vor der Wurzelkanalfüllung erfolgenden Arbeitsabschnitts, der in seiner Gesamtheit als chemomechanische Wurzelkanalaufbereitung bezeichnet wird. Dabei können über 95 % der Mikroorganismen im Endodont eliminiert werden.4 Obwohl zahlreiche Methoden und Spüllösungen für die chemische Aufbereitung zur Verfügung stehen, wird bis heute Natriumhypochlorit in einer Konzentration von 0,5–5 % als Spüllösung der ersten Wahl empfohlen. Um die Keimreduktion im Wurzelkanal noch zu verbessern, können auch adjuvante antimikrobielle Verfahren Anwendung finden. Dazu gehört die Verwendung von Laserenergie, die sowohl athermisch (z.B. im Rahmen der photodynamischen Therapie) oder thermisch erfolgen kann. Bei Lasersystemen wie dem Diodenlaser beruhen antimikrobielle Eigenschaften überwiegend auf thermischen Effekten. In diesem Zusammenhang wird einem 980-nm-Laser ein antibakterieller Effekt zugeschrieben, der bis in die Tiefe von Zahnhartgeweben nachgewiesen werden kann.5
Fallbericht
Am 6. Mai 2013 stellte sich eine zwölfjährige Patientin in der Abteilung für Zahnerhaltungskunde des Medizinischen Zentrums für Zahn-, Mund- und Kieferheilkunde des Universitätsklinikums Gießen und Marburg, Standort Marburg, vor. Sie beklagte eine seit vier Wochen bestehende Schwellung der rechten Gesichtshälfte, die nach systemischer antibiotischer Behandlung durch den Hauszahnarzt abgeklungen war. In der Überweisung berichtet der Zahnarzt ferner, dass der Zahn 12 einen Lockerungsgrad II und eine distale Sondierungstiefe von 7 mm mit Sekretabfluss aufwies. Das in der Praxis angefertigte Röntgenbild zeigte eine Zwillingszahnbildung bei Zahn 12 mit zwei deutlich ausgeprägten Wurzelstrukturen (Abb. 1). Ferner bestand der Verdacht auf eine interne Resorption. Anamnestisch war kein Hinweis auf ein in der Vergangenheit durchgemachtes Trauma vorhanden, allerdings berichtet der Hauszahnarzt von der Entfernung eines Mesiodens im Jahr 2007, ohne genauer auf den erfolgten Eingriff einzugehen. Ein Kontrolltermin am 9. April 2013 ergab ein beschwerdefreies klinisches Bild ohne Lockerung von Zahn 12 (Abb. 2 und 3).
Da trotz positiver Sensibilitätsprobe auf dem Röntgenbild eine apikale Aufhellung im apikalen Bereich des mesialen Wurzelanteils erkennbar war, wurde die Diagnose einer Pulpanekrose mesial in Kombination mit einer Pulpitis chronica des distalen Anteils gestellt, da davon auszugehen war, dass die Pulpakammern des mesialen und distalen Wurzelkanals in eine gemeinsame koronale Pulpakammer mündeten. Vor der Behandlung wurden die Behandlungsmöglichkeiten mit der jungen Patientin und ihren Eltern besprochen. Aufgrund des Verdachts auf interne Resorptionserscheinungen und der apikalen Läsion an der mesialen Wurzel wurde die Prognose nach konventioneller Wurzelkanalbehandlung als eingeschränkt erfolgreich eingeschätzt. Eine Wurzelkanalbehandlung mit anschließender chirurgischer Resektion des mesialen Wurzelanteils und Kürettage des apikalen Granulationsgewebes6 wurde als klassische Behandlungsempfehlung ausgesprochen, um dem zu diesem Zeitpunkt chronischen Entzündungsgeschehen zu begegnen. Darüber hinaus wurde die klassische Wurzelkanalbehandlung mit adjunktiver Laserbestrahlung der Kanalinnenwände angesprochen. Im Rahmen der thermischen Wirkung des Lasers könnte auch ein Effekt auf die ausgedehnte apikale Läsion mesial eintreten, sodass vielleicht auf den sekundären chirurgischen Eingriff verzichtet werden könnte. Da mit diesem Behandlungsansatz keine Beeinträchtigung einer vielleicht doch später noch durchzuführenden Resektion der mesialen Wurzel zu erwarten war, haben sich die Eltern mit ihrer Tochter zusammen für diesen Weg entschieden.
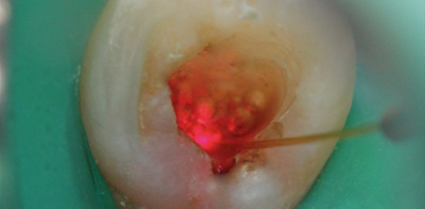
Nach Infiltrationsanästhesie des Zahns 12 mit Ultracain D-S 1 : 200.000 (Sanofi-Aventis, Frankfurt am Main) erfolgte die Trepanation und Darstellung des koronalen Pulpenkavums unter Trockenlegung mit Kofferdam. Als Trepanationsbefund konnte stark durchblutetes Gewebe im distalen und nekrotischen Gewebe im mesialen Wurzelkanal festgestellt werden (Abb. 4). Somit wurde die klinische Verdachtsdiagnose bestätigt. Nach Exstirpation der Wurzelkanäle (Abb. 5) erfolgte eine koronale Erweiterung der Kanaleingänge mit Gates-Glidden-Bohrern in der Step-down-Technik und eine endometrische Bestimmung der Kanallängen. Aufgrund des Verdachts eines irregulären Kanalverlaufs wurde eine Silberstiftaufnahme mit den vorher elektronisch ermittelten Längen angefertigt (Abb. 6).
Es folgte eine chemomechanische Aufbereitung der Wurzelkanäle mit Handinstrumenten bis zur ISO-Größe 35 und anschließender Step-back-Technik mit 1-mm-Stufen bis ISO-Größe 50 unter regelmäßiger Spülung mit 2,65 % Natriumhypochloritlösung. Im Anschluss wurden die Kanäle mit einer Glukokortikoid und Antibiotikum enthaltenden Paste (Ledermix, Riemser, Greifswald) beschickt, da diesem Präparat antiresorptive Eigenschaften zugeschrieben werden.7 Beim nächsten Behandlungstermin traten die zwei behandelten Wurzelkanäle nach Entfernung der provisorischen Deckfüllung unterschiedlich in Erscheinung. Während distal keine Auffälligkeiten vorhanden waren, bestand mesial ein dezenter Blut- und Sekretabfluss. Nach Spülung des Kanalsystems mit einer 2,65-%-Natriumhypochloritlösung erfolgte eine mikrobiologische Probenentnahme unterVerwendung steriler Papierspitzen. Nun wurde die Laserbestrahlung der Kanalinnenwände für jeweils eine Minute mit einer von apikal nach koronal bewegten Laserfaser durchgeführt. Dazu wurde der SIRO-LaserAdvance (Sirona, Bensheim), ein 970-nm-Diodenlaser der Klasse IV, mit der Software-Version 2.0.6 verwendet und das Behandlerteam mit für die Wellenlänge 970 nm geeigneten Laserschutzbrillen ausgestattet. Der Behandlungsraum war als Laserarbeitsplatz von außen gekennzeichnet. Zusätzlich wurde noch eine Warnleuchte aktiviert, die sich an der Eingangstür zum Behandlungsbereich befand. Für eine Keimreduktion im Wurzelkanal werden vom Hersteller eine Einstellung von 1,5 W bei gepulster Frequenz (PF), ein Tastverhältnis von 50 % und eine Frequenz von 15 Hz empfohlen. Da im vorliegenden Fall allerdings eine adjunktive Wirkung auf die Ausheilung der apikalen Läsion beabsichtigt war, wurde die Voreinstellung „Gangränbehandlung“ gewählt, die eine Einstellung von 3 W bei gepulster Frequenz (PF), einem Tastverhältnis von 50 % und einer Frequenz von 20 Hz vorsieht. Das Arbeitshandstück wurde mit einer 200-μm (Kerndurchmesser)-Faser und einer Aktivierung über den Fingerschalter verwendet (Abb. 7–9). Im Anschluss an eine abschließende Spülung mit steriler physiologischer Kochsalzlösung erfolgte eine erneute mikrobiologische Probenentnahme mit sterilen Papierspitzen (Abb. 10 und 11) und der erneute provisorische Verschluss nach Beschickung der Kanalwände mit der Glucokortikoid-/Antibiotikumpaste und Auffüllen der Kanallumina mit einer Ca(OH)2-Paste (UltraCal, Ultradent, Köln). Die mikrobiologische Analyse der Kanäle unter Verwendung eines Real-time-PCR-Verfahrens ergab nach der Spülung mit Natriumhypochlorit eine Gesamtbakterienzahl von 7,3 x 103 mesial und 4,2 x 103 distal. Nach anschließender Laserbestrahlung waren in beiden Kanälen keine Bakterien mehr nachweisbar.
Im Rahmen des abschließenden Behandlungstermins wurde nach Entfernung der medikamentösen Einlagen kein Blut- oder Sekretabfluss aus den Kanalsystemen beobachtet. Eine aufgrund der röntgenologischen Darstellung vermutete Resorptionslakune im mittleren Bereich des mesialen Kanals wurde klinisch bei Sondierung der Kanalwände nicht ersichtlich. Daher erfolgte eine Guttapercha-Wurzelkanalfüllung mit vertikaler und horizontaler Kondensation unter Verwendung des auf Mineral-Trioxid-Aggregat basierenden Sealers MTA Fillapex (Angelus, Londrina, Brasilien) unter Verzicht einer thermoplastischen Wurzelfülltechnik. Nach röntgenologischer Kontrolle der Wurzelfüllung (Abb. 12) wurden die Wurzelkanaleingänge adhäsiv (AdheSE, Ivoclar Vivadent, Schaan, Liechtenstein) verschlossen (SDR, DENTSPLY DeTrey, Konstanz) und die Trepanationskavität adhäsiv aufgefüllt (GrandioSO, VOCO, Cuxhaven).
Ein unphysiologischer Lockerungsgrad und erhöhte Sondierungstiefe waren zu diesem Zeitpunkt nicht mehr feststellbar. Ein Vergleich des Ausgangsröntgenbildes mit der Kontrollaufnahme nach der Wurzelkanalfüllung zeigte eine tendenzielle Verkleinerung der apikalen Veränderung mesial. Es bleibt allerdings weiteren Kontrollen vorbehalten, einen langfristigen Erfolg der endodontischen Behandlung zu beurteilen. Sollten sich klinische Symptome einer chronischen oder akuten Entzündung zeigen oder die röntgenologisch erkennbare Veränderung im Laufe der Kontrollsitzungen vergrößern, ist über die Umsetzung des anfänglichen Therapieplans mit chirurgischer Resektion des mesialen Wurzelanteils nachzudenken. Die nächste Kontrolle erfolgt regulär in drei Monaten.
Bewertung
Das Ziel der chemomechanischen Wurzelkanalaufbereitung ist neben der Formgebung des Wurzelkanals eine weitreichende Keimelimination aus dem Kanalsystem. Konventionelle Spülprotokolle sind effektiv, doch die Keimelimination kann durch die Hinzunahme eines Diodenlasers noch gesteigert werden.8 Ausgehend von dieser Beobachtung wurde im vorliegenden Fall der Versuch unternommen, durch eine adjunktive Diodenlaserbestrahlung des Wurzelkanalsystems eine weitreichende Desinfektion des Kanalsystems und möglicherweise auch der beteiligten Nachbarstrukturen zu erreichen, sodass auf einen chirurgischen Eingriff verzichtet werden kann. Die zusätzliche Keimreduktion konnte in diesem Zusammenhang durch die mikrobiologische Analyse bestätigt werden. Das bisherige Ausbleiben von Anzeichen chronischer oder akuter Entzündungszeichen sowie der dezente Rückgang der röntgenologisch erkennbaren apikalen Läsion bestätigen den gewählten Therapieansatz. Allerdings bleibt es den Befunden der nachfolgenden Kontrollen vorbehalten, den Therapieerfolg langfristig einzuschätzen.
Anm. d. Red.: Dieser Artikel erschien erstmalig im Sonderdruck „laser – international magazin of laser dentistry by Sirona“ (OEMUS MEDIA AG, 2013).
Hier gibt's die vollständige Literaturliste.
Proto-Cam® Smart
Patientenbrille P07.P1P11.1001
Laserschutz-Lupenbrille F27P1M03
IPL-Brille F22P5L04 für Behandlungspersonal
F18P1C02 für Dentallaser Anwendungen
WaterLase MDX
Waterlase Epic X
Waterlase Express
Maskensystem Axess™
Accutron-Doppelmaskensystem seda-view®