Ein moderner Ansatz zum Umgang mit Karies
Die intensiven Forschungsbemühungen insbesondere der zurückliegenden Jahrzehnte haben das Verständnis der Karies auf eindrucksvolle Weise revolutioniert. Dies hat unzweifelhaft auch weitreichende Folgen für die Behandlung der Erkrankung. Das von Mount und Hume propagierte Konzept der Minimal Intervention Dentistry greift diese Erkenntnisse auf.
Die Zahnoberfläche wird unmittelbar nach einer Zahnreinigung von einem Speicheloberhäutchen bedeckt, auf
Es ist allgemein üblich, eine Parodontaltherapie in zwei Etappen durchzuführen, wodurch sie sich zwangsläufig über längere Zeit hinwegzieht.
Es ist allgemein üblich, eine Parodontaltherapie in zwei Etappen durchzuführen, wodurch sie...
Die Erfassung der individuell gefährdenden Faktoren und die damit verbundene Einschätzung des Kariesrisikos spielen in der Prophylaxe eine...
Die Erfassung der individuell gefährdenden Faktoren und die damit verbundene Einschätzung...
Mit der "mikroinvasiven Therapie der initialen Karies durch Infiltration mit Kunststoffen" könnten zukünftig Glattflächen- und Approximalkaries...
Mit der "mikroinvasiven Therapie der initialen Karies durch Infiltration mit Kunststoffen"...
Zahnpflege bedeutet Arbeit und Zeitaufwand. Zum Teil sind auch anspruchsvolle, die feinmotorischen Fähigkeiten stark fordernde Tätigkeiten...
Zahnpflege bedeutet Arbeit und Zeitaufwand. Zum Teil sind auch anspruchsvolle, die feinmotorischen...
Beim Wandel einer restaurativ geprägten Praxis in eine präventiv orientierte sind teils große Umstrukturierungen nötig. Viele Zahnärzte...
Beim Wandel einer restaurativ geprägten Praxis in eine präventiv orientierte sind teils große...
Die Photodynamische Therapie und der damit assoziierte Einsatz niederenergetischen Laserlichts stellt die wesentliche Neuerung auf dem Gebiet...
Die Photodynamische Therapie und der damit assoziierte Einsatz niederenergetischen Laserlichts...
Frühkindliche Karies ist auf dem Vormarsch. Einfache, praxisbewährte Konzepte zur Betreuung von Kleinkindern können das Problem frühzeitig...
Frühkindliche Karies ist auf dem Vormarsch. Einfache, praxisbewährte Konzepte zur Betreuung...
Die dentale Plaque und der Biofilm als bedeutsame Organisationsstruktur stellen bis heute das zentrale Problem beim Management von dentalen und...
Die dentale Plaque und der Biofilm als bedeutsame Organisationsstruktur stellen bis heute das...
Die modernen Parodontaltherapien führen zu einer höheren Überlebenswahrscheinlichkeit jedes einzelnen Zahnes. Die erhaltenen Zähne weisen...
Die modernen Parodontaltherapien führen zu einer höheren Überlebenswahrscheinlichkeit jedes...
Dieser Beitrag widmet sich der häuslichen Zahnreinigung unter dem besonderen Aspekt der Erhaltung der gesunden Gingiva mit antibakteriell wirksamen...
Dieser Beitrag widmet sich der häuslichen Zahnreinigung unter dem besonderen Aspekt der Erhaltung...
Mit zunehmendem Alter steigt die Wahrscheinlichkeit, wegen einer Erkrankung einer Dauermedikation zu unterliegen. Viele Arzneimittel haben jedoch...
Mit zunehmendem Alter steigt die Wahrscheinlichkeit, wegen einer Erkrankung einer Dauermedikation...
Menschlicher Schmelz besteht nicht aus stöchiometrisch reinem Hydroxylapatit. Während der Bildung eingebaute „Fremdionen“ machen den Schmelz...
Menschlicher Schmelz besteht nicht aus stöchiometrisch reinem Hydroxylapatit. Während der...
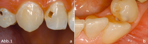
Die Diagnose der Zahnkaries zählt zu den primären Aufgaben des Zahnarztes und stellt eine Herausforderung im zahnärztlichen Alltag dar. Neben...
Die Diagnose der Zahnkaries zählt zu den primären Aufgaben des Zahnarztes und stellt eine...
Die deutsche Bevölkerung ergraut und dieser Prozess ist kein vorübergehendes Phänomen, sondern bedeutet in den kommenden Jahrzehnten eine...
Die deutsche Bevölkerung ergraut und dieser Prozess ist kein vorübergehendes Phänomen, sondern...
Da Sie der Verwendung von Google Maps nicht zustimmten, kann leider keine Karte angezeigt werden.
Haben Sie schon unseren Newsletter abonniert?
Um bei unserer Anwendung Formulare zu verwenden, benötigen wir die Zustimmung um einen Token für das Absenden zu setzen.
Datenschutz und Nutzungserlebnis
Wir übermitteln Daten an Drittanbieter, die uns helfen, unser Webangebot zu verbessern und zu finanzieren. In diesem Zusammenhang werden auch Nutzungsprofile gebildet und angereichert, auch außerhalb des Europäischen Wirtschaftsraumes. Hierfür und um bestimmte Dienste zu nachfolgend aufgeführten Zwecken verwenden zu dürfen, benötigen wir Ihre Einwilligung.
Indem Sie "Alle Cookies akzeptieren" klicken, stimmen Sie diesen (jederzeit widerruflich) zu.
Unter "Manuell auswählen" können Sie die Datenverarbeitung individuell personalisieren.
Unter "Nur notwendige akzeptieren" können Sie die Datenverarbeitung ablehnen.
Indem Sie "Speichern" klicken, stimmen Sie diesen (jederzeit widerruflich) zu.
Um Kartendaten in unserer Anwendung darzustellen, nutzen wir den Kartendienst Google Maps. Willigen Sie der Nutzung von Google Maps ein, werden ggf. personenbezogene Daten (Ihre IP-Adresse) von Google erhoben.
Einbinden von Google Maps erlauben
Einige unserer Videoinhalte (bspw. Livestream) werden über die Videoplattform Vimeo bereitgestellt.
Inhalte von Vimeo erlauben
Für ein besseres Benutzererlebnis können unsere Werbeanzeigen personalisiert werden. Um dies zu ermöglichen, wird das erstellen von Cookies vorausgesetzt. Sollten Sie diesem Dienst nicht zustimmen, werden Werbeanzeigen zufällig ausgeliefert.
Personalisierte Werbung erlauben
Um sich bei unserer Anwendung Formulare zu verwenden werden Tokens gesetzt die es uns ermöglichen Spam zu verhindern. Sollten Sie dies ausstellen, ist es Ihnen nicht mehr möglich sich bei uns anzumelden oder zu registrieren.
Anmeldeformulare absenden ermöglichen
Bei der Gestaltung unserer Anwendung benutzen wir Schriftarten von Adobe, diese werden über ein CDN geladen. Sollte Sie diesem Dienst nicht zustimmen wird die Standard Schrift des Systems benutzt. Außerdem könnte es zu Fehlern im allgemeinen Anwendungsdesign kommen.
Inhalte von Adobe erlauben
Sie können Ihre Auswahl jederzeit unter "Cookie-Einstellungen“ am Seitenende ändern.