Der Kieferorthopäde Dr. Stefan Peylo erläutert in seinem Beitrag den Einsatz digitaler Modelle und 3D-Drucktechnologien für die Herstellung von Übertragungsschablonen zum indirekten Kleben von Brackets.
Anhand eines Fallbeispiels erläutern die Autoren, wie sie einer Patientin zu besserer Ästhetik bei gleichzeitig optimaler Funktion verholfen...
Anhand eines Fallbeispiels erläutern die Autoren, wie sie einer Patientin zu besserer Ästhetik...
Im Folgenden werden die Ergebnisse einer neuen Studie vorgestellt, in der das Ausmaß der dentalen Kippung und die Art der Zahnbewegung bei einem...
Im Folgenden werden die Ergebnisse einer neuen Studie vorgestellt, in der das Ausmaß der dentalen...
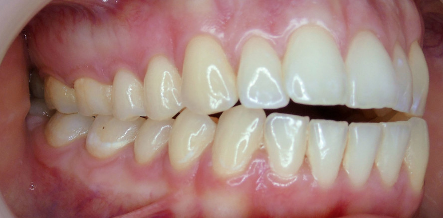
Die 17-jährige Patientin befand sich in anderen Praxen bereits seit einem Jahr in Behandlung mit Multiband-Apparaturen. Es war geplant, die...
Die 17-jährige Patientin befand sich in anderen Praxen bereits seit einem Jahr in Behandlung...
Bei der Patientin war das Merkmal der passiven, überspannten Oberlippe mit Grübchenbildung deutlich zu erkennen. Was liegt anderes nahe, als...
Bei der Patientin war das Merkmal der passiven, überspannten Oberlippe mit Grübchenbildung...
Im Jahr 2017 stellte sich die 27-jährige Patientin in meiner kieferorthopädischen Praxis in Frankfurt vor, in der ich ausschließlich Alignertechniken...
Im Jahr 2017 stellte sich die 27-jährige Patientin in meiner kieferorthopädischen Praxis...
Den Wunsch nach einer unauffälligen, praktisch „unsichtbaren“ Zahnkorrektur haben viele Menschen mit einer Zahnfehlstellung. Eine moderne...
Den Wunsch nach einer unauffälligen, praktisch „unsichtbaren“ Zahnkorrektur haben viele...
Eine neue Studie untersucht das Ausmaß der Korrektur von Kreuzbissen mit posteriorem Kreuzbiss. Dabei wird der Einsatz VILA zur nichtchirurgischen...
Eine neue Studie untersucht das Ausmaß der Korrektur von Kreuzbissen mit posteriorem Kreuzbiss....
Die Therapie von Dysgnathien bei Patienten im Erwachsenenalter nimmt einen stetig wachsenden Raum im kieferorthopädischen Behandlungsspektrum...
Die Therapie von Dysgnathien bei Patienten im Erwachsenenalter nimmt einen stetig wachsenden...
Im Erwachsenenalter stellen komplexe Zahn- und Kieferfehlstellungen, die in Kombination mit funktionellen Störungen und multiplem Zahnverlust...
Im Erwachsenenalter stellen komplexe Zahn- und Kieferfehlstellungen, die in Kombination mit...
Seit nunmehr bereits über 20 Jahren besteht die Möglichkeit, Zähne mithilfe industriell hergestellter serieller Aligner zu bewegen. Mittlerweile...
Seit nunmehr bereits über 20 Jahren besteht die Möglichkeit, Zähne mithilfe industriell...
Das Gaumenimplantat hat aus mechanischer Sicht Vorteile gegenüber den Mini-Implantaten (Mini-Schrauben). Im zweiten Teil dieses Artikels wird...
Das Gaumenimplantat hat aus mechanischer Sicht Vorteile gegenüber den Mini-Implantaten (Mini-Schrauben)....
Als ästhetische Alternative zu kieferorthopädischen Brackets werden heutzutage in zunehmendem Maße Aligner verwendet. Was ist im Rahmen einer...
Als ästhetische Alternative zu kieferorthopädischen Brackets werden heutzutage in zunehmendem...
Eine ausgeprägte Spee-Kurve im Unterkiefer ist häufig mit anderen Leitsymptomen wie einem Tiefbiss oder Distalbiss vergesellschaftet. In diesem...
Eine ausgeprägte Spee-Kurve im Unterkiefer ist häufig mit anderen Leitsymptomen wie einem...
Im Rahmen der Diagnostik und Therapie von CMD werden Aufbissbehelfe in Kondylenposition eingesetzt. Dabei soll eine optimale Kiefergelenkposition...
Im Rahmen der Diagnostik und Therapie von CMD werden Aufbissbehelfe in Kondylenposition eingesetzt....
Da Sie der Verwendung von Google Maps nicht zustimmten, kann leider keine Karte angezeigt werden.
Haben Sie schon unseren Newsletter abonniert?
Um bei unserer Anwendung Formulare zu verwenden, benötigen wir die Zustimmung um einen Token für das Absenden zu setzen.
Datenschutz und Nutzungserlebnis
Wir übermitteln Daten an Drittanbieter, die uns helfen, unser Webangebot zu verbessern und zu finanzieren. In diesem Zusammenhang werden auch Nutzungsprofile gebildet und angereichert, auch außerhalb des Europäischen Wirtschaftsraumes. Hierfür und um bestimmte Dienste zu nachfolgend aufgeführten Zwecken verwenden zu dürfen, benötigen wir Ihre Einwilligung.
Indem Sie "Alle Cookies akzeptieren" klicken, stimmen Sie diesen (jederzeit widerruflich) zu.
Unter "Manuell auswählen" können Sie die Datenverarbeitung individuell personalisieren.
Unter "Nur notwendige akzeptieren" können Sie die Datenverarbeitung ablehnen.
Indem Sie "Speichern" klicken, stimmen Sie diesen (jederzeit widerruflich) zu.
Um Kartendaten in unserer Anwendung darzustellen, nutzen wir den Kartendienst Google Maps. Willigen Sie der Nutzung von Google Maps ein, werden ggf. personenbezogene Daten (Ihre IP-Adresse) von Google erhoben.
Einbinden von Google Maps erlauben
Einige unserer Videoinhalte (bspw. Livestream) werden über die Videoplattform Vimeo bereitgestellt.
Inhalte von Vimeo erlauben
Einige Beiträge binden Inhalte von Instagram ein. Wenn Sie zustimmen, wird eine Verbindung zu Meta/Instagram aufgebaut und es können personenbezogene Daten wie Ihre IP-Adresse übertragen werden.
Inhalte von Instagram erlauben
Für ein besseres Benutzererlebnis können unsere Werbeanzeigen personalisiert werden. Um dies zu ermöglichen, wird das erstellen von Cookies vorausgesetzt. Sollten Sie diesem Dienst nicht zustimmen, werden Werbeanzeigen zufällig ausgeliefert.
Personalisierte Werbung erlauben
Um sich bei unserer Anwendung Formulare zu verwenden werden Tokens gesetzt die es uns ermöglichen Spam zu verhindern. Sollten Sie dies ausstellen, ist es Ihnen nicht mehr möglich sich bei uns anzumelden oder zu registrieren.
Anmeldeformulare absenden ermöglichen
Bei der Gestaltung unserer Anwendung benutzen wir Schriftarten von Adobe, diese werden über ein CDN geladen. Sollte Sie diesem Dienst nicht zustimmen wird die Standard Schrift des Systems benutzt. Außerdem könnte es zu Fehlern im allgemeinen Anwendungsdesign kommen.
Inhalte von Adobe erlauben
Sie können Ihre Auswahl jederzeit unter "Cookie-Einstellungen“ am Seitenende ändern.