Tiefe kariöse Läsionen zählen zu den wesentlichen Ursachen für Wurzelkanalbehandlungen oder Zahnverlust. Die Entscheidung zwischen vitalerhaltenden Maßnahmen und einer Pulpektomie ist aufgrund des breiten Spektrums pulparer Entzündungsreaktionen häufig erschwert. Neuere wissenschaftliche Erkenntnisse stellen die traditionelle Wurzelkanalbehandlung zunehmend infrage und rücken vitalerhaltende Therapieansätze in den Fokus.
Eine 40-jährige Patientin wurde von ihrem HNO-Arzt in unsere Praxis für Mund-, Kiefer- und Gesichtschirurgie überwiesen. Die Überweisung...
Eine 40-jährige Patientin wurde von ihrem HNO-Arzt in unsere Praxis für Mund-, Kiefer- und...
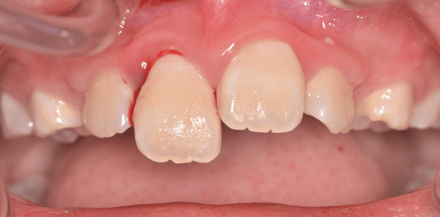
Das dentale Trauma stellt Zahnärztinnen und Zahnärzte in der Praxis immer wieder vor mehr oder weniger große Herausforderungen. Dies liegt...
Das dentale Trauma stellt Zahnärztinnen und Zahnärzte in der Praxis immer wieder vor mehr...
Musikveranstaltungen sind nicht nur ein Ort der Unterhaltung, sie bergen auch ein nicht unerhebliches Verletzungsrisiko. Dentoalveoläre und...
Musikveranstaltungen sind nicht nur ein Ort der Unterhaltung, sie bergen auch ein nicht unerhebliches...
Die externe invasive zervikale Resorption (engl. external cervical resorption, ECR) ist mit einer Prävalenz von 0,02 bis 2,3 Prozent eine seltene...
Die externe invasive zervikale Resorption (engl. external cervical resorption, ECR) ist mit...
In diesem Beitrag werden die Relevanz und Erkenntnisse klinisch etablierter sowie experimenteller Möglichkeiten der Bildgebung für die zahlreichen...
In diesem Beitrag werden die Relevanz und Erkenntnisse klinisch etablierter sowie experimenteller...
Geht es um endodontische Misserfolge, ist einem eine klare Ursache am liebsten. Dabei geht es in diesen Fällen häufig um insuffiziente Wurzelfüllungen....
Geht es um endodontische Misserfolge, ist einem eine klare Ursache am liebsten. Dabei geht...
In zahlreichen Studien wurde die Überlegenheit der dreidimensionalen Bildtechnik gegenüber der standardmäßigen Zahnfilmaufnahme oder Panoramaschichtaufnahme...
In zahlreichen Studien wurde die Überlegenheit der dreidimensionalen Bildtechnik gegenüber...
Der Erfolg einer Wurzelkanalbehandlung hängt von vielen Faktoren ab: Einer ist die exakte Bestimmung der Anzahl der Wurzelkanäle. Für die...
Der Erfolg einer Wurzelkanalbehandlung hängt von vielen Faktoren ab: Einer ist die exakte...
Der vorliegende Fallbericht zeigt, wie durch dreidimensionale Bildgebung bereits im Vorfeld einer endodontischen Behandlung wichtige Informationen...
Der vorliegende Fallbericht zeigt, wie durch dreidimensionale Bildgebung bereits im Vorfeld...
Optische Vergrößerungshilfen sind in der modernen Zahnmedizin kaum noch wegzudenken. Der Nutzen ermöglicht in fast allen Fachrichtungen einen...
Optische Vergrößerungshilfen sind in der modernen Zahnmedizin kaum noch wegzudenken. Der...
Die Einführung der digitalen (dentalen) Volumentomografie in die tägliche Praxis hat in der Zahnmedizin und besonders bei der endodontischen...
Die Einführung der digitalen (dentalen) Volumentomografie in die tägliche Praxis hat in der...
Dieser Patientenfall beschreibt die Möglichkeit, wie durch endodontische Therapie Zähne erhalten werden, diese aber auch gleichzeitig zu wertvollen...
Dieser Patientenfall beschreibt die Möglichkeit, wie durch endodontische Therapie Zähne erhalten...
Wie bedeutsam die digitale Volumentomografe (DVT) für die Befundung in der Endodontie sein kann, wird klar, wenn man postendodontische Erkrankungen...
Wie bedeutsam die digitale Volumentomografe (DVT) für die Befundung in der Endodontie sein...
Mit der Transreplantation können extrem gelockerte und elongierte Zähne in die ansonsten (oft) unversehrte Zahnreihe zurückgesetzt und stabilisiert...
Mit der Transreplantation können extrem gelockerte und elongierte Zähne in die ansonsten...
Da Sie der Verwendung von Google Maps nicht zustimmten, kann leider keine Karte angezeigt werden.
Haben Sie schon unseren Newsletter abonniert?
Um bei unserer Anwendung Formulare zu verwenden, benötigen wir die Zustimmung um einen Token für das Absenden zu setzen.
Datenschutz und Nutzungserlebnis
Wir übermitteln Daten an Drittanbieter, die uns helfen, unser Webangebot zu verbessern und zu finanzieren. In diesem Zusammenhang werden auch Nutzungsprofile gebildet und angereichert, auch außerhalb des Europäischen Wirtschaftsraumes. Hierfür und um bestimmte Dienste zu nachfolgend aufgeführten Zwecken verwenden zu dürfen, benötigen wir Ihre Einwilligung.
Indem Sie "Alle Cookies akzeptieren" klicken, stimmen Sie diesen (jederzeit widerruflich) zu.
Unter "Manuell auswählen" können Sie die Datenverarbeitung individuell personalisieren.
Unter "Nur notwendige akzeptieren" können Sie die Datenverarbeitung ablehnen.
Indem Sie "Speichern" klicken, stimmen Sie diesen (jederzeit widerruflich) zu.
Um Kartendaten in unserer Anwendung darzustellen, nutzen wir den Kartendienst Google Maps. Willigen Sie der Nutzung von Google Maps ein, werden ggf. personenbezogene Daten (Ihre IP-Adresse) von Google erhoben.
Einbinden von Google Maps erlauben
Einige unserer Videoinhalte (bspw. Livestream) werden über die Videoplattform Vimeo bereitgestellt.
Inhalte von Vimeo erlauben
Einige Beiträge binden Inhalte von Instagram ein. Wenn Sie zustimmen, wird eine Verbindung zu Meta/Instagram aufgebaut und es können personenbezogene Daten wie Ihre IP-Adresse übertragen werden.
Inhalte von Instagram erlauben
Für ein besseres Benutzererlebnis können unsere Werbeanzeigen personalisiert werden. Um dies zu ermöglichen, wird das erstellen von Cookies vorausgesetzt. Sollten Sie diesem Dienst nicht zustimmen, werden Werbeanzeigen zufällig ausgeliefert.
Personalisierte Werbung erlauben
Um sich bei unserer Anwendung Formulare zu verwenden werden Tokens gesetzt die es uns ermöglichen Spam zu verhindern. Sollten Sie dies ausstellen, ist es Ihnen nicht mehr möglich sich bei uns anzumelden oder zu registrieren.
Anmeldeformulare absenden ermöglichen
Bei der Gestaltung unserer Anwendung benutzen wir Schriftarten von Adobe, diese werden über ein CDN geladen. Sollte Sie diesem Dienst nicht zustimmen wird die Standard Schrift des Systems benutzt. Außerdem könnte es zu Fehlern im allgemeinen Anwendungsdesign kommen.
Inhalte von Adobe erlauben
Sie können Ihre Auswahl jederzeit unter "Cookie-Einstellungen“ am Seitenende ändern.