Energydrinks gehören inzwischen fest zum Alltag vieler Jugendlicher. Getrieben von Marketing, vermeintlichem Leistungsplus und hoher sozialer Akzeptanz werden sie vor allem in der Pubertät konsumiert, mit teils deutlich problematischen Folgen für Allgemein- und Mundgesundheit.
Die vollständig individualisierte linguale Apparatur (VILA) hat sich als qualitätsorientierte und effiziente Behandlungsmethode in der modernen...
Die vollständig individualisierte linguale Apparatur (VILA) hat sich als qualitätsorientierte...
Regelrechte Muskelkräfte mit Nasenatmung sind der Schlüssel für ein gesundes Kiefer- und Gesichtswachstum von Anfang an. Schon in den ersten...
Regelrechte Muskelkräfte mit Nasenatmung sind der Schlüssel für ein gesundes Kiefer- und...
Im Rahmen der Therapieplanung bei fehlenden Zähnen stellt sich die grundsätzliche Frage der langfristigen Versorgung dieser Lücken. Eine Option...
Im Rahmen der Therapieplanung bei fehlenden Zähnen stellt sich die grundsätzliche Frage der...
Die Therapie skelettaler Dysgnathien stellt insbesondere bei erwachsenen Patienten eine große Herausforderung dar. Während bei ausgeprägten...
Die Therapie skelettaler Dysgnathien stellt insbesondere bei erwachsenen Patienten eine große...
Miniimplantate im anterioren Gaumen werden aufgrund ihrer einfachen Insertion, Vielseitigkeit und der sehr hohen Verlässlichkeit immer beliebter....
Miniimplantate im anterioren Gaumen werden aufgrund ihrer einfachen Insertion, Vielseitigkeit...
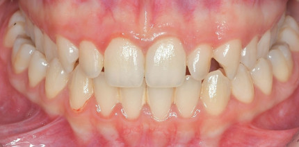
Anhand eines adulten Patientenfalls wird aufgezeigt, wie eine scheinbar neutrale Okklusion eine erhebliche skelettale Fehlrelation maskieren...
Anhand eines adulten Patientenfalls wird aufgezeigt, wie eine scheinbar neutrale Okklusion...
Die interdisziplinäre Zusammenarbeit spielt in der modernen Kieferorthopädie eine zentrale Rolle, insbesondere bei komplexeren Behandlungsfällen,...
Die interdisziplinäre Zusammenarbeit spielt in der modernen Kieferorthopädie eine zentrale...
Der seitliche Kreuzbiss ist eine häufig anzutreffende Zahnfehlstellung, die durch eine transversale Diskrepanz zwischen Ober- und Unterkiefer...
Der seitliche Kreuzbiss ist eine häufig anzutreffende Zahnfehlstellung, die durch eine transversale...
Die Kiefergelenke bilden eine bilateral funktionell gekoppelte Einheit des orofazialen Systems und erlauben Unterkieferbewegungen in sechs Freiheitsgraden,...
Die Kiefergelenke bilden eine bilateral funktionell gekoppelte Einheit des orofazialen Systems...
Das obstruktive Schlafapnoe-Syndrom (OSAS) ist ein schweres Krankheitsbild mit steigender Prävalenz. Das OSAS ist gekennzeichnet durch einen...
Das obstruktive Schlafapnoe-Syndrom (OSAS) ist ein schweres Krankheitsbild mit steigender Prävalenz....
Die Implantation von Zähnen gilt als bewährte Methode zur Wiederherstellung verlorener Zähne. Für jüngere Patienten sind Implantate jedoch...
Die Implantation von Zähnen gilt als bewährte Methode zur Wiederherstellung verlorener Zähne....
Die Sprachentwicklung stellt einen Meilenstein der kindlichen Entwicklung dar. Im Rahmen der Überwachung der Kiefer- und Gebissentwicklung sollten...
Die Sprachentwicklung stellt einen Meilenstein der kindlichen Entwicklung dar. Im Rahmen der...
Die enge Verbindung zwischen der Kieferorthopädie und der allgemeinen Zahnheilkunde zeigt sich in zahlreichen Aspekten, die sowohl die Ästhetik...
Die enge Verbindung zwischen der Kieferorthopädie und der allgemeinen Zahnheilkunde zeigt...
Als ästhetische Alternative werden in zunehmendem Maße Aligner verwendet. Neben der Ästhetik gilt als weiterer Vorteil die geringere Anzahl...
Als ästhetische Alternative werden in zunehmendem Maße Aligner verwendet. Neben der Ästhetik...
Da Sie der Verwendung von Google Maps nicht zustimmten, kann leider keine Karte angezeigt werden.
Haben Sie schon unseren Newsletter abonniert?
Um bei unserer Anwendung Formulare zu verwenden, benötigen wir die Zustimmung um einen Token für das Absenden zu setzen.
Datenschutz und Nutzungserlebnis
Wir übermitteln Daten an Drittanbieter, die uns helfen, unser Webangebot zu verbessern und zu finanzieren. In diesem Zusammenhang werden auch Nutzungsprofile gebildet und angereichert, auch außerhalb des Europäischen Wirtschaftsraumes. Hierfür und um bestimmte Dienste zu nachfolgend aufgeführten Zwecken verwenden zu dürfen, benötigen wir Ihre Einwilligung.
Indem Sie "Alle Cookies akzeptieren" klicken, stimmen Sie diesen (jederzeit widerruflich) zu.
Unter "Manuell auswählen" können Sie die Datenverarbeitung individuell personalisieren.
Unter "Nur notwendige akzeptieren" können Sie die Datenverarbeitung ablehnen.
Indem Sie "Speichern" klicken, stimmen Sie diesen (jederzeit widerruflich) zu.
Um Kartendaten in unserer Anwendung darzustellen, nutzen wir den Kartendienst Google Maps. Willigen Sie der Nutzung von Google Maps ein, werden ggf. personenbezogene Daten (Ihre IP-Adresse) von Google erhoben.
Einbinden von Google Maps erlauben
Einige unserer Videoinhalte (bspw. Livestream) werden über die Videoplattform Vimeo bereitgestellt.
Inhalte von Vimeo erlauben
Einige Beiträge binden Inhalte von Instagram ein. Wenn Sie zustimmen, wird eine Verbindung zu Meta/Instagram aufgebaut und es können personenbezogene Daten wie Ihre IP-Adresse übertragen werden.
Inhalte von Instagram erlauben
Für ein besseres Benutzererlebnis können unsere Werbeanzeigen personalisiert werden. Um dies zu ermöglichen, wird das erstellen von Cookies vorausgesetzt. Sollten Sie diesem Dienst nicht zustimmen, werden Werbeanzeigen zufällig ausgeliefert.
Personalisierte Werbung erlauben
Um sich bei unserer Anwendung Formulare zu verwenden werden Tokens gesetzt die es uns ermöglichen Spam zu verhindern. Sollten Sie dies ausstellen, ist es Ihnen nicht mehr möglich sich bei uns anzumelden oder zu registrieren.
Anmeldeformulare absenden ermöglichen
Bei der Gestaltung unserer Anwendung benutzen wir Schriftarten von Adobe, diese werden über ein CDN geladen. Sollte Sie diesem Dienst nicht zustimmen wird die Standard Schrift des Systems benutzt. Außerdem könnte es zu Fehlern im allgemeinen Anwendungsdesign kommen.
Inhalte von Adobe erlauben
Sie können Ihre Auswahl jederzeit unter "Cookie-Einstellungen“ am Seitenende ändern.