Epidemiologie, Ätiologie und Pathogenese der Zahnkaries bestimmen entscheidend die Diagnostik und Therapie, insbesondere aber auch die Prävention und ihre Erfolgsaussichten. Dabei interpretiert jede Zeit mit ihrem spezifischen Erkenntnisstand die Erkrankung neu. Ein Fachbeitrag von Prof. Dr. Dr. h. c. Peter Gängler, Witten/Herdecke.
embedImagecenter("Imagecenter_2_354",354,"small");
Fast ständig überrascht werden wir von neuen Erkenntnissen des Verhaltens von Biofilmen – wie der Plaque auf
Der Irrglaube, das man sowieso einmal die Dritten bekommt, haftet fest in den Köpfen reiferer Patienten. Für die Prophylaxe gewinnt man sie...
Der Irrglaube, das man sowieso einmal die Dritten bekommt, haftet fest in den Köpfen reiferer...
Es ist wichtig zu erkennen, dass nicht nur ein einziges umfassendes Konzept der Systemprophylaxe existiert, sondern dass es patientengruppenbezogene...
Es ist wichtig zu erkennen, dass nicht nur ein einziges umfassendes Konzept der Systemprophylaxe...
Zu den wichtigsten Elementen einer erfolgreichen präventiv bzw. minimalinvasiv orientierten Zahnheilkunde gehören fluoridhaltige Präparate....
Zu den wichtigsten Elementen einer erfolgreichen präventiv bzw. minimalinvasiv orientierten...
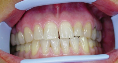
Bakterieller Biofilm gefährdet Zähne und Zahnhalteapparat (Abb.1). Säuren, die Bakterien aus Kohlenhydraten im Verlauf ihres Stoffwechsels...
Bakterieller Biofilm gefährdet Zähne und Zahnhalteapparat (Abb.1). Säuren, die Bakterien...
Frühzeitiges Erkennen eines Erkrankungsrisikos gehört zum Standard der modernen Medizin. Es ermöglicht das rechtzeitige Ergreifen von Maßnahmen,...
Frühzeitiges Erkennen eines Erkrankungsrisikos gehört zum Standard der modernen Medizin....
In der aktuellen Diskussion über die Gesundheitspolitik wird oft vergessen, dass in den letzten Jahrzehnten ein Standard erreicht wurde, von...
In der aktuellen Diskussion über die Gesundheitspolitik wird oft vergessen, dass in den letzten...
Erfolgreiche Behandlungen bedürfen stets einer möglichst guten Vorbereitung. Auch die Abschirmung bestimmter Bereiche der Mundhöhle vor Beginn...
Erfolgreiche Behandlungen bedürfen stets einer möglichst guten Vorbereitung. Auch die Abschirmung...
Moderner Parodontaltherapie sollte gezielte und systematische Prophylaxe vorangegangen sein. Chirurgische Eingriffe sind in den meisten Fällen...
Moderner Parodontaltherapie sollte gezielte und systematische Prophylaxe vorangegangen sein....
Moderner Parodontaltherapie sollte gezielte und systematische Prophylaxe vorangegangen sein. Chirurgische Eingriffe sind in den meisten Fällen...
Moderner Parodontaltherapie sollte gezielte und systematische Prophylaxe vorangegangen sein....
Heutzutage stellt die Behandlung parodontaler Erkrankungen den praktisch tätigen Zahnarzt immer häufiger vor die Herausforderung, diesem Formenkreis...
Heutzutage stellt die Behandlung parodontaler Erkrankungen den praktisch tätigen Zahnarzt...
Die Diagnostik kariöser Defekte hat sich durch bestimmte Veränderungen der Läsionscharakteristika und durch das Verhalten der Patienten zu...
Die Diagnostik kariöser Defekte hat sich durch bestimmte Veränderungen der Läsionscharakteristika...
Durch das in großen Teilen der Bevölkerung gestiegene Gesundheitsbewusstsein ist die Nachfrage nach nachhaltigen Prophylaxe- und Therapiekonzepten...
Durch das in großen Teilen der Bevölkerung gestiegene Gesundheitsbewusstsein ist die Nachfrage...
Seit vielen Jahren sind Fluoride auf Grund der kariesprotektiven Wirkung vor allem als Zusatz in Zahnpasten buchstäblich in aller Munde.
Seit vielen Jahren sind Fluoride auf Grund der kariesprotektiven Wirkung vor allem als Zusatz...
Ohne Prophylaxe keine Mundgesundheit! Wie können wir dieser Anforderung in der täglichen Praxis gerecht werden? Neue Geräte und Materialien...
Ohne Prophylaxe keine Mundgesundheit! Wie können wir dieser Anforderung in der täglichen...
Da Sie der Verwendung von Google Maps nicht zustimmten, kann leider keine Karte angezeigt werden.
Haben Sie schon unseren Newsletter abonniert?
Um bei unserer Anwendung Formulare zu verwenden, benötigen wir die Zustimmung um einen Token für das Absenden zu setzen.
Datenschutz und Nutzungserlebnis
Wir übermitteln Daten an Drittanbieter, die uns helfen, unser Webangebot zu verbessern und zu finanzieren. In diesem Zusammenhang werden auch Nutzungsprofile gebildet und angereichert, auch außerhalb des Europäischen Wirtschaftsraumes. Hierfür und um bestimmte Dienste zu nachfolgend aufgeführten Zwecken verwenden zu dürfen, benötigen wir Ihre Einwilligung.
Indem Sie "Alle Cookies akzeptieren" klicken, stimmen Sie diesen (jederzeit widerruflich) zu.
Unter "Manuell auswählen" können Sie die Datenverarbeitung individuell personalisieren.
Unter "Nur notwendige akzeptieren" können Sie die Datenverarbeitung ablehnen.
Indem Sie "Speichern" klicken, stimmen Sie diesen (jederzeit widerruflich) zu.
Um Kartendaten in unserer Anwendung darzustellen, nutzen wir den Kartendienst Google Maps. Willigen Sie der Nutzung von Google Maps ein, werden ggf. personenbezogene Daten (Ihre IP-Adresse) von Google erhoben.
Einbinden von Google Maps erlauben
Einige unserer Videoinhalte (bspw. Livestream) werden über die Videoplattform Vimeo bereitgestellt.
Inhalte von Vimeo erlauben
Für ein besseres Benutzererlebnis können unsere Werbeanzeigen personalisiert werden. Um dies zu ermöglichen, wird das erstellen von Cookies vorausgesetzt. Sollten Sie diesem Dienst nicht zustimmen, werden Werbeanzeigen zufällig ausgeliefert.
Personalisierte Werbung erlauben
Um sich bei unserer Anwendung Formulare zu verwenden werden Tokens gesetzt die es uns ermöglichen Spam zu verhindern. Sollten Sie dies ausstellen, ist es Ihnen nicht mehr möglich sich bei uns anzumelden oder zu registrieren.
Anmeldeformulare absenden ermöglichen
Bei der Gestaltung unserer Anwendung benutzen wir Schriftarten von Adobe, diese werden über ein CDN geladen. Sollte Sie diesem Dienst nicht zustimmen wird die Standard Schrift des Systems benutzt. Außerdem könnte es zu Fehlern im allgemeinen Anwendungsdesign kommen.
Inhalte von Adobe erlauben
Sie können Ihre Auswahl jederzeit unter "Cookie-Einstellungen“ am Seitenende ändern.