Branchenmeldungen 22.03.2024
Patientenberatung: Was tun bei Molaren-Inzisiven-Hypomineralisation?
share
Die Molaren-Inzisiven-Hypomineralisation (MIH) ist seit mehreren Jahren ein Dauerthema in Fachkreisen. Was man dazu wissen sollte, umreißt dieser Artikel.
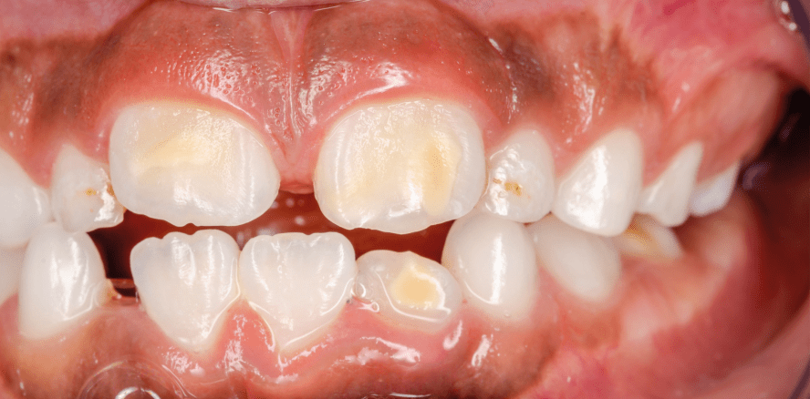
Die MIH stellt eine entwicklungsbedingte Erkrankung der Zahnhartsubstanz dar, die durch qualitative Schmelzdefekte in Form verringert mineralisierter, fehlstrukturierter Schmelzanteile gekennzeichnet ist. Diese führen in der einfachsten Form zu weißlichen Opazitäten, bräunlichen Verfärbungen oder Porositäten in schwereren Verlaufsformen, aber auch zu fortschreitenden Schmelzaus- und -abbrüchen bis hin zu umfangreichen Abrasionen. Häufig leiden die betroffenen Kinder unter ausgeprägten Hypersensibilitäten bis hin zu eingeschränkt möglicher, sehr schmerzhafter Mundhygiene und unter Umständen rasch fortschreitender Karies. Zumeist sind die (ersten) Molaren und klassischerweise auch (gehäuft) die oberen mittleren Frontzähne betroffen. Im Oberkiefer ist das Krankheitsbild häufiger als im Unterkiefer, jedoch können jüngst auch andere Zähne (seitliche Schneidezähne, Eckzähne, 2. Molaren) und auch bereits Milchzähne betroffen sein.
Begrifflichkeit
Der Begriff MIH wurde erst im Jahr 2001 auf der Jahrestagung der European Academy of Paediatric Dentistry vorgeschlagen und wird seitdem einheitlich verwendet. Die Prävalenzdaten schwanken in den Europäischen Ländern teilweise sehr, man geht davon aus, dass in Deutschland zwischen vier und 14 Prozent (circa sechs Prozent mit schwerer Verlaufsform), schließt man weißliche Opazitäten ein, bis 28 Prozent der Kinder betroffen sind.
 ApaCare Repair ist eine Intensiv-Zahnpflegepaste zur Reparatur von Zahnschmelzdefekten und Kreidezähnen (MIH), beginnender Karies, Unterstützung der Rückbildung von Zahnschmelzflecken, zur nachhaltigen Behandlung von Zahnempfindlichkeiten sowie zur Zahnaufhellung. © Cumdente
ApaCare Repair ist eine Intensiv-Zahnpflegepaste zur Reparatur von Zahnschmelzdefekten und Kreidezähnen (MIH), beginnender Karies, Unterstützung der Rückbildung von Zahnschmelzflecken, zur nachhaltigen Behandlung von Zahnempfindlichkeiten sowie zur Zahnaufhellung. © Cumdente
Ursachen
Die Ursachen sind bis heute unklar, auch wenn jüngst Zusammenhänge zu Medikamenten wie Antibiotika oder Erkrankungen des Respirationstraktes (auch bereits während der Schwangerschaft) beschrieben werden. Andere Thesen sehen ursächlich Zusammenhänge zu frühkindlichen Infektionserkrankungen mit häufigen Fieberschüben, Windpocken, Umweltbedingungen (Schadstoffe, Weichmacher usw. Ein vermuteter Zusammenhang zu Bisphenol-A-Aufnahme hat sich bisher nicht bestätigt).
Frühe Intervention
Betroffene Kinder und Eltern sollten möglichst frühzeitig zahnärztlichen Rat in Anspruch nehmen. Für die häusliche Zahnpflege sollte eine fluoridhaltige Zahnpasta (ab dem 6. Lebensjahr mit mindestens 1.400 ppm Fluorid) mit mittleren Abrasionswerten (RDA-Wert bis 70, 80), ggf. in Kombination mit einer weichen Zahnbürste verwendet werden. Die Kombination mit Hydroxylapatit-Mineralien in der Zahnpasta hat sich sehr bewährt.
Bei Hypersensibilitäten oder zur Unterstützung der Rückbildung von weißlichen Verfärbungen oder Initialkaries empfiehlt sich die dauerhafte, regelmäßige Verwendung von Hydroxylapatit-haltigen „Reparaturpasten“ (ApaCare Repair) am besten mittels einer vom Zahnarzt hergestellten Zahnschiene. Für die akute Anwendung über 14 Tage gibt es einen mineralisierenden Zahnlack für die Heimanwendung (ApaCare Zahnlack Pinselflasche). Bei regelmäßiger Anwendung reduzieren sich die Hypersensibilitäten zumeist rasch und das zusätzliche bioverfügbare Kalzium und Phosphat aus der Reparaturpaste und dem Lack begünstigen die weitere Schmelzreifung bis weit über die Pubertät hinaus. Dies kann zusätzlich durch regelmäßiges Kauen von kalziummineralhaltigen Kaugummis auf Xylitol-Basis unterstützt werden.
Bei schweren Fällen …
Bei großflächigen Defekten oder irreversibler Karies sollte frühzeitig eine minimalinvasive, defektorientierte (wenn möglich kleinflächige), adhäsive Kompositfüllung mit modernen Haftvermittlern an der Zahnhartsubstanz durchgeführt werden. Überkronungen bei Kindern haben in der Regel nur eine eingeschränkte Prognose und sollten sehr zurückhaltend in Erwägung gezogen werden. In sehr seltenen, besonders schweren Fällen kann als „letzte“ Maßnahme die Entfernung der betroffenen ersten Molaren mit anschließendem kieferorthopädischen Lückenschluss in Erwägung gezogen werden, dies insbesondere dann, wenn ohnehin ein Platzmangel mit der Indikation für eine kieferorthopädische Behandlung besteht.
Weitere Informationen auf: www.cumdente.de
Dieser Beitrag ist in der ZWP Zahnarzt Wirtschaft Praxis erschienen.
 
                             
                                         
                                                                     
                                 
                                 
                                 
                         
                         
                         
                         
                        