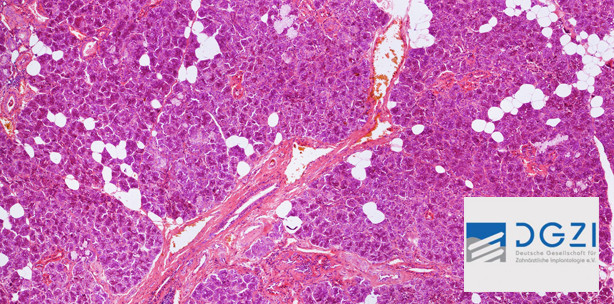
Die DGZI unterstützt aus ihrem Wissenschaftsfond eine wissenschaftliche Studie im Labor für Oralbiologische Grundlagenforschung an der Zahnklinik der Universität Bonn zur histologischen Untersuchung von Biopsien aus mit Knochenersatzmaterial (KEM) augmentierten Bereichen.
Entgegen der oft geäußerten Meinung, das Fach werde nunmehr weiblich und Männer interessierten sich immer weniger dafür, steigt laut einer...
Entgegen der oft geäußerten Meinung, das Fach werde nunmehr weiblich und Männer interessierten...
Auch ein beachtlicher Mix aus Sonne und Regen konnte den diesjährigen Dental Summer Event nicht davon abhalten, auf seiner Erfolgsspur zu bleiben....
Auch ein beachtlicher Mix aus Sonne und Regen konnte den diesjährigen Dental Summer Event...
Der DT Study Club bietet am 18. Juli ein Webinar mit dem Titel „Neue Techniken der Komposite-Seitenzahnrestauration“ an. In dem live übertragenen...
Der DT Study Club bietet am 18. Juli ein Webinar mit dem Titel „Neue Techniken der Komposite-Seitenzahnrestauration“...
Begriffe wie „Social Media“, „Social Networks“, „Social Media Marketing“ und „Neue Medien“ sausen um uns herum, ohne dass wir...
Begriffe wie „Social Media“, „Social Networks“, „Social Media Marketing“ und „Neue...
Seit über 15 Jahren zählt die oral+care GmbH zu den führenden Dienstleistungs- und Beratungsunternehmen in der Zahnarztbranche und unterstützt...
Seit über 15 Jahren zählt die oral+care GmbH zu den führenden Dienstleistungs- und Beratungsunternehmen...
Im Juni wurden mittelständische Unternehmen in Stuttgart mit dem „Mittelstandspreis für soziale Verantwortung in Baden-Württemberg 2012“...
Im Juni wurden mittelständische Unternehmen in Stuttgart mit dem „Mittelstandspreis für...
Olympia war das Motto der Heraeus Absolventenfeier des Abschlussjahrgangs Sommer 2012: 41 Auszubildende haben die anspruchsvolle berufliche Qualifikation...
Olympia war das Motto der Heraeus Absolventenfeier des Abschlussjahrgangs Sommer 2012: 41 Auszubildende...
Unter dem Thema "Bilder aus dem medizinisch-wissenschaftlichen Alltag: wer darf was, wer braucht was?" wird auf der diesjährigen photokina über...
Unter dem Thema "Bilder aus dem medizinisch-wissenschaftlichen Alltag: wer darf was, wer braucht...
Zur Generalversammlung der International Association for Dental Research wurde der IADR/Straumann Award in Regenerative Periodontal Medicine...
Zur Generalversammlung der International Association for Dental Research wurde der IADR/Straumann...
Wertvolle Sachpreise warten auch in diesem Jahr wieder auf die Gewinner. Bei der mittlerweile vierten Auflage des Fotowettbewerbs kann jeder...
Wertvolle Sachpreise warten auch in diesem Jahr wieder auf die Gewinner. Bei der mittlerweile...
Die Forstsetzung zum "Patientencoaching Teil 1" enthält wertvolle Anregungen und Arbeitsgrundlagen für alle die an der Implementierung und...
Die Forstsetzung zum "Patientencoaching Teil 1" enthält wertvolle Anregungen und Arbeitsgrundlagen...
Der Vorsitzende des Aufsichtsrats und des Gesellschafterausschusses der Heraeus Holding GmbH, ist bei der Preisverleihung des elften Deutschen...
Der Vorsitzende des Aufsichtsrats und des Gesellschafterausschusses der Heraeus Holding GmbH,...
Laut einer aktuellen Erhebung sind rund 10 Prozent aller in einer Praxis tätigen männlichen Zahnärzte derzeit Angestellte, mit steigender...
Laut einer aktuellen Erhebung sind rund 10 Prozent aller in einer Praxis tätigen männlichen...
Henry Schein ist es gelungen, Dr. Gordon J. Christensen (DDS, MSD, PHD) für seinen einzigen Vortrag am 10. Oktober 2012 in Deutschland zu gewinnen....
Henry Schein ist es gelungen, Dr. Gordon J. Christensen (DDS, MSD, PHD) für seinen einzigen...
Da Sie der Verwendung von Google Maps nicht zustimmten, kann leider keine Karte angezeigt werden.
Haben Sie schon unseren Newsletter abonniert?
Um bei unserer Anwendung Formulare zu verwenden, benötigen wir die Zustimmung um einen Token für das Absenden zu setzen.
Datenschutz und Nutzungserlebnis
Wir übermitteln Daten an Drittanbieter, die uns helfen, unser Webangebot zu verbessern und zu finanzieren. In diesem Zusammenhang werden auch Nutzungsprofile gebildet und angereichert, auch außerhalb des Europäischen Wirtschaftsraumes. Hierfür und um bestimmte Dienste zu nachfolgend aufgeführten Zwecken verwenden zu dürfen, benötigen wir Ihre Einwilligung.
Indem Sie "Alle Cookies akzeptieren" klicken, stimmen Sie diesen (jederzeit widerruflich) zu.
Unter "Manuell auswählen" können Sie die Datenverarbeitung individuell personalisieren.
Unter "Nur notwendige akzeptieren" können Sie die Datenverarbeitung ablehnen.
Indem Sie "Speichern" klicken, stimmen Sie diesen (jederzeit widerruflich) zu.
Um Kartendaten in unserer Anwendung darzustellen, nutzen wir den Kartendienst Google Maps. Willigen Sie der Nutzung von Google Maps ein, werden ggf. personenbezogene Daten (Ihre IP-Adresse) von Google erhoben.
Einbinden von Google Maps erlauben
Einige unserer Videoinhalte (bspw. Livestream) werden über die Videoplattform Vimeo bereitgestellt.
Inhalte von Vimeo erlauben
Für ein besseres Benutzererlebnis können unsere Werbeanzeigen personalisiert werden. Um dies zu ermöglichen, wird das erstellen von Cookies vorausgesetzt. Sollten Sie diesem Dienst nicht zustimmen, werden Werbeanzeigen zufällig ausgeliefert.
Personalisierte Werbung erlauben
Um sich bei unserer Anwendung Formulare zu verwenden werden Tokens gesetzt die es uns ermöglichen Spam zu verhindern. Sollten Sie dies ausstellen, ist es Ihnen nicht mehr möglich sich bei uns anzumelden oder zu registrieren.
Anmeldeformulare absenden ermöglichen
Bei der Gestaltung unserer Anwendung benutzen wir Schriftarten von Adobe, diese werden über ein CDN geladen. Sollte Sie diesem Dienst nicht zustimmen wird die Standard Schrift des Systems benutzt. Außerdem könnte es zu Fehlern im allgemeinen Anwendungsdesign kommen.
Inhalte von Adobe erlauben
Sie können Ihre Auswahl jederzeit unter "Cookie-Einstellungen“ am Seitenende ändern.