Mit der regenerativen Parodontalbehandlung wird die Wiederherstellung des Zahnhalteapparates angestrebt. Neben Risikofaktoren ist für das Gelingen u.a. die Defektmorphologie bestimmend.
Immer mehr ältere Patienten legen Wert auf den Erhalt der eigenen Zähne. Welche Veränderungen gilt es speziell in diesem Arbeitsfeld zu berücksichtigen?
Immer mehr ältere Patienten legen Wert auf den Erhalt der eigenen Zähne. Welche Veränderungen...
Moderner Parodontaltherapie sollte gezielte und systematische Prophylaxe vorangegangen sein. Chirurgische Eingriffe sind in den meisten Fällen...
Moderner Parodontaltherapie sollte gezielte und systematische Prophylaxe vorangegangen sein....
Die Dauer der Wundheilung nach plastischer Parodontalchirurgie ist für den optimalen Zeitpunkt der nachfolgenden Behandlung, z.B. prothetischer...
Die Dauer der Wundheilung nach plastischer Parodontalchirurgie ist für den optimalen Zeitpunkt...
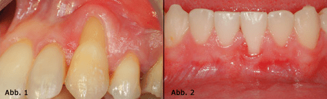
Nach gründlicher Patienten- und Defektselektion scheinen die besten und stabilsten Ergebnisse der Rezessionsdeckung durch die Verwendung eines...
Nach gründlicher Patienten- und Defektselektion scheinen die besten und stabilsten Ergebnisse...
Nekrotisierende Parodontalerkrankungen nehmen eine Sonderstellung unter den Erkrankungen des Zahnhalteapparats ein und erfordern rasche therapeutische...
Nekrotisierende Parodontalerkrankungen nehmen eine Sonderstellung unter den Erkrankungen des...
The American Dental Association has estimated that 80% of American adults have periodontal disease, including gingivitis.
The American Dental Association has estimated that 80% of American adults have periodontal...
Die DGZMK hat auf Initiative ihres Vorstandes einen bildgestützten Beratungsdienst für ihre Mitglieder eingerichtet und bietet Hilfe bei der...
Die DGZMK hat auf Initiative ihres Vorstandes einen bildgestützten Beratungsdienst für ihre...
DTI Chefredakteur Daniel Zimmermann sprach mit Prof. Rutger G. Persson, Forschungsleiter der Zahnmedizinischen Kliniken der Universität Bern.
DTI Chefredakteur Daniel Zimmermann sprach mit Prof. Rutger G. Persson, Forschungsleiter der...
Heute erleben die Autovaccine eine Renaissance, da viele Antibiotika ihre Wirkung durch Resistenzen einbüßen.
Heute erleben die Autovaccine eine Renaissance, da viele Antibiotika ihre Wirkung durch Resistenzen...
Parodontitis und Periimplantitis sind die Folge einer gestörten Wechselbeziehung zwischen der natürlichen Keimbesiedlung im Mund und dem Immunsystem.
Parodontitis und Periimplantitis sind die Folge einer gestörten Wechselbeziehung zwischen...
In der Kieferorthopädie hat die dento-faziale Ästhetik seit jeher einen hohen Stellenwert. Sie ist das entscheidende Behandlungsmotiv für...
In der Kieferorthopädie hat die dento-faziale Ästhetik seit jeher einen hohen Stellenwert....
Der ParoCheck nutzt die Entwicklungen in der Molekularbiologie und weist Markerorganismen der Parodontitis über einen Biochip nach.
Der ParoCheck nutzt die Entwicklungen in der Molekularbiologie und weist Markerorganismen der...
Instabile Parodontien sind nicht nur auf die historisch vorherrschende Meinung ungenügender Mundhygiene zurückzuführen, sondern müssen multifaktoriell...
Instabile Parodontien sind nicht nur auf die historisch vorherrschende Meinung ungenügender...
Worin der Unterschied des Einsatzes von Antibiotika und Antiseptika in der Allgemein- und Zahnmedizin besteht, wird im folgenden Beitrag von...
Worin der Unterschied des Einsatzes von Antibiotika und Antiseptika in der Allgemein- und Zahnmedizin...
Da Sie der Verwendung von Google Maps nicht zustimmten, kann leider keine Karte angezeigt werden.
Haben Sie schon unseren Newsletter abonniert?
Um bei unserer Anwendung Formulare zu verwenden, benötigen wir die Zustimmung um einen Token für das Absenden zu setzen.
Datenschutz und Nutzungserlebnis
Wir übermitteln Daten an Drittanbieter, die uns helfen, unser Webangebot zu verbessern und zu finanzieren. In diesem Zusammenhang werden auch Nutzungsprofile gebildet und angereichert, auch außerhalb des Europäischen Wirtschaftsraumes. Hierfür und um bestimmte Dienste zu nachfolgend aufgeführten Zwecken verwenden zu dürfen, benötigen wir Ihre Einwilligung.
Indem Sie "Alle Cookies akzeptieren" klicken, stimmen Sie diesen (jederzeit widerruflich) zu.
Unter "Manuell auswählen" können Sie die Datenverarbeitung individuell personalisieren.
Unter "Nur notwendige akzeptieren" können Sie die Datenverarbeitung ablehnen.
Indem Sie "Speichern" klicken, stimmen Sie diesen (jederzeit widerruflich) zu.
Um Kartendaten in unserer Anwendung darzustellen, nutzen wir den Kartendienst Google Maps. Willigen Sie der Nutzung von Google Maps ein, werden ggf. personenbezogene Daten (Ihre IP-Adresse) von Google erhoben.
Einbinden von Google Maps erlauben
Einige unserer Videoinhalte (bspw. Livestream) werden über die Videoplattform Vimeo bereitgestellt.
Inhalte von Vimeo erlauben
Einige Beiträge binden Inhalte von Instagram ein. Wenn Sie zustimmen, wird eine Verbindung zu Meta/Instagram aufgebaut und es können personenbezogene Daten wie Ihre IP-Adresse übertragen werden.
Inhalte von Instagram erlauben
Für ein besseres Benutzererlebnis können unsere Werbeanzeigen personalisiert werden. Um dies zu ermöglichen, wird das erstellen von Cookies vorausgesetzt. Sollten Sie diesem Dienst nicht zustimmen, werden Werbeanzeigen zufällig ausgeliefert.
Personalisierte Werbung erlauben
Um sich bei unserer Anwendung Formulare zu verwenden werden Tokens gesetzt die es uns ermöglichen Spam zu verhindern. Sollten Sie dies ausstellen, ist es Ihnen nicht mehr möglich sich bei uns anzumelden oder zu registrieren.
Anmeldeformulare absenden ermöglichen
Bei der Gestaltung unserer Anwendung benutzen wir Schriftarten von Adobe, diese werden über ein CDN geladen. Sollte Sie diesem Dienst nicht zustimmen wird die Standard Schrift des Systems benutzt. Außerdem könnte es zu Fehlern im allgemeinen Anwendungsdesign kommen.
Inhalte von Adobe erlauben
Sie können Ihre Auswahl jederzeit unter "Cookie-Einstellungen“ am Seitenende ändern.