 
            
        
         
                         
            
        
         
            
        
         
            
        
         
            
        
         
            
        
         
    
            
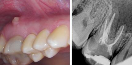
        Jahr 2020, Ausgabe 02, Seite 6 Autoren: Drs Mina Mazandarani, Maziar Mir & Masoud Shabani, Iran; Prof. Norbert Gutknecht, Germany
ePaper | PDF 
    
            
        Jahr 2020, Ausgabe 02, Seite 3 Autoren: Prof. Dr Norbert Gutknecht
ePaper | PDF 
    
            
        Jahr 2019, Ausgabe 04, Seite 3 Autoren: Prof. Dr Norbert Gutknecht
ePaper | PDF 
    
            
        Jahr 2019, Ausgabe 03, Seite 28 Autoren: Dr Maziar Mir & Prof. Norbert Gutknecht, Germany
ePaper | PDF 
    
            
        Jahr 2019, Ausgabe 02, Seite 18 Autoren: Dr Maziar Mir, Prof. Norbert Gutknecht, Dr Masoud Mojahedi, Germany; Dr Jan Tunér, Sweden & Dr Masoud Shabani, Iran
ePaper | PDF 
    
            
        Jahr 2019, Ausgabe 02, Seite 4 Autoren: Dr Maziar Mir, Prof. Norbert Gutknecht, Dr Masoud Mojahedi, Dr Jan Tunér & Dr Masoud Shabani
ePaper | PDF 
    
            
        Jahr 2019, Ausgabe 01, Seite 26 Autoren: Georg Isbaner, Prof. Dr Norbert Gutknecht
ePaper | PDF 
    
            
        Jahr 2019, Ausgabe 01, Seite 6 Autoren: Dr Maziar Mir, Prof. Norbert Gutknecht, Dr Masoud Mojahedi, Germany; Dr Jan Tunér, Sweden; Prof. Ramin Mosharraf, Sevda Noori & Dr Masoud Shabani, Iran
ePaper | PDF 
    
            
        Jahr 2019, Ausgabe 01, Seite 4 Autoren: Dr Maziar Mir, Prof. Norbert Gutknecht, Dr Masoud Mojahedi, Dr Jan Tunér, Prof. Ramin Mosharraf, Sevda Noori & Dr Masoud Shabani
ePaper | PDF 
    
            
        Jahr 2019, Ausgabe 01, Seite 3 Autoren: Prof. Dr Norbert Gutknecht
ePaper | PDF 
    
            
        Jahr 2018, Ausgabe 04, Seite 35 Autoren: Prof. Dr. Norbert Gutknecht
ePaper | PDF 
    
            
        Jahr 2018, Ausgabe 04, Seite 3 Autoren: Prof. Dr Norbert Gutknecht
ePaper | PDF 
    
            
        Jahr 2018, Ausgabe 03, Seite 37 Autoren: Prof. Dr. Norbert Gutknecht
ePaper | PDF 
    
            
        Jahr 2018, Ausgabe 03, Seite 3 Autoren: Prof. Dr Norbert Gutknecht
ePaper | PDF 
    
            
        Jahr 2018, Ausgabe 02, Seite 36 Autoren: Prof. Dr. Norbert Gutknecht
ePaper | PDF 
    
            
        Jahr 2017, Ausgabe 04, Seite 46 Autoren: Prof. Dr. Norbert Gutknecht, Dr. Dimitris Strakas, Leon Vanweersch & Dr. Stefan Grümer
ePaper | PDF 
    
            
        Jahr 2017, Ausgabe 04, Seite 45 Autoren: Prof. Dr. Norbert Gutknecht
ePaper | PDF 
    
            
        Jahr 2017, Ausgabe 04, Seite 40 Autoren: Prof. Dr Norbert Gutknecht, Dr Dimitris Strakas, Leon Vanweersch & Dr Stefan Grümer, Greece & Germany
ePaper | PDF 
    
            
        Jahr 2017, Ausgabe 04, Seite 3 Autoren: Prof. Dr Norbert Gutknecht
ePaper | PDF 
    
            
        Jahr 2017, Ausgabe 02, Seite 45 Autoren: Prof. Dr Norbert Gutknecht
ePaper | PDF 
    
            
        Jahr 2017, Ausgabe 02, Seite 10 Autoren: Dr Maziar Mir, Prof. Dr Norbert Gutknecht, Dr Masoud Mojahedi, Dr Jan Tunér &
ePaper | PDF 
    
            
        Jahr 2017, Ausgabe 02, Seite 3 Autoren: Prof. Dr Norbert Gutknecht
ePaper | PDF 
    
            
        Jahr 2017, Ausgabe 01, Seite 21 Autoren: Prof. Dr. Norbert Gutknecht
ePaper | PDF 
    
            
        Jahr 2016, Ausgabe 04, Seite 43 Autoren: Prof. Dr Norbert Gutknecht
ePaper | PDF 
    
            
        Jahr 2016, Ausgabe 04, Seite 3 Autoren: Prof. Dr Norbert Gutknecht
ePaper | PDF 
    
            
        Jahr 2016, Ausgabe 03, Seite 39 Autoren: Prof. Dr. Norbert Gutknecht
ePaper | PDF 
    
            
        Jahr 2016, Ausgabe 03, Seite 14 Autoren: Dr Miguel Rodrigues Martins, Prof. Dr Manuel Fontes Carvalho, Prof. Dr Irene Pina-Vaz, Prof. Dr Miguel André Martins & Prof. Dr Norbert Gutknecht, Portugal/Germany
ePaper | PDF 
    
            
        Jahr 2016, Ausgabe 03, Seite 3 Autoren: Prof. Dr Norbert Gutknecht
ePaper | PDF 
    
            
        Jahr 2016, Ausgabe 01, Seite 12 Autoren: Dr Ana Catarina Nogueira da Silva, Prof. Paulo Ribeiro Melo, Prof. Sofia Arantes Oliveira, rof. Norbert Gutknecht, Portugal, Germany
ePaper | PDF 
    
            
        Jahr 2015, Ausgabe 04, Seite 43 Autoren: Prof. Dr. Norbert Gutknecht
ePaper | PDF 
    
            
        Jahr 2015, Ausgabe 04, Seite 10 Autoren: Dr Maziar Mir, Prof. Norbert Gutknecht, Dr Masoud Mojahedi, Dr Jan Tunér, Prof. Ramin Mosharraf & Dr Masoud Shabani, Germany, Sweden, Iran
ePaper | PDF 
    
            
        Jahr 2015, Ausgabe 04, Seite 3 Autoren: Prof. Dr Norbert Gutknecht
ePaper | PDF 
    
            
        Jahr 2015, Ausgabe 03, Seite 35 Autoren: Prof. Dr. Norbert Gutknecht, DGL-Präsident
ePaper | PDF 
    
            
        Jahr 2015, Ausgabe 03, Seite 3 Autoren: Prof. Dr Norbert Gutknecht, Editor-in-Chief
ePaper | PDF 
    
            
        Jahr 2015, Ausgabe 02, Seite 43 Autoren: Prof. Dr Norbert Gutknecht
ePaper | PDF 
    
            
        Jahr 2015, Ausgabe 02, Seite 20 Autoren: Dr Maziar Mir, Prof. Norbert Gutknecht, Dr Masoud Mojahedi, Dr Jan Tunér, Prof. Ramin Mosharraf & Dr Masoud Shabani, Germany, Sweden & Iran
ePaper | PDF 
    
            
        Jahr 2015, Ausgabe 02, Seite 3 Autoren: Prof. Norbert Gutknecht
ePaper | PDF 
    
            
        Jahr 2015, Ausgabe 01, Seite 45 Autoren: Prof. Dr Norbert Gutknecht, Editor-in-Chief
ePaper | PDF 
    
            
        Jahr 2015, Ausgabe 01, Seite 3 Autoren: Prof. Dr Norbert Gutknecht, Editor-in-Chief
ePaper | PDF 
    
            
        Jahr 2014, Ausgabe 04, Seite 10 Autoren: Prof. Ass. Merita Bardhoshi, Prof. Dr Norbert Gutknecht, Prof. Ass. Edit Xhajanka, Dr Esat Bardhoshi, Dr Alketa Qafmolla, Dritan Gjini & Elda Gjini, Albania & Germany
ePaper | PDF 
    
            
        Jahr 2014, Ausgabe 04, Seite 3 Autoren: Prof. Dr Norbert Gutknecht, Editor-in-Chief
ePaper | PDF 
    
            
        Jahr 2014, Ausgabe 03, Seite 3 Autoren: Prof. Dr Norbert Gutknecht
ePaper | PDF 
    
            
        Jahr 2014, Ausgabe 03, Seite 3 Autoren: Prof. Dr. Norbert Gutknecht, Präsident der DGL
ePaper | PDF 
    
            
        Jahr 2014, Ausgabe 02, Seite 3 Autoren: Prof. Dr Norbert Gutknecht, Editor and CEO WFLD
ePaper | PDF 
    
            
        Jahr 2014, Ausgabe 02, Seite 43 Autoren: Prof. Dr. Norbert Gutknecht
ePaper | PDF 
    
            
        Jahr 2014, Ausgabe 02, Seite 3 Autoren: Prof. Dr. Norbert Gutknecht, DGL-Präsident
ePaper | PDF 
    
            
        Jahr 2014, Ausgabe 06, Seite 6 Autoren: Interview mit Prof. Dr. Norbert Gutknecht, Präsident der DGL
ePaper | PDF 
    
            
        Jahr 2014, Ausgabe 06, Seite 6 Autoren: Prof. Dr. Norbert Gutknecht im Gespräch
ePaper | PDF 
    
            
        Jahr 2014, Ausgabe 06, Seite 6 Autoren: Prof. Dr. Norbert Gutknecht im Gespräch
ePaper | PDF 
    
            
        Jahr 2014, Ausgabe 01, Seite 10 Autoren: Dr Merita Bardhoshi, Prof. Dr Norbert Gutknecht, Dr Esat Bardhoshi, Dr Alketa Qafmolla, Dr Edit Xhajanka & Dr Neada Hysenaj, Albania & Germany
ePaper | PDF 
    
            
        Jahr 2014, Ausgabe 01, Seite 3 Autoren: Prof. Dr Norbert Gutknecht, Editor-in-Chief
ePaper | PDF 
    
            
        Jahr 2014, Ausgabe 01, Seite 3 Autoren: Prof. Dr. Norbert Gutknecht, DGL-Präsident
ePaper | PDF 
    
            
        Jahr 2014, Ausgabe 01, Seite 6 Autoren: Miguel Rodrigues Martins, Manuel Fontes Carvalho, Irene Pina-Vaz, José Capelas, Miguel André Martins, Prof. Dr. Norbert Gutknecht
ePaper | PDF 
    
            
        Jahr 2013, Ausgabe 04, Seite 10 Autoren: Miguel Rodrigues Martins, Manuel Fontes Carvalho, Irene Pina-Vaz, José Capelas, Miguel André Martins, Portugal & Norbert Gutknecht, Germany
ePaper | PDF 
    
            
        Jahr 2013, Ausgabe 04, Seite 3 Autoren: Prof. Dr Norbert Gutknecht, Editor-in-Chief
ePaper | PDF 
    
            
        Jahr 2013, Ausgabe 04, Seite 6 Autoren: Miguel Rodrigues Martins, Manuel Fontes Carvalho, Irene Pina-Vaz, José Capelas, Miguel André Martins, Prof. Dr. Norbert Gutknecht
ePaper | PDF 
    
            
        Jahr 2013, Ausgabe 04, Seite 3 Autoren: Prof. Dr. Norbert Gutknecht
ePaper | PDF 
    
            
        Jahr 2013, Ausgabe 02, Seite 3 Autoren: Prof. Dr Norbert Gutknecht, Editor-in-Chief
ePaper | PDF 
    
            
        Jahr 2013, Ausgabe 02, Seite 3 Autoren: Norbert Gutknecht
ePaper | PDF 
    
            
        Jahr 2012, Ausgabe 03, Seite 3 Autoren: Prof Dr Norbert Gutknecht
ePaper | PDF 
    
            
        Jahr 2012, Ausgabe 02, Seite 38 Autoren: Dajana Mischke/Leipzig sparch mit Prof. Dr. Norbert Gutknecht/Aachen
ePaper | PDF 
    
            
        Jahr 2012, Ausgabe 01, Seite 3 Autoren: Prof Dr Norbert Gutknecht, Editor-in-Chief
ePaper | PDF 
    
            
        Jahr 2011, Ausgabe 04, Seite 26 Autoren: Dr Maziar Mir, Dr Surena Vahabi, Dr Shahrzad Jalali, Dr Bahram Kazemi, Dr Susanne F. de Haar,Dr Gholam Hossein Ramezani, Prof Dr Friedrich Lampert and Prof Dr Norbert Gutknecht
ePaper | PDF 
    
            
        Jahr 2011, Ausgabe 04, Seite 3 Autoren: Prof Dr Norbert Gutknecht, WFLD President and Editor-in-Chief
ePaper | PDF 
    
            
        Jahr 2011, Ausgabe 03, Seite 3 Autoren: Prof Norbert Gutknecht, Editor-in-Chief
ePaper | PDF 
    
            
        Jahr 2011, Ausgabe 03, Seite 38 Autoren: Kristin Urban/Leipzig sprach mit Prof. Norbert Gutknecht
ePaper | PDF 
    
            
        Jahr 2011, Ausgabe 02, Seite 42 Autoren: Kristin Urban sprach mit Prof. Dr. Norbert Gutknecht
ePaper | PDF 
    
            
        Jahr 2011, Ausgabe 01, Seite 3 Autoren: Prof Dr Norbert Gutknecht, WFLD President, Editor-in-Chief
ePaper | PDF 
    
            
        Jahr 2011, Ausgabe 01, Seite 42 Autoren: An interview with Prof Dr Norbert Gutknecht
ePaper | PDF 
    
            
        Jahr 2011, Ausgabe 01, Seite 3 Autoren: Prof Dr Norbert Gutknecht, WFLD President, Editor-in-Chief
ePaper | PDF 
    
            
        Jahr 2011, Ausgabe 01, Seite 49 Autoren: Kristin Urban/Leipzig sprach mit Prof. Dr. Norbert Gutknecht
ePaper | PDF 
    
            
        Jahr 2010, Ausgabe 04, Seite 10 Autoren: Eyad Hamade, Rwaida Saimeh, Mina Mazandarani, Maziar Mir/UAE, Norbert Gutknecht/Germany
ePaper | PDF 
    
            
        Jahr 2010, Ausgabe 04, Seite 3 Autoren: Prof Dr Norbert Gutknecht, Editor-in-Chief
ePaper | PDF 
    
            
        Jahr 2010, Ausgabe 06, Seite 10 Autoren: Prof. Dr. med. dent. Norbert Gutknecht
ePaper | PDF 
    
            
        Jahr 2010, Ausgabe 03, Seite 3 Autoren: Prof. Dr. Norbert Gutknecht, President of DGL
ePaper | PDF 
    
            
        Jahr 2010, Ausgabe 01, Seite 3 Autoren: Prof Dr Norbert Gutknecht, Editor-in-Chief
ePaper | PDF 
    
            
        Jahr 2009, Ausgabe 01, Seite 36 Autoren: An interview with Prof Dr Norbert Gutknecht
ePaper | PDF 
    
            
        Jahr 2009, Ausgabe 01, Seite 3 Autoren: Prof Dr Norbert Gutknecht, WFLD President, Editor-in-Chief
ePaper | PDF 
    
            
        Jahr 2009, Ausgabe 02, Seite 34 Autoren: An interview with Prof Dr Norbert Gutknecht
ePaper | PDF 
    
            
        Jahr 2009, Ausgabe 02, Seite 6 Autoren: Norbert Gutknecht, Parastoo Raoufi, RenŽ Franzen, Friedrich Lampert, Germany
ePaper | PDF 
    
            
        Jahr 2009, Ausgabe 02, Seite 3 Autoren: Prof Dr Norbert Gutknecht, WFLD President and Editor-in-Chief - Laser-magazine
ePaper | PDF 
    
            
        Jahr 2009, Ausgabe 03, Seite 12 Autoren: Prof. Dr. Norbert Gutknecht, Dr. Maziar Mir, Dr. Frank Bäumchen/Aachen
ePaper | PDF 
    
            
        Jahr 2009, Ausgabe 03, Seite 14 Autoren: Norbert Gutknecht, RenŽ Franzen, Friedrich Lampert, Germany
ePaper | PDF 
    
            
        Jahr 2009, Ausgabe 04, Seite 12 Autoren: Prof. Dr. med. dent. Norbert Gutknecht, Dr. med. dent. Ingo Brockmann, Dr. rer. nat. Jörg Meister, Dr. rer. medic. RenŽ Franzen/Aachen
ePaper | PDF 
    
            
        Jahr 2009, Ausgabe 04, Seite 12 Autoren: Anastasios Manos,Greece, Norbert Gutknecht, Germany
ePaper | PDF 
    
            
        Jahr 2009, Ausgabe 04, Seite 3 Autoren: Prof Dr Norbert Gutknecht, WFLD President, Editor-in-Chief
ePaper | PDF 
    
            
        Jahr 2009, Ausgabe 06, Seite 10 Autoren: Prof. Dr. Norbert Gutknecht ZPP, RWTH Aachen Klinikum
ePaper | PDF 
        
        
         
        
        
         
        
        
         
        
        
         
        
        
         
        
        
         
        
        
         
        
        
         
        
        
         
        
        
         
        
        
         
        
        
         
        
        
         
        
        
         
        
        
         
        
        
         
        
        
         
        
        
         
        
        
         
        
        
         
        
        
         
        
        
         
        
        
         
        
        
         
        
        
         
        
        
         
        
        
         
        
        
         
        
        
         
        
        
         
        
        
         
        
        
         
        
        
         
        
        
         
        
        
         
        
        
        Wir übermitteln Daten an Drittanbieter, die uns helfen, unser Webangebot zu verbessern und zu finanzieren. In diesem Zusammenhang werden auch Nutzungsprofile gebildet und angereichert, auch außerhalb des Europäischen Wirtschaftsraumes. Hierfür und um bestimmte Dienste zu nachfolgend aufgeführten Zwecken verwenden zu dürfen, benötigen wir Ihre Einwilligung.
Um Kartendaten in unserer Anwendung darzustellen, nutzen wir den Kartendienst Google Maps. Willigen Sie der Nutzung von Google Maps ein, werden ggf. personenbezogene Daten (Ihre IP-Adresse) von Google erhoben.
Einbinden von Google Maps erlaubenEinige unserer Videoinhalte (bspw. Livestream) werden über die Videoplattform Vimeo bereitgestellt.
Inhalte von Vimeo erlaubenFür ein besseres Benutzererlebnis können unsere Werbeanzeigen personalisiert werden. Um dies zu ermöglichen, wird das erstellen von Cookies vorausgesetzt. Sollten Sie diesem Dienst nicht zustimmen, werden Werbeanzeigen zufällig ausgeliefert.
Personalisierte Werbung erlaubenUm sich bei unserer Anwendung Formulare zu verwenden werden Tokens gesetzt die es uns ermöglichen Spam zu verhindern. Sollten Sie dies ausstellen, ist es Ihnen nicht mehr möglich sich bei uns anzumelden oder zu registrieren.
Anmeldeformulare absenden ermöglichenBei der Gestaltung unserer Anwendung benutzen wir Schriftarten von Adobe, diese werden über ein CDN geladen. Sollte Sie diesem Dienst nicht zustimmen wird die Standard Schrift des Systems benutzt. Außerdem könnte es zu Fehlern im allgemeinen Anwendungsdesign kommen.
Inhalte von Adobe erlauben