Fehler bei der primären Zugangskavität resultieren schnell in einer Perforation des Pulpabodens. Insbesondere Zähne mit prothetischen Versorgungen sind gefährdet, da die Anatomie der Krone und der Umriss des Zahns auf Höhe der Schmelz-Zement-Grenze oftmals durch den Zahnersatz verändert werden.
Apikale Läsionen mit ausgeprägter Ausdehnung stellen in der endodontischen Behandlung eine besondere Herausforderung dar. Radiologisch sichtbare...
Apikale Läsionen mit ausgeprägter Ausdehnung stellen in der endodontischen Behandlung eine...
Direkte Frontzahnrestaurationen sind zeitaufwendig und ihr Ergebnis hängt in hohem Maße von der Erfahrung und Geschicklichkeit des Zahnarztes...
Direkte Frontzahnrestaurationen sind zeitaufwendig und ihr Ergebnis hängt in hohem Maße von...
Der vorliegende Fallbericht schildert den Versuch des Zahnerhalts bei einer Kronen-Wurzel-Fraktur mittels intraalveolärer Transplantation und...
Der vorliegende Fallbericht schildert den Versuch des Zahnerhalts bei einer Kronen-Wurzel-Fraktur...
Beim vorliegenden Fachbeitrag handelt es sich um eine Zusammenfassung des Vortrags von DDr. Johannes Klimscha im Rahmen des Konservierenden Symposiums...
Beim vorliegenden Fachbeitrag handelt es sich um eine Zusammenfassung des Vortrags von DDr....
Bereits wurzelkanalbehandelte Zähne mit persistierenden apikalen Parodontitiden oder Osteolysen werden trotz großer Fortschritte in der Endodontologie...
Bereits wurzelkanalbehandelte Zähne mit persistierenden apikalen Parodontitiden oder Osteolysen...
Die langfristig erfolgreiche Rekonstruktion einer ganzen Frontzahnkrone mit Komposit erfordert einige mechanische Überlegungen zur Anwendung...
Die langfristig erfolgreiche Rekonstruktion einer ganzen Frontzahnkrone mit Komposit erfordert...
Endodontisch behandelte Zähne sind häufig durch eine starke Schädigung der koronalen Zahnhartsubstanz gekennzeichnet, die meist auf ausgedehnte...
Endodontisch behandelte Zähne sind häufig durch eine starke Schädigung der koronalen Zahnhartsubstanz...
Die Art der endodontischen Behandlung bestimmt häufig die Art des zu verwendenden Werkstoffs. Jene auf Basis von Kalziumsilikat sollen mit ihren...
Die Art der endodontischen Behandlung bestimmt häufig die Art des zu verwendenden Werkstoffs....
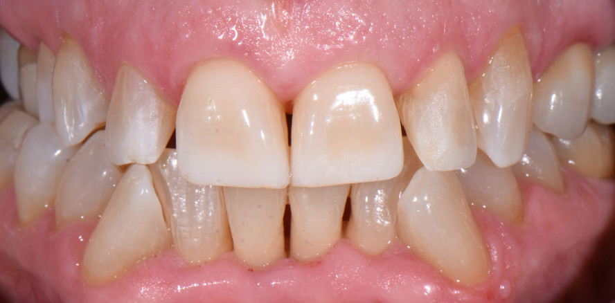
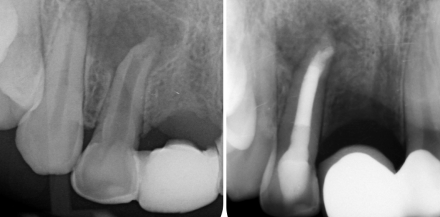
Immer wieder gibt es Grenzfälle in der Endodontologie, bei denen die Abwägung, ob Extraktion oder Versuch des Erhalts eines schwer erkrankten...
Immer wieder gibt es Grenzfälle in der Endodontologie, bei denen die Abwägung, ob Extraktion...
Trotz aller Routine bei Seitenzahnfüllungen bleibt die Tätigkeit anspruchsvoll und der Vorgang oftmals mühsam. Der vorliegende Fall zeigt...
Trotz aller Routine bei Seitenzahnfüllungen bleibt die Tätigkeit anspruchsvoll und der Vorgang...
Gerade im Bereich der Endodontie wurden in den letzten Jahren erhebliche wissenschaftliche, aber auch technische Fortschritte erzielt. Der folgende...
Gerade im Bereich der Endodontie wurden in den letzten Jahren erhebliche wissenschaftliche,...
Calciumhydroxidpasten sind heute ein wichtiger Bestandteil zur temporären Wurzelkanalfüllung. Zusätzlich eignen sie sich zur direkten Pulpenüberkappung,...
Calciumhydroxidpasten sind heute ein wichtiger Bestandteil zur temporären Wurzelkanalfüllung....
Innerhalb der letzten Jahrzehnte haben sich die Adhäsivsysteme den klinischen Anforderungen entsprechend weiterentwickelt. Waren zunächst vor...
Innerhalb der letzten Jahrzehnte haben sich die Adhäsivsysteme den klinischen Anforderungen...
Direkte Kompositrestaurationen im Seitenzahnbereich gehören zum Standard der modernen konservierend-restaurativen Zahnheilkunde. Neben Kompositen...
Direkte Kompositrestaurationen im Seitenzahnbereich gehören zum Standard der modernen konservierend-restaurativen...
Da Sie der Verwendung von Google Maps nicht zustimmten, kann leider keine Karte angezeigt werden.
Haben Sie schon unseren Newsletter abonniert?
Um bei unserer Anwendung Formulare zu verwenden, benötigen wir die Zustimmung um einen Token für das Absenden zu setzen.
Datenschutz und Nutzungserlebnis
Wir übermitteln Daten an Drittanbieter, die uns helfen, unser Webangebot zu verbessern und zu finanzieren. In diesem Zusammenhang werden auch Nutzungsprofile gebildet und angereichert, auch außerhalb des Europäischen Wirtschaftsraumes. Hierfür und um bestimmte Dienste zu nachfolgend aufgeführten Zwecken verwenden zu dürfen, benötigen wir Ihre Einwilligung.
Indem Sie "Alle Cookies akzeptieren" klicken, stimmen Sie diesen (jederzeit widerruflich) zu.
Unter "Manuell auswählen" können Sie die Datenverarbeitung individuell personalisieren.
Unter "Nur notwendige akzeptieren" können Sie die Datenverarbeitung ablehnen.
Indem Sie "Speichern" klicken, stimmen Sie diesen (jederzeit widerruflich) zu.
Um Kartendaten in unserer Anwendung darzustellen, nutzen wir den Kartendienst Google Maps. Willigen Sie der Nutzung von Google Maps ein, werden ggf. personenbezogene Daten (Ihre IP-Adresse) von Google erhoben.
Einbinden von Google Maps erlauben
Einige unserer Videoinhalte (bspw. Livestream) werden über die Videoplattform Vimeo bereitgestellt.
Inhalte von Vimeo erlauben
Einige Beiträge binden Inhalte von Instagram ein. Wenn Sie zustimmen, wird eine Verbindung zu Meta/Instagram aufgebaut und es können personenbezogene Daten wie Ihre IP-Adresse übertragen werden.
Inhalte von Instagram erlauben
Für ein besseres Benutzererlebnis können unsere Werbeanzeigen personalisiert werden. Um dies zu ermöglichen, wird das erstellen von Cookies vorausgesetzt. Sollten Sie diesem Dienst nicht zustimmen, werden Werbeanzeigen zufällig ausgeliefert.
Personalisierte Werbung erlauben
Um sich bei unserer Anwendung Formulare zu verwenden werden Tokens gesetzt die es uns ermöglichen Spam zu verhindern. Sollten Sie dies ausstellen, ist es Ihnen nicht mehr möglich sich bei uns anzumelden oder zu registrieren.
Anmeldeformulare absenden ermöglichen
Bei der Gestaltung unserer Anwendung benutzen wir Schriftarten von Adobe, diese werden über ein CDN geladen. Sollte Sie diesem Dienst nicht zustimmen wird die Standard Schrift des Systems benutzt. Außerdem könnte es zu Fehlern im allgemeinen Anwendungsdesign kommen.
Inhalte von Adobe erlauben
Sie können Ihre Auswahl jederzeit unter "Cookie-Einstellungen“ am Seitenende ändern.