Optische Vergrößerungssysteme, Geräte zur elektrometrischen Arbeitslängenbestimmung, hochflexible rotierende NiTi- Aufbereitungsinstrumente und moderne Füllverfahren tragen zur Erhöhung von Effektivität und Effizienz der endodontischen Behandlung bei.
Schmerzempfinden ist nicht nur ein sensorisches, sondern durchaus auch ein psychologisches Phänomen, dem der Zahnarzt auf beiden Wegen entgegentreten...
Schmerzempfinden ist nicht nur ein sensorisches, sondern durchaus auch ein psychologisches...
Viele Zahnärzte sind unsicher, ob und wie Milchzähne zu versorgen sind. Ursache dafür sind wesentliche Unterschiede zwischen Milchzähnen...
Viele Zahnärzte sind unsicher, ob und wie Milchzähne zu versorgen sind. Ursache dafür sind...
Im Beitrag werden verschiedene im Milchgebiss zur Anwendung kommende Restaurationsmaterialien dargestellt und ihre Indikationsstellung neben...
Im Beitrag werden verschiedene im Milchgebiss zur Anwendung kommende Restaurationsmaterialien...
Hygiene als Basis für den Erfolg: Verschiedene Aspekte sollten in der Zahnarztpraxis - insbesondere mit endodontischer Ausrichtung - im Sinne...
Hygiene als Basis für den Erfolg: Verschiedene Aspekte sollten in der Zahnarztpraxis - insbesondere...
Häufig findet man in der Einleitung neuerer Artikel die Bemerkung, dass sich die Endodontie innerhalb des letzten Jahrzehnts dramatisch verändert...
Häufig findet man in der Einleitung neuerer Artikel die Bemerkung, dass sich die Endodontie...
Die technischen Verbesserungen erlauben heute die sichere vorhersagbare Therapie komplexer anatomischer Situationen. Dennoch führen manche Therapien...
Die technischen Verbesserungen erlauben heute die sichere vorhersagbare Therapie komplexer...
Endodontische Behandlungen gleichen sich grundsätzlich. Erkrankungen der Zähne führen jedoch im Laufe eines Patientenlebens indirekt zu Komplikationen...
Endodontische Behandlungen gleichen sich grundsätzlich. Erkrankungen der Zähne führen jedoch...
Für viele junge Patienten ist eine erstmalige invasive Therapie häufig die Behandlung traumatisierter Frontzähne.
Für viele junge Patienten ist eine erstmalige invasive Therapie häufig die Behandlung traumatisierter...
Die Wurzelspitzenresektion stellt eine seit Langem allgemein praktizierte und anerkannte Methode der chirurgischen Zahnerhaltung dar.
Die Wurzelspitzenresektion stellt eine seit Langem allgemein praktizierte und anerkannte Methode...
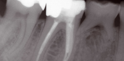
Zur Wurzelkanalaufbereitung haben sich verschiedenen Techniken bewährt. Prof. Dr. Rudolf Beer stellt im folgenden Artikel die Step-back-Technik,...
Zur Wurzelkanalaufbereitung haben sich verschiedenen Techniken bewährt. Prof. Dr. Rudolf Beer...
Endodontisch bedingte Schmerzen sind die häufigsten Schmerzen, mit denen der Zahnarzt konfrontiert wird. Da den Patienten schnellstens geholfen...
Endodontisch bedingte Schmerzen sind die häufigsten Schmerzen, mit denen der Zahnarzt konfrontiert...
Faserverstärkte Stiftstumpfaufbauten (Faserstifte) sind in den vergangenen Jahren intensiv untersucht worden. Insbesondere bei höchsten ästhetischen...
Faserverstärkte Stiftstumpfaufbauten (Faserstifte) sind in den vergangenen Jahren intensiv...
Folgende Untersuchung stellt ein oberflächensilikatisiertes und silanisiertes Glasfaserstiftsystem einem Glasfaserstiftsystem mit spiralförmigen...
Folgende Untersuchung stellt ein oberflächensilikatisiertes und silanisiertes Glasfaserstiftsystem...
Die Anatomie der Milchzähne bedingt spezielle therapeutische Interventionen. Dieser Artikel stellt einen Überblick über die derzeit aktuellen...
Die Anatomie der Milchzähne bedingt spezielle therapeutische Interventionen. Dieser Artikel...
Da Sie der Verwendung von Google Maps nicht zustimmten, kann leider keine Karte angezeigt werden.
Haben Sie schon unseren Newsletter abonniert?
Um bei unserer Anwendung Formulare zu verwenden, benötigen wir die Zustimmung um einen Token für das Absenden zu setzen.
Datenschutz und Nutzungserlebnis
Wir übermitteln Daten an Drittanbieter, die uns helfen, unser Webangebot zu verbessern und zu finanzieren. In diesem Zusammenhang werden auch Nutzungsprofile gebildet und angereichert, auch außerhalb des Europäischen Wirtschaftsraumes. Hierfür und um bestimmte Dienste zu nachfolgend aufgeführten Zwecken verwenden zu dürfen, benötigen wir Ihre Einwilligung.
Indem Sie "Alle Cookies akzeptieren" klicken, stimmen Sie diesen (jederzeit widerruflich) zu.
Unter "Manuell auswählen" können Sie die Datenverarbeitung individuell personalisieren.
Unter "Nur notwendige akzeptieren" können Sie die Datenverarbeitung ablehnen.
Indem Sie "Speichern" klicken, stimmen Sie diesen (jederzeit widerruflich) zu.
Um Kartendaten in unserer Anwendung darzustellen, nutzen wir den Kartendienst Google Maps. Willigen Sie der Nutzung von Google Maps ein, werden ggf. personenbezogene Daten (Ihre IP-Adresse) von Google erhoben.
Einbinden von Google Maps erlauben
Einige unserer Videoinhalte (bspw. Livestream) werden über die Videoplattform Vimeo bereitgestellt.
Inhalte von Vimeo erlauben
Für ein besseres Benutzererlebnis können unsere Werbeanzeigen personalisiert werden. Um dies zu ermöglichen, wird das erstellen von Cookies vorausgesetzt. Sollten Sie diesem Dienst nicht zustimmen, werden Werbeanzeigen zufällig ausgeliefert.
Personalisierte Werbung erlauben
Um sich bei unserer Anwendung Formulare zu verwenden werden Tokens gesetzt die es uns ermöglichen Spam zu verhindern. Sollten Sie dies ausstellen, ist es Ihnen nicht mehr möglich sich bei uns anzumelden oder zu registrieren.
Anmeldeformulare absenden ermöglichen
Bei der Gestaltung unserer Anwendung benutzen wir Schriftarten von Adobe, diese werden über ein CDN geladen. Sollte Sie diesem Dienst nicht zustimmen wird die Standard Schrift des Systems benutzt. Außerdem könnte es zu Fehlern im allgemeinen Anwendungsdesign kommen.
Inhalte von Adobe erlauben
Sie können Ihre Auswahl jederzeit unter "Cookie-Einstellungen“ am Seitenende ändern.