Branchenmeldungen 07.05.2024

Knochenfräser: Optimale Einheit aus Funktion und Feeling

Knochenfräser: Optimale Einheit aus Funktion und Feeling

Foto: Dr. Adriano Azaripour

Für Dr. Adriano Azaripour spielen Instrumente eine essenzielle Rolle für seine chirurgischen und parodontologischen Aufgaben an der Universität Mainz und in seiner Praxis in Bad Soden. Da müssen Funktion und Feeling eine Einheit ergeben. Anhand eines Patientenfalls beschreibt er seinen hohen Anspruch an sein Fräser-Portfolio.

Herr Dr. Azaripour, welche Rolle spielt die Knochenchirurgie in Ihrer Praxis?

Ich bringe durch meine zahnmedizinische Vita eine interessante Mischung mit – und das in vielerlei Hinsicht. Im Ursprung bin ich Parodontologe und Endodontologe. Heute decke ich in meiner Praxis alle Indikationen moderner Hart- und Weich­gewebschirurgie ab. Doch die Parodontologie schwingt immer mit. Ich bin der festen Ansicht, dass der eine Fachbereich nicht ohne den anderen auskommt. Würden wir die rote Ästhetik, z. B. im Rahmen von Implantationen einfach missachten, wären die Ergebnisse nur kurzlebig und ästhetisch unbefriedigend. Meine Vertiefung in mikrochirurgischer und plastischer Parodontalchirurgie erfolgte während meiner Weiterbildung in meiner Zweit­heimat Italien. Und hier kommt der nächste Mix-­Effekt: Ich bringe mein Wissen und Können aus deutscher und italienischer zahnmedizinischer Ausbildung ein.

Warum macht da die Nationalität den Unterschied? Vielleicht können Sie uns das am Beispiel von Instrumenten erklären?

Italienische wie deutsche Zahnärzte vereint das Verlangen nach Präzision. Aber in Deutschland geht man meist pragmatischer vor. Hier sollen die Instrumente zügig, funktionell und wirtschaftlich zum Ziel führen. Italienische Zahnärzte arbeiten gerne mit Mikroskop und sind detailverliebter. Da wird die Behandlungszeit relativ. Deshalb sind italienische Zahnärzte z. B. große Fans von Schallinstrumenten. Der Weg zum ästhetischen Ergebnis unterscheidet die beiden Länder also ein wenig.

Welche Eigenschaften erwarten Sie grundsätzlich von einem Knochenfräser?

Gefordert ist eine hohe Schneidleistung unter maximaler Schonung des zu zerspanenden Knochens. Diese Anforderung können nur ausbruchfreie Schneiden erfüllen, die einen wirksamen, schonenden und exakten Schnitt ermöglichen. Knochenfräser müssen eine exakte Präparation erlauben, was wiederum voraussetzt, dass ich das Instrument gut kontrollieren kann. Und dann ist mir natürlich auch die Patientenseite wichtig: Der Pa­tient spürt ganz genau, wie ruhig ein Instrument läuft. Für Zahn­extrak­tio­nen ist deshalb der extrem feine Linde­mann-­Fräser H254LE (Komet Dental) mein Favorit.

Sie haben uns einen interessanten Fall mitgebracht. Bitte beschreiben Sie die Ausgangssituation!

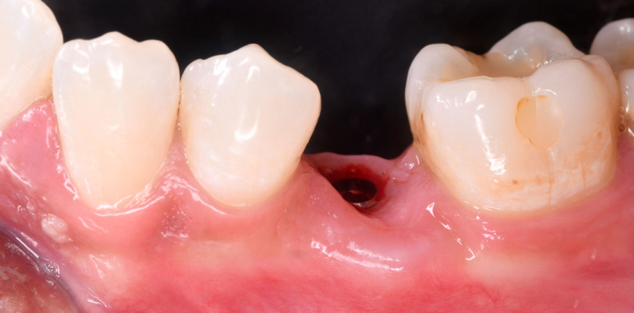
Die 26-jährige Patientin kam per Überweisung ­in meine Praxis. Zahn 35 erwies sich als nicht ­erhaltungswürdig. Die DVT-Analyse zeigte, dass die bukkale Knochenlamelle fehlte. Besonders im ästhetischen Bereich möchten wir aber auf jeden Fall einen Gewebekollaps nach Zahn­extraktion (bis zu 50 Prozent) reduzieren. Aus diesem Grund erwogen wir verschiedene Ridge-­Preservation-Techniken, um dieses Risiko zu minimieren.

Wie sind Sie also chirurgisch vorgegangen?

Ich entschied mich für die sog. Socket-Shield-Technik. Das ist eine ­minimalinvasive Methode zur Reduzierung von Gewebeschrumpfung, um einen ästhetisch besseren und stabileren Langzeiterfolg zu er­zielen. Voraussetzungen sind ein gesundes Parodontium und eine intakte Wurzel, wie sie bei meiner Patientin vorlagen. Dabei wird der ­Zahn zum Teil gezogen und der bukkale Teil der Wurzel belassen, der den kritischen Weichteilbereich weiterhin stützt. Das parodontale Attachment bleibt bukkal also intakt und das bukkale Gewebe verhält ­sich so, als wäre der Zahn noch an Ort und Stelle. Hürzeler et al. publizierten 2010 diese Technik, um bei Sofortimplantation die Gewebeschrumpfung nach Zahnextraktion zu reduzieren.

Die Socket-Shield-Technik ist nicht ganz einfach um­zu­setzen. Welche Instrumente setzen Sie dabei ein?

Hier sind qualitativ hochwertige Instrumente absolut entscheidend. Die Schnitte müssen fein und exakt bei gleichzeitig minimaler Anpresskraft erfolgen. In diesem Fall griff ich für die Extraktion des Zahnes zum Knochenfräser H254LE 314 012 (Komet Dental). Das Instrument verfügt über eine Kreuzverzahnung, genauer gesagt eine Rechts-­Rechts-Verzahnung. Dadurch läuft es sehr ruhig und ist gleichzeitig sehr schnittfreudig. Durch den dünnen Schnitt und die kontrollierte Anwendung im roten Winkelstück ist es ideal für diese Indikation. Mit dem H254LE zerlegte ich den Zahn und erhielt damit die gewünschte Form, Größe und Rauhigkeit bei gleichzeitiger Schonung des entscheidenden Wurzelrests. Danach präparierte ich den Wurzel­rest mit den Instrumenten 8831L, 831LEF und ZR8801L (Komet Dental) ins perfekte Format. Auch diese Instru­mente kann ich mit leichtem Druck der Fingerspitzen bedienen und mich beim Führen gleichzeitig auf die effektive Schneideleistung verlassen. Nach der entsprechenden Osteotomie setzte ich das Implantat (Durchmesser 3,75 mm) und füllte den Spalt zwischen Implantat und Wurzeloberfläche mit allogenem Knochenersatzmaterial auf, setzte ein Provisorium ein und schloss den Fall nach entsprechender Einheilzeit mit einer ästhetischen Keramikkrone ab.

Wie fiel das langfristige Ergebnis aus?

Die Socket-Shield-Technik gab dem Weichgewebe nicht nur direkt postoperativ, sondern langfristig den entsprechenden Halt. Auch die Papillen hatten sich nach sechs Monaten sauber ausgebildet, sodass dieser Fall alle Erwartungen an eine „Rot-Weiß-Ästhetik“ erfüllt. Ich war mit dem chirurgischen und prothetischen Ergebnis sehr zufrieden.

Dieses Interview ist in der ZWP Zahnarzt Wirschaft Praxis erschienen.

Literatur:
1 Hürzeler MB, Zuhr O, Schupbach P, Rebele SF, Emmanouilidis N, Fickl S. The socket-shield technique: A proof-of-principle report. J Clin Periodontol 2010;37:855–862.

Autorin: Dorothee Holsten

Dieser Beitrag stammt von dem Anbieter und spiegelt nicht die Meinung der Redaktion wider.
Produkte
Mehr News aus Branchenmeldungen

ePaper